About   Help   FAQ
Gene Expression Data
Assay Details
Assay
Reference: J:153498 Diez-Roux G, et al., A high-resolution anatomical atlas of the transcriptome in the mouse embryo. PLoS Biol. 2011;9(1):e1000582
Assay type: RNA in situ
MGI Accession ID: MGI:4825371
Gene symbol: Hhip
Gene name: Hedgehog-interacting protein
Probe: MGC clone 62205
Probe preparation: Antisense labelled with digoxigenin RNA
Visualized with: Alkaline phosphatase
Assay notes: Cryosections of fresh frozen material were fixed in 4% paraformaldehyde for 20 min. before further processing. A tyramide-biotin/streptavidin amplification step was included in the in situ hybridization procedure.
Results
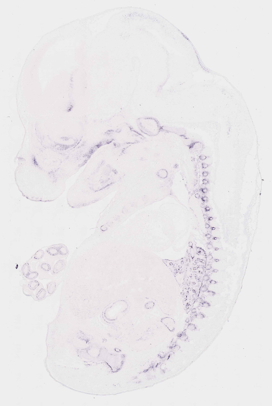
Specimen euxassay_004722_01: embryonic day 14.5 (more )
Structure Level Pattern Image Note
TS23: rib Strong Regionally restricted euxassay_004722_01
TS23: cranium Strong Regionally restricted euxassay_004722_01
TS23: hand Strong Regionally restricted euxassay_004722_01
TS23: foot Strong Regionally restricted euxassay_004722_01
TS23: femur Strong Regionally restricted euxassay_004722_01
TS23: scapula Strong Regionally restricted euxassay_004722_01
TS23: stomach Moderate Regionally restricted euxassay_004722_01
TS23: mandible Moderate Regionally restricted euxassay_004722_01
TS23: maxilla Moderate Regionally restricted euxassay_004722_01

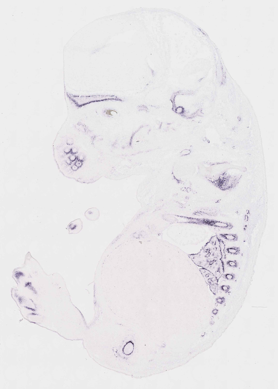
Specimen euxassay_004722_02: embryonic day 14.5 (more )
Structure Level Pattern Image Note
TS23: rib Strong Regionally restricted euxassay_004722_02
TS23: cranium Strong Regionally restricted euxassay_004722_02
TS23: lung Strong Regionally restricted euxassay_004722_02
TS23: fibula Strong Regionally restricted euxassay_004722_02
TS23: tibia Strong Regionally restricted euxassay_004722_02
TS23: femur Strong Regionally restricted euxassay_004722_02
TS23: scapula Strong Regionally restricted euxassay_004722_02
TS23: stomach Moderate Regionally restricted euxassay_004722_02
TS23: maxilla Moderate Regionally restricted euxassay_004722_02
TS23: mandible Moderate Regionally restricted euxassay_004722_02

Specimen euxassay_004722_03: embryonic day 14.5 (more )
Structure Level Pattern Image Note
TS23: rib Strong Regionally restricted euxassay_004722_03
TS23: cranium Strong Regionally restricted euxassay_004722_03
TS23: lung Strong Regionally restricted euxassay_004722_03
TS23: femur Strong Regionally restricted euxassay_004722_03
TS23: foot Strong Regionally restricted euxassay_004722_03
TS23: scapula Moderate Regionally restricted euxassay_004722_03
TS23: otic capsule Strong Regionally restricted euxassay_004722_03
TS23: stomach Moderate Regionally restricted euxassay_004722_03
TS23: maxilla Moderate Regionally restricted euxassay_004722_03
TS23: mandible Moderate Regionally restricted euxassay_004722_03

Specimen euxassay_004722_04: embryonic day 14.5 (more )
Structure Level Pattern Image Note
TS23: rib Strong Regionally restricted euxassay_004722_04
TS23: cranium Strong Regionally restricted euxassay_004722_04
TS23: lung Strong Regionally restricted euxassay_004722_04
TS23: foot Strong Regionally restricted euxassay_004722_04
TS23: femur Strong Regionally restricted euxassay_004722_04
TS23: otic capsule Moderate Regionally restricted euxassay_004722_04
TS23: stomach Moderate Regionally restricted euxassay_004722_04
TS23: maxilla Moderate Regionally restricted euxassay_004722_04
TS23: mandible Moderate Regionally restricted euxassay_004722_04

