About   Help   FAQ
Gene Expression Data
Assay Details
Assay
Reference: J:153498 Diez-Roux G, et al., A high-resolution anatomical atlas of the transcriptome in the mouse embryo. PLoS Biol. 2011;9(1):e1000582
Assay type: RNA in situ
MGI Accession ID: MGI:4825831
Gene symbol: Krt19
Gene name: keratin 19
Probe: IMAGE clone 1546202
Probe preparation: Antisense labelled with digoxigenin RNA
Visualized with: Alkaline phosphatase
Assay notes: Cryosections of fresh frozen material were fixed in 4% paraformaldehyde for 20 min. before further processing. A tyramide-biotin/streptavidin amplification step was included in the in situ hybridization procedure.
Results
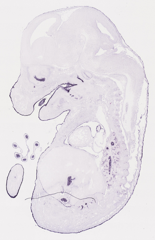
Specimen euxassay_007360_01: embryonic day 14.5 (more )
Structure Level Pattern Image Note
TS23: skin Strong Regionally restricted euxassay_007360_01
TS23: vibrissa Strong Regionally restricted euxassay_007360_01
TS23: pharyngo-tympanic tube Strong Regionally restricted euxassay_007360_01
TS23: eyelid Strong Regionally restricted euxassay_007360_01
TS23: peritoneum Moderate Regionally restricted euxassay_007360_01
TS23: urogenital mesentery Moderate Regionally restricted euxassay_007360_01
TS23: stomach Strong Regionally restricted euxassay_007360_01

Specimen euxassay_007360_02: embryonic day 14.5 (more )
Structure Level Pattern Image Note
TS23: vibrissa Strong Regionally restricted euxassay_007360_02
TS23: skin Strong Regionally restricted euxassay_007360_02
TS23: pharyngo-tympanic tube Strong Regionally restricted euxassay_007360_02
TS23: eyelid Strong Regionally restricted euxassay_007360_02
TS23: naso-lacrimal duct Strong Regionally restricted euxassay_007360_02
TS23: peritoneum Moderate Regionally restricted euxassay_007360_02
TS23: urogenital mesentery Moderate Regionally restricted euxassay_007360_02
TS23: stomach Strong Regionally restricted euxassay_007360_02
TS23: left lung Moderate Regionally restricted euxassay_007360_02

Specimen euxassay_007360_03: embryonic day 14.5 (more )
Structure Level Pattern Image Note
TS23: vibrissa Strong Regionally restricted euxassay_007360_03
TS23: skin Strong Regionally restricted euxassay_007360_03
TS23: pharyngo-tympanic tube Strong Regionally restricted euxassay_007360_03
TS23: eyelid Strong Regionally restricted euxassay_007360_03
TS23: naso-lacrimal duct Strong Regionally restricted euxassay_007360_03
TS23: urogenital mesentery Moderate Regionally restricted euxassay_007360_03
TS23: peritoneum Moderate Regionally restricted euxassay_007360_03
TS23: pleural component Moderate Regionally restricted euxassay_007360_03
TS23: stomach Strong Regionally restricted euxassay_007360_03
TS23: left lung Moderate Regionally restricted euxassay_007360_03

Specimen euxassay_007360_04: embryonic day 14.5 (more )
Structure Level Pattern Image Note
TS23: skin Strong Regionally restricted euxassay_007360_04
TS23: vibrissa Strong Regionally restricted euxassay_007360_04
TS23: pharyngo-tympanic tube Strong Regionally restricted euxassay_007360_04
TS23: naso-lacrimal duct Strong Regionally restricted euxassay_007360_04
TS23: pleura Moderate Regionally restricted euxassay_007360_04
TS23: urogenital mesentery Moderate Regionally restricted euxassay_007360_04
TS23: peritoneum Moderate Regionally restricted euxassay_007360_04
TS23: stomach Strong Regionally restricted euxassay_007360_04
TS23: left lung Moderate Regionally restricted euxassay_007360_04

