About   Help   FAQ
Gene Expression Data
Assay Details
Assay
Reference: J:153498 Diez-Roux G, et al., A high-resolution anatomical atlas of the transcriptome in the mouse embryo. PLoS Biol. 2011;9(1):e1000582
Assay type: RNA in situ
MGI Accession ID: MGI:4825480
Gene symbol: Hspb2
Gene name: heat shock protein 2
Probe: MGC clone 73576
Probe preparation: Antisense labelled with digoxigenin RNA
Visualized with: Alkaline phosphatase
Assay notes: Cryosections of fresh frozen material were fixed in 4% paraformaldehyde for 20 min. before further processing. A tyramide-biotin/streptavidin amplification step was included in the in situ hybridization procedure.
Results
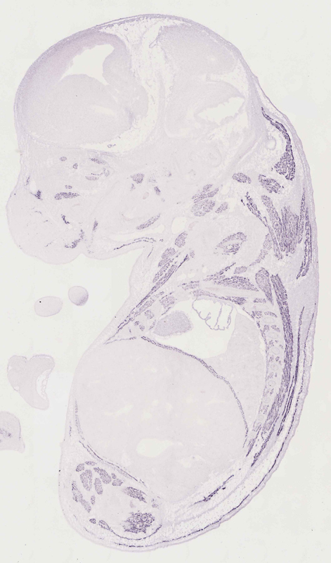
Specimen euxassay_006798_01: embryonic day 14.5 (more )
Structure Level Pattern Image Note
TS23: vertebral axis musculature Strong Regionally restricted euxassay_006798_01
TS23: diaphragm Strong Regionally restricted euxassay_006798_01
TS23: lower leg rest of mesenchyme Strong Regionally restricted euxassay_006798_01
TS23: forearm rest of mesenchyme Strong Regionally restricted euxassay_006798_01
TS23: upper arm muscle Strong Regionally restricted euxassay_006798_01
TS23: hand Moderate Regionally restricted euxassay_006798_01

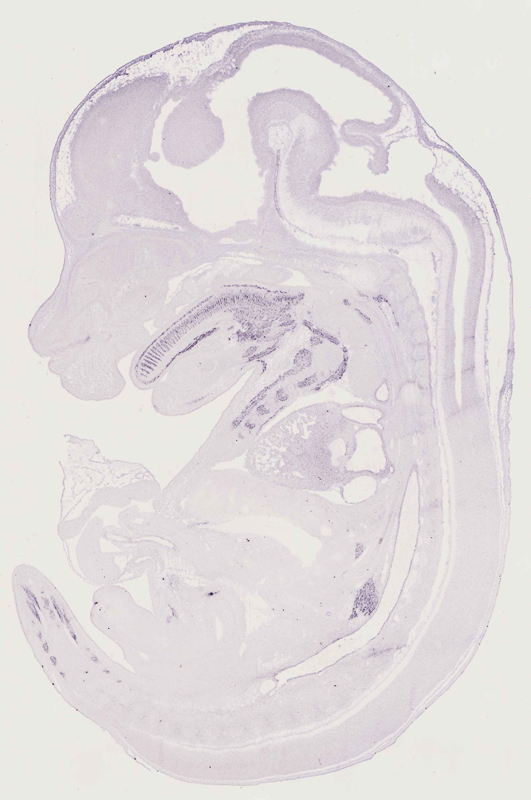
Specimen euxassay_006798_02: embryonic day 14.5 (more )
Structure Level Pattern Image Note
TS23: diaphragm Strong Regionally restricted euxassay_006798_02
TS23: vertebral axis musculature Strong Regionally restricted euxassay_006798_02
TS23: lower leg rest of mesenchyme Strong Regionally restricted euxassay_006798_02
TS23: upper leg muscle Strong Regionally restricted euxassay_006798_02
TS23: forearm rest of mesenchyme Strong Regionally restricted euxassay_006798_02
TS23: upper arm muscle Strong Regionally restricted euxassay_006798_02
TS23: hand Moderate Regionally restricted euxassay_006798_02

Specimen euxassay_006798_03: embryonic day 14.5 (more )
Structure Level Pattern Image Note
TS23: diaphragm Strong Regionally restricted euxassay_006798_03
TS23: vertebral axis musculature Strong Regionally restricted euxassay_006798_03
TS23: upper leg muscle Strong Regionally restricted euxassay_006798_03
TS23: lower leg rest of mesenchyme Strong Regionally restricted euxassay_006798_03
TS23: hand Moderate Regionally restricted euxassay_006798_03
TS23: upper arm muscle Strong Regionally restricted euxassay_006798_03
TS23: forearm rest of mesenchyme Strong Regionally restricted euxassay_006798_03

