About   Help   FAQ
Gene Expression Data
Assay Details
Assay
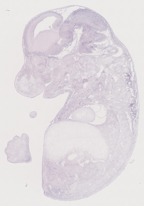
Reference: J:153498 Diez-Roux G, et al., A high-resolution anatomical atlas of the transcriptome in the mouse embryo. PLoS Biol. 2011;9(1):e1000582
Assay type: RNA in situ
MGI Accession ID: MGI:4826172
Gene symbol: Mettl8
Gene name: methyltransferase 8, methylcytidine
Probe: MGC clone 7995
Probe preparation: Antisense labelled with digoxigenin RNA
Visualized with: Alkaline phosphatase
Assay notes: Cryosections of fresh frozen material were fixed in 4% paraformaldehyde for 20 min. before further processing. A tyramide-biotin/streptavidin amplification step was included in the in situ hybridization procedure.
Results
Specimen euxassay_004455_01: embryonic day 14.5 (more )
Structure Level Pattern Image Note
TS23: body cavity or lining Moderate Regionally restricted euxassay_004455_01
TS23: limb Moderate Regionally restricted euxassay_004455_01
TS23: cardiovascular system Moderate Regionally restricted euxassay_004455_01
TS23: gland Moderate Regionally restricted euxassay_004455_01
TS23: integumental system Moderate Regionally restricted euxassay_004455_01
TS23: nervous system Moderate Regionally restricted euxassay_004455_01
TS23: sensory organ system Moderate Regionally restricted euxassay_004455_01
TS23: alimentary system Moderate Regionally restricted euxassay_004455_01
TS23: urinary system Moderate Regionally restricted euxassay_004455_01
TS23: reproductive system Moderate Regionally restricted euxassay_004455_01
TS23: respiratory system Moderate Regionally restricted euxassay_004455_01
TS23: skeleton Moderate Regionally restricted euxassay_004455_01
TS23: tail Moderate Regionally restricted euxassay_004455_01
TS23: vertebral axis musculature Moderate Regionally restricted euxassay_004455_01

Specimen euxassay_004455_02: embryonic day 14.5 (more )
Structure Level Pattern Image Note
TS23: body cavity or lining Moderate Regionally restricted euxassay_004455_02
TS23: limb Moderate Regionally restricted euxassay_004455_02
TS23: cardiovascular system Moderate Regionally restricted euxassay_004455_02
TS23: gland Moderate Regionally restricted euxassay_004455_02
TS23: integumental system Moderate Regionally restricted euxassay_004455_02
TS23: nervous system Moderate Regionally restricted euxassay_004455_02
TS23: sensory organ system Moderate Regionally restricted euxassay_004455_02
TS23: alimentary system Moderate Regionally restricted euxassay_004455_02
TS23: urinary system Moderate Regionally restricted euxassay_004455_02
TS23: reproductive system Moderate Regionally restricted euxassay_004455_02
TS23: respiratory system Moderate Regionally restricted euxassay_004455_02
TS23: skeleton Moderate Regionally restricted euxassay_004455_02
TS23: tail Moderate Regionally restricted euxassay_004455_02
TS23: vertebral axis musculature Moderate Regionally restricted euxassay_004455_02

Specimen euxassay_004455_03: embryonic day 14.5 (more )
Structure Level Pattern Image Note
TS23: body cavity or lining Moderate Regionally restricted euxassay_004455_03
TS23: limb Moderate Regionally restricted euxassay_004455_03
TS23: cardiovascular system Moderate Regionally restricted euxassay_004455_03
TS23: gland Moderate Regionally restricted euxassay_004455_03
TS23: integumental system Moderate Regionally restricted euxassay_004455_03
TS23: nervous system Moderate Regionally restricted euxassay_004455_03
TS23: sensory organ system Moderate Regionally restricted euxassay_004455_03
TS23: alimentary system Moderate Regionally restricted euxassay_004455_03
TS23: urinary system Moderate Regionally restricted euxassay_004455_03
TS23: reproductive system Moderate Regionally restricted euxassay_004455_03
TS23: respiratory system Moderate Regionally restricted euxassay_004455_03
TS23: skeleton Moderate Regionally restricted euxassay_004455_03
TS23: tail Moderate Regionally restricted euxassay_004455_03
TS23: vertebral axis musculature Moderate Regionally restricted euxassay_004455_03