Specimen euxassay_007360_05: embryonic day 14.5 (more )
Structure Level Pattern Image Note
TS23: skin Strong Regionally restricted euxassay_007360_05
TS23: vibrissa Strong Regionally restricted euxassay_007360_05
TS23: pharyngo-tympanic tube Strong Regionally restricted euxassay_007360_05
TS23: inner ear Moderate Regionally restricted euxassay_007360_05
TS23: naso-lacrimal duct Strong Regionally restricted euxassay_007360_05
TS23: oral epithelium Strong Regionally restricted euxassay_007360_05
TS23: peritoneum Moderate Regionally restricted euxassay_007360_05
TS23: pleura Moderate Regionally restricted euxassay_007360_05
TS23: urogenital mesentery Moderate Regionally restricted euxassay_007360_05
TS23: stomach Strong Regionally restricted euxassay_007360_05
TS23: left lung Moderate Regionally restricted euxassay_007360_05

Specimen euxassay_007360_06: embryonic day 14.5 (more )
Structure Level Pattern Image Note
TS23: skin Strong Regionally restricted euxassay_007360_06
TS23: vibrissa Strong Regionally restricted euxassay_007360_06
TS23: pharyngo-tympanic tube Strong Regionally restricted euxassay_007360_06
TS23: inner ear Moderate Regionally restricted euxassay_007360_06
TS23: naso-lacrimal duct Strong Regionally restricted euxassay_007360_06
TS23: oral epithelium Strong Regionally restricted euxassay_007360_06
TS23: lower jaw molar Strong Regionally restricted euxassay_007360_06
TS23: upper jaw molar Strong Regionally restricted euxassay_007360_06
TS23: peritoneum Moderate Regionally restricted euxassay_007360_06
TS23: pleura Moderate Regionally restricted euxassay_007360_06
TS23: urogenital mesentery Moderate Regionally restricted euxassay_007360_06
TS23: stomach Strong Regionally restricted euxassay_007360_06
TS23: midgut Strong Regionally restricted euxassay_007360_06
TS23: left lung Moderate Regionally restricted euxassay_007360_06
TS23: renal calyx Strong Regionally restricted euxassay_007360_06
TS23: submandibular gland primordium Moderate Regionally restricted euxassay_007360_06

Specimen euxassay_007360_07: embryonic day 14.5 (more )
Structure Level Pattern Image Note
TS23: skin Strong Regionally restricted euxassay_007360_07
TS23: pharyngo-tympanic tube Strong Regionally restricted euxassay_007360_07
TS23: inner ear Moderate Regionally restricted euxassay_007360_07
TS23: naso-lacrimal duct Strong Regionally restricted euxassay_007360_07
TS23: olfactory epithelium Strong Regionally restricted euxassay_007360_07
TS23: oral epithelium Strong Regionally restricted euxassay_007360_07
TS23: lower jaw molar Strong Regionally restricted euxassay_007360_07
TS23: upper jaw molar Strong Regionally restricted euxassay_007360_07
TS23: pericardium Moderate Regionally restricted euxassay_007360_07
TS23: pleura Moderate Regionally restricted euxassay_007360_07
TS23: peritoneum Moderate Regionally restricted euxassay_007360_07
TS23: urogenital mesentery Moderate Regionally restricted euxassay_007360_07
TS23: stomach Strong Regionally restricted euxassay_007360_07
TS23: midgut Strong Regionally restricted euxassay_007360_07
TS23: left lung Moderate Regionally restricted euxassay_007360_07
TS23: renal calyx Strong Regionally restricted euxassay_007360_07
TS23: submandibular gland primordium Moderate Regionally restricted euxassay_007360_07

Specimen euxassay_007360_08: embryonic day 14.5 (more )
Structure Level Pattern Image Note
TS23: skin Strong Regionally restricted euxassay_007360_08
TS23: pharyngo-tympanic tube Strong Regionally restricted euxassay_007360_08
TS23: inner ear Moderate Regionally restricted euxassay_007360_08
TS23: olfactory epithelium Strong Regionally restricted euxassay_007360_08
TS23: naso-lacrimal duct Strong Regionally restricted euxassay_007360_08
TS23: oral epithelium Strong Regionally restricted euxassay_007360_08
TS23: pericardium Moderate Regionally restricted euxassay_007360_08
TS23: pleura Moderate Regionally restricted euxassay_007360_08
TS23: peritoneum Moderate Regionally restricted euxassay_007360_08
TS23: urogenital mesentery Moderate Regionally restricted euxassay_007360_08
TS23: midgut Strong Regionally restricted euxassay_007360_08
TS23: stomach Strong Regionally restricted euxassay_007360_08
TS23: left lung Moderate Regionally restricted euxassay_007360_08
TS23: ureter Strong Regionally restricted euxassay_007360_08
TS23: submandibular gland primordium Moderate Regionally restricted euxassay_007360_08

