About   Help   FAQ
Gene Expression Data
Assay Details
Assay
Reference: J:153498 Diez-Roux G, et al., A high-resolution anatomical atlas of the transcriptome in the mouse embryo. PLoS Biol. 2011;9(1):e1000582
Assay type: RNA in situ
MGI Accession ID: MGI:4826031
Gene symbol: Ly6h
Gene name: lymphocyte antigen 6 family member H
Probe: T38301
Probe preparation: Antisense labelled with digoxigenin RNA
Visualized with: Alkaline phosphatase
Assay notes: Cryosections of fresh frozen material were fixed in 4% paraformaldehyde for 20 min. before further processing. A tyramide-biotin/streptavidin amplification step was included in the in situ hybridization procedure.
Results
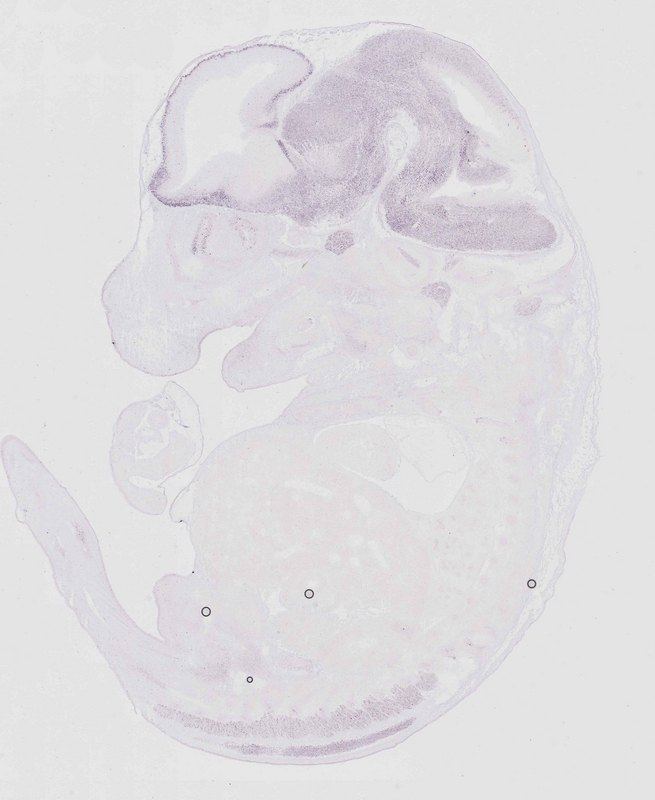
Specimen euxassay_013816_01: embryonic day 14.5 (more )
Structure Level Pattern Image Note
TS23: telencephalon mantle layer Moderate Regionally restricted euxassay_013816_01
TS23: telencephalon marginal layer Moderate Regionally restricted euxassay_013816_01
TS23: neural retina Weak Regionally restricted euxassay_013816_01

Specimen euxassay_013816_02: embryonic day 14.5 (more )
Structure Level Pattern Image Note
TS23: telencephalon mantle layer Moderate Regionally restricted euxassay_013816_02
TS23: telencephalon marginal layer Moderate Regionally restricted euxassay_013816_02
TS23: trigeminal ganglion Weak Regionally restricted euxassay_013816_02

Specimen euxassay_013816_03: embryonic day 14.5 (more )
Structure Level Pattern Image Note
TS23: telencephalon mantle layer Moderate Regionally restricted euxassay_013816_03
TS23: telencephalon marginal layer Moderate Regionally restricted euxassay_013816_03
TS23: trigeminal ganglion Moderate Regionally restricted euxassay_013816_03
TS23: facial ganglion Moderate Regionally restricted euxassay_013816_03

Specimen euxassay_013816_04: embryonic day 14.5 (more )
Structure Level Pattern Image Note
TS23: telencephalon mantle layer Moderate Regionally restricted euxassay_013816_04
TS23: telencephalon marginal layer Moderate Regionally restricted euxassay_013816_04
TS23: rest of cerebellum mantle layer Weak Regionally restricted euxassay_013816_04
TS23: trigeminal ganglion Moderate Regionally restricted euxassay_013816_04
TS23: facial ganglion Moderate Regionally restricted euxassay_013816_04