Specimen euxassay_004455_04: embryonic day 14.5 (more )
Structure Level Pattern Image Note
TS23: body cavity or lining Moderate Regionally restricted euxassay_004455_04
TS23: limb Moderate Regionally restricted euxassay_004455_04
TS23: cardiovascular system Moderate Regionally restricted euxassay_004455_04
TS23: gland Moderate Regionally restricted euxassay_004455_04
TS23: integumental system Moderate Regionally restricted euxassay_004455_04
TS23: nervous system Moderate Regionally restricted euxassay_004455_04
TS23: sensory organ system Moderate Regionally restricted euxassay_004455_04
TS23: alimentary system Moderate Regionally restricted euxassay_004455_04
TS23: urinary system Moderate Regionally restricted euxassay_004455_04
TS23: reproductive system Moderate Regionally restricted euxassay_004455_04
TS23: respiratory system Moderate Regionally restricted euxassay_004455_04
TS23: skeleton Moderate Regionally restricted euxassay_004455_04
TS23: tail Moderate Regionally restricted euxassay_004455_04
TS23: vertebral axis musculature Moderate Regionally restricted euxassay_004455_04

Specimen euxassay_004455_05: embryonic day 14.5 (more )
Structure Level Pattern Image Note
TS23: body cavity or lining Moderate Regionally restricted euxassay_004455_05
TS23: limb Moderate Regionally restricted euxassay_004455_05
TS23: cardiovascular system Moderate Regionally restricted euxassay_004455_05
TS23: gland Moderate Regionally restricted euxassay_004455_05
TS23: integumental system Moderate Regionally restricted euxassay_004455_05
TS23: nervous system Moderate Regionally restricted euxassay_004455_05
TS23: sensory organ system Moderate Regionally restricted euxassay_004455_05
TS23: alimentary system Moderate Regionally restricted euxassay_004455_05
TS23: urinary system Moderate Regionally restricted euxassay_004455_05
TS23: reproductive system Moderate Regionally restricted euxassay_004455_05
TS23: respiratory system Moderate Regionally restricted euxassay_004455_05
TS23: skeleton Moderate Regionally restricted euxassay_004455_05
TS23: tail Moderate Regionally restricted euxassay_004455_05
TS23: vertebral axis musculature Moderate Regionally restricted euxassay_004455_05

Specimen euxassay_004455_06: embryonic day 14.5 (more )
Structure Level Pattern Image Note
TS23: body cavity or lining Moderate Regionally restricted euxassay_004455_06
TS23: limb Moderate Regionally restricted euxassay_004455_06
TS23: cardiovascular system Moderate Regionally restricted euxassay_004455_06
TS23: gland Moderate Regionally restricted euxassay_004455_06
TS23: integumental system Moderate Regionally restricted euxassay_004455_06
TS23: nervous system Moderate Regionally restricted euxassay_004455_06
TS23: sensory organ system Moderate Regionally restricted euxassay_004455_06
TS23: alimentary system Moderate Regionally restricted euxassay_004455_06
TS23: urinary system Moderate Regionally restricted euxassay_004455_06
TS23: reproductive system Moderate Regionally restricted euxassay_004455_06
TS23: respiratory system Moderate Regionally restricted euxassay_004455_06
TS23: skeleton Moderate Regionally restricted euxassay_004455_06
TS23: tail Moderate Regionally restricted euxassay_004455_06
TS23: vertebral axis musculature Moderate Regionally restricted euxassay_004455_06

