About   Help   FAQ
Gene Expression Data
Assay Details
Assay
Reference: J:153498 Diez-Roux G, et al., A high-resolution anatomical atlas of the transcriptome in the mouse embryo. PLoS Biol. 2011;9(1):e1000582
Assay type: RNA in situ
MGI Accession ID: MGI:4826112
Gene symbol: Matn2
Gene name: matrilin 2
Probe: MGC clone 5875
Probe preparation: Antisense labelled with digoxigenin RNA
Visualized with: Alkaline phosphatase
Assay notes: Cryosections of fresh frozen material were fixed in 4% paraformaldehyde for 20 min. before further processing. A tyramide-biotin/streptavidin amplification step was included in the in situ hybridization procedure.
Results
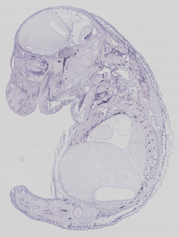
Specimen euxassay_004287_01: embryonic day 14.5 (more )
Structure Level Pattern Image Note
TS23: embryo mesenchyme Strong Regionally restricted euxassay_004287_01

Specimen euxassay_004287_02: embryonic day 14.5 (more )
Structure Level Pattern Image Note
TS23: embryo mesenchyme Strong Regionally restricted euxassay_004287_02

Specimen euxassay_004287_03: embryonic day 14.5 (more )
Structure Level Pattern Image Note
TS23: embryo mesenchyme Strong Regionally restricted euxassay_004287_03

Specimen euxassay_004287_04: embryonic day 14.5 (more )
Structure Level Pattern Image Note
TS23: embryo mesenchyme Strong Regionally restricted euxassay_004287_04
TS23: telencephalon meninges Moderate Regionally restricted euxassay_004287_04

Specimen euxassay_004287_05: embryonic day 14.5 (more )
Structure Level Pattern Image Note
TS23: embryo mesenchyme Strong Regionally restricted euxassay_004287_05
TS23: metencephalon part of 4th ventricle choroid plexus Strong Regionally restricted euxassay_004287_05
TS23: medulla oblongata part of 4th ventricle choroid plexus Strong Regionally restricted euxassay_004287_05
TS23: telencephalon meninges Moderate Regionally restricted euxassay_004287_05

Specimen euxassay_004287_06: embryonic day 14.5 (more )
Structure Level Pattern Image Note
TS23: embryo mesenchyme Strong Regionally restricted euxassay_004287_06
TS23: metencephalon part of 4th ventricle choroid plexus Strong Regionally restricted euxassay_004287_06
TS23: medulla oblongata part of 4th ventricle choroid plexus Strong Regionally restricted euxassay_004287_06
TS23: telencephalon meninges Moderate Regionally restricted euxassay_004287_06

Specimen euxassay_004287_07: embryonic day 14.5 (more )
Structure Level Pattern Image Note
TS23: embryo mesenchyme Strong Regionally restricted euxassay_004287_07
TS23: metencephalon part of 4th ventricle choroid plexus Strong Regionally restricted euxassay_004287_07
TS23: medulla oblongata part of 4th ventricle choroid plexus Strong Regionally restricted euxassay_004287_07
TS23: telencephalon meninges Moderate Regionally restricted euxassay_004287_07
TS23: diencephalon meninges Moderate Regionally restricted euxassay_004287_07
TS23: hindbrain meninges Moderate Regionally restricted euxassay_004287_07

Specimen euxassay_004287_08: embryonic day 14.5 (more )
Structure Level Pattern Image Note
TS23: embryo mesenchyme Strong Regionally restricted euxassay_004287_08
TS23: metencephalon part of 4th ventricle choroid plexus Strong Regionally restricted euxassay_004287_08
TS23: medulla oblongata part of 4th ventricle choroid plexus Strong Regionally restricted euxassay_004287_08
TS23: diencephalon meninges Moderate Regionally restricted euxassay_004287_08
TS23: telencephalon meninges Moderate Regionally restricted euxassay_004287_08
TS23: hindbrain meninges Moderate Regionally restricted euxassay_004287_08
TS23: midbrain meninges Moderate Regionally restricted euxassay_004287_08

