About   Help   FAQ
Gene Expression Data
Assay Details
Assay
Reference: J:153498 Diez-Roux G, et al., A high-resolution anatomical atlas of the transcriptome in the mouse embryo. PLoS Biol. 2011;9(1):e1000582
Assay type: RNA in situ
MGI Accession ID: MGI:4826436
Gene symbol: Mrap
Gene name: melanocortin 2 receptor accessory protein
Probe: IMAGE clone 1400678
Probe preparation: Antisense labelled with digoxigenin RNA
Visualized with: Alkaline phosphatase
Assay notes: Cryosections of fresh frozen material were fixed in 4% paraformaldehyde for 20 min. before further processing. A tyramide-biotin/streptavidin amplification step was included in the in situ hybridization procedure.
Results
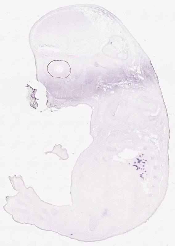
Specimen euxassay_005267_01: embryonic day 14.5 (more )
Structure Level Pattern Image Note
TS23: lung Strong Regionally restricted euxassay_005267_01

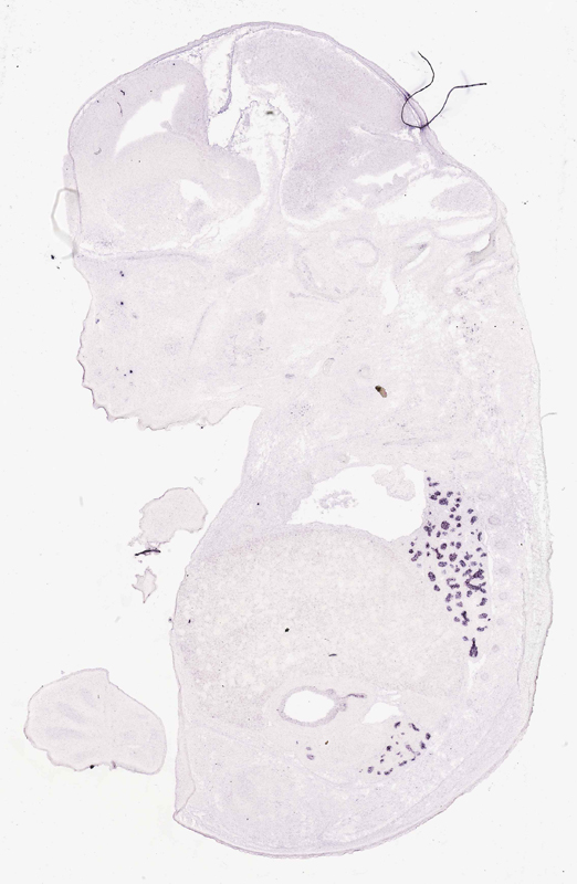
Specimen euxassay_005267_02: embryonic day 14.5 (more )
Structure Level Pattern Image Note
TS23: lung Strong Regionally restricted euxassay_005267_02

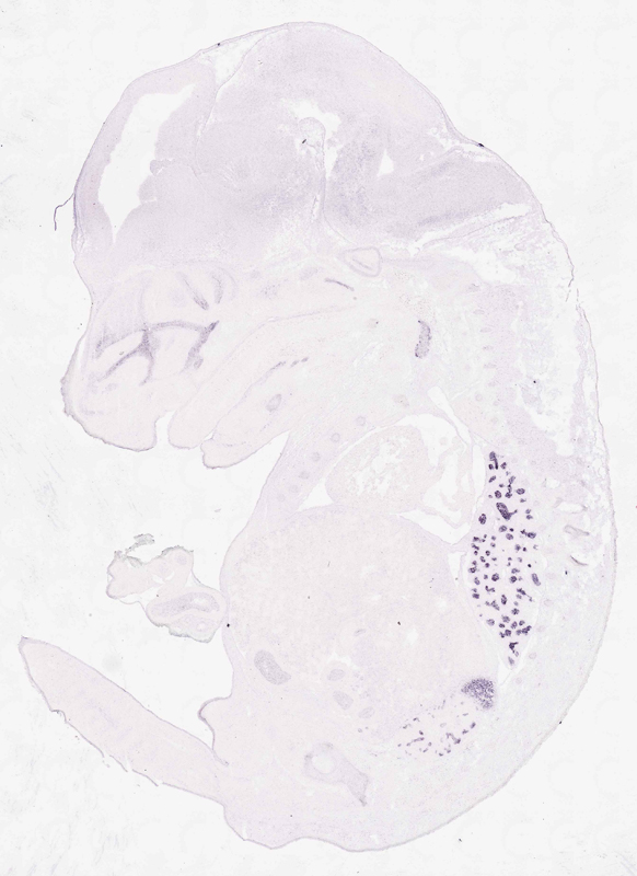
Specimen euxassay_005267_03: embryonic day 14.5 (more )
Structure Level Pattern Image Note
TS23: lung Strong Regionally restricted euxassay_005267_03

