About   Help   FAQ
Gene Expression Data
Assay Details
Assay
Reference: J:153498 Diez-Roux G, et al., A high-resolution anatomical atlas of the transcriptome in the mouse embryo. PLoS Biol. 2011;9(1):e1000582
Assay type: RNA in situ
MGI Accession ID: MGI:4826683
Gene symbol: Nfatc2
Gene name: nuclear factor of activated T cells, cytoplasmic, calcineurin dependent 2
Probe: T38229
Probe preparation: Antisense labelled with digoxigenin RNA
Visualized with: Alkaline phosphatase
Assay notes: Cryosections of fresh frozen material were fixed in 4% paraformaldehyde for 20 min. before further processing. A tyramide-biotin/streptavidin amplification step was included in the in situ hybridization procedure.
Results
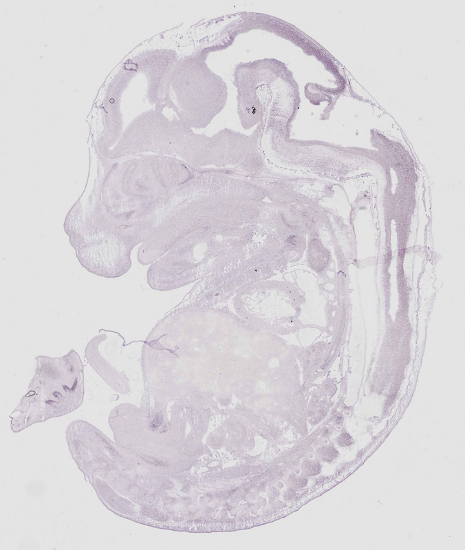
Specimen Table S8: embryonic day 14.5 (more )
Structure Level Pattern Image Note
TS23: neocortex Weak euxassay_013856_12
TS23: hippocampus Weak euxassay_013856_12
TS23: corpus striatum Absent euxassay_013856_12
TS23: telencephalon septum Absent euxassay_013856_12
TS23: thalamus Weak euxassay_013856_12
TS23: hypothalamus Absent euxassay_013856_12
TS23: pretectum Absent euxassay_013856_12
TS23: superior colliculus Moderate euxassay_013856_12
TS23: inferior colliculus Moderate euxassay_013856_12
TS23: midbrain tegmentum Weak euxassay_013856_12
TS23: cerebellum Weak euxassay_013856_12
TS23: spinal cord Weak euxassay_013856_12
TS23: skin Absent euxassay_013856_12
TS23: lung Moderate euxassay_013856_12
TS23: metanephros Absent euxassay_013856_12
TS23: liver Absent euxassay_013856_12
TS23: thyroid gland Absent euxassay_013856_12
TS23: pituitary gland Absent euxassay_013856_12
TS23: pancreas Absent euxassay_013856_12
TS23: adrenal gland Absent euxassay_013856_12
TS23: heart Absent euxassay_013856_12
TS23: thymus primordium Weak euxassay_013856_12
TS23: vertebral axis musculature Absent euxassay_013856_12
TS23: axial skeleton Absent euxassay_013856_12

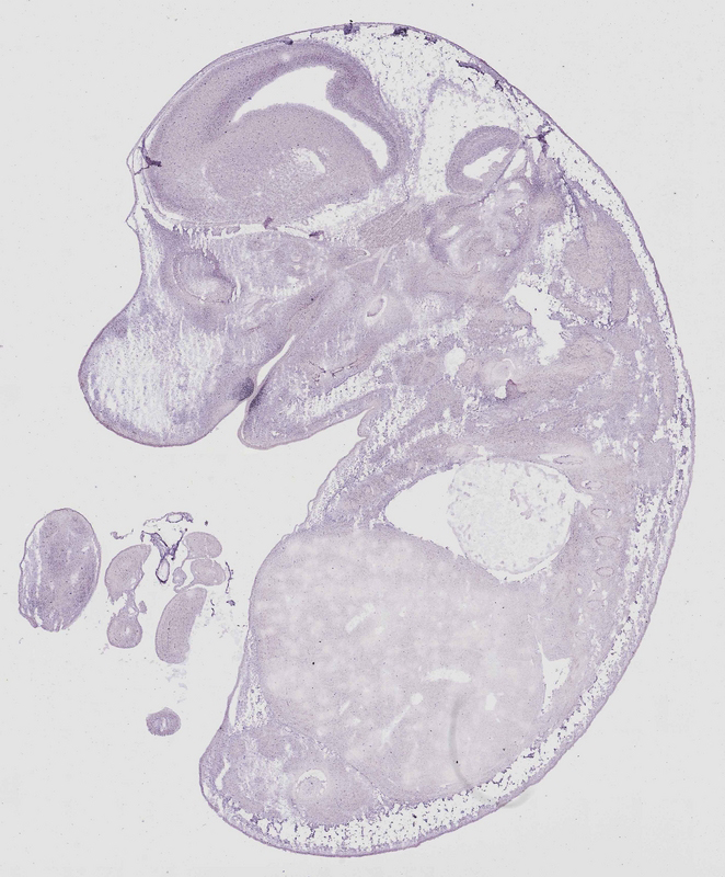
Specimen euxassay_013856_08: embryonic day 14.5 (more )
Structure Level Pattern Image Note
TS23: upper lip Weak Regionally restricted euxassay_013856_08
TS23: lower lip Weak Regionally restricted euxassay_013856_08

Specimen euxassay_013856_09: embryonic day 14.5 (more )
Structure Level Pattern Image Note
TS23: upper lip Moderate Regionally restricted euxassay_013856_09
TS23: lower lip Moderate Regionally restricted euxassay_013856_09

Specimen euxassay_013856_10: embryonic day 14.5 (more )
Structure Level Pattern Image Note
TS23: lower lip Moderate Regionally restricted euxassay_013856_10

Specimen euxassay_013856_11: embryonic day 14.5 (more )
Structure Level Pattern Image Note
TS23: lower lip Moderate Regionally restricted euxassay_013856_11

Specimen euxassay_013856_19: embryonic day 14.5 (more )
Structure Level Pattern Image Note
TS23: lower lip Weak Regionally restricted euxassay_013856_19

Specimen euxassay_013856_20: embryonic day 14.5 (more )
Structure Level Pattern Image Note
TS23: lower lip Moderate Regionally restricted euxassay_013856_20

Specimen euxassay_013856_21: embryonic day 14.5 (more )
Structure Level Pattern Image Note
TS23: lower lip Moderate Regionally restricted euxassay_013856_21
TS23: upper lip Moderate Regionally restricted euxassay_013856_21

Specimen euxassay_013856_22: embryonic day 14.5 (more )
Structure Level Pattern Image Note
TS23: lower lip Weak Regionally restricted euxassay_013856_22
TS23: upper lip Weak Regionally restricted euxassay_013856_22


Contributing Projects:
Mouse Genome Database (MGD), Gene Expression Database (GXD), Mouse Models of Human Cancer database (MMHCdb) (formerly Mouse Tumor Biology (MTB)), Gene Ontology (GO)
Citing These Resources
Funding Information
Warranty Disclaimer, Privacy Notice, Licensing, & Copyright
Send questions and comments to User Support.
last database update
12/30/2025
MGI 6.24
The Jackson Laboratory