About   Help   FAQ
Gene Expression Data
Assay Details
Assay
Reference: J:153498 Diez-Roux G, et al., A high-resolution anatomical atlas of the transcriptome in the mouse embryo. PLoS Biol. 2011;9(1):e1000582
Assay type: RNA in situ
MGI Accession ID: MGI:4827193
Gene symbol: Phyh
Gene name: phytanoyl-CoA hydroxylase
Probe: MGC clone 5835
Probe preparation: Antisense labelled with digoxigenin RNA
Visualized with: Alkaline phosphatase
Assay notes: Cryosections of fresh frozen material were fixed in 4% paraformaldehyde for 20 min. before further processing. A tyramide-biotin/streptavidin amplification step was included in the in situ hybridization procedure.
Results
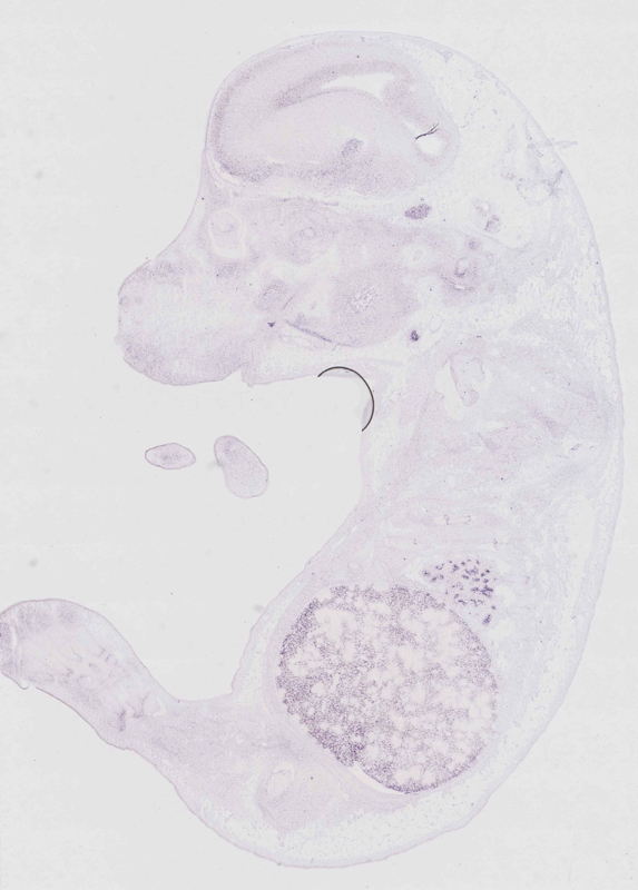
Specimen euxassay_004803_01: embryonic day 14.5 (more )
Structure Level Pattern Image Note
TS23: liver left lobe Moderate Regionally restricted euxassay_004803_01
TS23: left lung Moderate Regionally restricted euxassay_004803_01

Specimen euxassay_004803_02: embryonic day 14.5 (more )
Structure Level Pattern Image Note
TS23: liver left lobe Moderate Regionally restricted euxassay_004803_02
TS23: left lung Moderate Regionally restricted euxassay_004803_02
TS23: stomach Weak Regionally restricted euxassay_004803_02

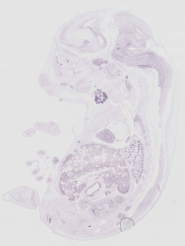
Specimen euxassay_004803_03: embryonic day 14.5 (more )
Structure Level Pattern Image Note
TS23: liver left lobe Moderate Regionally restricted euxassay_004803_03
TS23: left lung Moderate Regionally restricted euxassay_004803_03
TS23: trigeminal ganglion Moderate Regionally restricted euxassay_004803_03
TS23: dorsal root ganglion Weak Regionally restricted euxassay_004803_03
TS23: stomach Weak Regionally restricted euxassay_004803_03
TS23: midgut loop Weak Regionally restricted euxassay_004803_03

Specimen euxassay_004803_04: embryonic day 14.5 (more )
Structure Level Pattern Image Note
TS23: liver left lobe Moderate Regionally restricted euxassay_004803_04
TS23: left lung Moderate Regionally restricted euxassay_004803_04
TS23: trigeminal ganglion Moderate Regionally restricted euxassay_004803_04
TS23: glossopharyngeal ganglion Moderate Regionally restricted euxassay_004803_04
TS23: dorsal root ganglion Weak Regionally restricted euxassay_004803_04
TS23: midgut loop Weak Regionally restricted euxassay_004803_04
TS23: stomach Weak Regionally restricted euxassay_004803_04