Specimen euxassay_004722_05: embryonic day 14.5 (more )
Structure Level Pattern Image Note
TS23: rib Strong Regionally restricted euxassay_004722_05
TS23: axial skeleton Strong Regionally restricted euxassay_004722_05
TS23: cranium Strong Regionally restricted euxassay_004722_05
TS23: lung Strong Regionally restricted euxassay_004722_05
TS23: foot Strong Regionally restricted euxassay_004722_05
TS23: vibrissa Strong Regionally restricted euxassay_004722_05
TS23: stomach Moderate Regionally restricted euxassay_004722_05
TS23: mandible Moderate Regionally restricted euxassay_004722_05
TS23: maxilla Moderate Regionally restricted euxassay_004722_05

Specimen euxassay_004722_06: embryonic day 14.5 (more )
Structure Level Pattern Image Note
TS23: rib Strong Regionally restricted euxassay_004722_06
TS23: axial skeleton Strong Regionally restricted euxassay_004722_06
TS23: lung Strong Regionally restricted euxassay_004722_06
TS23: vibrissa Strong Regionally restricted euxassay_004722_06
TS23: stomach Moderate Regionally restricted euxassay_004722_06
TS23: midgut Moderate Regionally restricted euxassay_004722_06
TS23: maxilla Moderate Regionally restricted euxassay_004722_06
TS23: mandible Moderate Regionally restricted euxassay_004722_06

Specimen euxassay_004722_07: embryonic day 14.5 (more )
Structure Level Pattern Image Note
TS23: rib Strong Regionally restricted euxassay_004722_07
TS23: axial skeleton Strong Regionally restricted euxassay_004722_07
TS23: lung Strong Regionally restricted euxassay_004722_07
TS23: pelvic girdle skeleton Moderate Regionally restricted euxassay_004722_07
TS23: clavicle Moderate Regionally restricted euxassay_004722_07
TS23: vibrissa Strong Regionally restricted euxassay_004722_07
TS23: otic capsule Moderate Regionally restricted euxassay_004722_07
TS23: midgut Moderate Regionally restricted euxassay_004722_07
TS23: mandible Moderate Regionally restricted euxassay_004722_07
TS23: maxilla Moderate Regionally restricted euxassay_004722_07
TS23: olfactory epithelium Moderate Regionally restricted euxassay_004722_07

Specimen euxassay_004722_08: embryonic day 14.5 (more )
Structure Level Pattern Image Note
TS23: axial skeleton Strong Regionally restricted euxassay_004722_08
TS23: lung Strong Regionally restricted euxassay_004722_08
TS23: pelvic girdle skeleton Moderate Regionally restricted euxassay_004722_08
TS23: clavicle Moderate Regionally restricted euxassay_004722_08
TS23: otic capsule Moderate Regionally restricted euxassay_004722_08
TS23: midgut Moderate Regionally restricted euxassay_004722_08
TS23: maxilla Moderate Regionally restricted euxassay_004722_08
TS23: palatal shelf Moderate Regionally restricted euxassay_004722_08
TS23: mandible Moderate Regionally restricted euxassay_004722_08
TS23: olfactory epithelium Moderate Regionally restricted euxassay_004722_08

Specimen euxassay_004722_09: embryonic day 14.5 (more )
Structure Level Pattern Image Note
TS23: axial skeleton Strong Regionally restricted euxassay_004722_09
TS23: lung Strong Regionally restricted euxassay_004722_09
TS23: midgut Moderate Regionally restricted euxassay_004722_09
TS23: maxilla Moderate Regionally restricted euxassay_004722_09
TS23: palatal shelf Moderate Regionally restricted euxassay_004722_09
TS23: mandible Moderate Regionally restricted euxassay_004722_09

Specimen euxassay_004722_10: embryonic day 14.5 (more )
Structure Level Pattern Image Note
TS23: axial skeleton Strong Regionally restricted euxassay_004722_10
TS23: lung Strong Regionally restricted euxassay_004722_10
TS23: midgut Moderate Regionally restricted euxassay_004722_10
TS23: pharynx Strong Regionally restricted euxassay_004722_10
TS23: maxilla Moderate Regionally restricted euxassay_004722_10
TS23: palatal shelf Moderate Regionally restricted euxassay_004722_10
TS23: mandible Moderate Regionally restricted euxassay_004722_10