Specimen euxassay_007360_09: embryonic day 14.5 (more )
Structure Level Pattern Image Note
TS23: skin Strong Regionally restricted euxassay_007360_09
TS23: pharyngo-tympanic tube Strong Regionally restricted euxassay_007360_09
TS23: inner ear Moderate Regionally restricted euxassay_007360_09
TS23: olfactory epithelium Strong Regionally restricted euxassay_007360_09
TS23: anterior naris Strong Regionally restricted euxassay_007360_09
TS23: external naris Strong Regionally restricted euxassay_007360_09
TS23: oral epithelium Strong Regionally restricted euxassay_007360_09
TS23: lower jaw incisor Strong Regionally restricted euxassay_007360_09
TS23: upper jaw incisor Strong Regionally restricted euxassay_007360_09
TS23: pericardium Moderate Regionally restricted euxassay_007360_09
TS23: pleura Moderate Regionally restricted euxassay_007360_09
TS23: peritoneum Moderate Regionally restricted euxassay_007360_09
TS23: stomach Strong Regionally restricted euxassay_007360_09
TS23: midgut Strong Regionally restricted euxassay_007360_09
TS23: left lung Moderate Regionally restricted euxassay_007360_09
TS23: ureter Strong Regionally restricted euxassay_007360_09

Specimen euxassay_007360_10: embryonic day 14.5 (more )
Structure Level Pattern Image Note
TS23: skin Strong Regionally restricted euxassay_007360_10
TS23: anterior naris Strong Regionally restricted euxassay_007360_10
TS23: olfactory epithelium Strong Regionally restricted euxassay_007360_10
TS23: lower jaw incisor Strong Regionally restricted euxassay_007360_10
TS23: upper jaw incisor Strong Regionally restricted euxassay_007360_10
TS23: oral epithelium Strong Regionally restricted euxassay_007360_10
TS23: pericardium Moderate Regionally restricted euxassay_007360_10
TS23: pleura Moderate Regionally restricted euxassay_007360_10
TS23: pleural component Moderate Regionally restricted euxassay_007360_10
TS23: midgut Strong Regionally restricted euxassay_007360_10
TS23: rectum Strong Regionally restricted euxassay_007360_10
TS23: left lung Moderate Regionally restricted euxassay_007360_10
TS23: urethra Strong Regionally restricted euxassay_007360_10 Originally this result was annotated to a male-specific term, but as the specimen was not sexed, it is likely the data annotator intended to use a non-sex specific term.
TS23: bladder Strong Regionally restricted euxassay_007360_10

Specimen euxassay_007360_11: embryonic day 14.5 (more )
Structure Level Pattern Image Note
TS23: skin Strong Regionally restricted euxassay_007360_11
TS23: anterior naris Strong Regionally restricted euxassay_007360_11
TS23: lower jaw incisor Strong Regionally restricted euxassay_007360_11
TS23: oral epithelium Strong Regionally restricted euxassay_007360_11
TS23: thymus primordium Moderate Spotted euxassay_007360_11
TS23: pericardium Moderate Regionally restricted euxassay_007360_11
TS23: pleura Moderate Regionally restricted euxassay_007360_11
TS23: peritoneum Moderate Regionally restricted euxassay_007360_11
TS23: rectum Strong Regionally restricted euxassay_007360_11
TS23: midgut Strong Regionally restricted euxassay_007360_11
TS23: pharynx Strong Regionally restricted euxassay_007360_11
TS23: left lung Moderate Regionally restricted euxassay_007360_11
TS23: bladder Strong Regionally restricted euxassay_007360_11
TS23: urethra Strong Regionally restricted euxassay_007360_11 Originally this result was annotated to a male-specific term, but as the specimen was not sexed, it is likely the data annotator intended to use a non-sex specific term.

