About   Help   FAQ
Gene Expression Data
Assay Details
Assay
Reference: J:153498 Diez-Roux G, et al., A high-resolution anatomical atlas of the transcriptome in the mouse embryo. PLoS Biol. 2011;9(1):e1000582
Assay type: RNA in situ
MGI Accession ID: MGI:4825388
Gene symbol: Hmga1
Gene name: high mobility group AT-hook 1
Probe: MGC clone 6198
Probe preparation: Antisense labelled with digoxigenin RNA
Visualized with: Alkaline phosphatase
Assay notes: Cryosections of fresh frozen material were fixed in 4% paraformaldehyde for 20 min. before further processing. A tyramide-biotin/streptavidin amplification step was included in the in situ hybridization procedure. The probe used in this assay may also recognize another gene (see Assay MGI:4825389).
Results
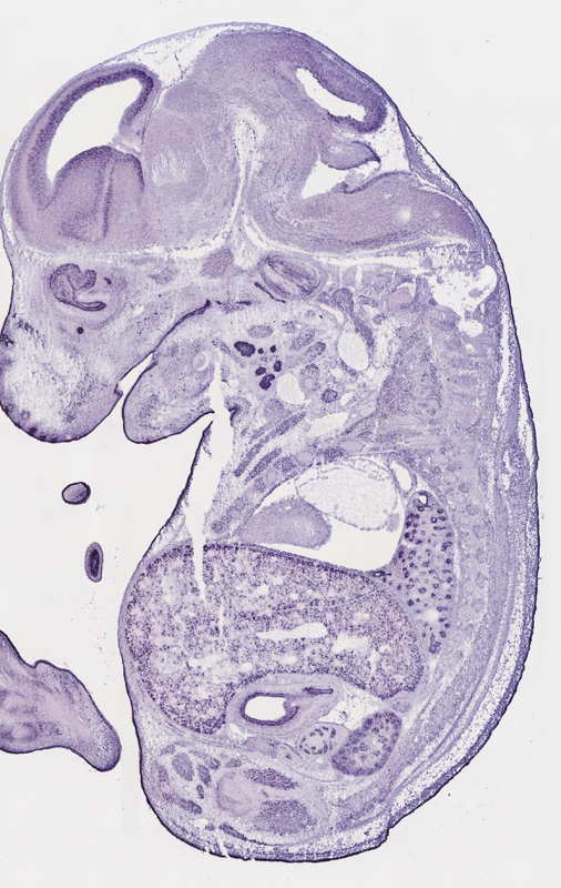
Specimen euxassay_003457_01: embryonic day 14.5 (more )
Structure Level Pattern Image Note
TS23: pharyngo-tympanic tube Strong Regionally restricted euxassay_003457_01
TS23: epidermis Strong Regionally restricted euxassay_003457_01
TS23: telencephalon ventricular layer Moderate Uniform euxassay_003457_01
TS23: vertebral axis musculature Weak Regionally restricted euxassay_003457_01
TS23: head mesenchyme Weak Regionally restricted euxassay_003457_01
TS23: liver lobe Weak Regionally restricted euxassay_003457_01
TS23: neural retina Strong Uniform euxassay_003457_01

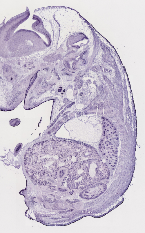
Specimen euxassay_003457_02: embryonic day 14.5 (more )
Structure Level Pattern Image Note
TS23: pharyngo-tympanic tube Strong Regionally restricted euxassay_003457_02
TS23: epidermis Strong Regionally restricted euxassay_003457_02
TS23: stomach Strong Regionally restricted euxassay_003457_02
TS23: telencephalon ventricular layer Moderate Uniform euxassay_003457_02
TS23: rest of cerebellum marginal layer Moderate Regionally restricted euxassay_003457_02
TS23: vertebral axis musculature Weak Regionally restricted euxassay_003457_02
TS23: head mesenchyme Weak Regionally restricted euxassay_003457_02
TS23: liver lobe Weak Regionally restricted euxassay_003457_02
TS23: neural retina Strong Uniform euxassay_003457_02

