About   Help   FAQ
Gene Expression Data
Assay Details
Assay
Reference: J:153498 Diez-Roux G, et al., A high-resolution anatomical atlas of the transcriptome in the mouse embryo. PLoS Biol. 2011;9(1):e1000582
Assay type: RNA in situ
MGI Accession ID: MGI:4825347
Gene symbol: Hdgfl1
Gene name: HDGF like 1
Probe: T36929
Probe preparation: Antisense labelled with digoxigenin RNA
Visualized with: Alkaline phosphatase
Assay notes: Cryosections of fresh frozen material were fixed in 4% paraformaldehyde for 20 min. before further processing. A tyramide-biotin/streptavidin amplification step was included in the in situ hybridization procedure.
Results
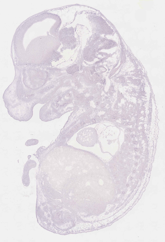
Specimen euxassay_009706_01: embryonic day 14.5 (more )
Structure Level Pattern Image Note
TS23: brain Moderate Regionally restricted euxassay_009706_01

Specimen euxassay_009706_02: embryonic day 14.5 (more )
Structure Level Pattern Image Note
TS23: brain Weak Regionally restricted euxassay_009706_02
TS23: trigeminal ganglion Weak Regionally restricted euxassay_009706_02

Specimen euxassay_009706_03: embryonic day 14.5 (more )
Structure Level Pattern Image Note
TS23: brain Weak Regionally restricted euxassay_009706_03
TS23: trigeminal ganglion Weak Regionally restricted euxassay_009706_03

Specimen euxassay_009706_04: embryonic day 14.5 (more )
Structure Level Pattern Image Note
TS23: brain Moderate Regionally restricted euxassay_009706_04
TS23: trigeminal ganglion Moderate Regionally restricted euxassay_009706_04
TS23: glossopharyngeal ganglion Moderate Regionally restricted euxassay_009706_04
TS23: dorsal root ganglion Moderate Regionally restricted euxassay_009706_04

Specimen euxassay_009706_05: embryonic day 14.5 (more )
Structure Level Pattern Image Note
TS23: brain Moderate Regionally restricted euxassay_009706_05
TS23: spinal cord Moderate Regionally restricted euxassay_009706_05
TS23: trigeminal ganglion Moderate Regionally restricted euxassay_009706_05
TS23: vagus ganglion Moderate Regionally restricted euxassay_009706_05
TS23: dorsal root ganglion Moderate Regionally restricted euxassay_009706_05

Specimen euxassay_009706_06: embryonic day 14.5 (more )
Structure Level Pattern Image Note
TS23: brain Moderate Regionally restricted euxassay_009706_06
TS23: spinal cord Moderate Regionally restricted euxassay_009706_06
TS23: trigeminal ganglion Moderate Regionally restricted euxassay_009706_06
TS23: dorsal root ganglion Moderate Regionally restricted euxassay_009706_06

Specimen euxassay_009706_07: embryonic day 14.5 (more )
Structure Level Pattern Image Note
TS23: brain Moderate Regionally restricted euxassay_009706_07
TS23: spinal cord Moderate Regionally restricted euxassay_009706_07
TS23: trigeminal ganglion Weak Regionally restricted euxassay_009706_07
TS23: dorsal root ganglion Moderate Regionally restricted euxassay_009706_07

Specimen euxassay_009706_08: embryonic day 14.5 (more )
Structure Level Pattern Image Note
TS23: brain Moderate Regionally restricted euxassay_009706_08
TS23: spinal cord Moderate Regionally restricted euxassay_009706_08

Specimen euxassay_009706_09: embryonic day 14.5 (more )
Structure Level Pattern Image Note
TS23: brain Moderate Regionally restricted euxassay_009706_09
TS23: spinal cord Moderate Regionally restricted euxassay_009706_09

Specimen euxassay_009706_10: embryonic day 14.5 (more )
Structure Level Pattern Image Note
TS23: brain Moderate Regionally restricted euxassay_009706_10
TS23: spinal cord Moderate Regionally restricted euxassay_009706_10
TS23: dorsal root ganglion Moderate Regionally restricted euxassay_009706_10