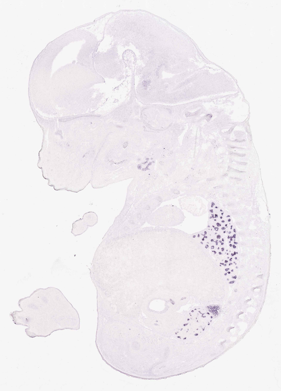
Specimen euxassay_005267_04: embryonic day 14.5 (more )
Structure Level Pattern Image Note
TS23: lung Strong Regionally restricted euxassay_005267_04

Specimen euxassay_005267_05: embryonic day 14.5 (more )
Structure Level Pattern Image Note
TS23: lung Strong Regionally restricted euxassay_005267_05
TS23: renal calyx Strong Regionally restricted euxassay_005267_05

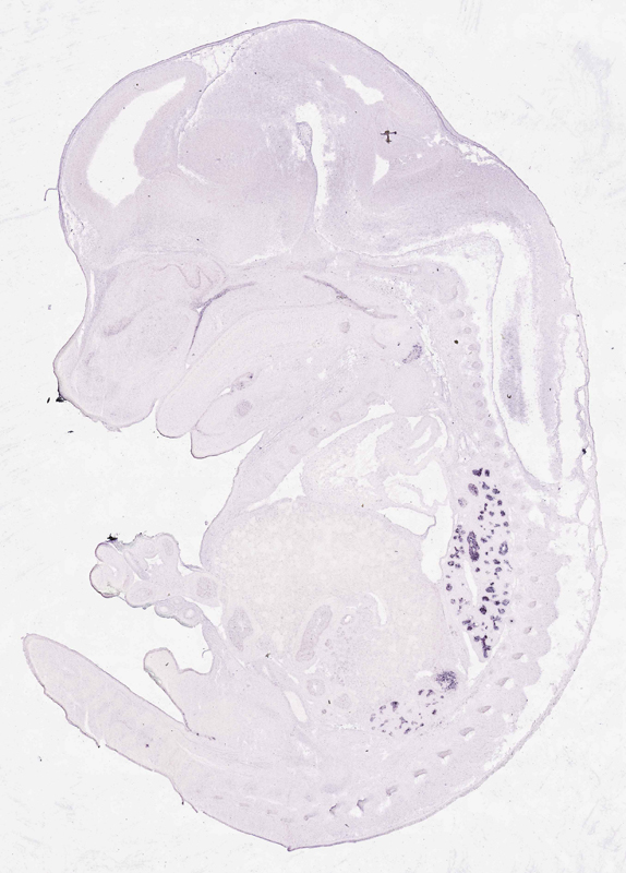
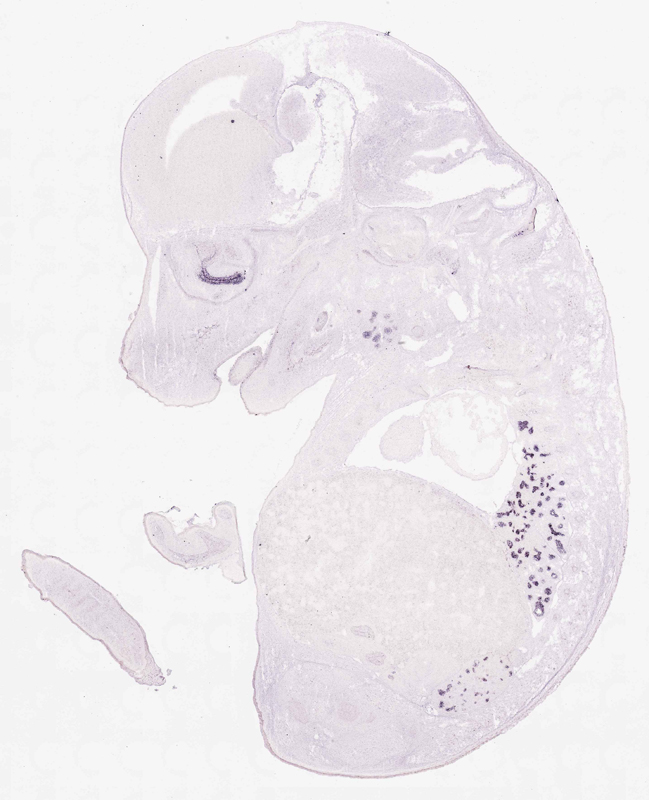
Specimen euxassay_005267_06: embryonic day 14.5 (more )
Structure Level Pattern Image Note
TS23: lung Strong Regionally restricted euxassay_005267_06
TS23: adrenal gland Strong Regionally restricted euxassay_005267_06
TS23: submandibular gland primordium Moderate Regionally restricted euxassay_005267_06
TS23: renal calyx Strong Regionally restricted euxassay_005267_06