Specimen euxassay_003457_03: embryonic day 14.5 (more )
Structure Level Pattern Image Note
TS23: pharyngo-tympanic tube Strong Regionally restricted euxassay_003457_03
TS23: epidermis Strong Regionally restricted euxassay_003457_03
TS23: stomach Strong Regionally restricted euxassay_003457_03
TS23: vibrissa Moderate Regionally restricted euxassay_003457_03
TS23: left lung Strong Regionally restricted euxassay_003457_03
TS23: telencephalon ventricular layer Moderate Uniform euxassay_003457_03
TS23: rest of cerebellum ventricular layer Moderate Regionally restricted euxassay_003457_03
TS23: rest of cerebellum marginal layer Moderate Regionally restricted euxassay_003457_03
TS23: vertebral axis musculature Weak Regionally restricted euxassay_003457_03
TS23: head mesenchyme Weak Regionally restricted euxassay_003457_03
TS23: liver lobe Weak Regionally restricted euxassay_003457_03
TS23: neural retina Moderate Uniform euxassay_003457_03

Specimen euxassay_003457_04: embryonic day 14.5 (more )
Structure Level Pattern Image Note
TS23: pharyngo-tympanic tube Strong Regionally restricted euxassay_003457_04
TS23: epidermis Strong Regionally restricted euxassay_003457_04
TS23: stomach Strong Regionally restricted euxassay_003457_04
TS23: vibrissa Moderate Regionally restricted euxassay_003457_04
TS23: left lung Strong Regionally restricted euxassay_003457_04
TS23: telencephalon ventricular layer Moderate Uniform euxassay_003457_04
TS23: rest of cerebellum ventricular layer Moderate Regionally restricted euxassay_003457_04
TS23: rest of cerebellum marginal layer Moderate Regionally restricted euxassay_003457_04
TS23: vertebral axis musculature Weak Regionally restricted euxassay_003457_04
TS23: head mesenchyme Weak Regionally restricted euxassay_003457_04
TS23: liver lobe Weak Regionally restricted euxassay_003457_04

Specimen euxassay_003457_05: embryonic day 14.5 (more )
Structure Level Pattern Image Note
TS23: epidermis Strong Regionally restricted euxassay_003457_05
TS23: stomach Strong Regionally restricted euxassay_003457_05
TS23: vibrissa Strong Regionally restricted euxassay_003457_05
TS23: left lung Strong Regionally restricted euxassay_003457_05
TS23: telencephalon ventricular layer Weak Uniform euxassay_003457_05
TS23: rest of cerebellum ventricular layer Moderate Regionally restricted euxassay_003457_05
TS23: rest of cerebellum marginal layer Moderate Regionally restricted euxassay_003457_05
TS23: spleen primordium Moderate Regionally restricted euxassay_003457_05
TS23: vertebral axis musculature Weak Regionally restricted euxassay_003457_05
TS23: head mesenchyme Weak Regionally restricted euxassay_003457_05
TS23: liver lobe Weak Regionally restricted euxassay_003457_05

Specimen euxassay_003457_06: embryonic day 14.5 (more )
Structure Level Pattern Image Note
TS23: epidermis Strong Regionally restricted euxassay_003457_06
TS23: stomach Strong Regionally restricted euxassay_003457_06
TS23: vibrissa Strong Regionally restricted euxassay_003457_06
TS23: left lung Strong Regionally restricted euxassay_003457_06
TS23: submandibular gland primordium Strong Regionally restricted euxassay_003457_06
TS23: testis Strong Regionally restricted euxassay_003457_06
TS23: telencephalon ventricular layer Weak Uniform euxassay_003457_06
TS23: rest of cerebellum ventricular layer Moderate Regionally restricted euxassay_003457_06
TS23: rest of cerebellum marginal layer Moderate Regionally restricted euxassay_003457_06
TS23: vertebral axis musculature Weak Regionally restricted euxassay_003457_06
TS23: head mesenchyme Weak Regionally restricted euxassay_003457_06
TS23: liver lobe Weak Regionally restricted euxassay_003457_06

