About   Help   FAQ
Gene Expression Data
Assay Details
Assay
Reference: J:153498 Diez-Roux G, et al., A high-resolution anatomical atlas of the transcriptome in the mouse embryo. PLoS Biol. 2011;9(1):e1000582
Assay type: RNA in situ
MGI Accession ID: MGI:4826546
Gene symbol: Myh9
Gene name: myosin, heavy polypeptide 9, non-muscle
Probe: T36656
Probe preparation: Antisense labelled with digoxigenin RNA
Visualized with: Alkaline phosphatase
Assay notes: Cryosections of fresh frozen material were fixed in 4% paraformaldehyde for 20 min. before further processing. A tyramide-biotin/streptavidin amplification step was included in the in situ hybridization procedure.
Results
Specimen euxassay_009371_01: embryonic day 14.5 (more )
Structure Level Pattern Image Note
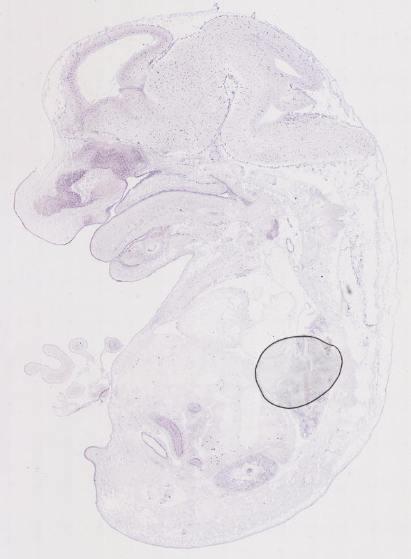
TS23: lung Weak Regionally restricted euxassay_009371_01
TS23: pharyngo-tympanic tube Weak Regionally restricted euxassay_009371_01
TS23: cornea Weak Regionally restricted euxassay_009371_01

Specimen euxassay_009371_02: embryonic day 14.5 (more )
Structure Level Pattern Image Note
TS23: lung Weak Regionally restricted euxassay_009371_02
TS23: pharyngo-tympanic tube Weak Regionally restricted euxassay_009371_02
TS23: cornea Weak Regionally restricted euxassay_009371_02

Specimen euxassay_009371_04: embryonic day 14.5 (more )
Structure Level Pattern Image Note
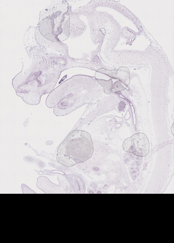
TS23: vibrissa Moderate Regionally restricted euxassay_009371_04
TS23: lung Weak Regionally restricted euxassay_009371_04
TS23: metanephros Weak Regionally restricted euxassay_009371_04

Specimen euxassay_009371_05: embryonic day 14.5 (more )
Structure Level Pattern Image Note
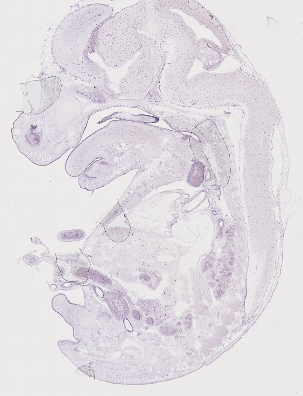
TS23: vibrissa Moderate Regionally restricted euxassay_009371_05
TS23: submandibular gland primordium Strong Regionally restricted euxassay_009371_05
TS23: upper jaw molar Moderate Regionally restricted euxassay_009371_05
TS23: lung Weak Regionally restricted euxassay_009371_05
TS23: metanephros Weak Regionally restricted euxassay_009371_05

Specimen euxassay_009371_06: embryonic day 14.5 (more )
Structure Level Pattern Image Note
TS23: submandibular gland primordium Strong Regionally restricted euxassay_009371_06
TS23: upper jaw molar Moderate Regionally restricted euxassay_009371_06
TS23: lower jaw molar Moderate Regionally restricted euxassay_009371_06
TS23: lung Weak Regionally restricted euxassay_009371_06
TS23: metanephros Weak Regionally restricted euxassay_009371_06

Specimen euxassay_009371_07: embryonic day 14.5 (more )
Structure Level Pattern Image Note
TS23: submandibular gland primordium Strong Regionally restricted euxassay_009371_07
TS23: olfactory epithelium Weak Regionally restricted euxassay_009371_07
TS23: lung Weak Regionally restricted euxassay_009371_07

Specimen euxassay_009371_08: embryonic day 14.5 (more )
Structure Level Pattern Image Note
TS23: sublingual gland primordium Strong Regionally restricted euxassay_009371_08
TS23: olfactory epithelium Weak Regionally restricted euxassay_009371_08
TS23: lung Weak Regionally restricted euxassay_009371_08
TS23: midgut Weak Regionally restricted euxassay_009371_08

Specimen euxassay_009371_09: embryonic day 14.5 (more )
Structure Level Pattern Image Note
TS23: thymus primordium Weak Regionally restricted euxassay_009371_09
TS23: thyroid gland Weak Regionally restricted euxassay_009371_09
TS23: olfactory epithelium Weak Regionally restricted euxassay_009371_09
TS23: midgut Weak Regionally restricted euxassay_009371_09
TS23: hindgut Weak Regionally restricted euxassay_009371_09

Specimen euxassay_009371_10: embryonic day 14.5 (more )
Structure Level Pattern Image Note
TS23: thymus primordium Weak Regionally restricted euxassay_009371_10
TS23: olfactory epithelium Weak Regionally restricted euxassay_009371_10
TS23: midgut Weak Regionally restricted euxassay_009371_10
TS23: hindgut Weak Regionally restricted euxassay_009371_10

