About   Help   FAQ
Gene Expression Data
Assay Details
Assay
Reference: J:153498 Diez-Roux G, et al., A high-resolution anatomical atlas of the transcriptome in the mouse embryo. PLoS Biol. 2011;9(1):e1000582
Assay type: RNA in situ
MGI Accession ID: MGI:4825766
Gene symbol: Kif4
Gene name: kinesin family member 4
Probe: IMAGE clone 481146
Probe preparation: Antisense labelled with digoxigenin RNA
Visualized with: Alkaline phosphatase
Assay notes: Cryosections of fresh frozen material were fixed in 4% paraformaldehyde for 20 min. before further processing. A tyramide-biotin/streptavidin amplification step was included in the in situ hybridization procedure.
Results
Specimen euxassay_000597_01: embryonic day 14.5 (more )
Structure Level Pattern Image Note
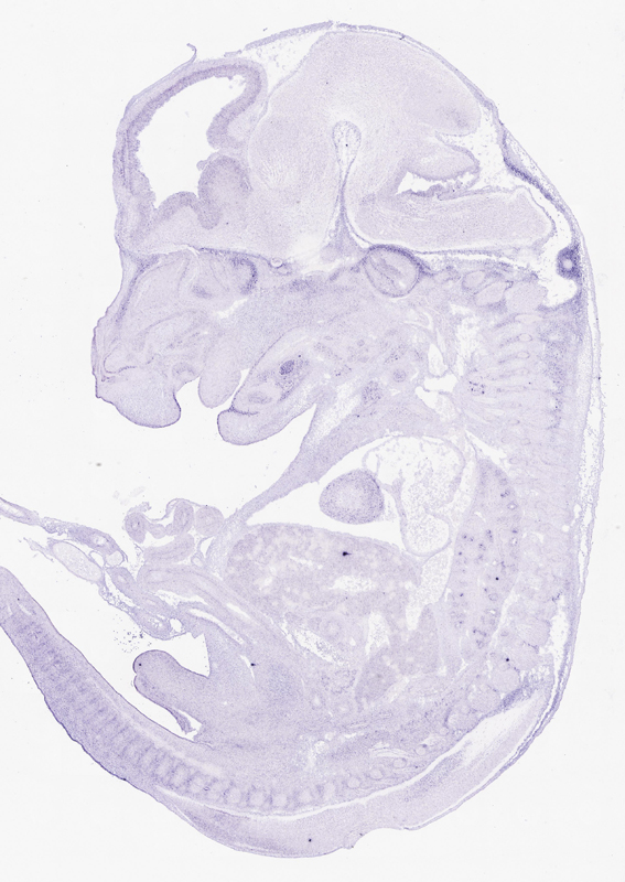
TS23: chondrocranium Moderate Regionally restricted euxassay_000597_01

Specimen euxassay_000597_02: embryonic day 14.5 (more )
Structure Level Pattern Image Note
TS23: chondrocranium Moderate Regionally restricted euxassay_000597_02

Specimen euxassay_000597_03: embryonic day 14.5 (more )
Structure Level Pattern Image Note
TS23: chondrocranium Moderate Regionally restricted euxassay_000597_03
TS23: Meckel's cartilage Weak Regionally restricted euxassay_000597_03

Specimen euxassay_000597_04: embryonic day 14.5 (more )
Structure Level Pattern Image Note
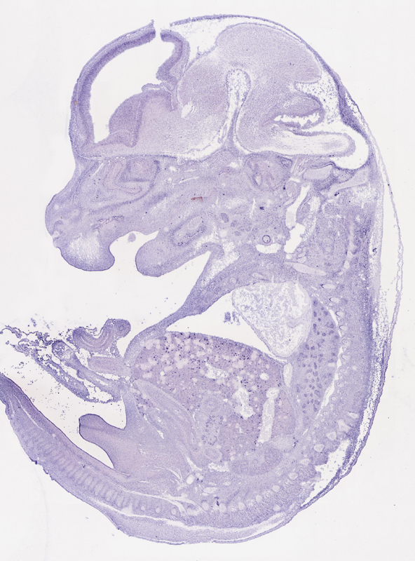
TS23: chondrocranium Moderate Regionally restricted euxassay_000597_04
TS23: Meckel's cartilage Weak Regionally restricted euxassay_000597_04

Specimen euxassay_000597_05: embryonic day 14.5 (more )
Structure Level Pattern Image Note
TS23: chondrocranium Moderate Regionally restricted euxassay_000597_05
TS23: Meckel's cartilage Weak Regionally restricted euxassay_000597_05

Specimen euxassay_000597_06: embryonic day 14.5 (more )
Structure Level Pattern Image Note
TS23: chondrocranium Moderate Regionally restricted euxassay_000597_06
TS23: nasal capsule Weak Regionally restricted euxassay_000597_06
TS23: Meckel's cartilage Weak Regionally restricted euxassay_000597_06

Specimen euxassay_000597_07: embryonic day 14.5 (more )
Structure Level Pattern Image Note
TS23: chondrocranium Moderate Regionally restricted euxassay_000597_07
TS23: nasal capsule Weak Regionally restricted euxassay_000597_07
TS23: Meckel's cartilage Weak Regionally restricted euxassay_000597_07

Specimen euxassay_000597_08: embryonic day 14.5 (more )
Structure Level Pattern Image Note
TS23: chondrocranium Moderate Regionally restricted euxassay_000597_08
TS23: nasal capsule Weak Regionally restricted euxassay_000597_08
TS23: Meckel's cartilage Weak Regionally restricted euxassay_000597_08