Specimen euxassay_003457_07: embryonic day 14.5 (more )
Structure Level Pattern Image Note
TS23: epidermis Strong Regionally restricted euxassay_003457_07
TS23: stomach Strong Regionally restricted euxassay_003457_07
TS23: vibrissa Strong Regionally restricted euxassay_003457_07
TS23: left lung Strong Regionally restricted euxassay_003457_07
TS23: submandibular gland primordium Strong Regionally restricted euxassay_003457_07
TS23: testis Strong Regionally restricted euxassay_003457_07
TS23: telencephalon ventricular layer Weak Uniform euxassay_003457_07
TS23: rest of cerebellum marginal layer Moderate Regionally restricted euxassay_003457_07
TS23: rest of cerebellum ventricular layer Moderate Regionally restricted euxassay_003457_07
TS23: renal cortex Moderate Regionally restricted euxassay_003457_07
TS23: maturing glomerular tuft Moderate Regionally restricted euxassay_003457_07
TS23: vertebral axis musculature Weak Regionally restricted euxassay_003457_07
TS23: liver lobe Weak Regionally restricted euxassay_003457_07

Specimen euxassay_003457_08: embryonic day 14.5 (more )
Note: Additional information for this specimen was included in the Eurexpress data submission file.
Structure Level Pattern Image Note
TS23: epidermis Strong Regionally restricted euxassay_003457_08
TS23: stomach Strong Regionally restricted euxassay_003457_08
TS23: vibrissa Strong Regionally restricted euxassay_003457_08
TS23: left lung Strong Regionally restricted euxassay_003457_08
TS23: submandibular gland primordium Strong Regionally restricted euxassay_003457_08
TS23: testis Strong Regionally restricted euxassay_003457_08
TS23: olfactory epithelium Strong Regionally restricted euxassay_003457_08
TS23: telencephalon ventricular layer Moderate Uniform euxassay_003457_08
TS23: rest of cerebellum ventricular layer Moderate Regionally restricted euxassay_003457_08
TS23: rest of cerebellum marginal layer Moderate Regionally restricted euxassay_003457_08
TS23: midbrain ventricular layer Moderate Regionally restricted euxassay_003457_08
TS23: inferior colliculus Present euxassay_003457_08
TS23: maturing glomerular tuft Moderate Regionally restricted euxassay_003457_08
TS23: renal cortex Moderate Regionally restricted euxassay_003457_08
TS23: vertebral axis musculature Weak Regionally restricted euxassay_003457_08
TS23: liver lobe Weak Regionally restricted euxassay_003457_08

Specimen euxassay_003457_09: embryonic day 14.5 (more )
Note: Additional information for this specimen was included in the Eurexpress data submission file.
Structure Level Pattern Image Note
TS23: epidermis Strong Regionally restricted euxassay_003457_09
TS23: stomach Strong Regionally restricted euxassay_003457_09
TS23: midgut Strong Regionally restricted euxassay_003457_09
TS23: vibrissa Strong Regionally restricted euxassay_003457_09
TS23: left lung Strong Regionally restricted euxassay_003457_09
TS23: submandibular gland primordium Strong Regionally restricted euxassay_003457_09
TS23: testis Strong Regionally restricted euxassay_003457_09
TS23: olfactory epithelium Moderate Regionally restricted euxassay_003457_09
TS23: telencephalon ventricular layer Moderate Uniform euxassay_003457_09
TS23: rest of cerebellum ventricular layer Moderate Regionally restricted euxassay_003457_09
TS23: rest of cerebellum marginal layer Moderate Regionally restricted euxassay_003457_09
TS23: midbrain ventricular layer Moderate Regionally restricted euxassay_003457_09
TS23: inferior colliculus Present euxassay_003457_09
TS23: maturing glomerular tuft Moderate Regionally restricted euxassay_003457_09
TS23: renal cortex Moderate Regionally restricted euxassay_003457_09
TS23: vertebral axis musculature Weak Regionally restricted euxassay_003457_09
TS23: liver lobe Weak Regionally restricted euxassay_003457_09