Specimen euxassay_004455_07: embryonic day 14.5 (more )
Structure Level Pattern Image Note
TS23: body cavity or lining Moderate Regionally restricted euxassay_004455_07
TS23: limb Moderate Regionally restricted euxassay_004455_07
TS23: cardiovascular system Moderate Regionally restricted euxassay_004455_07
TS23: gland Moderate Regionally restricted euxassay_004455_07
TS23: integumental system Moderate Regionally restricted euxassay_004455_07
TS23: nervous system Moderate Regionally restricted euxassay_004455_07
TS23: sensory organ system Moderate Regionally restricted euxassay_004455_07
TS23: alimentary system Moderate Regionally restricted euxassay_004455_07
TS23: urinary system Moderate Regionally restricted euxassay_004455_07
TS23: reproductive system Moderate Regionally restricted euxassay_004455_07
TS23: respiratory system Moderate Regionally restricted euxassay_004455_07
TS23: skeleton Moderate Regionally restricted euxassay_004455_07
TS23: tail Moderate Regionally restricted euxassay_004455_07
TS23: vertebral axis musculature Moderate Regionally restricted euxassay_004455_07

Specimen euxassay_004455_08: embryonic day 14.5 (more )
Structure Level Pattern Image Note
TS23: body cavity or lining Moderate Regionally restricted euxassay_004455_08
TS23: limb Moderate Regionally restricted euxassay_004455_08
TS23: cardiovascular system Moderate Regionally restricted euxassay_004455_08
TS23: gland Moderate Regionally restricted euxassay_004455_08
TS23: integumental system Moderate Regionally restricted euxassay_004455_08
TS23: nervous system Moderate Regionally restricted euxassay_004455_08
TS23: sensory organ system Moderate Regionally restricted euxassay_004455_08
TS23: alimentary system Moderate Regionally restricted euxassay_004455_08
TS23: urinary system Moderate Regionally restricted euxassay_004455_08
TS23: reproductive system Moderate Regionally restricted euxassay_004455_08
TS23: respiratory system Moderate Regionally restricted euxassay_004455_08
TS23: skeleton Moderate Regionally restricted euxassay_004455_08
TS23: tail Moderate Regionally restricted euxassay_004455_08
TS23: vertebral axis musculature Moderate Regionally restricted euxassay_004455_08

Specimen euxassay_004455_09: embryonic day 14.5 (more )
Structure Level Pattern Image Note
TS23: body cavity or lining Moderate Regionally restricted euxassay_004455_09
TS23: limb Moderate Regionally restricted euxassay_004455_09
TS23: cardiovascular system Moderate Regionally restricted euxassay_004455_09
TS23: gland Moderate Regionally restricted euxassay_004455_09
TS23: integumental system Moderate Regionally restricted euxassay_004455_09
TS23: nervous system Moderate Regionally restricted euxassay_004455_09
TS23: sensory organ system Moderate Regionally restricted euxassay_004455_09
TS23: alimentary system Moderate Regionally restricted euxassay_004455_09
TS23: urinary system Moderate Regionally restricted euxassay_004455_09
TS23: reproductive system Moderate Regionally restricted euxassay_004455_09
TS23: respiratory system Moderate Regionally restricted euxassay_004455_09
TS23: skeleton Moderate Regionally restricted euxassay_004455_09
TS23: tail Moderate Regionally restricted euxassay_004455_09
TS23: vertebral axis musculature Moderate Regionally restricted euxassay_004455_09

Specimen euxassay_004455_10: embryonic day 14.5 (more )
Structure Level Pattern Image Note
TS23: body cavity or lining Moderate Regionally restricted euxassay_004455_10
TS23: limb Moderate Regionally restricted euxassay_004455_10
TS23: cardiovascular system Moderate Regionally restricted euxassay_004455_10
TS23: gland Moderate Regionally restricted euxassay_004455_10
TS23: integumental system Moderate Regionally restricted euxassay_004455_10
TS23: nervous system Moderate Regionally restricted euxassay_004455_10
TS23: sensory organ system Moderate Regionally restricted euxassay_004455_10
TS23: alimentary system Moderate Regionally restricted euxassay_004455_10
TS23: urinary system Moderate Regionally restricted euxassay_004455_10
TS23: reproductive system Moderate Regionally restricted euxassay_004455_10
TS23: respiratory system Moderate Regionally restricted euxassay_004455_10
TS23: skeleton Moderate Regionally restricted euxassay_004455_10
TS23: tail Moderate Regionally restricted euxassay_004455_10
TS23: vertebral axis musculature Moderate Regionally restricted euxassay_004455_10