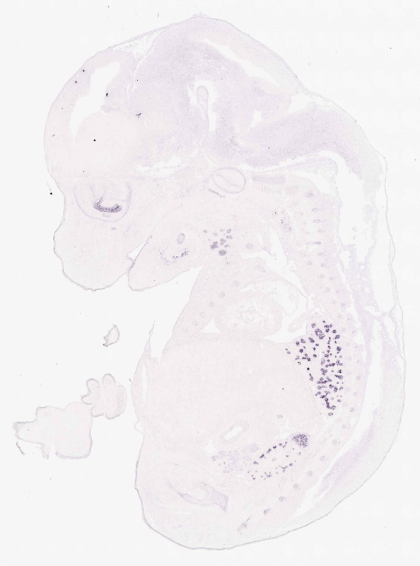
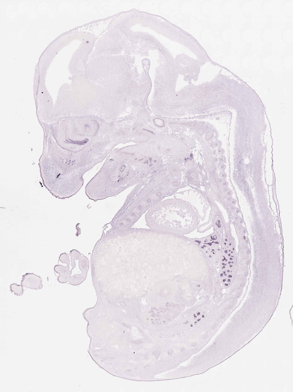
Specimen euxassay_005267_07: embryonic day 14.5 (more )
Structure Level Pattern Image Note
TS23: lung Strong Regionally restricted euxassay_005267_07
TS23: adrenal gland Strong Regionally restricted euxassay_005267_07
TS23: submandibular gland primordium Moderate Regionally restricted euxassay_005267_07
TS23: renal calyx Strong Regionally restricted euxassay_005267_07
TS23: renal pelvis Strong Regionally restricted euxassay_005267_07