Specimen euxassay_013816_05: embryonic day 14.5 (more )
Structure Level Pattern Image Note
TS23: telencephalon marginal layer Moderate Regionally restricted euxassay_013816_05
TS23: telencephalon mantle layer Moderate Regionally restricted euxassay_013816_05
TS23: pons mantle layer Moderate Regionally restricted euxassay_013816_05
TS23: trigeminal ganglion Moderate Regionally restricted euxassay_013816_05
TS23: facial ganglion Moderate Regionally restricted euxassay_013816_05

Specimen euxassay_013816_06: embryonic day 14.5 (more )
Structure Level Pattern Image Note
TS23: telencephalon mantle layer Moderate Regionally restricted euxassay_013816_06
TS23: lateral ventricle Moderate Regionally restricted euxassay_013816_06
TS23: diencephalon lateral wall mantle layer Moderate Regionally restricted euxassay_013816_06
TS23: midbrain mantle layer Moderate Regionally restricted euxassay_013816_06
TS23: pons mantle layer Moderate Regionally restricted euxassay_013816_06
TS23: rest of cerebellum mantle layer Moderate Regionally restricted euxassay_013816_06
TS23: trigeminal ganglion Moderate Regionally restricted euxassay_013816_06
TS23: vestibulo-cochlear ganglion Weak Regionally restricted euxassay_013816_06

Specimen euxassay_013816_07: embryonic day 14.5 (more )
Structure Level Pattern Image Note
TS23: telencephalon marginal layer Moderate Regionally restricted euxassay_013816_07
TS23: telencephalon mantle layer Moderate Regionally restricted euxassay_013816_07
TS23: diencephalon lateral wall mantle layer Moderate Regionally restricted euxassay_013816_07
TS23: midbrain mantle layer Moderate Regionally restricted euxassay_013816_07
TS23: pons mantle layer Moderate Regionally restricted euxassay_013816_07
TS23: rest of cerebellum mantle layer Moderate Regionally restricted euxassay_013816_07
TS23: medulla oblongata basal plate mantle layer Weak Regionally restricted euxassay_013816_07
TS23: medulla oblongata alar plate mantle layer Weak Regionally restricted euxassay_013816_07
TS23: trigeminal ganglion Weak Regionally restricted euxassay_013816_07
TS23: glossopharyngeal ganglion Weak Regionally restricted euxassay_013816_07
TS23: olfactory epithelium Weak Regionally restricted euxassay_013816_07
TS23: dorsal root ganglion Weak Regionally restricted euxassay_013816_07

Specimen euxassay_013816_08: embryonic day 14.5 (more )
Structure Level Pattern Image Note
TS23: telencephalon marginal layer Moderate Regionally restricted euxassay_013816_08
TS23: telencephalon mantle layer Moderate Regionally restricted euxassay_013816_08
TS23: diencephalon lateral wall mantle layer Moderate Regionally restricted euxassay_013816_08
TS23: hypothalamus mantle layer Moderate Regionally restricted euxassay_013816_08
TS23: midbrain mantle layer Weak Spotted euxassay_013816_08
TS23: pons mantle layer Weak Spotted euxassay_013816_08
TS23: rest of cerebellum mantle layer Weak Spotted euxassay_013816_08
TS23: medulla oblongata alar plate mantle layer Weak Regionally restricted euxassay_013816_08
TS23: medulla oblongata basal plate mantle layer Weak Regionally restricted euxassay_013816_08
TS23: trigeminal ganglion Weak Regionally restricted euxassay_013816_08
TS23: glossopharyngeal ganglion Weak Regionally restricted euxassay_013816_08
TS23: olfactory epithelium Weak Regionally restricted euxassay_013816_08
TS23: dorsal root ganglion Weak Regionally restricted euxassay_013816_08

Specimen euxassay_013816_09: embryonic day 14.5 (more )
Structure Level Pattern Image Note
TS23: telencephalon marginal layer Moderate Regionally restricted euxassay_013816_09
TS23: telencephalon mantle layer Moderate Regionally restricted euxassay_013816_09
TS23: hypothalamus mantle layer Weak Regionally restricted euxassay_013816_09
TS23: diencephalon lateral wall mantle layer Weak Regionally restricted euxassay_013816_09
TS23: midbrain mantle layer Weak Spotted euxassay_013816_09
TS23: pons mantle layer Weak Spotted euxassay_013816_09
TS23: medulla oblongata alar plate mantle layer Weak Regionally restricted euxassay_013816_09
TS23: medulla oblongata basal plate mantle layer Weak Regionally restricted euxassay_013816_09
TS23: ventral grey horn Weak Regionally restricted euxassay_013816_09
TS23: olfactory epithelium Weak Regionally restricted euxassay_013816_09