Specimen euxassay_003457_10: embryonic day 14.5 (more )
Note: Additional information for this specimen was included in the Eurexpress data submission file.
Structure Level Pattern Image Note
TS23: epidermis Strong Regionally restricted euxassay_003457_10
TS23: stomach Strong Regionally restricted euxassay_003457_10
TS23: midgut Strong Regionally restricted euxassay_003457_10
TS23: left lung Strong Regionally restricted euxassay_003457_10
TS23: submandibular gland primordium Strong Regionally restricted euxassay_003457_10
TS23: olfactory epithelium Strong Regionally restricted euxassay_003457_10
TS23: pancreas Strong Regionally restricted euxassay_003457_10
TS23: thyroid gland Strong Regionally restricted euxassay_003457_10
TS23: telencephalon ventricular layer Moderate Uniform euxassay_003457_10
TS23: olfactory cortex ventricular layer Moderate Uniform euxassay_003457_10
TS23: rest of cerebellum marginal layer Moderate Regionally restricted euxassay_003457_10
TS23: rest of cerebellum ventricular layer Moderate Regionally restricted euxassay_003457_10
TS23: midbrain ventricular layer Moderate Regionally restricted euxassay_003457_10
TS23: inferior colliculus Present euxassay_003457_10
TS23: maturing glomerular tuft Moderate Regionally restricted euxassay_003457_10
TS23: renal cortex Moderate Regionally restricted euxassay_003457_10
TS23: vertebral axis musculature Weak Regionally restricted euxassay_003457_10
TS23: lower jaw incisor Moderate Regionally restricted euxassay_003457_10
TS23: liver lobe Weak Regionally restricted euxassay_003457_10

Specimen euxassay_003457_11: embryonic day 14.5 (more )
Note: Additional information for this specimen was included in the Eurexpress data submission file.
Structure Level Pattern Image Note
TS23: epidermis Strong Regionally restricted euxassay_003457_11
TS23: stomach Strong Regionally restricted euxassay_003457_11
TS23: midgut Strong Regionally restricted euxassay_003457_11
TS23: left lung Strong Regionally restricted euxassay_003457_11
TS23: olfactory epithelium Strong Regionally restricted euxassay_003457_11
TS23: nasal cavity respiratory epithelium Strong Regionally restricted euxassay_003457_11
TS23: pancreas Strong Regionally restricted euxassay_003457_11
TS23: thyroid gland Strong Regionally restricted euxassay_003457_11
TS23: telencephalon ventricular layer Moderate Uniform euxassay_003457_11
TS23: rest of cerebellum marginal layer Moderate Regionally restricted euxassay_003457_11
TS23: rest of cerebellum ventricular layer Moderate Regionally restricted euxassay_003457_11
TS23: midbrain ventricular layer Moderate Regionally restricted euxassay_003457_11
TS23: inferior colliculus Present euxassay_003457_11
TS23: maturing glomerular tuft Moderate Regionally restricted euxassay_003457_11
TS23: renal cortex Moderate Regionally restricted euxassay_003457_11
TS23: vertebral axis musculature Weak Regionally restricted euxassay_003457_11
TS23: lower jaw incisor Moderate Regionally restricted euxassay_003457_11
TS23: upper jaw incisor Moderate Regionally restricted euxassay_003457_11
TS23: liver lobe Weak Regionally restricted euxassay_003457_11
TS23: pituitary gland Weak Regionally restricted euxassay_003457_11