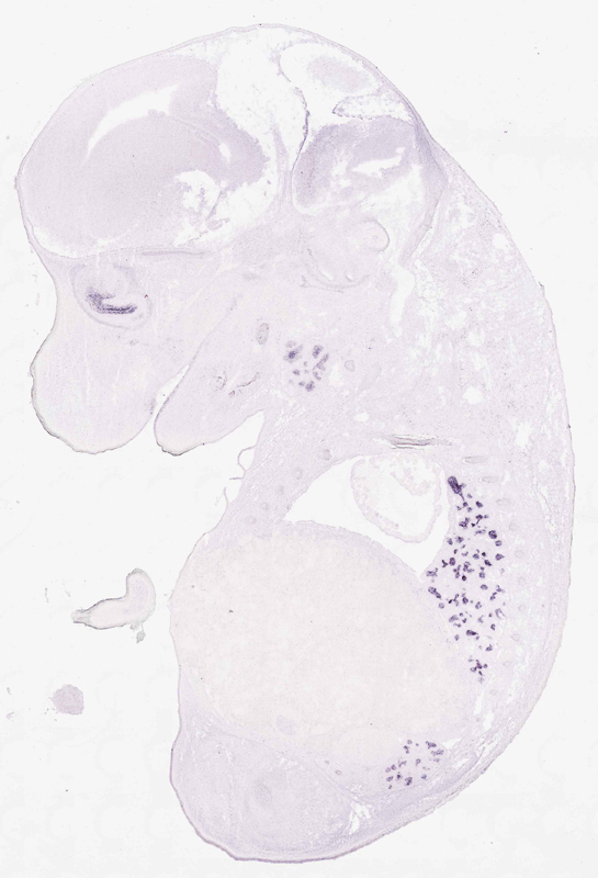
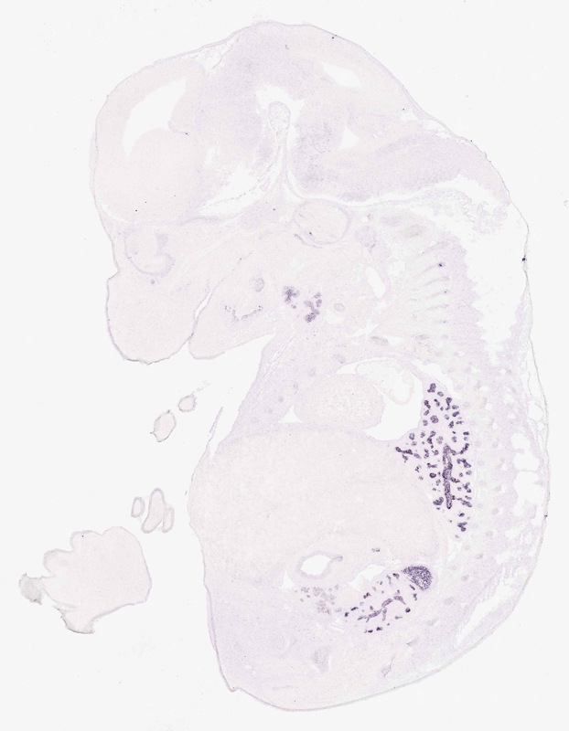
Specimen euxassay_005267_08: embryonic day 14.5 (more )
Structure Level Pattern Image Note
TS23: lung Strong Regionally restricted euxassay_005267_08
TS23: adrenal gland Moderate Regionally restricted euxassay_005267_08
TS23: olfactory epithelium Moderate Regionally restricted euxassay_005267_08
TS23: submandibular gland primordium Moderate Regionally restricted euxassay_005267_08
TS23: renal calyx Strong Regionally restricted euxassay_005267_08

Specimen euxassay_005267_09: embryonic day 14.5 (more )
Structure Level Pattern Image Note
TS23: lung Strong Regionally restricted euxassay_005267_09
TS23: olfactory epithelium Moderate Regionally restricted euxassay_005267_09
TS23: submandibular gland primordium Moderate Regionally restricted euxassay_005267_09
TS23: renal calyx Strong Regionally restricted euxassay_005267_09

Specimen euxassay_005267_10: embryonic day 14.5 (more )
Structure Level Pattern Image Note
TS23: lung Strong Regionally restricted euxassay_005267_10
TS23: olfactory epithelium Moderate Regionally restricted euxassay_005267_10

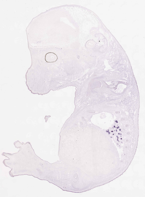
Specimen euxassay_005267_11: embryonic day 14.5 (more )
Structure Level Pattern Image Note
TS23: lung Strong Regionally restricted euxassay_005267_11
TS23: bladder Weak Regionally restricted euxassay_005267_11

Specimen euxassay_005267_12: embryonic day 14.5 (more )
Structure Level Pattern Image Note
TS23: lung Strong Regionally restricted euxassay_005267_12
TS23: trachea Weak Regionally restricted euxassay_005267_12
TS23: bladder Weak Regionally restricted euxassay_005267_12
TS23: urethra Weak Regionally restricted euxassay_005267_12 Originally this result was annotated to a male-specific term, but as the specimen was not sexed, it is likely the data annotator intended to use a non-sex specific term.
TS23: rectum Weak Regionally restricted euxassay_005267_12

