About   Help   FAQ
Gene Expression Data
Assay Details
Assay
Reference: J:153498 Diez-Roux G, et al., A high-resolution anatomical atlas of the transcriptome in the mouse embryo. PLoS Biol. 2011;9(1):e1000582
Assay type: RNA in situ
MGI Accession ID: MGI:4826974
Gene symbol: Onecut3
Gene name: one cut domain, family member 3
Probe: T55136
Probe preparation: Antisense labelled with digoxigenin RNA
Visualized with: Alkaline phosphatase
Assay notes: Cryosections of fresh frozen material were fixed in 4% paraformaldehyde for 20 min. before further processing. A tyramide-biotin/streptavidin amplification step was included in the in situ hybridization procedure.
Results
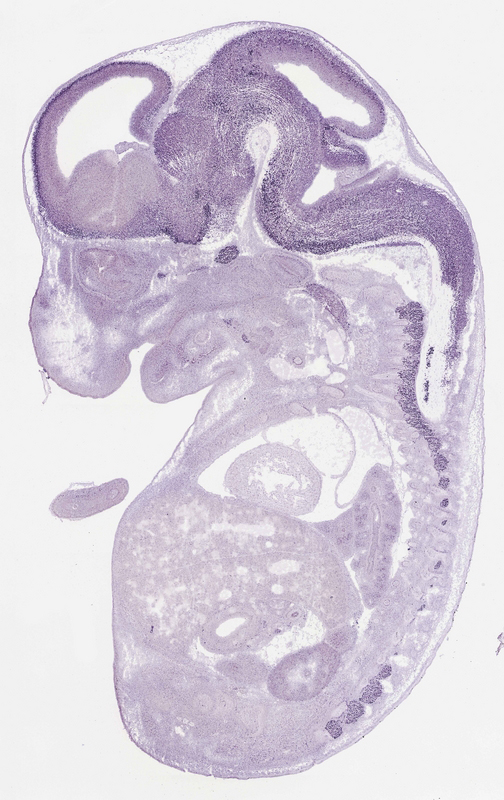
Specimen euxassay_019619_01: embryonic day 14.5 (more )
Structure Level Pattern Image Note
TS23: neural retina Strong Regionally restricted euxassay_019619_01
TS23: telencephalon Strong Regionally restricted euxassay_019619_01

Specimen euxassay_019619_02: embryonic day 14.5 (more )
Structure Level Pattern Image Note
TS23: neural retina Strong Regionally restricted euxassay_019619_02
TS23: telencephalon Strong Regionally restricted euxassay_019619_02

Specimen euxassay_019619_03: embryonic day 14.5 (more )
Structure Level Pattern Image Note
TS23: neural retina Strong Regionally restricted euxassay_019619_03
TS23: trigeminal ganglion Strong Regionally restricted euxassay_019619_03
TS23: telencephalon Strong Regionally restricted euxassay_019619_03
TS23: hindbrain Strong Regionally restricted euxassay_019619_03

Specimen euxassay_019619_04: embryonic day 14.5 (more )
Structure Level Pattern Image Note
TS23: trigeminal ganglion Strong Regionally restricted euxassay_019619_04
TS23: facial ganglion Strong Regionally restricted euxassay_019619_04
TS23: telencephalon Strong Regionally restricted euxassay_019619_04
TS23: hindbrain Strong Regionally restricted euxassay_019619_04

Specimen euxassay_019619_05: embryonic day 14.5 (more )
Structure Level Pattern Image Note
TS23: trigeminal ganglion Strong Regionally restricted euxassay_019619_05
TS23: facial ganglion Strong Regionally restricted euxassay_019619_05
TS23: telencephalon Strong Regionally restricted euxassay_019619_05
TS23: hindbrain Strong Regionally restricted euxassay_019619_05
TS23: midbrain Strong Regionally restricted euxassay_019619_05

Specimen euxassay_019619_06: embryonic day 14.5 (more )
Structure Level Pattern Image Note
TS23: trigeminal ganglion Strong Regionally restricted euxassay_019619_06
TS23: vestibulo-cochlear ganglion Strong Regionally restricted euxassay_019619_06
TS23: glossopharyngeal ganglion Strong Regionally restricted euxassay_019619_06
TS23: midbrain Strong Regionally restricted euxassay_019619_06
TS23: hindbrain Strong Regionally restricted euxassay_019619_06
TS23: telencephalon Strong Regionally restricted euxassay_019619_06
TS23: diencephalon Strong Regionally restricted euxassay_019619_06