Specimen euxassay_013816_10: embryonic day 14.5 (more )
Structure Level Pattern Image Note
TS23: hypothalamus mantle layer Weak Regionally restricted euxassay_013816_10
TS23: diencephalon lateral wall mantle layer Weak Regionally restricted euxassay_013816_10
TS23: telencephalon mantle layer Moderate Regionally restricted euxassay_013816_10
TS23: midbrain mantle layer Weak Spotted euxassay_013816_10
TS23: pons mantle layer Weak Spotted euxassay_013816_10
TS23: medulla oblongata alar plate mantle layer Weak Regionally restricted euxassay_013816_10
TS23: medulla oblongata basal plate mantle layer Weak Regionally restricted euxassay_013816_10
TS23: ventral grey horn Moderate Regionally restricted euxassay_013816_10
TS23: olfactory epithelium Weak Regionally restricted euxassay_013816_10
TS23: vomeronasal organ Weak Regionally restricted euxassay_013816_10
TS23: dorsal root ganglion Weak Regionally restricted euxassay_013816_10

Specimen euxassay_013816_11: embryonic day 14.5 (more )
Structure Level Pattern Image Note
TS23: telencephalon mantle layer Moderate Regionally restricted euxassay_013816_11
TS23: telencephalon marginal layer Moderate Regionally restricted euxassay_013816_11
TS23: diencephalon lateral wall mantle layer Moderate Regionally restricted euxassay_013816_11
TS23: hypothalamus mantle layer Moderate Regionally restricted euxassay_013816_11
TS23: midbrain mantle layer Weak Spotted euxassay_013816_11
TS23: pons mantle layer Weak Spotted euxassay_013816_11
TS23: ventral grey horn Weak Regionally restricted euxassay_013816_11
TS23: medulla oblongata basal plate mantle layer Weak Regionally restricted euxassay_013816_11
TS23: medulla oblongata alar plate mantle layer Weak Regionally restricted euxassay_013816_11
TS23: pituitary gland Weak Regionally restricted euxassay_013816_11

Specimen euxassay_013816_12: embryonic day 14.5 (more )
Structure Level Pattern Image Note
TS23: telencephalon marginal layer Moderate Regionally restricted euxassay_013816_12
TS23: telencephalon mantle layer Moderate Regionally restricted euxassay_013816_12
TS23: hypothalamus mantle layer Moderate Regionally restricted euxassay_013816_12
TS23: diencephalon lateral wall mantle layer Moderate Regionally restricted euxassay_013816_12
TS23: midbrain mantle layer Moderate Regionally restricted euxassay_013816_12
TS23: pons mantle layer Moderate Regionally restricted euxassay_013816_12
TS23: ventral grey horn Weak Regionally restricted euxassay_013816_12
TS23: medulla oblongata basal plate mantle layer Weak Regionally restricted euxassay_013816_12
TS23: medulla oblongata alar plate mantle layer Weak Regionally restricted euxassay_013816_12
TS23: pituitary gland Weak Regionally restricted euxassay_013816_12

Specimen euxassay_013816_13: embryonic day 14.5 (more )
Structure Level Pattern Image Note
TS23: telencephalon mantle layer Moderate Regionally restricted euxassay_013816_13
TS23: telencephalon marginal layer Moderate Regionally restricted euxassay_013816_13
TS23: diencephalon lateral wall mantle layer Moderate Regionally restricted euxassay_013816_13
TS23: hypothalamus mantle layer Moderate Regionally restricted euxassay_013816_13
TS23: midbrain mantle layer Moderate Regionally restricted euxassay_013816_13
TS23: pons mantle layer Moderate Regionally restricted euxassay_013816_13
TS23: ventral grey horn Weak Regionally restricted euxassay_013816_13
TS23: medulla oblongata alar plate mantle layer Weak Regionally restricted euxassay_013816_13
TS23: medulla oblongata basal plate mantle layer Weak Regionally restricted euxassay_013816_13
TS23: vomeronasal organ Moderate Regionally restricted euxassay_013816_13
TS23: olfactory epithelium Moderate Regionally restricted euxassay_013816_13
TS23: pituitary gland Weak Regionally restricted euxassay_013816_13