Specimen euxassay_006798_04: embryonic day 14.5 (more )
Structure Level Pattern Image Note
TS23: diaphragm Strong Regionally restricted euxassay_006798_04
TS23: vertebral axis musculature Strong Regionally restricted euxassay_006798_04
TS23: upper leg muscle Strong Regionally restricted euxassay_006798_04
TS23: lower leg rest of mesenchyme Strong Regionally restricted euxassay_006798_04
TS23: hand Moderate Regionally restricted euxassay_006798_04
TS23: upper arm muscle Strong Regionally restricted euxassay_006798_04
TS23: forearm rest of mesenchyme Strong Regionally restricted euxassay_006798_04

Specimen euxassay_006798_05: embryonic day 14.5 (more )
Structure Level Pattern Image Note
TS23: diaphragm Strong Regionally restricted euxassay_006798_05
TS23: vertebral axis musculature Strong Regionally restricted euxassay_006798_05
TS23: upper leg muscle Strong Regionally restricted euxassay_006798_05
TS23: lower leg rest of mesenchyme Strong Regionally restricted euxassay_006798_05
TS23: tarsus rest of mesenchyme Strong Regionally restricted euxassay_006798_05
TS23: upper arm muscle Strong Regionally restricted euxassay_006798_05
TS23: hand Strong Regionally restricted euxassay_006798_05

Specimen euxassay_006798_06: embryonic day 14.5 (more )
Structure Level Pattern Image Note
TS23: diaphragm Strong Regionally restricted euxassay_006798_06
TS23: vertebral axis musculature Strong Regionally restricted euxassay_006798_06
TS23: tarsus rest of mesenchyme Strong Regionally restricted euxassay_006798_06
TS23: upper leg muscle Strong Regionally restricted euxassay_006798_06
TS23: upper arm muscle Strong Regionally restricted euxassay_006798_06

Specimen euxassay_006798_07: embryonic day 14.5 (more )
Structure Level Pattern Image Note
TS23: diaphragm Strong Regionally restricted euxassay_006798_07
TS23: vertebral axis musculature Strong Regionally restricted euxassay_006798_07
TS23: upper leg muscle Strong Regionally restricted euxassay_006798_07
TS23: upper arm muscle Strong Regionally restricted euxassay_006798_07

Specimen euxassay_006798_08: embryonic day 14.5 (more )
Structure Level Pattern Image Note
TS23: diaphragm Strong Regionally restricted euxassay_006798_08
TS23: vertebral axis musculature Strong Regionally restricted euxassay_006798_08
TS23: tail paraxial mesenchyme Strong Regionally restricted euxassay_006798_08
TS23: upper leg muscle Strong Regionally restricted euxassay_006798_08

Specimen euxassay_006798_09: embryonic day 14.5 (more )
Structure Level Pattern Image Note
TS23: diaphragm Strong Regionally restricted euxassay_006798_09
TS23: vertebral axis musculature Strong Regionally restricted euxassay_006798_09
TS23: tail paraxial mesenchyme Strong Regionally restricted euxassay_006798_09
TS23: upper leg muscle Strong Regionally restricted euxassay_006798_09

Specimen euxassay_006798_10: embryonic day 14.5 (more )
Structure Level Pattern Image Note
TS23: diaphragm Strong Regionally restricted euxassay_006798_10
TS23: vertebral axis musculature Strong Regionally restricted euxassay_006798_10
TS23: tail paraxial mesenchyme Strong Regionally restricted euxassay_006798_10

Specimen euxassay_006798_11: embryonic day 14.5 (more )
Structure Level Pattern Image Note
TS23: diaphragm Strong Regionally restricted euxassay_006798_11
TS23: vertebral axis musculature Strong Regionally restricted euxassay_006798_11
TS23: tongue extrinsic muscle Strong Regionally restricted euxassay_006798_11
TS23: tail paraxial mesenchyme Strong Regionally restricted euxassay_006798_11

Specimen euxassay_006798_12: embryonic day 14.5 (more )
Structure Level Pattern Image Note
TS23: diaphragm Strong Regionally restricted euxassay_006798_12
TS23: vertebral axis musculature Strong Regionally restricted euxassay_006798_12
TS23: tongue muscle Strong Regionally restricted euxassay_006798_12
TS23: tail paraxial mesenchyme Strong Regionally restricted euxassay_006798_12

Specimen euxassay_006798_13: embryonic day 14.5 (more )
Structure Level Pattern Image Note
TS23: diaphragm Strong Regionally restricted euxassay_006798_13
TS23: vertebral axis musculature Strong Regionally restricted euxassay_006798_13
TS23: tongue muscle Strong Regionally restricted euxassay_006798_13
TS23: tail paraxial mesenchyme Strong Regionally restricted euxassay_006798_13

Specimen euxassay_006798_14: embryonic day 14.5 (more )
Structure Level Pattern Image Note
TS23: diaphragm Strong Regionally restricted euxassay_006798_14
TS23: vertebral axis musculature Strong Regionally restricted euxassay_006798_14
TS23: tongue muscle Strong Regionally restricted euxassay_006798_14
TS23: tail paraxial mesenchyme Strong Regionally restricted euxassay_006798_14