Specimen euxassay_007360_12: embryonic day 14.5 (more )
Structure Level Pattern Image Note
TS23: skin Strong Regionally restricted euxassay_007360_12
TS23: anterior naris Moderate Regionally restricted euxassay_007360_12
TS23: oral epithelium Strong Regionally restricted euxassay_007360_12
TS23: thymus primordium Moderate Spotted euxassay_007360_12
TS23: pericardium Moderate Regionally restricted euxassay_007360_12
TS23: peritoneum Moderate Regionally restricted euxassay_007360_12
TS23: pleura Moderate Regionally restricted euxassay_007360_12
TS23: midgut Strong Regionally restricted euxassay_007360_12
TS23: larynx Strong Regionally restricted euxassay_007360_12
TS23: pharynx Strong Regionally restricted euxassay_007360_12
TS23: esophagus Strong Regionally restricted euxassay_007360_12
TS23: left lung Moderate Regionally restricted euxassay_007360_12
TS23: bladder Strong Regionally restricted euxassay_007360_12

Specimen euxassay_007360_13: embryonic day 14.5 (more )
Structure Level Pattern Image Note
TS23: skin Strong Regionally restricted euxassay_007360_13
TS23: anterior naris Strong Regionally restricted euxassay_007360_13
TS23: nasal cavity epithelium Strong Regionally restricted euxassay_007360_13
TS23: upper jaw incisor Strong Regionally restricted euxassay_007360_13
TS23: oral epithelium Strong Regionally restricted euxassay_007360_13
TS23: thymus primordium Weak Spotted euxassay_007360_13
TS23: pericardium Moderate Regionally restricted euxassay_007360_13
TS23: pleura Moderate Regionally restricted euxassay_007360_13
TS23: peritoneum Moderate Regionally restricted euxassay_007360_13
TS23: midgut Strong Regionally restricted euxassay_007360_13
TS23: trachea Strong Regionally restricted euxassay_007360_13
TS23: larynx Strong Regionally restricted euxassay_007360_13
TS23: pharynx Strong Regionally restricted euxassay_007360_13
TS23: right lung Moderate Regionally restricted euxassay_007360_13
TS23: ureter Strong Regionally restricted euxassay_007360_13

Specimen euxassay_007360_14: embryonic day 14.5 (more )
Structure Level Pattern Image Note
TS23: skin Strong Regionally restricted euxassay_007360_14
TS23: anterior naris Strong Regionally restricted euxassay_007360_14
TS23: olfactory epithelium Strong Regionally restricted euxassay_007360_14
TS23: oral epithelium Strong Regionally restricted euxassay_007360_14
TS23: lower jaw incisor Strong Regionally restricted euxassay_007360_14
TS23: upper jaw incisor Strong Regionally restricted euxassay_007360_14
TS23: thymus primordium Moderate Spotted euxassay_007360_14
TS23: pericardium Moderate Regionally restricted euxassay_007360_14
TS23: pleura Moderate Regionally restricted euxassay_007360_14
TS23: pleural component Moderate Regionally restricted euxassay_007360_14
TS23: midgut Strong Regionally restricted euxassay_007360_14
TS23: trachea Strong Regionally restricted euxassay_007360_14
TS23: larynx Strong Regionally restricted euxassay_007360_14
TS23: pharynx Strong Regionally restricted euxassay_007360_14
TS23: right lung Moderate Regionally restricted euxassay_007360_14
TS23: ureter Strong Regionally restricted euxassay_007360_14

Specimen euxassay_007360_15: embryonic day 14.5 (more )
Structure Level Pattern Image Note
TS23: skin Strong Regionally restricted euxassay_007360_15
TS23: olfactory epithelium Strong Regionally restricted euxassay_007360_15
TS23: lower jaw incisor Strong Regionally restricted euxassay_007360_15
TS23: oral epithelium Strong Regionally restricted euxassay_007360_15
TS23: thymus primordium Moderate Spotted euxassay_007360_15
TS23: pericardium Moderate Regionally restricted euxassay_007360_15
TS23: pleura Moderate Regionally restricted euxassay_007360_15
TS23: peritoneum Moderate Regionally restricted euxassay_007360_15
TS23: midgut Strong Regionally restricted euxassay_007360_15
TS23: trachea Strong Regionally restricted euxassay_007360_15
TS23: pharynx Strong Regionally restricted euxassay_007360_15
TS23: right lung Moderate Regionally restricted euxassay_007360_15
TS23: ureter Strong Regionally restricted euxassay_007360_15