Specimen euxassay_004455_11: embryonic day 14.5 (more )
Structure Level Pattern Image Note
TS23: body cavity or lining Moderate Regionally restricted euxassay_004455_11
TS23: limb Moderate Regionally restricted euxassay_004455_11
TS23: cardiovascular system Moderate Regionally restricted euxassay_004455_11
TS23: gland Moderate Regionally restricted euxassay_004455_11
TS23: integumental system Moderate Regionally restricted euxassay_004455_11
TS23: nervous system Moderate Regionally restricted euxassay_004455_11
TS23: sensory organ system Moderate Regionally restricted euxassay_004455_11
TS23: alimentary system Moderate Regionally restricted euxassay_004455_11
TS23: urinary system Moderate Regionally restricted euxassay_004455_11
TS23: reproductive system Moderate Regionally restricted euxassay_004455_11
TS23: respiratory system Moderate Regionally restricted euxassay_004455_11
TS23: skeleton Moderate Regionally restricted euxassay_004455_11
TS23: tail Moderate Regionally restricted euxassay_004455_11
TS23: vertebral axis musculature Moderate Regionally restricted euxassay_004455_11

Specimen euxassay_004455_12: embryonic day 14.5 (more )
Structure Level Pattern Image Note
TS23: body cavity or lining Moderate Regionally restricted euxassay_004455_12
TS23: limb Moderate Regionally restricted euxassay_004455_12
TS23: cardiovascular system Moderate Regionally restricted euxassay_004455_12
TS23: gland Moderate Regionally restricted euxassay_004455_12
TS23: integumental system Moderate Regionally restricted euxassay_004455_12
TS23: nervous system Moderate Regionally restricted euxassay_004455_12
TS23: sensory organ system Moderate Regionally restricted euxassay_004455_12
TS23: alimentary system Moderate Regionally restricted euxassay_004455_12
TS23: urinary system Moderate Regionally restricted euxassay_004455_12
TS23: reproductive system Moderate Regionally restricted euxassay_004455_12
TS23: respiratory system Moderate Regionally restricted euxassay_004455_12
TS23: skeleton Moderate Regionally restricted euxassay_004455_12
TS23: tail Moderate Regionally restricted euxassay_004455_12
TS23: vertebral axis musculature Moderate Regionally restricted euxassay_004455_12

Specimen euxassay_004455_13: embryonic day 14.5 (more )
Structure Level Pattern Image Note
TS23: body cavity or lining Moderate Regionally restricted euxassay_004455_13
TS23: limb Moderate Regionally restricted euxassay_004455_13
TS23: cardiovascular system Moderate Regionally restricted euxassay_004455_13
TS23: gland Moderate Regionally restricted euxassay_004455_13
TS23: integumental system Moderate Regionally restricted euxassay_004455_13
TS23: nervous system Moderate Regionally restricted euxassay_004455_13
TS23: sensory organ system Moderate Regionally restricted euxassay_004455_13
TS23: alimentary system Moderate Regionally restricted euxassay_004455_13
TS23: urinary system Moderate Regionally restricted euxassay_004455_13
TS23: reproductive system Moderate Regionally restricted euxassay_004455_13
TS23: respiratory system Moderate Regionally restricted euxassay_004455_13
TS23: skeleton Moderate Regionally restricted euxassay_004455_13
TS23: tail Moderate Regionally restricted euxassay_004455_13
TS23: vertebral axis musculature Moderate Regionally restricted euxassay_004455_13

Specimen euxassay_004455_14: embryonic day 14.5 (more )
Structure Level Pattern Image Note
TS23: body cavity or lining Moderate Regionally restricted euxassay_004455_14
TS23: limb Moderate Regionally restricted euxassay_004455_14
TS23: cardiovascular system Moderate Regionally restricted euxassay_004455_14
TS23: gland Moderate Regionally restricted euxassay_004455_14
TS23: integumental system Moderate Regionally restricted euxassay_004455_14
TS23: nervous system Moderate Regionally restricted euxassay_004455_14
TS23: sensory organ system Moderate Regionally restricted euxassay_004455_14
TS23: alimentary system Moderate Regionally restricted euxassay_004455_14
TS23: urinary system Moderate Regionally restricted euxassay_004455_14
TS23: reproductive system Moderate Regionally restricted euxassay_004455_14
TS23: respiratory system Moderate Regionally restricted euxassay_004455_14
TS23: skeleton Moderate Regionally restricted euxassay_004455_14
TS23: tail Moderate Regionally restricted euxassay_004455_14
TS23: vertebral axis musculature Moderate Regionally restricted euxassay_004455_14