Specimen euxassay_009706_11: embryonic day 14.5 (more )
Structure Level Pattern Image Note
TS23: brain Moderate Regionally restricted euxassay_009706_11
TS23: spinal cord Moderate Regionally restricted euxassay_009706_11
TS23: dorsal root ganglion Moderate Regionally restricted euxassay_009706_11

Specimen euxassay_009706_12: embryonic day 14.5 (more )
Structure Level Pattern Image Note
TS23: brain Moderate Regionally restricted euxassay_009706_12
TS23: spinal cord Moderate Regionally restricted euxassay_009706_12
TS23: dorsal root ganglion Moderate Regionally restricted euxassay_009706_12

Specimen euxassay_009706_13: embryonic day 14.5 (more )
Structure Level Pattern Image Note
TS23: brain Moderate Regionally restricted euxassay_009706_13
TS23: spinal cord Moderate Regionally restricted euxassay_009706_13
TS23: dorsal root ganglion Moderate Regionally restricted euxassay_009706_13

Specimen euxassay_009706_14: embryonic day 14.5 (more )
Structure Level Pattern Image Note
TS23: brain Moderate Regionally restricted euxassay_009706_14
TS23: dorsal root ganglion Moderate Regionally restricted euxassay_009706_14

Specimen euxassay_009706_15: embryonic day 14.5 (more )
Structure Level Pattern Image Note
TS23: brain Moderate Regionally restricted euxassay_009706_15
TS23: vagus ganglion Weak Regionally restricted euxassay_009706_15
TS23: trigeminal ganglion Weak Regionally restricted euxassay_009706_15
TS23: dorsal root ganglion Moderate Regionally restricted euxassay_009706_15

Specimen euxassay_009706_16: embryonic day 14.5 (more )
Structure Level Pattern Image Note
TS23: brain Moderate Regionally restricted euxassay_009706_16
TS23: trigeminal ganglion Moderate Regionally restricted euxassay_009706_16

Specimen euxassay_009706_17: embryonic day 14.5 (more )
Structure Level Pattern Image Note
TS23: brain Moderate Regionally restricted euxassay_009706_17
TS23: trigeminal ganglion Weak Regionally restricted euxassay_009706_17

Specimen euxassay_009706_18: embryonic day 14.5 (more )
Structure Level Pattern Image Note
TS23: brain Weak Regionally restricted euxassay_009706_18
TS23: trigeminal ganglion Weak Regionally restricted euxassay_009706_18

Specimen euxassay_009706_19: embryonic day 14.5 (more )
Structure Level Pattern Image Note
TS23: brain Weak Regionally restricted euxassay_009706_19
TS23: trigeminal ganglion Weak Regionally restricted euxassay_009706_19

Specimen euxassay_009706_20: embryonic day 14.5 (more )
Structure Level Pattern Image Note
TS23: brain Moderate Regionally restricted euxassay_009706_20
TS23: trigeminal ganglion Moderate Regionally restricted euxassay_009706_20

Specimen euxassay_009706_21: embryonic day 14.5 (more )
Structure Level Pattern Image Note
TS23: brain Moderate Regionally restricted euxassay_009706_21

Specimen euxassay_009706_22: embryonic day 14.5 (more )
Structure Level Pattern Image Note
TS23: brain Moderate Regionally restricted euxassay_009706_22

Specimen euxassay_009706_23: embryonic day 14.5 (more )
Structure Level Pattern Image Note
TS23: brain Moderate Regionally restricted euxassay_009706_23


Contributing Projects:
Mouse Genome Database (MGD), Gene Expression Database (GXD), Mouse Models of Human Cancer database (MMHCdb) (formerly Mouse Tumor Biology (MTB)), Gene Ontology (GO)
Citing These Resources
Funding Information
Warranty Disclaimer, Privacy Notice, Licensing, & Copyright
Send questions and comments to User Support.
last database update
01/20/2026
MGI 6.24
The Jackson Laboratory