Specimen euxassay_004722_11: embryonic day 14.5 (more )
Structure Level Pattern Image Note
TS23: axial skeleton Strong Regionally restricted euxassay_004722_11
TS23: lung Moderate Regionally restricted euxassay_004722_11
TS23: midgut Moderate Regionally restricted euxassay_004722_11
TS23: trachea Moderate Regionally restricted euxassay_004722_11
TS23: pharynx Moderate Regionally restricted euxassay_004722_11
TS23: mandible Moderate Regionally restricted euxassay_004722_11
TS23: palatal shelf Moderate Regionally restricted euxassay_004722_11
TS23: nasal cavity respiratory epithelium Moderate Regionally restricted euxassay_004722_11
TS23: bladder Moderate Regionally restricted euxassay_004722_11

Specimen euxassay_004722_12: embryonic day 14.5 (more )
Structure Level Pattern Image Note
TS23: axial skeleton Strong Regionally restricted euxassay_004722_12
TS23: lung Moderate Regionally restricted euxassay_004722_12
TS23: trachea Moderate Regionally restricted euxassay_004722_12
TS23: pharynx Moderate Regionally restricted euxassay_004722_12
TS23: mandible Moderate Regionally restricted euxassay_004722_12
TS23: palatal shelf Moderate Regionally restricted euxassay_004722_12
TS23: bladder Moderate Regionally restricted euxassay_004722_12

Specimen euxassay_004722_13: embryonic day 14.5 (more )
Structure Level Pattern Image Note
TS23: axial skeleton Strong Regionally restricted euxassay_004722_13
TS23: lung Strong Regionally restricted euxassay_004722_13
TS23: midgut Moderate Regionally restricted euxassay_004722_13
TS23: pharynx Strong Regionally restricted euxassay_004722_13
TS23: maxilla Strong Regionally restricted euxassay_004722_13
TS23: palatal shelf Strong Regionally restricted euxassay_004722_13
TS23: mandible Strong Regionally restricted euxassay_004722_13
TS23: bladder Moderate Regionally restricted euxassay_004722_13

Specimen euxassay_004722_14: embryonic day 14.5 (more )
Structure Level Pattern Image Note
TS23: rib Strong Regionally restricted euxassay_004722_14
TS23: axial skeleton Strong Regionally restricted euxassay_004722_14
TS23: lung Strong Regionally restricted euxassay_004722_14
TS23: clavicle Moderate Regionally restricted euxassay_004722_14
TS23: midgut Moderate Regionally restricted euxassay_004722_14
TS23: maxilla Strong Regionally restricted euxassay_004722_14
TS23: palatal shelf Strong Regionally restricted euxassay_004722_14
TS23: mandible Strong Regionally restricted euxassay_004722_14
TS23: bladder Moderate Regionally restricted euxassay_004722_14

Specimen euxassay_004722_15: embryonic day 14.5 (more )
Structure Level Pattern Image Note
TS23: rib Strong Regionally restricted euxassay_004722_15
TS23: axial skeleton Strong Regionally restricted euxassay_004722_15
TS23: lung Strong Regionally restricted euxassay_004722_15
TS23: pelvic girdle skeleton Strong Regionally restricted euxassay_004722_15
TS23: clavicle Strong Regionally restricted euxassay_004722_15
TS23: otic capsule Moderate Regionally restricted euxassay_004722_15
TS23: midgut Moderate Regionally restricted euxassay_004722_15
TS23: maxilla Strong Regionally restricted euxassay_004722_15
TS23: palatal shelf Strong Regionally restricted euxassay_004722_15
TS23: mandible Strong Regionally restricted euxassay_004722_15

Specimen euxassay_004722_16: embryonic day 14.5 (more )
Structure Level Pattern Image Note
TS23: rib Strong Regionally restricted euxassay_004722_16
TS23: axial skeleton Strong Regionally restricted euxassay_004722_16
TS23: lung Strong Regionally restricted euxassay_004722_16
TS23: pelvic girdle skeleton Strong Regionally restricted euxassay_004722_16
TS23: clavicle Strong Regionally restricted euxassay_004722_16
TS23: otic capsule Moderate Regionally restricted euxassay_004722_16
TS23: midgut Moderate Regionally restricted euxassay_004722_16
TS23: mandible Strong Regionally restricted euxassay_004722_16
TS23: maxilla Strong Regionally restricted euxassay_004722_16
TS23: palatal shelf Strong Regionally restricted euxassay_004722_16
TS23: olfactory epithelium Strong Regionally restricted euxassay_004722_16