Specimen euxassay_004455_15: embryonic day 14.5 (more )
Structure Level Pattern Image Note
TS23: body cavity or lining Moderate Regionally restricted euxassay_004455_15
TS23: limb Moderate Regionally restricted euxassay_004455_15
TS23: cardiovascular system Moderate Regionally restricted euxassay_004455_15
TS23: gland Moderate Regionally restricted euxassay_004455_15
TS23: integumental system Moderate Regionally restricted euxassay_004455_15
TS23: nervous system Moderate Regionally restricted euxassay_004455_15
TS23: sensory organ system Moderate Regionally restricted euxassay_004455_15
TS23: alimentary system Moderate Regionally restricted euxassay_004455_15
TS23: urinary system Moderate Regionally restricted euxassay_004455_15
TS23: reproductive system Moderate Regionally restricted euxassay_004455_15
TS23: respiratory system Moderate Regionally restricted euxassay_004455_15
TS23: skeleton Moderate Regionally restricted euxassay_004455_15
TS23: tail Moderate Regionally restricted euxassay_004455_15
TS23: vertebral axis musculature Moderate Regionally restricted euxassay_004455_15

Specimen euxassay_004455_16: embryonic day 14.5 (more )
Structure Level Pattern Image Note
TS23: body cavity or lining Moderate Regionally restricted euxassay_004455_16
TS23: limb Moderate Regionally restricted euxassay_004455_16
TS23: cardiovascular system Moderate Regionally restricted euxassay_004455_16
TS23: gland Moderate Regionally restricted euxassay_004455_16
TS23: integumental system Moderate Regionally restricted euxassay_004455_16
TS23: nervous system Moderate Regionally restricted euxassay_004455_16
TS23: sensory organ system Moderate Regionally restricted euxassay_004455_16
TS23: alimentary system Moderate Regionally restricted euxassay_004455_16
TS23: urinary system Moderate Regionally restricted euxassay_004455_16
TS23: reproductive system Moderate Regionally restricted euxassay_004455_16
TS23: respiratory system Moderate Regionally restricted euxassay_004455_16
TS23: skeleton Moderate Regionally restricted euxassay_004455_16
TS23: tail Moderate Regionally restricted euxassay_004455_16
TS23: vertebral axis musculature Moderate Regionally restricted euxassay_004455_16

Specimen euxassay_004455_17: embryonic day 14.5 (more )
Structure Level Pattern Image Note
TS23: body cavity or lining Moderate Regionally restricted euxassay_004455_17
TS23: limb Moderate Regionally restricted euxassay_004455_17
TS23: cardiovascular system Moderate Regionally restricted euxassay_004455_17
TS23: gland Moderate Regionally restricted euxassay_004455_17
TS23: integumental system Moderate Regionally restricted euxassay_004455_17
TS23: nervous system Moderate Regionally restricted euxassay_004455_17
TS23: sensory organ system Moderate Regionally restricted euxassay_004455_17
TS23: alimentary system Moderate Regionally restricted euxassay_004455_17
TS23: urinary system Moderate Regionally restricted euxassay_004455_17
TS23: reproductive system Moderate Regionally restricted euxassay_004455_17
TS23: respiratory system Moderate Regionally restricted euxassay_004455_17
TS23: skeleton Moderate Regionally restricted euxassay_004455_17
TS23: tail Moderate Regionally restricted euxassay_004455_17
TS23: vertebral axis musculature Moderate Regionally restricted euxassay_004455_17