Specimen euxassay_013816_14: embryonic day 14.5 (more )
Structure Level Pattern Image Note
TS23: hypothalamus mantle layer Moderate Regionally restricted euxassay_013816_14
TS23: telencephalon mantle layer Moderate Regionally restricted euxassay_013816_14
TS23: telencephalon marginal layer Moderate Regionally restricted euxassay_013816_14
TS23: diencephalon lateral wall mantle layer Moderate Regionally restricted euxassay_013816_14
TS23: midbrain mantle layer Moderate Regionally restricted euxassay_013816_14
TS23: pons mantle layer Moderate Regionally restricted euxassay_013816_14
TS23: rest of cerebellum mantle layer Moderate Regionally restricted euxassay_013816_14
TS23: medulla oblongata alar plate mantle layer Weak Regionally restricted euxassay_013816_14
TS23: medulla oblongata basal plate mantle layer Weak Regionally restricted euxassay_013816_14
TS23: olfactory epithelium Moderate Regionally restricted euxassay_013816_14
TS23: vomeronasal organ Moderate Regionally restricted euxassay_013816_14
TS23: pituitary gland Weak Regionally restricted euxassay_013816_14

Specimen euxassay_013816_15: embryonic day 14.5 (more )
Structure Level Pattern Image Note
TS23: diencephalon lateral wall mantle layer Moderate Regionally restricted euxassay_013816_15
TS23: telencephalon marginal layer Moderate Regionally restricted euxassay_013816_15
TS23: telencephalon mantle layer Moderate Regionally restricted euxassay_013816_15
TS23: hypothalamus mantle layer Moderate Regionally restricted euxassay_013816_15
TS23: midbrain mantle layer Moderate Regionally restricted euxassay_013816_15
TS23: pons mantle layer Moderate Regionally restricted euxassay_013816_15
TS23: rest of cerebellum mantle layer Moderate Regionally restricted euxassay_013816_15
TS23: ventral grey horn Weak Regionally restricted euxassay_013816_15
TS23: medulla oblongata basal plate mantle layer Weak Regionally restricted euxassay_013816_15
TS23: medulla oblongata alar plate mantle layer Weak Regionally restricted euxassay_013816_15
TS23: olfactory epithelium Weak Regionally restricted euxassay_013816_15
TS23: dorsal root ganglion Weak Regionally restricted euxassay_013816_15
TS23: pituitary gland Weak Regionally restricted euxassay_013816_15

Specimen euxassay_013816_16: embryonic day 14.5 (more )
Structure Level Pattern Image Note
TS23: hypothalamus mantle layer Moderate Regionally restricted euxassay_013816_16
TS23: diencephalon lateral wall mantle layer Moderate Regionally restricted euxassay_013816_16
TS23: telencephalon mantle layer Moderate Regionally restricted euxassay_013816_16
TS23: telencephalon marginal layer Moderate Regionally restricted euxassay_013816_16
TS23: midbrain mantle layer Weak Regionally restricted euxassay_013816_16
TS23: pons mantle layer Weak Regionally restricted euxassay_013816_16
TS23: rest of cerebellum mantle layer Weak Regionally restricted euxassay_013816_16
TS23: ventral grey horn Weak Regionally restricted euxassay_013816_16
TS23: medulla oblongata alar plate mantle layer Weak Regionally restricted euxassay_013816_16
TS23: medulla oblongata basal plate mantle layer Weak Regionally restricted euxassay_013816_16
TS23: olfactory epithelium Weak Regionally restricted euxassay_013816_16
TS23: dorsal root ganglion Weak Regionally restricted euxassay_013816_16

Specimen euxassay_013816_17: embryonic day 14.5 (more )
Structure Level Pattern Image Note
TS23: telencephalon marginal layer Moderate Regionally restricted euxassay_013816_17
TS23: telencephalon mantle layer Moderate Regionally restricted euxassay_013816_17
TS23: diencephalon lateral wall mantle layer Moderate Regionally restricted euxassay_013816_17
TS23: midbrain mantle layer Weak Regionally restricted euxassay_013816_17
TS23: pons mantle layer Weak Regionally restricted euxassay_013816_17
TS23: rest of cerebellum mantle layer Weak Regionally restricted euxassay_013816_17
TS23: medulla oblongata alar plate mantle layer Weak Regionally restricted euxassay_013816_17
TS23: medulla oblongata basal plate mantle layer Weak Regionally restricted euxassay_013816_17
TS23: trigeminal ganglion Weak Regionally restricted euxassay_013816_17
TS23: dorsal root ganglion Weak Regionally restricted euxassay_013816_17