Specimen euxassay_003457_12: embryonic day 14.5 (more )
Note: Additional information for this specimen was included in the Eurexpress data submission file.
Structure Level Pattern Image Note
TS23: epidermis Strong Regionally restricted euxassay_003457_12
TS23: midgut Strong Regionally restricted euxassay_003457_12
TS23: right lung Strong Regionally restricted euxassay_003457_12
TS23: nasal cavity respiratory epithelium Strong Regionally restricted euxassay_003457_12
TS23: olfactory epithelium Strong Regionally restricted euxassay_003457_12
TS23: pancreas Strong Regionally restricted euxassay_003457_12
TS23: thymus primordium Strong Uniform euxassay_003457_12
TS23: thyroid gland Strong Regionally restricted euxassay_003457_12
TS23: esophagus Moderate Regionally restricted euxassay_003457_12
TS23: thyroid cartilage Moderate Regionally restricted euxassay_003457_12
TS23: telencephalon ventricular layer Weak Uniform euxassay_003457_12
TS23: midbrain ventricular layer Moderate Regionally restricted euxassay_003457_12
TS23: inferior colliculus Present euxassay_003457_12
TS23: vertebral axis musculature Weak Regionally restricted euxassay_003457_12
TS23: upper jaw incisor Moderate Regionally restricted euxassay_003457_12
TS23: lower jaw incisor Moderate Regionally restricted euxassay_003457_12
TS23: liver lobe Weak Regionally restricted euxassay_003457_12
TS23: pituitary gland Moderate Regionally restricted euxassay_003457_12

Specimen euxassay_003457_13: embryonic day 14.5 (more )
Note: Additional information for this specimen was included in the Eurexpress data submission file.
Structure Level Pattern Image Note
TS23: epidermis Strong Regionally restricted euxassay_003457_13
TS23: midgut Strong Regionally restricted euxassay_003457_13
TS23: right lung Strong Regionally restricted euxassay_003457_13
TS23: nasal cavity respiratory epithelium Strong Regionally restricted euxassay_003457_13
TS23: pancreas Strong Regionally restricted euxassay_003457_13
TS23: thymus primordium Strong Uniform euxassay_003457_13
TS23: esophagus Moderate Regionally restricted euxassay_003457_13
TS23: thyroid cartilage Moderate Regionally restricted euxassay_003457_13
TS23: trachea Moderate Regionally restricted euxassay_003457_13
TS23: rest of cerebellum marginal layer Moderate Regionally restricted euxassay_003457_13
TS23: midbrain ventricular layer Moderate Regionally restricted euxassay_003457_13
TS23: inferior colliculus Present euxassay_003457_13
TS23: vertebral axis musculature Weak Regionally restricted euxassay_003457_13
TS23: liver lobe Weak Regionally restricted euxassay_003457_13
TS23: pituitary gland Moderate Regionally restricted euxassay_003457_13

Specimen euxassay_003457_14: embryonic day 14.5 (more )
Note: Additional information for this specimen was included in the Eurexpress data submission file.
Structure Level Pattern Image Note
TS23: epidermis Strong Regionally restricted euxassay_003457_14
TS23: midgut Strong Regionally restricted euxassay_003457_14
TS23: right lung Strong Regionally restricted euxassay_003457_14
TS23: olfactory epithelium Strong Regionally restricted euxassay_003457_14
TS23: thymus primordium Strong Uniform euxassay_003457_14
TS23: esophagus Moderate Regionally restricted euxassay_003457_14
TS23: thyroid cartilage Moderate Regionally restricted euxassay_003457_14
TS23: trachea Moderate Regionally restricted euxassay_003457_14
TS23: rest of cerebellum marginal layer Moderate Regionally restricted euxassay_003457_14
TS23: midbrain ventricular layer Moderate Regionally restricted euxassay_003457_14
TS23: inferior colliculus Present euxassay_003457_14
TS23: vertebral axis musculature Weak Regionally restricted euxassay_003457_14
TS23: liver lobe Weak Regionally restricted euxassay_003457_14
TS23: bladder Moderate Regionally restricted euxassay_003457_14
TS23: pituitary gland Moderate Regionally restricted euxassay_003457_14