Specimen euxassay_004722_17: embryonic day 14.5 (more )
Structure Level Pattern Image Note
TS23: rib Strong Regionally restricted euxassay_004722_17
TS23: lung Strong Regionally restricted euxassay_004722_17
TS23: midgut Moderate Regionally restricted euxassay_004722_17
TS23: maxilla Strong Regionally restricted euxassay_004722_17
TS23: mandible Strong Regionally restricted euxassay_004722_17
TS23: palatal shelf Strong Regionally restricted euxassay_004722_17
TS23: olfactory epithelium Strong Regionally restricted euxassay_004722_17

Specimen euxassay_004722_18: embryonic day 14.5 (more )
Structure Level Pattern Image Note
TS23: rib Strong Regionally restricted euxassay_004722_18
TS23: cranium Strong Regionally restricted euxassay_004722_18
TS23: lung Strong Regionally restricted euxassay_004722_18
TS23: vibrissa Strong Regionally restricted euxassay_004722_18
TS23: maxilla Strong Regionally restricted euxassay_004722_18
TS23: mandible Strong Regionally restricted euxassay_004722_18

Specimen euxassay_004722_19: embryonic day 14.5 (more )
Structure Level Pattern Image Note
TS23: rib Strong Regionally restricted euxassay_004722_19
TS23: cranium Strong Regionally restricted euxassay_004722_19
TS23: lung Strong Regionally restricted euxassay_004722_19
TS23: foot Strong Regionally restricted euxassay_004722_19
TS23: vibrissa Strong Regionally restricted euxassay_004722_19
TS23: maxilla Strong Regionally restricted euxassay_004722_19
TS23: mandible Strong Regionally restricted euxassay_004722_19

Specimen euxassay_004722_20: embryonic day 14.5 (more )
Structure Level Pattern Image Note
TS23: rib Strong Regionally restricted euxassay_004722_20
TS23: cranium Strong Regionally restricted euxassay_004722_20
TS23: lung Strong Regionally restricted euxassay_004722_20
TS23: foot Strong Regionally restricted euxassay_004722_20
TS23: hand Strong Regionally restricted euxassay_004722_20
TS23: femur Strong Regionally restricted euxassay_004722_20
TS23: vibrissa Strong Regionally restricted euxassay_004722_20
TS23: mandible Strong Regionally restricted euxassay_004722_20
TS23: maxilla Strong Regionally restricted euxassay_004722_20

Specimen euxassay_004722_21: embryonic day 14.5 (more )
Structure Level Pattern Image Note
TS23: rib Strong Regionally restricted euxassay_004722_21
TS23: cranium Strong Regionally restricted euxassay_004722_21
TS23: lung Strong Regionally restricted euxassay_004722_21
TS23: hand Strong Regionally restricted euxassay_004722_21
TS23: foot Strong Regionally restricted euxassay_004722_21
TS23: femur Strong Regionally restricted euxassay_004722_21
TS23: maxilla Strong Regionally restricted euxassay_004722_21
TS23: mandible Strong Regionally restricted euxassay_004722_21

Specimen euxassay_004722_22: embryonic day 14.5 (more )
Structure Level Pattern Image Note
TS23: rib Strong Regionally restricted euxassay_004722_22
TS23: cranium Strong Regionally restricted euxassay_004722_22
TS23: lung Strong Regionally restricted euxassay_004722_22
TS23: hand Strong Regionally restricted euxassay_004722_22
TS23: foot Strong Regionally restricted euxassay_004722_22
TS23: maxilla Strong Regionally restricted euxassay_004722_22
TS23: mandible Strong Regionally restricted euxassay_004722_22

Specimen euxassay_004722_23: embryonic day 14.5 (more )
Structure Level Pattern Image Note
TS23: rib Strong Regionally restricted euxassay_004722_23
TS23: cranium Strong Regionally restricted euxassay_004722_23
TS23: hand Strong Regionally restricted euxassay_004722_23
TS23: fibula Strong Regionally restricted euxassay_004722_23
TS23: tibia Strong Regionally restricted euxassay_004722_23
TS23: maxilla Moderate Regionally restricted euxassay_004722_23


Contributing Projects:
Mouse Genome Database (MGD), Gene Expression Database (GXD), Mouse Models of Human Cancer database (MMHCdb) (formerly Mouse Tumor Biology (MTB)), Gene Ontology (GO)
Citing These Resources
Funding Information
Warranty Disclaimer, Privacy Notice, Licensing, & Copyright
Send questions and comments to User Support.
last database update
03/24/2026
MGI 6.24
The Jackson Laboratory