Specimen euxassay_000597_09: embryonic day 14.5 (more )
Structure Level Pattern Image Note
TS23: chondrocranium Moderate Regionally restricted euxassay_000597_09
TS23: nasal capsule Weak Regionally restricted euxassay_000597_09
TS23: Meckel's cartilage Weak Regionally restricted euxassay_000597_09

Specimen euxassay_000597_10: embryonic day 14.5 (more )
Structure Level Pattern Image Note
TS23: chondrocranium Moderate Regionally restricted euxassay_000597_10
TS23: nasal capsule Weak Regionally restricted euxassay_000597_10
TS23: Meckel's cartilage Weak Regionally restricted euxassay_000597_10

Specimen euxassay_000597_11: embryonic day 14.5 (more )
Structure Level Pattern Image Note
TS23: nasal capsule Weak Regionally restricted euxassay_000597_11
TS23: Meckel's cartilage Weak Regionally restricted euxassay_000597_11
TS23: lower jaw incisor Weak Regionally restricted euxassay_000597_11

Specimen euxassay_000597_12: embryonic day 14.5 (more )
Structure Level Pattern Image Note
TS23: nasal capsule Weak Regionally restricted euxassay_000597_12
TS23: lower jaw incisor Weak Regionally restricted euxassay_000597_12
TS23: upper jaw incisor Weak Regionally restricted euxassay_000597_12

Specimen euxassay_000597_13: embryonic day 14.5 (more )
Structure Level Pattern Image Note
TS23: nasal capsule Weak Regionally restricted euxassay_000597_13
TS23: lower jaw incisor Weak Regionally restricted euxassay_000597_13

Specimen euxassay_000597_14: embryonic day 14.5 (more )
Structure Level Pattern Image Note
TS23: nasal capsule Weak Regionally restricted euxassay_000597_14
TS23: lower jaw incisor Weak Regionally restricted euxassay_000597_14
TS23: upper jaw incisor Weak Regionally restricted euxassay_000597_14

Specimen euxassay_000597_15: embryonic day 14.5 (more )
Structure Level Pattern Image Note
TS23: chondrocranium Moderate Regionally restricted euxassay_000597_15
TS23: nasal capsule Weak Regionally restricted euxassay_000597_15
TS23: Meckel's cartilage Weak Regionally restricted euxassay_000597_15
TS23: lower jaw incisor Weak Regionally restricted euxassay_000597_15
TS23: upper jaw incisor Weak Regionally restricted euxassay_000597_15

Specimen euxassay_000597_16: embryonic day 14.5 (more )
Structure Level Pattern Image Note
TS23: chondrocranium Moderate Regionally restricted euxassay_000597_16
TS23: nasal capsule Weak Regionally restricted euxassay_000597_16
TS23: Meckel's cartilage Weak Regionally restricted euxassay_000597_16

Specimen euxassay_000597_17: embryonic day 14.5 (more )
Structure Level Pattern Image Note
TS23: chondrocranium Moderate Regionally restricted euxassay_000597_17
TS23: nasal capsule Weak Regionally restricted euxassay_000597_17
TS23: Meckel's cartilage Weak Regionally restricted euxassay_000597_17

Specimen euxassay_000597_18: embryonic day 14.5 (more )
Structure Level Pattern Image Note
TS23: chondrocranium Moderate Regionally restricted euxassay_000597_18
TS23: nasal capsule Weak Regionally restricted euxassay_000597_18
TS23: Meckel's cartilage Weak Regionally restricted euxassay_000597_18

Specimen euxassay_000597_19: embryonic day 14.5 (more )
Structure Level Pattern Image Note
TS23: chondrocranium Moderate Regionally restricted euxassay_000597_19
TS23: nasal capsule Weak Regionally restricted euxassay_000597_19
TS23: Meckel's cartilage Weak Regionally restricted euxassay_000597_19

Specimen euxassay_000597_20: embryonic day 14.5 (more )
Structure Level Pattern Image Note
TS23: chondrocranium Moderate Regionally restricted euxassay_000597_20
TS23: nasal capsule Weak Regionally restricted euxassay_000597_20
TS23: Meckel's cartilage Weak Regionally restricted euxassay_000597_20

Specimen euxassay_000597_21: embryonic day 14.5 (more )
Structure Level Pattern Image Note
TS23: chondrocranium Moderate Regionally restricted euxassay_000597_21

Specimen euxassay_000597_22: embryonic day 14.5 (more )
Structure Level Pattern Image Note
TS23: chondrocranium Moderate Regionally restricted euxassay_000597_22

Specimen euxassay_000597_23: embryonic day 14.5 (more )
Structure Level Pattern Image Note
TS23: chondrocranium Moderate Regionally restricted euxassay_000597_23

Specimen euxassay_000597_24: embryonic day 14.5 (more )
Structure Level Pattern Image Note
TS23: chondrocranium Moderate Regionally restricted euxassay_000597_24


Contributing Projects:
Mouse Genome Database (MGD), Gene Expression Database (GXD), Mouse Models of Human Cancer database (MMHCdb) (formerly Mouse Tumor Biology (MTB)), Gene Ontology (GO)
Citing These Resources
Funding Information
Warranty Disclaimer, Privacy Notice, Licensing, & Copyright
Send questions and comments to User Support.
last database update
01/20/2026
MGI 6.24
The Jackson Laboratory