Specimen euxassay_019619_07: embryonic day 14.5 (more )
Structure Level Pattern Image Note
TS23: trigeminal ganglion Strong Regionally restricted euxassay_019619_07
TS23: vestibulo-cochlear ganglion Strong Regionally restricted euxassay_019619_07
TS23: glossopharyngeal ganglion Strong Regionally restricted euxassay_019619_07
TS23: dorsal root ganglion Strong Regionally restricted euxassay_019619_07
TS23: midbrain Strong Regionally restricted euxassay_019619_07
TS23: hindbrain Strong Regionally restricted euxassay_019619_07
TS23: telencephalon Strong Regionally restricted euxassay_019619_07
TS23: diencephalon Strong Regionally restricted euxassay_019619_07

Specimen euxassay_019619_08: embryonic day 14.5 (more )
Structure Level Pattern Image Note
TS23: vestibulo-cochlear ganglion Strong Regionally restricted euxassay_019619_08
TS23: trigeminal ganglion Strong Regionally restricted euxassay_019619_08
TS23: vagus ganglion Strong Regionally restricted euxassay_019619_08
TS23: dorsal root ganglion Strong Regionally restricted euxassay_019619_08
TS23: midbrain Strong Regionally restricted euxassay_019619_08
TS23: hindbrain Strong Regionally restricted euxassay_019619_08
TS23: telencephalon Strong Regionally restricted euxassay_019619_08
TS23: diencephalon Strong Regionally restricted euxassay_019619_08

Specimen euxassay_019619_09: embryonic day 14.5 (more )
Structure Level Pattern Image Note
TS23: trigeminal ganglion Strong Regionally restricted euxassay_019619_09
TS23: dorsal root ganglion Strong Regionally restricted euxassay_019619_09
TS23: spinal cord Strong Regionally restricted euxassay_019619_09
TS23: midbrain Strong Regionally restricted euxassay_019619_09
TS23: hindbrain Strong Regionally restricted euxassay_019619_09
TS23: telencephalon Strong Regionally restricted euxassay_019619_09
TS23: diencephalon Strong Regionally restricted euxassay_019619_09

Specimen euxassay_019619_10: embryonic day 14.5 (more )
Structure Level Pattern Image Note
TS23: dorsal root ganglion Strong Regionally restricted euxassay_019619_10
TS23: spinal cord Strong Regionally restricted euxassay_019619_10
TS23: midbrain Strong Regionally restricted euxassay_019619_10
TS23: hindbrain Strong Regionally restricted euxassay_019619_10
TS23: telencephalon Strong Regionally restricted euxassay_019619_10
TS23: diencephalon Strong Regionally restricted euxassay_019619_10

Specimen euxassay_019619_11: embryonic day 14.5 (more )
Structure Level Pattern Image Note
TS23: dorsal root ganglion Strong Regionally restricted euxassay_019619_11
TS23: spinal cord Strong Regionally restricted euxassay_019619_11
TS23: midbrain Strong Regionally restricted euxassay_019619_11
TS23: hindbrain Strong Regionally restricted euxassay_019619_11
TS23: diencephalon Strong Regionally restricted euxassay_019619_11
TS23: telencephalon Strong Regionally restricted euxassay_019619_11

Specimen euxassay_019619_12: embryonic day 14.5 (more )
Structure Level Pattern Image Note
TS23: dorsal root ganglion Strong Regionally restricted euxassay_019619_12
TS23: spinal cord Strong Regionally restricted euxassay_019619_12
TS23: midbrain Strong Regionally restricted euxassay_019619_12
TS23: hindbrain Strong Regionally restricted euxassay_019619_12
TS23: telencephalon Strong Regionally restricted euxassay_019619_12
TS23: diencephalon Strong Regionally restricted euxassay_019619_12

Specimen euxassay_019619_13: embryonic day 14.5 (more )
Structure Level Pattern Image Note
TS23: spinal cord Strong Regionally restricted euxassay_019619_13
TS23: midbrain Strong Regionally restricted euxassay_019619_13
TS23: hindbrain Strong Regionally restricted euxassay_019619_13
TS23: telencephalon Strong Regionally restricted euxassay_019619_13
TS23: diencephalon Strong Regionally restricted euxassay_019619_13

Specimen euxassay_019619_14: embryonic day 14.5 (more )
Structure Level Pattern Image Note
TS23: spinal cord Strong Regionally restricted euxassay_019619_14
TS23: midbrain Strong Regionally restricted euxassay_019619_14
TS23: hindbrain Strong Regionally restricted euxassay_019619_14
TS23: telencephalon Strong Regionally restricted euxassay_019619_14
TS23: diencephalon Strong Regionally restricted euxassay_019619_14

Specimen euxassay_019619_15: embryonic day 14.5 (more )
Structure Level Pattern Image Note
TS23: hindbrain Strong Regionally restricted euxassay_019619_15
TS23: midbrain Strong Regionally restricted euxassay_019619_15
TS23: telencephalon Strong Regionally restricted euxassay_019619_15
TS23: diencephalon Strong Regionally restricted euxassay_019619_15
TS23: spinal cord Strong Regionally restricted euxassay_019619_15