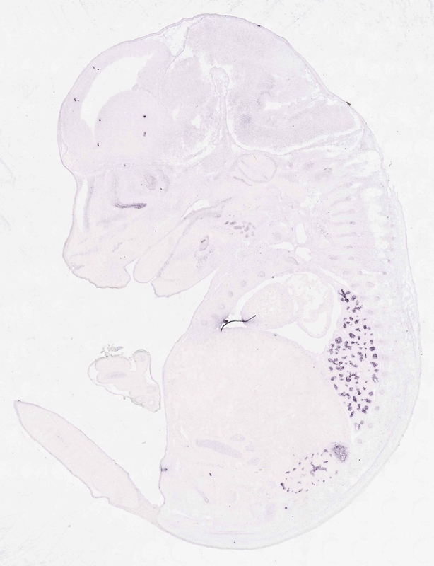
Specimen euxassay_005267_13: embryonic day 14.5 (more )
Structure Level Pattern Image Note
TS23: lung Strong Regionally restricted euxassay_005267_13
TS23: trachea Strong Regionally restricted euxassay_005267_13

Specimen euxassay_005267_14: embryonic day 14.5 (more )
Structure Level Pattern Image Note
TS23: lung Strong Regionally restricted euxassay_005267_14
TS23: adrenal gland Strong Regionally restricted euxassay_005267_14
TS23: renal calyx Strong Regionally restricted euxassay_005267_14

Specimen euxassay_005267_15: embryonic day 14.5 (more )
Structure Level Pattern Image Note
TS23: lung Strong Regionally restricted euxassay_005267_15
TS23: adrenal gland Moderate Regionally restricted euxassay_005267_15
TS23: olfactory epithelium Moderate Regionally restricted euxassay_005267_15
TS23: renal calyx Strong Regionally restricted euxassay_005267_15

Specimen euxassay_005267_16: embryonic day 14.5 (more )
Structure Level Pattern Image Note
TS23: lung Strong Regionally restricted euxassay_005267_16
TS23: adrenal gland Moderate Regionally restricted euxassay_005267_16
TS23: olfactory epithelium Moderate Regionally restricted euxassay_005267_16
TS23: renal calyx Strong Regionally restricted euxassay_005267_16
TS23: renal pelvis Strong Regionally restricted euxassay_005267_16

Specimen euxassay_005267_17: embryonic day 14.5 (more )
Structure Level Pattern Image Note
TS23: lung Strong Regionally restricted euxassay_005267_17
TS23: olfactory epithelium Strong Regionally restricted euxassay_005267_17
TS23: renal calyx Strong Regionally restricted euxassay_005267_17

Specimen euxassay_005267_18: embryonic day 14.5 (more )
Structure Level Pattern Image Note
TS23: lung Strong Regionally restricted euxassay_005267_18
TS23: olfactory epithelium Strong Regionally restricted euxassay_005267_18
TS23: renal calyx Strong Regionally restricted euxassay_005267_18

Specimen euxassay_005267_19: embryonic day 14.5 (more )
Structure Level Pattern Image Note
TS23: lung Strong Regionally restricted euxassay_005267_19

Specimen euxassay_005267_20: embryonic day 14.5 (more )
Structure Level Pattern Image Note
TS23: lung Strong Regionally restricted euxassay_005267_20

Specimen euxassay_005267_21: embryonic day 14.5 (more )
Structure Level Pattern Image Note
TS23: lung Strong Regionally restricted euxassay_005267_21

Specimen euxassay_005267_22: embryonic day 14.5 (more )
Structure Level Pattern Image Note
TS23: lung Strong Regionally restricted euxassay_005267_22


Contributing Projects:
Mouse Genome Database (MGD), Gene Expression Database (GXD), Mouse Models of Human Cancer database (MMHCdb) (formerly Mouse Tumor Biology (MTB)), Gene Ontology (GO)
Citing These Resources
Funding Information
Warranty Disclaimer, Privacy Notice, Licensing, & Copyright
Send questions and comments to User Support.
last database update
12/30/2025
MGI 6.24
The Jackson Laboratory