Specimen euxassay_004455_18: embryonic day 14.5 (more )
Structure Level Pattern Image Note
TS23: body cavity or lining Moderate Regionally restricted euxassay_004455_18
TS23: limb Moderate Regionally restricted euxassay_004455_18
TS23: cardiovascular system Moderate Regionally restricted euxassay_004455_18
TS23: gland Moderate Regionally restricted euxassay_004455_18
TS23: integumental system Moderate Regionally restricted euxassay_004455_18
TS23: nervous system Moderate Regionally restricted euxassay_004455_18
TS23: sensory organ system Moderate Regionally restricted euxassay_004455_18
TS23: alimentary system Moderate Regionally restricted euxassay_004455_18
TS23: urinary system Moderate Regionally restricted euxassay_004455_18
TS23: reproductive system Moderate Regionally restricted euxassay_004455_18
TS23: respiratory system Moderate Regionally restricted euxassay_004455_18
TS23: skeleton Moderate Regionally restricted euxassay_004455_18
TS23: tail Moderate Regionally restricted euxassay_004455_18
TS23: vertebral axis musculature Moderate Regionally restricted euxassay_004455_18

Specimen euxassay_004455_19: embryonic day 14.5 (more )
Structure Level Pattern Image Note
TS23: body cavity or lining Moderate Regionally restricted euxassay_004455_19
TS23: limb Moderate Regionally restricted euxassay_004455_19
TS23: cardiovascular system Moderate Regionally restricted euxassay_004455_19
TS23: gland Moderate Regionally restricted euxassay_004455_19
TS23: integumental system Moderate Regionally restricted euxassay_004455_19
TS23: nervous system Moderate Regionally restricted euxassay_004455_19
TS23: sensory organ system Moderate Regionally restricted euxassay_004455_19
TS23: alimentary system Moderate Regionally restricted euxassay_004455_19
TS23: urinary system Moderate Regionally restricted euxassay_004455_19
TS23: reproductive system Moderate Regionally restricted euxassay_004455_19
TS23: respiratory system Moderate Regionally restricted euxassay_004455_19
TS23: skeleton Moderate Regionally restricted euxassay_004455_19
TS23: tail Moderate Regionally restricted euxassay_004455_19
TS23: vertebral axis musculature Moderate Regionally restricted euxassay_004455_19

Specimen euxassay_004455_20: embryonic day 14.5 (more )
Structure Level Pattern Image Note
TS23: body cavity or lining Moderate Regionally restricted euxassay_004455_20
TS23: limb Moderate Regionally restricted euxassay_004455_20
TS23: cardiovascular system Moderate Regionally restricted euxassay_004455_20
TS23: gland Moderate Regionally restricted euxassay_004455_20
TS23: integumental system Moderate Regionally restricted euxassay_004455_20
TS23: nervous system Moderate Regionally restricted euxassay_004455_20
TS23: sensory organ system Moderate Regionally restricted euxassay_004455_20
TS23: alimentary system Moderate Regionally restricted euxassay_004455_20
TS23: urinary system Moderate Regionally restricted euxassay_004455_20
TS23: reproductive system Moderate Regionally restricted euxassay_004455_20
TS23: respiratory system Moderate Regionally restricted euxassay_004455_20
TS23: skeleton Moderate Regionally restricted euxassay_004455_20
TS23: tail Moderate Regionally restricted euxassay_004455_20
TS23: vertebral axis musculature Moderate Regionally restricted euxassay_004455_20

Specimen euxassay_004455_21: embryonic day 14.5 (more )
Structure Level Pattern Image Note
TS23: body cavity or lining Moderate Regionally restricted euxassay_004455_21
TS23: limb Moderate Regionally restricted euxassay_004455_21
TS23: cardiovascular system Moderate Regionally restricted euxassay_004455_21
TS23: gland Moderate Regionally restricted euxassay_004455_21
TS23: integumental system Moderate Regionally restricted euxassay_004455_21
TS23: nervous system Moderate Regionally restricted euxassay_004455_21
TS23: sensory organ system Moderate Regionally restricted euxassay_004455_21
TS23: alimentary system Moderate Regionally restricted euxassay_004455_21
TS23: urinary system Moderate Regionally restricted euxassay_004455_21
TS23: reproductive system Moderate Regionally restricted euxassay_004455_21
TS23: respiratory system Moderate Regionally restricted euxassay_004455_21
TS23: skeleton Moderate Regionally restricted euxassay_004455_21
TS23: tail Moderate Regionally restricted euxassay_004455_21
TS23: vertebral axis musculature Moderate Regionally restricted euxassay_004455_21