Specimen euxassay_003457_15: embryonic day 14.5 (more )
Note: Additional information for this specimen was included in the Eurexpress data submission file.
Structure Level Pattern Image Note
TS23: epidermis Strong Regionally restricted euxassay_003457_15
TS23: midgut Strong Regionally restricted euxassay_003457_15
TS23: hindgut Strong Regionally restricted euxassay_003457_15
TS23: right lung Strong Regionally restricted euxassay_003457_15
TS23: olfactory epithelium Strong Regionally restricted euxassay_003457_15
TS23: nasal cavity respiratory epithelium Strong Regionally restricted euxassay_003457_15
TS23: thymus primordium Strong Uniform euxassay_003457_15
TS23: thyroid gland Strong Regionally restricted euxassay_003457_15
TS23: trachea Moderate Regionally restricted euxassay_003457_15
TS23: telencephalon ventricular layer Weak Uniform euxassay_003457_15
TS23: rest of cerebellum marginal layer Moderate Regionally restricted euxassay_003457_15
TS23: midbrain ventricular layer Moderate Regionally restricted euxassay_003457_15
TS23: inferior colliculus Present euxassay_003457_15
TS23: vertebral axis musculature Weak Regionally restricted euxassay_003457_15
TS23: lower jaw incisor Moderate Regionally restricted euxassay_003457_15
TS23: upper jaw incisor Moderate Regionally restricted euxassay_003457_15
TS23: liver lobe Weak Regionally restricted euxassay_003457_15
TS23: bladder Moderate Regionally restricted euxassay_003457_15
TS23: urethra Moderate Regionally restricted euxassay_003457_15 Originally this result was annotated to a male-specific term, but as the specimen was not sexed, it is likely the data annotator intended to use a non-sex specific term.
TS23: rectum Weak Regionally restricted euxassay_003457_15
TS23: pituitary gland Weak Regionally restricted euxassay_003457_15

Specimen euxassay_003457_16: embryonic day 14.5 (more )
Note: Additional information for this specimen was included in the Eurexpress data submission file.
Structure Level Pattern Image Note
TS23: epidermis Strong Regionally restricted euxassay_003457_16
TS23: midgut Strong Regionally restricted euxassay_003457_16
TS23: hindgut Strong Regionally restricted euxassay_003457_16
TS23: right lung Strong Regionally restricted euxassay_003457_16
TS23: submandibular gland primordium Strong Regionally restricted euxassay_003457_16
TS23: nasal cavity respiratory epithelium Strong Regionally restricted euxassay_003457_16
TS23: olfactory epithelium Strong Regionally restricted euxassay_003457_16
TS23: thymus primordium Strong Uniform euxassay_003457_16
TS23: thyroid gland Strong Regionally restricted euxassay_003457_16
TS23: telencephalon ventricular layer Weak Uniform euxassay_003457_16
TS23: rest of cerebellum marginal layer Moderate Regionally restricted euxassay_003457_16
TS23: rest of cerebellum ventricular layer Moderate Regionally restricted euxassay_003457_16
TS23: midbrain ventricular layer Weak Regionally restricted euxassay_003457_16
TS23: inferior colliculus Present euxassay_003457_16
TS23: vertebral axis musculature Weak Regionally restricted euxassay_003457_16
TS23: upper jaw incisor Moderate Regionally restricted euxassay_003457_16
TS23: lower jaw incisor Moderate Regionally restricted euxassay_003457_16
TS23: liver lobe Weak Regionally restricted euxassay_003457_16
TS23: bladder Moderate Regionally restricted euxassay_003457_16
TS23: urethra Moderate Regionally restricted euxassay_003457_16 Originally this result was annotated to a male-specific term, but as the specimen was not sexed, it is likely the data annotator intended to use a non-sex specific term.
TS23: rectum Weak Regionally restricted euxassay_003457_16

Specimen euxassay_003457_17: embryonic day 14.5 (more )
Structure Level Pattern Image Note
TS23: epidermis Strong Regionally restricted euxassay_003457_17
TS23: midgut Strong Regionally restricted euxassay_003457_17
TS23: hindgut Strong Regionally restricted euxassay_003457_17
TS23: right lung Strong Regionally restricted euxassay_003457_17
TS23: submandibular gland primordium Strong Regionally restricted euxassay_003457_17
TS23: olfactory epithelium Strong Regionally restricted euxassay_003457_17
TS23: pancreas Strong Regionally restricted euxassay_003457_17
TS23: telencephalon ventricular layer Weak Uniform euxassay_003457_17
TS23: rest of cerebellum ventricular layer Moderate Regionally restricted euxassay_003457_17
TS23: rest of cerebellum marginal layer Moderate Regionally restricted euxassay_003457_17
TS23: vertebral axis musculature Weak Regionally restricted euxassay_003457_17
TS23: lower jaw incisor Moderate Regionally restricted euxassay_003457_17
TS23: liver lobe Weak Regionally restricted euxassay_003457_17