Specimen euxassay_006798_15: embryonic day 14.5 (more )
Structure Level Pattern Image Note
TS23: diaphragm Strong Regionally restricted euxassay_006798_15
TS23: vertebral axis musculature Strong Regionally restricted euxassay_006798_15
TS23: tongue muscle Strong Regionally restricted euxassay_006798_15
TS23: tail paraxial mesenchyme Strong Regionally restricted euxassay_006798_15

Specimen euxassay_006798_16: embryonic day 14.5 (more )
Structure Level Pattern Image Note
TS23: diaphragm Strong Regionally restricted euxassay_006798_16
TS23: vertebral axis musculature Strong Regionally restricted euxassay_006798_16
TS23: tongue muscle Strong Regionally restricted euxassay_006798_16
TS23: tail paraxial mesenchyme Strong Regionally restricted euxassay_006798_16

Specimen euxassay_006798_17: embryonic day 14.5 (more )
Structure Level Pattern Image Note
TS23: diaphragm Strong Regionally restricted euxassay_006798_17
TS23: vertebral axis musculature Strong Regionally restricted euxassay_006798_17
TS23: tongue muscle Strong Regionally restricted euxassay_006798_17
TS23: tail paraxial mesenchyme Strong Regionally restricted euxassay_006798_17

Specimen euxassay_006798_18: embryonic day 14.5 (more )
Structure Level Pattern Image Note
TS23: diaphragm Strong Regionally restricted euxassay_006798_18
TS23: vertebral axis musculature Strong Regionally restricted euxassay_006798_18
TS23: tongue muscle Strong Regionally restricted euxassay_006798_18
TS23: tail paraxial mesenchyme Strong Regionally restricted euxassay_006798_18

Specimen euxassay_006798_19: embryonic day 14.5 (more )
Structure Level Pattern Image Note
TS23: diaphragm Strong Regionally restricted euxassay_006798_19
TS23: vertebral axis musculature Strong Regionally restricted euxassay_006798_19
TS23: tongue muscle Strong Regionally restricted euxassay_006798_19
TS23: tarsus rest of mesenchyme Strong Regionally restricted euxassay_006798_19
TS23: upper leg muscle Strong Regionally restricted euxassay_006798_19

Specimen euxassay_006798_20: embryonic day 14.5 (more )
Structure Level Pattern Image Note
TS23: diaphragm Strong Regionally restricted euxassay_006798_20
TS23: vertebral axis musculature Strong Regionally restricted euxassay_006798_20
TS23: upper leg muscle Strong Regionally restricted euxassay_006798_20
TS23: tarsus rest of mesenchyme Strong Regionally restricted euxassay_006798_20

Specimen euxassay_006798_21: embryonic day 14.5 (more )
Structure Level Pattern Image Note
TS23: diaphragm Strong Regionally restricted euxassay_006798_21
TS23: vertebral axis musculature Strong Regionally restricted euxassay_006798_21
TS23: upper leg muscle Strong Regionally restricted euxassay_006798_21
TS23: tarsus rest of mesenchyme Strong Regionally restricted euxassay_006798_21

Specimen euxassay_006798_22: embryonic day 14.5 (more )
Structure Level Pattern Image Note
TS23: diaphragm Strong Regionally restricted euxassay_006798_22
TS23: vertebral axis musculature Strong Regionally restricted euxassay_006798_22
TS23: upper leg muscle Strong Regionally restricted euxassay_006798_22

Specimen euxassay_006798_23: embryonic day 14.5 (more )
Structure Level Pattern Image Note
TS23: diaphragm Strong Regionally restricted euxassay_006798_23
TS23: vertebral axis musculature Strong Regionally restricted euxassay_006798_23
TS23: upper leg muscle Strong Regionally restricted euxassay_006798_23
TS23: lower leg rest of mesenchyme Strong Regionally restricted euxassay_006798_23

Specimen euxassay_006798_24: embryonic day 14.5 (more )
Structure Level Pattern Image Note
TS23: diaphragm Strong Regionally restricted euxassay_006798_24
TS23: vertebral axis musculature Strong Regionally restricted euxassay_006798_24
TS23: upper leg muscle Strong Regionally restricted euxassay_006798_24
TS23: lower leg rest of mesenchyme Strong Regionally restricted euxassay_006798_24
TS23: upper arm muscle Strong Regionally restricted euxassay_006798_24


Contributing Projects:
Mouse Genome Database (MGD), Gene Expression Database (GXD), Mouse Models of Human Cancer database (MMHCdb) (formerly Mouse Tumor Biology (MTB)), Gene Ontology (GO)
Citing These Resources
Funding Information
Warranty Disclaimer, Privacy Notice, Licensing, & Copyright
Send questions and comments to User Support.
last database update
12/30/2025
MGI 6.24
The Jackson Laboratory