Specimen euxassay_007360_16: embryonic day 14.5 (more )
Structure Level Pattern Image Note
TS23: skin Strong Regionally restricted euxassay_007360_16
TS23: pharyngo-tympanic tube Strong Regionally restricted euxassay_007360_16
TS23: inner ear Moderate Regionally restricted euxassay_007360_16
TS23: olfactory epithelium Strong Regionally restricted euxassay_007360_16
TS23: oral epithelium Strong Regionally restricted euxassay_007360_16
TS23: pericardium Moderate Regionally restricted euxassay_007360_16
TS23: pleura Moderate Regionally restricted euxassay_007360_16
TS23: peritoneum Moderate Regionally restricted euxassay_007360_16
TS23: midgut Strong Regionally restricted euxassay_007360_16
TS23: right lung Moderate Regionally restricted euxassay_007360_16
TS23: renal calyx Strong Regionally restricted euxassay_007360_16
TS23: submandibular gland primordium Moderate Regionally restricted euxassay_007360_16

Specimen euxassay_007360_17: embryonic day 14.5 (more )
Structure Level Pattern Image Note
TS23: skin Strong Regionally restricted euxassay_007360_17
TS23: vibrissa Strong Regionally restricted euxassay_007360_17
TS23: pharyngo-tympanic tube Strong Regionally restricted euxassay_007360_17
TS23: inner ear Moderate Regionally restricted euxassay_007360_17
TS23: olfactory epithelium Strong Regionally restricted euxassay_007360_17
TS23: naso-lacrimal duct Strong Regionally restricted euxassay_007360_17
TS23: oral epithelium Strong Regionally restricted euxassay_007360_17
TS23: lower jaw molar Strong Regionally restricted euxassay_007360_17
TS23: pleura Moderate Regionally restricted euxassay_007360_17
TS23: pericardium Moderate Regionally restricted euxassay_007360_17
TS23: peritoneum Moderate Regionally restricted euxassay_007360_17
TS23: urogenital mesentery Moderate Regionally restricted euxassay_007360_17
TS23: midgut Strong Regionally restricted euxassay_007360_17
TS23: right lung Moderate Regionally restricted euxassay_007360_17
TS23: renal calyx Strong Regionally restricted euxassay_007360_17
TS23: submandibular gland primordium Moderate Regionally restricted euxassay_007360_17

Specimen euxassay_007360_18: embryonic day 14.5 (more )
Structure Level Pattern Image Note
TS23: skin Strong Regionally restricted euxassay_007360_18
TS23: vibrissa Strong Regionally restricted euxassay_007360_18
TS23: pharyngo-tympanic tube Strong Regionally restricted euxassay_007360_18
TS23: inner ear Moderate Regionally restricted euxassay_007360_18
TS23: naso-lacrimal duct Strong Regionally restricted euxassay_007360_18
TS23: oral epithelium Strong Regionally restricted euxassay_007360_18
TS23: lower jaw molar Strong Regionally restricted euxassay_007360_18
TS23: upper jaw molar Strong Regionally restricted euxassay_007360_18
TS23: urogenital mesentery Moderate Regionally restricted euxassay_007360_18
TS23: pleura Moderate Regionally restricted euxassay_007360_18
TS23: pericardium Moderate Regionally restricted euxassay_007360_18
TS23: peritoneum Moderate Regionally restricted euxassay_007360_18
TS23: midgut Strong Regionally restricted euxassay_007360_18
TS23: right lung Moderate Regionally restricted euxassay_007360_18
TS23: renal calyx Moderate Regionally restricted euxassay_007360_18
TS23: submandibular gland primordium Moderate Regionally restricted euxassay_007360_18

Specimen euxassay_007360_19: embryonic day 14.5 (more )
Structure Level Pattern Image Note
TS23: skin Strong Regionally restricted euxassay_007360_19
TS23: vibrissa Strong Regionally restricted euxassay_007360_19
TS23: pharyngo-tympanic tube Strong Regionally restricted euxassay_007360_19
TS23: inner ear Moderate Regionally restricted euxassay_007360_19
TS23: naso-lacrimal duct Strong Regionally restricted euxassay_007360_19
TS23: oral epithelium Strong Regionally restricted euxassay_007360_19
TS23: pericardium Moderate Regionally restricted euxassay_007360_19
TS23: pleura Moderate Regionally restricted euxassay_007360_19
TS23: peritoneum Moderate Regionally restricted euxassay_007360_19
TS23: urogenital mesentery Moderate Regionally restricted euxassay_007360_19
TS23: right lung Moderate Regionally restricted euxassay_007360_19
TS23: submandibular gland primordium Moderate Regionally restricted euxassay_007360_19

