About   Help   FAQ
Gene Expression Data
Assay Details
Assay
Reference: J:153498 Diez-Roux G, et al., A high-resolution anatomical atlas of the transcriptome in the mouse embryo. PLoS Biol. 2011;9(1):e1000582
Assay type: RNA in situ
MGI Accession ID: MGI:4827203
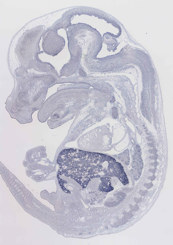
Gene symbol: Pigq
Gene name: phosphatidylinositol glycan anchor biosynthesis, class Q
Probe: MGC clone 13874
Probe preparation: Antisense labelled with digoxigenin RNA
Visualized with: Alkaline phosphatase
Assay notes: Cryosections of fresh frozen material were fixed in 4% paraformaldehyde for 20 min. before further processing. A tyramide-biotin/streptavidin amplification step was included in the in situ hybridization procedure.
Results
Specimen euxassay_006606_01: embryonic day 14.5 (more )
Structure Level Pattern Image Note
TS23: liver left lobe Strong Regionally restricted euxassay_006606_01

Specimen euxassay_006606_02: embryonic day 14.5 (more )
Structure Level Pattern Image Note
TS23: liver left lobe Strong Regionally restricted euxassay_006606_02

Specimen euxassay_006606_03: embryonic day 14.5 (more )
Structure Level Pattern Image Note
TS23: liver left lobe Strong Regionally restricted euxassay_006606_03

Specimen euxassay_006606_04: embryonic day 14.5 (more )
Structure Level Pattern Image Note
TS23: liver left lobe Strong Regionally restricted euxassay_006606_04

Specimen euxassay_006606_05: embryonic day 14.5 (more )
Structure Level Pattern Image Note
TS23: liver left lobe Strong Regionally restricted euxassay_006606_05

Specimen euxassay_006606_06: embryonic day 14.5 (more )
Structure Level Pattern Image Note
TS23: liver left lobe Strong Regionally restricted euxassay_006606_06

Specimen euxassay_006606_07: embryonic day 14.5 (more )
Structure Level Pattern Image Note
TS23: liver left lobe Strong Regionally restricted euxassay_006606_07

Specimen euxassay_006606_08: embryonic day 14.5 (more )
Structure Level Pattern Image Note
TS23: liver left lobe Strong Regionally restricted euxassay_006606_08

Specimen euxassay_006606_09: embryonic day 14.5 (more )
Structure Level Pattern Image Note
TS23: liver left lobe Strong Regionally restricted euxassay_006606_09

Specimen euxassay_006606_10: embryonic day 14.5 (more )
Structure Level Pattern Image Note
TS23: liver left lobe Strong Regionally restricted euxassay_006606_10

Specimen euxassay_006606_11: embryonic day 14.5 (more )
Structure Level Pattern Image Note
TS23: liver left lobe Strong Regionally restricted euxassay_006606_11

Specimen euxassay_006606_12: embryonic day 14.5 (more )
Structure Level Pattern Image Note
TS23: liver left lobe Strong Regionally restricted euxassay_006606_12

Specimen euxassay_006606_13: embryonic day 14.5 (more )
Structure Level Pattern Image Note
TS23: liver right lobe Strong Regionally restricted euxassay_006606_13

Specimen euxassay_006606_14: embryonic day 14.5 (more )
Structure Level Pattern Image Note
TS23: liver right lobe Strong Regionally restricted euxassay_006606_14

Specimen euxassay_006606_15: embryonic day 14.5 (more )
Structure Level Pattern Image Note
TS23: liver right lobe Strong Regionally restricted euxassay_006606_15

Specimen euxassay_006606_16: embryonic day 14.5 (more )
Structure Level Pattern Image Note
TS23: liver right lobe Strong Regionally restricted euxassay_006606_16

Specimen euxassay_006606_17: embryonic day 14.5 (more )
Structure Level Pattern Image Note
TS23: liver right lobe Strong Regionally restricted euxassay_006606_17

Specimen euxassay_006606_18: embryonic day 14.5 (more )
Structure Level Pattern Image Note
TS23: liver right lobe Strong Regionally restricted euxassay_006606_18

Specimen euxassay_006606_19: embryonic day 14.5 (more )
Structure Level Pattern Image Note
TS23: liver right lobe Strong Regionally restricted euxassay_006606_19

Specimen euxassay_006606_20: embryonic day 14.5 (more )
Structure Level Pattern Image Note
TS23: liver right lobe Strong Regionally restricted euxassay_006606_20

Specimen euxassay_006606_21: embryonic day 14.5 (more )
Structure Level Pattern Image Note
TS23: liver right lobe Strong Regionally restricted euxassay_006606_21

Specimen euxassay_006606_22: embryonic day 14.5 (more )
Structure Level Pattern Image Note
TS23: liver right lobe Strong Regionally restricted euxassay_006606_22

Specimen euxassay_006606_23: embryonic day 14.5 (more )
Structure Level Pattern Image Note
TS23: liver right lobe Strong Regionally restricted euxassay_006606_23


Contributing Projects:
Mouse Genome Database (MGD), Gene Expression Database (GXD), Mouse Models of Human Cancer database (MMHCdb) (formerly Mouse Tumor Biology (MTB)), Gene Ontology (GO)
Citing These Resources
Funding Information
Warranty Disclaimer, Privacy Notice, Licensing, & Copyright
Send questions and comments to User Support.
last database update
12/30/2025
MGI 6.24
The Jackson Laboratory