Specimen euxassay_004287_09: embryonic day 14.5 (more )
Structure Level Pattern Image Note
TS23: embryo mesenchyme Strong Regionally restricted euxassay_004287_09
TS23: metencephalon part of 4th ventricle choroid plexus Strong Regionally restricted euxassay_004287_09
TS23: medulla oblongata part of 4th ventricle choroid plexus Strong Regionally restricted euxassay_004287_09
TS23: choroid invagination Strong Regionally restricted euxassay_004287_09
TS23: diencephalon meninges Moderate Regionally restricted euxassay_004287_09
TS23: telencephalon meninges Moderate Regionally restricted euxassay_004287_09
TS23: hindbrain meninges Moderate Regionally restricted euxassay_004287_09
TS23: midbrain meninges Moderate Regionally restricted euxassay_004287_09

Specimen euxassay_004287_10: embryonic day 14.5 (more )
Structure Level Pattern Image Note
TS23: embryo mesenchyme Strong Regionally restricted euxassay_004287_10
TS23: metencephalon part of 4th ventricle choroid plexus Strong Regionally restricted euxassay_004287_10
TS23: medulla oblongata part of 4th ventricle choroid plexus Strong Regionally restricted euxassay_004287_10
TS23: choroid invagination Strong Regionally restricted euxassay_004287_10
TS23: diencephalon meninges Moderate Regionally restricted euxassay_004287_10
TS23: telencephalon meninges Moderate Regionally restricted euxassay_004287_10
TS23: midbrain meninges Moderate Regionally restricted euxassay_004287_10
TS23: hindbrain meninges Moderate Regionally restricted euxassay_004287_10
TS23: spinal cord meninges Moderate Regionally restricted euxassay_004287_10

Specimen euxassay_004287_11: embryonic day 14.5 (more )
Structure Level Pattern Image Note
TS23: embryo mesenchyme Strong Regionally restricted euxassay_004287_11
TS23: metencephalon part of 4th ventricle choroid plexus Strong Regionally restricted euxassay_004287_11
TS23: medulla oblongata part of 4th ventricle choroid plexus Strong Regionally restricted euxassay_004287_11
TS23: choroid invagination Strong Regionally restricted euxassay_004287_11
TS23: diencephalon meninges Moderate Regionally restricted euxassay_004287_11
TS23: telencephalon meninges Moderate Regionally restricted euxassay_004287_11
TS23: hindbrain meninges Moderate Regionally restricted euxassay_004287_11
TS23: midbrain meninges Moderate Regionally restricted euxassay_004287_11
TS23: spinal cord meninges Moderate Regionally restricted euxassay_004287_11

Specimen euxassay_004287_12: embryonic day 14.5 (more )
Structure Level Pattern Image Note
TS23: embryo mesenchyme Strong Regionally restricted euxassay_004287_12
TS23: metencephalon part of 4th ventricle choroid plexus Strong Regionally restricted euxassay_004287_12
TS23: medulla oblongata part of 4th ventricle choroid plexus Strong Regionally restricted euxassay_004287_12
TS23: choroid invagination Strong Regionally restricted euxassay_004287_12
TS23: diencephalon meninges Moderate Regionally restricted euxassay_004287_12
TS23: telencephalon meninges Moderate Regionally restricted euxassay_004287_12
TS23: hindbrain meninges Moderate Regionally restricted euxassay_004287_12
TS23: midbrain meninges Moderate Regionally restricted euxassay_004287_12
TS23: spinal cord meninges Moderate Regionally restricted euxassay_004287_12

Specimen euxassay_004287_13: embryonic day 14.5 (more )
Structure Level Pattern Image Note
TS23: embryo mesenchyme Strong Regionally restricted euxassay_004287_13
TS23: metencephalon part of 4th ventricle choroid plexus Strong Regionally restricted euxassay_004287_13
TS23: medulla oblongata part of 4th ventricle choroid plexus Strong Regionally restricted euxassay_004287_13
TS23: choroid invagination Strong Regionally restricted euxassay_004287_13
TS23: diencephalon meninges Moderate Regionally restricted euxassay_004287_13
TS23: telencephalon meninges Moderate Regionally restricted euxassay_004287_13
TS23: hindbrain meninges Moderate Regionally restricted euxassay_004287_13
TS23: midbrain meninges Moderate Regionally restricted euxassay_004287_13
TS23: spinal cord meninges Moderate Regionally restricted euxassay_004287_13