Specimen euxassay_003457_18: embryonic day 14.5 (more )
Structure Level Pattern Image Note
TS23: epidermis Strong Regionally restricted euxassay_003457_18
TS23: midgut Strong Regionally restricted euxassay_003457_18
TS23: hindgut Strong Regionally restricted euxassay_003457_18
TS23: right lung Strong Regionally restricted euxassay_003457_18
TS23: submandibular gland primordium Strong Regionally restricted euxassay_003457_18
TS23: olfactory epithelium Strong Regionally restricted euxassay_003457_18
TS23: pancreas Moderate Regionally restricted euxassay_003457_18
TS23: telencephalon ventricular layer Moderate Uniform euxassay_003457_18
TS23: rest of cerebellum ventricular layer Moderate Regionally restricted euxassay_003457_18
TS23: rest of cerebellum marginal layer Moderate Regionally restricted euxassay_003457_18
TS23: maturing glomerular tuft Moderate Regionally restricted euxassay_003457_18
TS23: renal cortex Moderate Regionally restricted euxassay_003457_18
TS23: vertebral axis musculature Weak Regionally restricted euxassay_003457_18
TS23: liver lobe Weak Regionally restricted euxassay_003457_18

Specimen euxassay_003457_19: embryonic day 14.5 (more )
Structure Level Pattern Image Note
TS23: epidermis Strong Regionally restricted euxassay_003457_19
TS23: midgut Strong Regionally restricted euxassay_003457_19
TS23: vibrissa Strong Regionally restricted euxassay_003457_19
TS23: right lung Strong Regionally restricted euxassay_003457_19
TS23: submandibular gland primordium Strong Regionally restricted euxassay_003457_19
TS23: olfactory epithelium Strong Regionally restricted euxassay_003457_19
TS23: pancreas Moderate Regionally restricted euxassay_003457_19
TS23: telencephalon ventricular layer Moderate Uniform euxassay_003457_19
TS23: rest of cerebellum ventricular layer Moderate Regionally restricted euxassay_003457_19
TS23: rest of cerebellum marginal layer Moderate Regionally restricted euxassay_003457_19
TS23: maturing glomerular tuft Moderate Regionally restricted euxassay_003457_19
TS23: renal cortex Moderate Regionally restricted euxassay_003457_19
TS23: vertebral axis musculature Weak Regionally restricted euxassay_003457_19
TS23: liver lobe Weak Regionally restricted euxassay_003457_19

Specimen euxassay_003457_20: embryonic day 14.5 (more )
Structure Level Pattern Image Note
TS23: epidermis Strong Regionally restricted euxassay_003457_20
TS23: midgut Strong Regionally restricted euxassay_003457_20
TS23: right lung Strong Regionally restricted euxassay_003457_20
TS23: submandibular gland primordium Strong Regionally restricted euxassay_003457_20
TS23: pancreas Moderate Regionally restricted euxassay_003457_20
TS23: telencephalon ventricular layer Moderate Uniform euxassay_003457_20
TS23: rest of cerebellum ventricular layer Moderate Regionally restricted euxassay_003457_20
TS23: rest of cerebellum marginal layer Moderate Regionally restricted euxassay_003457_20
TS23: maturing glomerular tuft Moderate Regionally restricted euxassay_003457_20
TS23: renal cortex Moderate Regionally restricted euxassay_003457_20
TS23: vertebral axis musculature Weak Regionally restricted euxassay_003457_20
TS23: liver lobe Weak Regionally restricted euxassay_003457_20