Specimen euxassay_019619_16: embryonic day 14.5 (more )
Structure Level Pattern Image Note
TS23: dorsal root ganglion Moderate Regionally restricted euxassay_019619_16
TS23: midbrain Moderate Regionally restricted euxassay_019619_16
TS23: hindbrain Moderate Regionally restricted euxassay_019619_16
TS23: telencephalon Moderate Regionally restricted euxassay_019619_16
TS23: diencephalon Moderate Regionally restricted euxassay_019619_16

Specimen euxassay_019619_17: embryonic day 14.5 (more )
Structure Level Pattern Image Note
TS23: vagus ganglion Strong Regionally restricted euxassay_019619_17
TS23: trigeminal ganglion Strong Regionally restricted euxassay_019619_17
TS23: dorsal root ganglion Strong Regionally restricted euxassay_019619_17
TS23: midbrain Strong Regionally restricted euxassay_019619_17
TS23: hindbrain Strong Regionally restricted euxassay_019619_17
TS23: telencephalon Strong Regionally restricted euxassay_019619_17
TS23: diencephalon Strong Regionally restricted euxassay_019619_17

Specimen euxassay_019619_18: embryonic day 14.5 (more )
Structure Level Pattern Image Note
TS23: trigeminal ganglion Strong Regionally restricted euxassay_019619_18
TS23: vestibulo-cochlear ganglion Strong Regionally restricted euxassay_019619_18
TS23: glossopharyngeal ganglion Strong Regionally restricted euxassay_019619_18
TS23: dorsal root ganglion Strong Regionally restricted euxassay_019619_18
TS23: midbrain Strong Regionally restricted euxassay_019619_18
TS23: hindbrain Strong Regionally restricted euxassay_019619_18
TS23: telencephalon Strong Regionally restricted euxassay_019619_18
TS23: diencephalon Strong Regionally restricted euxassay_019619_18

Specimen euxassay_019619_19: embryonic day 14.5 (more )
Structure Level Pattern Image Note
TS23: trigeminal ganglion Strong Regionally restricted euxassay_019619_19
TS23: vestibulo-cochlear ganglion Strong Regionally restricted euxassay_019619_19
TS23: glossopharyngeal ganglion Strong Regionally restricted euxassay_019619_19
TS23: telencephalon Strong Regionally restricted euxassay_019619_19
TS23: hindbrain Strong Regionally restricted euxassay_019619_19

Specimen euxassay_019619_20: embryonic day 14.5 (more )
Structure Level Pattern Image Note
TS23: trigeminal ganglion Strong Regionally restricted euxassay_019619_20
TS23: facial ganglion Strong Regionally restricted euxassay_019619_20
TS23: telencephalon Strong Regionally restricted euxassay_019619_20
TS23: hindbrain Strong Regionally restricted euxassay_019619_20

Specimen euxassay_019619_21: embryonic day 14.5 (more )
Structure Level Pattern Image Note
TS23: trigeminal ganglion Strong Regionally restricted euxassay_019619_21
TS23: facial ganglion Strong Regionally restricted euxassay_019619_21
TS23: telencephalon Strong Regionally restricted euxassay_019619_21
TS23: hindbrain Strong Regionally restricted euxassay_019619_21

Specimen euxassay_019619_22: embryonic day 14.5 (more )
Structure Level Pattern Image Note
TS23: trigeminal ganglion Strong Regionally restricted euxassay_019619_22
TS23: facial ganglion Strong Regionally restricted euxassay_019619_22
TS23: telencephalon Strong Regionally restricted euxassay_019619_22

Specimen euxassay_019619_23: embryonic day 14.5 (more )
Structure Level Pattern Image Note
TS23: neural retina Moderate Regionally restricted euxassay_019619_23
TS23: telencephalon Strong Regionally restricted euxassay_019619_23

Specimen euxassay_019619_24: embryonic day 14.5 (more )
Structure Level Pattern Image Note
TS23: neural retina Strong Regionally restricted euxassay_019619_24
TS23: telencephalon Strong Regionally restricted euxassay_019619_24


Contributing Projects:
Mouse Genome Database (MGD), Gene Expression Database (GXD), Mouse Models of Human Cancer database (MMHCdb) (formerly Mouse Tumor Biology (MTB)), Gene Ontology (GO)
Citing These Resources
Funding Information
Warranty Disclaimer, Privacy Notice, Licensing, & Copyright
Send questions and comments to User Support.
last database update
03/31/2026
MGI 6.24
The Jackson Laboratory