Specimen euxassay_009371_11: embryonic day 14.5 (more )
Structure Level Pattern Image Note
TS23: thymus primordium Weak Regionally restricted euxassay_009371_11
TS23: olfactory epithelium Weak Regionally restricted euxassay_009371_11
TS23: trachea Moderate Regionally restricted euxassay_009371_11
TS23: lung Weak Regionally restricted euxassay_009371_11

Specimen euxassay_009371_12: embryonic day 14.5 (more )
Structure Level Pattern Image Note
TS23: thymus primordium Moderate Regionally restricted euxassay_009371_12
TS23: naris Weak Regionally restricted euxassay_009371_12
TS23: lung Weak Regionally restricted euxassay_009371_12
TS23: metanephros Weak Regionally restricted euxassay_009371_12
TS23: midgut Weak Regionally restricted euxassay_009371_12

Specimen euxassay_009371_13: embryonic day 14.5 (more )
Structure Level Pattern Image Note
TS23: thyroid gland Weak Regionally restricted euxassay_009371_13
TS23: naris Weak Regionally restricted euxassay_009371_13
TS23: olfactory epithelium Weak Regionally restricted euxassay_009371_13
TS23: lung Weak Regionally restricted euxassay_009371_13
TS23: metanephros Weak Regionally restricted euxassay_009371_13
TS23: midgut Weak Regionally restricted euxassay_009371_13

Specimen euxassay_009371_14: embryonic day 14.5 (more )
Structure Level Pattern Image Note
TS23: sublingual gland primordium Strong Regionally restricted euxassay_009371_14
TS23: olfactory epithelium Weak Regionally restricted euxassay_009371_14
TS23: lung Weak Regionally restricted euxassay_009371_14
TS23: metanephros Weak Regionally restricted euxassay_009371_14
TS23: midgut Weak Regionally restricted euxassay_009371_14

Specimen euxassay_009371_15: embryonic day 14.5 (more )
Structure Level Pattern Image Note
TS23: submandibular gland primordium Strong Regionally restricted euxassay_009371_15
TS23: olfactory epithelium Weak Regionally restricted euxassay_009371_15
TS23: lung Weak Regionally restricted euxassay_009371_15
TS23: metanephros Weak Regionally restricted euxassay_009371_15
TS23: midgut Weak Regionally restricted euxassay_009371_15

Specimen euxassay_009371_16: embryonic day 14.5 (more )
Structure Level Pattern Image Note
TS23: submandibular gland primordium Strong Regionally restricted euxassay_009371_16
TS23: olfactory epithelium Weak Regionally restricted euxassay_009371_16
TS23: lung Weak Regionally restricted euxassay_009371_16
TS23: midgut Weak Regionally restricted euxassay_009371_16

Specimen euxassay_009371_17: embryonic day 14.5 (more )
Structure Level Pattern Image Note
TS23: submandibular gland primordium Strong Regionally restricted euxassay_009371_17
TS23: olfactory epithelium Weak Regionally restricted euxassay_009371_17
TS23: upper jaw molar Moderate Regionally restricted euxassay_009371_17
TS23: lower jaw molar Moderate Regionally restricted euxassay_009371_17
TS23: lung Weak Regionally restricted euxassay_009371_17
TS23: midgut Weak Regionally restricted euxassay_009371_17

Specimen euxassay_009371_18: embryonic day 14.5 (more )
Structure Level Pattern Image Note
TS23: lung Weak Regionally restricted euxassay_009371_18
TS23: pharyngo-tympanic tube Weak Regionally restricted euxassay_009371_18

Specimen euxassay_009371_19: embryonic day 14.5 (more )
Structure Level Pattern Image Note
TS23: vibrissa Moderate Regionally restricted euxassay_009371_19
TS23: lung Weak Regionally restricted euxassay_009371_19
TS23: pharyngo-tympanic tube Weak Regionally restricted euxassay_009371_19

Specimen euxassay_009371_20: embryonic day 14.5 (more )
Structure Level Pattern Image Note
TS23: vibrissa Moderate Regionally restricted euxassay_009371_20
TS23: lung Weak Regionally restricted euxassay_009371_20
TS23: pharyngo-tympanic tube Weak Regionally restricted euxassay_009371_20

Specimen euxassay_009371_21: embryonic day 14.5 (more )
Structure Level Pattern Image Note
TS23: vibrissa Moderate Regionally restricted euxassay_009371_21
TS23: lung Weak Regionally restricted euxassay_009371_21
TS23: pharyngo-tympanic tube Moderate Regionally restricted euxassay_009371_21
TS23: cornea Weak Regionally restricted euxassay_009371_21

Specimen euxassay_009371_22: embryonic day 14.5 (more )
Structure Level Pattern Image Note
TS23: pharyngo-tympanic tube Moderate Regionally restricted euxassay_009371_22
TS23: cornea Weak Regionally restricted euxassay_009371_22


Contributing Projects:
Mouse Genome Database (MGD), Gene Expression Database (GXD), Mouse Models of Human Cancer database (MMHCdb) (formerly Mouse Tumor Biology (MTB)), Gene Ontology (GO)
Citing These Resources
Funding Information
Warranty Disclaimer, Privacy Notice, Licensing, & Copyright
Send questions and comments to User Support.
last database update
01/28/2026
MGI 6.24
The Jackson Laboratory