Specimen euxassay_004287_14: embryonic day 14.5 (more )
Structure Level Pattern Image Note
TS23: embryo mesenchyme Strong Regionally restricted euxassay_004287_14
TS23: metencephalon part of 4th ventricle choroid plexus Strong Regionally restricted euxassay_004287_14
TS23: medulla oblongata part of 4th ventricle choroid plexus Strong Regionally restricted euxassay_004287_14
TS23: choroid invagination Strong Regionally restricted euxassay_004287_14
TS23: diencephalon meninges Moderate Regionally restricted euxassay_004287_14
TS23: telencephalon meninges Moderate Regionally restricted euxassay_004287_14
TS23: hindbrain meninges Moderate Regionally restricted euxassay_004287_14
TS23: midbrain meninges Moderate Regionally restricted euxassay_004287_14
TS23: spinal cord meninges Moderate Regionally restricted euxassay_004287_14

Specimen euxassay_004287_15: embryonic day 14.5 (more )
Structure Level Pattern Image Note
TS23: embryo mesenchyme Strong Regionally restricted euxassay_004287_15
TS23: metencephalon part of 4th ventricle choroid plexus Moderate Regionally restricted euxassay_004287_15
TS23: medulla oblongata part of 4th ventricle choroid plexus Moderate Regionally restricted euxassay_004287_15
TS23: choroid invagination Moderate Regionally restricted euxassay_004287_15
TS23: diencephalon meninges Moderate Regionally restricted euxassay_004287_15
TS23: telencephalon meninges Moderate Regionally restricted euxassay_004287_15
TS23: hindbrain meninges Moderate Regionally restricted euxassay_004287_15
TS23: midbrain meninges Moderate Regionally restricted euxassay_004287_15
TS23: spinal cord meninges Moderate Regionally restricted euxassay_004287_15

Specimen euxassay_004287_16: embryonic day 14.5 (more )
Structure Level Pattern Image Note
TS23: embryo mesenchyme Strong Regionally restricted euxassay_004287_16
TS23: metencephalon part of 4th ventricle choroid plexus Strong Regionally restricted euxassay_004287_16
TS23: medulla oblongata part of 4th ventricle choroid plexus Strong Regionally restricted euxassay_004287_16
TS23: diencephalon roof plate Strong Regionally restricted euxassay_004287_16
TS23: diencephalon meninges Moderate Regionally restricted euxassay_004287_16
TS23: telencephalon meninges Moderate Regionally restricted euxassay_004287_16
TS23: hindbrain meninges Moderate Regionally restricted euxassay_004287_16
TS23: midbrain meninges Moderate Regionally restricted euxassay_004287_16
TS23: spinal cord meninges Moderate Regionally restricted euxassay_004287_16

Specimen euxassay_004287_17: embryonic day 14.5 (more )
Structure Level Pattern Image Note
TS23: embryo mesenchyme Strong Regionally restricted euxassay_004287_17
TS23: diencephalon roof plate Strong Regionally restricted euxassay_004287_17
TS23: medulla oblongata part of 4th ventricle choroid plexus Strong Regionally restricted euxassay_004287_17
TS23: metencephalon part of 4th ventricle choroid plexus Strong Regionally restricted euxassay_004287_17
TS23: diencephalon meninges Moderate Regionally restricted euxassay_004287_17
TS23: telencephalon meninges Moderate Regionally restricted euxassay_004287_17
TS23: hindbrain meninges Moderate Regionally restricted euxassay_004287_17
TS23: midbrain meninges Moderate Regionally restricted euxassay_004287_17
TS23: spinal cord meninges Moderate Regionally restricted euxassay_004287_17