Specimen euxassay_003457_21: embryonic day 14.5 (more )
Structure Level Pattern Image Note
TS23: epidermis Strong Regionally restricted euxassay_003457_21
TS23: vibrissa Strong Regionally restricted euxassay_003457_21
TS23: right lung Strong Regionally restricted euxassay_003457_21
TS23: testis Moderate Regionally restricted euxassay_003457_21
TS23: telencephalon ventricular layer Weak Uniform euxassay_003457_21
TS23: rest of cerebellum ventricular layer Moderate Regionally restricted euxassay_003457_21
TS23: rest of cerebellum marginal layer Moderate Regionally restricted euxassay_003457_21
TS23: maturing glomerular tuft Moderate Regionally restricted euxassay_003457_21
TS23: renal cortex Moderate Regionally restricted euxassay_003457_21
TS23: vertebral axis musculature Weak Regionally restricted euxassay_003457_21
TS23: liver lobe Weak Regionally restricted euxassay_003457_21

Specimen euxassay_003457_22: embryonic day 14.5 (more )
Structure Level Pattern Image Note
TS23: epidermis Strong Regionally restricted euxassay_003457_22
TS23: vibrissa Moderate Regionally restricted euxassay_003457_22
TS23: right lung Strong Regionally restricted euxassay_003457_22
TS23: testis Moderate Regionally restricted euxassay_003457_22
TS23: telencephalon ventricular layer Weak Uniform euxassay_003457_22
TS23: maturing glomerular tuft Weak Regionally restricted euxassay_003457_22
TS23: renal cortex Weak Regionally restricted euxassay_003457_22
TS23: vertebral axis musculature Weak Regionally restricted euxassay_003457_22
TS23: head mesenchyme Weak Regionally restricted euxassay_003457_22
TS23: liver lobe Weak Regionally restricted euxassay_003457_22
TS23: neural retina Moderate Uniform euxassay_003457_22

Specimen euxassay_003457_23: embryonic day 14.5 (more )
Structure Level Pattern Image Note
TS23: pharyngo-tympanic tube Strong Regionally restricted euxassay_003457_23
TS23: epidermis Strong Regionally restricted euxassay_003457_23
TS23: vibrissa Moderate Regionally restricted euxassay_003457_23
TS23: right lung Strong Regionally restricted euxassay_003457_23
TS23: testis Moderate Regionally restricted euxassay_003457_23
TS23: spleen primordium Moderate Regionally restricted euxassay_003457_23
TS23: vertebral axis musculature Weak Regionally restricted euxassay_003457_23
TS23: head mesenchyme Weak Regionally restricted euxassay_003457_23
TS23: liver lobe Weak Regionally restricted euxassay_003457_23
TS23: neural retina Moderate Uniform euxassay_003457_23

Specimen euxassay_003457_24: embryonic day 14.5 (more )
Structure Level Pattern Image Note
TS23: pharyngo-tympanic tube Strong Regionally restricted euxassay_003457_24
TS23: epidermis Strong Regionally restricted euxassay_003457_24
TS23: vibrissa Strong Regionally restricted euxassay_003457_24
TS23: right lung Strong Regionally restricted euxassay_003457_24
TS23: testis Moderate Regionally restricted euxassay_003457_24
TS23: spleen primordium Moderate Regionally restricted euxassay_003457_24
TS23: vertebral axis musculature Weak Regionally restricted euxassay_003457_24
TS23: head mesenchyme Weak Regionally restricted euxassay_003457_24
TS23: liver lobe Weak Regionally restricted euxassay_003457_24
TS23: neural retina Moderate Uniform euxassay_003457_24


Contributing Projects:
Mouse Genome Database (MGD), Gene Expression Database (GXD), Mouse Models of Human Cancer database (MMHCdb) (formerly Mouse Tumor Biology (MTB)), Gene Ontology (GO)
Citing These Resources
Funding Information
Warranty Disclaimer, Privacy Notice, Licensing, & Copyright
Send questions and comments to User Support.
last database update
12/30/2025
MGI 6.24
The Jackson Laboratory