Specimen euxassay_004455_22: embryonic day 14.5 (more )
Structure Level Pattern Image Note
TS23: body cavity or lining Moderate Regionally restricted euxassay_004455_22
TS23: limb Moderate Regionally restricted euxassay_004455_22
TS23: cardiovascular system Moderate Regionally restricted euxassay_004455_22
TS23: gland Moderate Regionally restricted euxassay_004455_22
TS23: integumental system Moderate Regionally restricted euxassay_004455_22
TS23: nervous system Moderate Regionally restricted euxassay_004455_22
TS23: sensory organ system Moderate Regionally restricted euxassay_004455_22
TS23: alimentary system Moderate Regionally restricted euxassay_004455_22
TS23: urinary system Moderate Regionally restricted euxassay_004455_22
TS23: reproductive system Moderate Regionally restricted euxassay_004455_22
TS23: respiratory system Moderate Regionally restricted euxassay_004455_22
TS23: skeleton Moderate Regionally restricted euxassay_004455_22
TS23: tail Moderate Regionally restricted euxassay_004455_22
TS23: vertebral axis musculature Moderate Regionally restricted euxassay_004455_22

Specimen euxassay_004455_23: embryonic day 14.5 (more )
Structure Level Pattern Image Note
TS23: body cavity or lining Moderate Regionally restricted euxassay_004455_23
TS23: limb Moderate Regionally restricted euxassay_004455_23
TS23: cardiovascular system Moderate Regionally restricted euxassay_004455_23
TS23: gland Moderate Regionally restricted euxassay_004455_23
TS23: integumental system Moderate Regionally restricted euxassay_004455_23
TS23: nervous system Moderate Regionally restricted euxassay_004455_23
TS23: sensory organ system Moderate Regionally restricted euxassay_004455_23
TS23: alimentary system Moderate Regionally restricted euxassay_004455_23
TS23: urinary system Moderate Regionally restricted euxassay_004455_23
TS23: reproductive system Moderate Regionally restricted euxassay_004455_23
TS23: respiratory system Moderate Regionally restricted euxassay_004455_23
TS23: skeleton Moderate Regionally restricted euxassay_004455_23
TS23: tail Moderate Regionally restricted euxassay_004455_23
TS23: vertebral axis musculature Moderate Regionally restricted euxassay_004455_23

Specimen euxassay_004455_24: embryonic day 14.5 (more )
Structure Level Pattern Image Note
TS23: body cavity or lining Moderate Regionally restricted euxassay_004455_24
TS23: limb Moderate Regionally restricted euxassay_004455_24
TS23: cardiovascular system Moderate Regionally restricted euxassay_004455_24
TS23: gland Moderate Regionally restricted euxassay_004455_24
TS23: integumental system Moderate Regionally restricted euxassay_004455_24
TS23: nervous system Moderate Regionally restricted euxassay_004455_24
TS23: alimentary system Moderate Regionally restricted euxassay_004455_24
TS23: urinary system Moderate Regionally restricted euxassay_004455_24
TS23: reproductive system Moderate Regionally restricted euxassay_004455_24
TS23: respiratory system Moderate Regionally restricted euxassay_004455_24
TS23: skeleton Moderate Regionally restricted euxassay_004455_24
TS23: tail Moderate Regionally restricted euxassay_004455_24
TS23: vertebral axis musculature Moderate Regionally restricted euxassay_004455_24


Contributing Projects:
Mouse Genome Database (MGD), Gene Expression Database (GXD), Mouse Models of Human Cancer database (MMHCdb) (formerly Mouse Tumor Biology (MTB)), Gene Ontology (GO)
Citing These Resources
Funding Information
Warranty Disclaimer, Privacy Notice, Licensing, & Copyright
Send questions and comments to User Support.
last database update
01/06/2026
MGI 6.24
The Jackson Laboratory