Specimen euxassay_004803_05: embryonic day 14.5 (more )
Structure Level Pattern Image Note
TS23: liver left lobe Moderate Regionally restricted euxassay_004803_05
TS23: left lung Moderate Regionally restricted euxassay_004803_05
TS23: trigeminal ganglion Moderate Regionally restricted euxassay_004803_05
TS23: glossopharyngeal ganglion Moderate Regionally restricted euxassay_004803_05
TS23: dorsal root ganglion Moderate Regionally restricted euxassay_004803_05
TS23: midgut loop Weak Regionally restricted euxassay_004803_05
TS23: stomach Weak Regionally restricted euxassay_004803_05

Specimen euxassay_004803_06: embryonic day 14.5 (more )
Structure Level Pattern Image Note
TS23: liver left lobe Moderate Regionally restricted euxassay_004803_06
TS23: left lung Moderate Regionally restricted euxassay_004803_06
TS23: submandibular gland primordium Strong Regionally restricted euxassay_004803_06
TS23: trigeminal ganglion Moderate Regionally restricted euxassay_004803_06
TS23: heart ventricle Weak Uniform euxassay_004803_06
TS23: midgut loop Weak Regionally restricted euxassay_004803_06
TS23: stomach Weak Regionally restricted euxassay_004803_06

Specimen euxassay_004803_07: embryonic day 14.5 (more )
Structure Level Pattern Image Note
TS23: liver left lobe Moderate Regionally restricted euxassay_004803_07
TS23: left lung Moderate Regionally restricted euxassay_004803_07
TS23: submandibular gland primordium Strong Regionally restricted euxassay_004803_07
TS23: trigeminal ganglion Moderate Regionally restricted euxassay_004803_07
TS23: heart ventricle Weak Uniform euxassay_004803_07
TS23: midgut loop Weak Regionally restricted euxassay_004803_07
TS23: stomach Weak Regionally restricted euxassay_004803_07

Specimen euxassay_004803_08: embryonic day 14.5 (more )
Structure Level Pattern Image Note
TS23: liver left lobe Moderate Regionally restricted euxassay_004803_08
TS23: left lung Moderate Regionally restricted euxassay_004803_08
TS23: submandibular gland primordium Strong Regionally restricted euxassay_004803_08
TS23: trigeminal ganglion Moderate Regionally restricted euxassay_004803_08
TS23: heart ventricle Weak Uniform euxassay_004803_08
TS23: midgut loop Weak Regionally restricted euxassay_004803_08

Specimen euxassay_004803_09: embryonic day 14.5 (more )
Structure Level Pattern Image Note
TS23: liver left lobe Moderate Regionally restricted euxassay_004803_09
TS23: left lung Moderate Regionally restricted euxassay_004803_09
TS23: submandibular gland primordium Strong Regionally restricted euxassay_004803_09
TS23: heart ventricle Weak Uniform euxassay_004803_09
TS23: adenohypophysis Weak Regionally restricted euxassay_004803_09
TS23: midgut loop Weak Regionally restricted euxassay_004803_09

Specimen euxassay_004803_10: embryonic day 14.5 (more )
Structure Level Pattern Image Note
TS23: liver left lobe Moderate Regionally restricted euxassay_004803_10
TS23: left lung Moderate Regionally restricted euxassay_004803_10
TS23: heart ventricle Weak Uniform euxassay_004803_10
TS23: adenohypophysis Weak Regionally restricted euxassay_004803_10
TS23: midgut loop Weak Regionally restricted euxassay_004803_10

Specimen euxassay_004803_11: embryonic day 14.5 (more )
Structure Level Pattern Image Note
TS23: liver left lobe Moderate Regionally restricted euxassay_004803_11
TS23: left lung Moderate Regionally restricted euxassay_004803_11
TS23: heart ventricle Weak Uniform euxassay_004803_11
TS23: midgut loop Weak Regionally restricted euxassay_004803_11

Specimen euxassay_004803_12: embryonic day 14.5 (more )
Structure Level Pattern Image Note
TS23: liver left lobe Moderate Regionally restricted euxassay_004803_12
TS23: left lung Moderate Regionally restricted euxassay_004803_12
TS23: dorsal root ganglion Moderate Regionally restricted euxassay_004803_12
TS23: heart ventricle Weak Uniform euxassay_004803_12
TS23: midgut loop Weak Regionally restricted euxassay_004803_12