Specimen euxassay_013816_18: embryonic day 14.5 (more )
Structure Level Pattern Image Note
TS23: telencephalon marginal layer Moderate Regionally restricted euxassay_013816_18
TS23: telencephalon mantle layer Moderate Regionally restricted euxassay_013816_18
TS23: pons mantle layer Weak Regionally restricted euxassay_013816_18
TS23: rest of cerebellum mantle layer Weak Regionally restricted euxassay_013816_18
TS23: midbrain mantle layer Weak Regionally restricted euxassay_013816_18
TS23: medulla oblongata basal plate mantle layer Weak Regionally restricted euxassay_013816_18
TS23: trigeminal ganglion Weak Regionally restricted euxassay_013816_18
TS23: glossopharyngeal ganglion Weak Regionally restricted euxassay_013816_18
TS23: dorsal root ganglion Weak Regionally restricted euxassay_013816_18

Specimen euxassay_013816_19: embryonic day 14.5 (more )
Structure Level Pattern Image Note
TS23: telencephalon marginal layer Moderate Regionally restricted euxassay_013816_19
TS23: telencephalon mantle layer Moderate Regionally restricted euxassay_013816_19
TS23: rest of cerebellum mantle layer Weak Regionally restricted euxassay_013816_19
TS23: pons mantle layer Weak Regionally restricted euxassay_013816_19
TS23: trigeminal ganglion Weak Regionally restricted euxassay_013816_19
TS23: glossopharyngeal ganglion Weak Regionally restricted euxassay_013816_19
TS23: vestibulo-cochlear ganglion Weak Regionally restricted euxassay_013816_19
TS23: dorsal root ganglion Weak Regionally restricted euxassay_013816_19

Specimen euxassay_013816_20: embryonic day 14.5 (more )
Structure Level Pattern Image Note
TS23: telencephalon marginal layer Moderate Regionally restricted euxassay_013816_20
TS23: telencephalon mantle layer Moderate Regionally restricted euxassay_013816_20
TS23: rest of cerebellum mantle layer Weak Regionally restricted euxassay_013816_20
TS23: trigeminal ganglion Weak Regionally restricted euxassay_013816_20
TS23: facial ganglion Weak Regionally restricted euxassay_013816_20

Specimen euxassay_013816_21: embryonic day 14.5 (more )
Structure Level Pattern Image Note
TS23: telencephalon marginal layer Moderate Regionally restricted euxassay_013816_21
TS23: telencephalon mantle layer Moderate Regionally restricted euxassay_013816_21
TS23: trigeminal ganglion Weak Regionally restricted euxassay_013816_21
TS23: facial ganglion Weak Regionally restricted euxassay_013816_21

Specimen euxassay_013816_22: embryonic day 14.5 (more )
Structure Level Pattern Image Note
TS23: telencephalon marginal layer Moderate Regionally restricted euxassay_013816_22
TS23: telencephalon mantle layer Moderate Regionally restricted euxassay_013816_22
TS23: trigeminal ganglion Weak Regionally restricted euxassay_013816_22
TS23: neural retina Weak Regionally restricted euxassay_013816_22

Specimen euxassay_013816_23: embryonic day 14.5 (more )
Structure Level Pattern Image Note
TS23: telencephalon marginal layer Moderate Regionally restricted euxassay_013816_23
TS23: telencephalon mantle layer Moderate Regionally restricted euxassay_013816_23
TS23: neural retina Weak Regionally restricted euxassay_013816_23

Specimen euxassay_013816_24: embryonic day 14.5 (more )
Structure Level Pattern Image Note
TS23: telencephalon mantle layer Moderate Regionally restricted euxassay_013816_24
TS23: neural retina Weak Regionally restricted euxassay_013816_24


Contributing Projects:
Mouse Genome Database (MGD), Gene Expression Database (GXD), Mouse Models of Human Cancer database (MMHCdb) (formerly Mouse Tumor Biology (MTB)), Gene Ontology (GO)
Citing These Resources
Funding Information
Warranty Disclaimer, Privacy Notice, Licensing, & Copyright
Send questions and comments to User Support.
last database update
12/30/2025
MGI 6.24
The Jackson Laboratory