Specimen euxassay_004287_18: embryonic day 14.5 (more )
Structure Level Pattern Image Note
TS23: embryo mesenchyme Strong Regionally restricted euxassay_004287_18
TS23: choroid invagination Moderate Regionally restricted euxassay_004287_18
TS23: medulla oblongata part of 4th ventricle choroid plexus Moderate Regionally restricted euxassay_004287_18
TS23: metencephalon part of 4th ventricle choroid plexus Moderate Regionally restricted euxassay_004287_18
TS23: diencephalon meninges Moderate Regionally restricted euxassay_004287_18
TS23: telencephalon meninges Moderate Regionally restricted euxassay_004287_18
TS23: hindbrain meninges Moderate Regionally restricted euxassay_004287_18
TS23: midbrain meninges Moderate Regionally restricted euxassay_004287_18
TS23: spinal cord meninges Moderate Regionally restricted euxassay_004287_18

Specimen euxassay_004287_19: embryonic day 14.5 (more )
Structure Level Pattern Image Note
TS23: embryo mesenchyme Strong Regionally restricted euxassay_004287_19
TS23: choroid invagination Moderate Regionally restricted euxassay_004287_19
TS23: medulla oblongata part of 4th ventricle choroid plexus Moderate Regionally restricted euxassay_004287_19
TS23: metencephalon part of 4th ventricle choroid plexus Moderate Regionally restricted euxassay_004287_19
TS23: diencephalon meninges Moderate Regionally restricted euxassay_004287_19
TS23: telencephalon meninges Moderate Regionally restricted euxassay_004287_19
TS23: hindbrain meninges Moderate Regionally restricted euxassay_004287_19
TS23: midbrain meninges Moderate Regionally restricted euxassay_004287_19
TS23: spinal cord meninges Moderate Regionally restricted euxassay_004287_19

Specimen euxassay_004287_20: embryonic day 14.5 (more )
Structure Level Pattern Image Note
TS23: embryo mesenchyme Strong Regionally restricted euxassay_004287_20
TS23: choroid invagination Moderate Regionally restricted euxassay_004287_20
TS23: medulla oblongata part of 4th ventricle choroid plexus Moderate Regionally restricted euxassay_004287_20
TS23: metencephalon part of 4th ventricle choroid plexus Moderate Regionally restricted euxassay_004287_20
TS23: diencephalon meninges Moderate Regionally restricted euxassay_004287_20
TS23: telencephalon meninges Moderate Regionally restricted euxassay_004287_20
TS23: hindbrain meninges Moderate Regionally restricted euxassay_004287_20
TS23: midbrain meninges Moderate Regionally restricted euxassay_004287_20

Specimen euxassay_004287_21: embryonic day 14.5 (more )
Structure Level Pattern Image Note
TS23: embryo mesenchyme Strong Regionally restricted euxassay_004287_21
TS23: choroid invagination Moderate Regionally restricted euxassay_004287_21
TS23: diencephalon meninges Moderate Regionally restricted euxassay_004287_21
TS23: telencephalon meninges Moderate Regionally restricted euxassay_004287_21
TS23: hindbrain meninges Moderate Regionally restricted euxassay_004287_21
TS23: midbrain meninges Moderate Regionally restricted euxassay_004287_21

Specimen euxassay_004287_22: embryonic day 14.5 (more )
Structure Level Pattern Image Note
TS23: embryo mesenchyme Strong Regionally restricted euxassay_004287_22
TS23: diencephalon meninges Moderate Regionally restricted euxassay_004287_22
TS23: telencephalon meninges Moderate Regionally restricted euxassay_004287_22
TS23: hindbrain meninges Moderate Regionally restricted euxassay_004287_22
TS23: midbrain meninges Moderate Regionally restricted euxassay_004287_22

Specimen euxassay_004287_23: embryonic day 14.5 (more )
Structure Level Pattern Image Note
TS23: embryo mesenchyme Strong Regionally restricted euxassay_004287_23
TS23: telencephalon meninges Moderate Regionally restricted euxassay_004287_23


Contributing Projects:
Mouse Genome Database (MGD), Gene Expression Database (GXD), Mouse Models of Human Cancer database (MMHCdb) (formerly Mouse Tumor Biology (MTB)), Gene Ontology (GO)
Citing These Resources
Funding Information
Warranty Disclaimer, Privacy Notice, Licensing, & Copyright
Send questions and comments to User Support.
last database update
03/24/2026
MGI 6.24
The Jackson Laboratory