Specimen euxassay_004803_13: embryonic day 14.5 (more )
Structure Level Pattern Image Note
TS23: liver left lobe Moderate Regionally restricted euxassay_004803_13
TS23: right lung Moderate Regionally restricted euxassay_004803_13
TS23: dorsal root ganglion Moderate Regionally restricted euxassay_004803_13
TS23: heart ventricle Weak Uniform euxassay_004803_13
TS23: adenohypophysis Weak Regionally restricted euxassay_004803_13

Specimen euxassay_004803_14: embryonic day 14.5 (more )
Structure Level Pattern Image Note
TS23: liver right lobe Moderate Regionally restricted euxassay_004803_14
TS23: right lung Moderate Regionally restricted euxassay_004803_14
TS23: dorsal root ganglion Moderate Regionally restricted euxassay_004803_14
TS23: heart ventricle Weak Uniform euxassay_004803_14
TS23: adenohypophysis Weak Regionally restricted euxassay_004803_14

Specimen euxassay_004803_15: embryonic day 14.5 (more )
Structure Level Pattern Image Note
TS23: liver right lobe Moderate Regionally restricted euxassay_004803_15
TS23: right lung Moderate Regionally restricted euxassay_004803_15
TS23: vagus ganglion Moderate Regionally restricted euxassay_004803_15
TS23: heart ventricle Weak Uniform euxassay_004803_15

Specimen euxassay_004803_16: embryonic day 14.5 (more )
Structure Level Pattern Image Note
TS23: liver right lobe Moderate Regionally restricted euxassay_004803_16
TS23: right lung Moderate Regionally restricted euxassay_004803_16
TS23: trigeminal ganglion Moderate Regionally restricted euxassay_004803_16
TS23: glossopharyngeal ganglion Moderate Regionally restricted euxassay_004803_16

Specimen euxassay_004803_17: embryonic day 14.5 (more )
Structure Level Pattern Image Note
TS23: liver right lobe Moderate Regionally restricted euxassay_004803_17
TS23: right lung Moderate Regionally restricted euxassay_004803_17
TS23: trigeminal ganglion Moderate Regionally restricted euxassay_004803_17

Specimen euxassay_004803_18: embryonic day 14.5 (more )
Structure Level Pattern Image Note
TS23: liver right lobe Moderate Regionally restricted euxassay_004803_18
TS23: right lung Moderate Regionally restricted euxassay_004803_18
TS23: trigeminal ganglion Moderate Regionally restricted euxassay_004803_18

Specimen euxassay_004803_19: embryonic day 14.5 (more )
Structure Level Pattern Image Note
TS23: liver right lobe Moderate Regionally restricted euxassay_004803_19
TS23: right lung Moderate Regionally restricted euxassay_004803_19
TS23: trigeminal ganglion Moderate Regionally restricted euxassay_004803_19

Specimen euxassay_004803_20: embryonic day 14.5 (more )
Structure Level Pattern Image Note
TS23: liver right lobe Moderate Regionally restricted euxassay_004803_20
TS23: right lung Moderate Regionally restricted euxassay_004803_20
TS23: trigeminal ganglion Moderate Regionally restricted euxassay_004803_20

Specimen euxassay_004803_21: embryonic day 14.5 (more )
Structure Level Pattern Image Note
TS23: liver right lobe Moderate Regionally restricted euxassay_004803_21
TS23: right lung Moderate Regionally restricted euxassay_004803_21
TS23: trigeminal ganglion Moderate Regionally restricted euxassay_004803_21

Specimen euxassay_004803_22: embryonic day 14.5 (more )
Structure Level Pattern Image Note
TS23: liver right lobe Moderate Regionally restricted euxassay_004803_22

Specimen euxassay_004803_23: embryonic day 14.5 (more )
Structure Level Pattern Image Note
TS23: liver right lobe Moderate Regionally restricted euxassay_004803_23

Specimen euxassay_004803_24: embryonic day 14.5 (more )
Structure Level Pattern Image Note
TS23: liver right lobe Moderate Regionally restricted euxassay_004803_24


Contributing Projects:
Mouse Genome Database (MGD), Gene Expression Database (GXD), Mouse Models of Human Cancer database (MMHCdb) (formerly Mouse Tumor Biology (MTB)), Gene Ontology (GO)
Citing These Resources
Funding Information
Warranty Disclaimer, Privacy Notice, Licensing, & Copyright
Send questions and comments to User Support.
last database update
01/28/2026
MGI 6.24
The Jackson Laboratory