Specimen euxassay_007360_20: embryonic day 14.5 (more )
Structure Level Pattern Image Note
TS23: skin Strong Regionally restricted euxassay_007360_20
TS23: vibrissa Strong Regionally restricted euxassay_007360_20
TS23: pharyngo-tympanic tube Strong Regionally restricted euxassay_007360_20
TS23: inner ear Moderate Regionally restricted euxassay_007360_20
TS23: naso-lacrimal duct Strong Regionally restricted euxassay_007360_20
TS23: oral epithelium Strong Regionally restricted euxassay_007360_20
TS23: pericardium Moderate Regionally restricted euxassay_007360_20
TS23: pleura Moderate Regionally restricted euxassay_007360_20
TS23: peritoneum Moderate Regionally restricted euxassay_007360_20
TS23: urogenital mesentery Moderate Regionally restricted euxassay_007360_20
TS23: right lung Moderate Regionally restricted euxassay_007360_20

Specimen euxassay_007360_21: embryonic day 14.5 (more )
Structure Level Pattern Image Note
TS23: skin Strong Regionally restricted euxassay_007360_21
TS23: vibrissa Strong Regionally restricted euxassay_007360_21
TS23: pharyngo-tympanic tube Strong Regionally restricted euxassay_007360_21
TS23: inner ear Moderate Regionally restricted euxassay_007360_21
TS23: eyelid Strong Regionally restricted euxassay_007360_21
TS23: naso-lacrimal duct Strong Regionally restricted euxassay_007360_21
TS23: pericardium Moderate Regionally restricted euxassay_007360_21
TS23: pleura Moderate Regionally restricted euxassay_007360_21
TS23: peritoneum Moderate Regionally restricted euxassay_007360_21
TS23: urogenital mesentery Moderate Regionally restricted euxassay_007360_21
TS23: right lung Moderate Regionally restricted euxassay_007360_21

Specimen euxassay_007360_22: embryonic day 14.5 (more )
Structure Level Pattern Image Note
TS23: skin Strong Regionally restricted euxassay_007360_22
TS23: vibrissa Strong Regionally restricted euxassay_007360_22
TS23: pharyngo-tympanic tube Strong Regionally restricted euxassay_007360_22
TS23: eyelid Strong Regionally restricted euxassay_007360_22
TS23: naso-lacrimal duct Strong Regionally restricted euxassay_007360_22
TS23: pleura Moderate Regionally restricted euxassay_007360_22
TS23: peritoneum Moderate Regionally restricted euxassay_007360_22
TS23: urogenital mesentery Moderate Regionally restricted euxassay_007360_22
TS23: right lung Moderate Regionally restricted euxassay_007360_22

Specimen euxassay_007360_23: embryonic day 14.5 (more )
Structure Level Pattern Image Note
TS23: skin Strong Regionally restricted euxassay_007360_23
TS23: pharyngo-tympanic tube Strong Regionally restricted euxassay_007360_23
TS23: eyelid Strong Regionally restricted euxassay_007360_23
TS23: peritoneum Moderate Regionally restricted euxassay_007360_23
TS23: pleura Moderate Regionally restricted euxassay_007360_23
TS23: right lung Moderate Regionally restricted euxassay_007360_23

Specimen euxassay_007360_24: embryonic day 14.5 (more )
Structure Level Pattern Image Note
TS23: skin Strong Regionally restricted euxassay_007360_24
TS23: pharyngo-tympanic tube Strong Regionally restricted euxassay_007360_24
TS23: eyelid Strong Regionally restricted euxassay_007360_24
TS23: pleura Moderate Regionally restricted euxassay_007360_24
TS23: peritoneum Moderate Regionally restricted euxassay_007360_24
TS23: right lung Moderate Regionally restricted euxassay_007360_24


Contributing Projects:
Mouse Genome Database (MGD), Gene Expression Database (GXD), Mouse Models of Human Cancer database (MMHCdb) (formerly Mouse Tumor Biology (MTB)), Gene Ontology (GO)
Citing These Resources
Funding Information
Warranty Disclaimer, Privacy Notice, Licensing, & Copyright
Send questions and comments to User Support.
last database update
01/20/2026
MGI 6.24
The Jackson Laboratory