About   Help   FAQ
Gene Expression Data
Assay Details
Assay
Reference: J:153498 Diez-Roux G, et al., A high-resolution anatomical atlas of the transcriptome in the mouse embryo. PLoS Biol. 2011;9(1):e1000582
Assay type: RNA in situ
MGI Accession ID: MGI:4825346
Gene symbol: Hdgf
Gene name: heparin binding growth factor
Probe: IMAGE clone 1532916
Probe preparation: Antisense labelled with digoxigenin RNA
Visualized with: Alkaline phosphatase
Assay notes: Cryosections of fresh frozen material were fixed in 4% paraformaldehyde for 20 min. before further processing. A tyramide-biotin/streptavidin amplification step was included in the in situ hybridization procedure.
Results
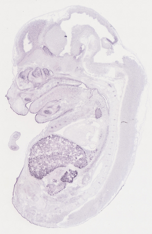
Specimen euxassay_002405_01: embryonic day 14.5 (more )
Structure Level Pattern Image Note
TS23: liver lobe Strong Regionally restricted euxassay_002405_01
TS23: telencephalon ventricular layer Weak Uniform euxassay_002405_01
TS23: orbito-sphenoid Weak Regionally restricted euxassay_002405_01

Specimen euxassay_002405_02: embryonic day 14.5 (more )
Structure Level Pattern Image Note
TS23: liver lobe Strong Regionally restricted euxassay_002405_02
TS23: telencephalon ventricular layer Weak Uniform euxassay_002405_02
TS23: orbito-sphenoid Weak Regionally restricted euxassay_002405_02

Specimen euxassay_002405_03: embryonic day 14.5 (more )
Structure Level Pattern Image Note
TS23: liver lobe Strong Regionally restricted euxassay_002405_03
TS23: telencephalon ventricular layer Weak Uniform euxassay_002405_03
TS23: orbito-sphenoid Moderate Regionally restricted euxassay_002405_03

Specimen euxassay_002405_04: embryonic day 14.5 (more )
Structure Level Pattern Image Note
TS23: liver lobe Strong Regionally restricted euxassay_002405_04
TS23: telencephalon ventricular layer Weak Uniform euxassay_002405_04
TS23: orbito-sphenoid Moderate Regionally restricted euxassay_002405_04

Specimen euxassay_002405_05: embryonic day 14.5 (more )
Structure Level Pattern Image Note
TS23: liver lobe Strong Regionally restricted euxassay_002405_05
TS23: submandibular gland primordium Strong Regionally restricted euxassay_002405_05
TS23: telencephalon ventricular layer Weak Uniform euxassay_002405_05
TS23: orbito-sphenoid Moderate Regionally restricted euxassay_002405_05

Specimen euxassay_002405_06: embryonic day 14.5 (more )
Structure Level Pattern Image Note
TS23: liver lobe Strong Regionally restricted euxassay_002405_06
TS23: submandibular gland primordium Strong Regionally restricted euxassay_002405_06
TS23: oral epithelium Moderate Regionally restricted euxassay_002405_06
TS23: telencephalon ventricular layer Weak Uniform euxassay_002405_06
TS23: orbito-sphenoid Moderate Regionally restricted euxassay_002405_06

Specimen euxassay_002405_07: embryonic day 14.5 (more )
Structure Level Pattern Image Note
TS23: liver lobe Strong Regionally restricted euxassay_002405_07
TS23: submandibular gland primordium Strong Regionally restricted euxassay_002405_07
TS23: lower jaw molar Moderate Regionally restricted euxassay_002405_07
TS23: upper jaw molar Moderate Regionally restricted euxassay_002405_07
TS23: telencephalon ventricular layer Weak Uniform euxassay_002405_07

Specimen euxassay_002405_08: embryonic day 14.5 (more )
Structure Level Pattern Image Note
TS23: liver lobe Strong Regionally restricted euxassay_002405_08
TS23: submandibular gland primordium Strong Regionally restricted euxassay_002405_08
TS23: olfactory epithelium Moderate Regionally restricted euxassay_002405_08
TS23: upper jaw molar Moderate Regionally restricted euxassay_002405_08
TS23: lower jaw molar Moderate Regionally restricted euxassay_002405_08
TS23: telencephalon ventricular layer Weak Uniform euxassay_002405_08

Specimen euxassay_002405_09: embryonic day 14.5 (more )
Structure Level Pattern Image Note
TS23: liver lobe Strong Regionally restricted euxassay_002405_09
TS23: thymus primordium Strong Uniform euxassay_002405_09
TS23: olfactory epithelium Moderate Regionally restricted euxassay_002405_09
TS23: lower jaw molar Moderate Regionally restricted euxassay_002405_09
TS23: upper jaw molar Moderate Regionally restricted euxassay_002405_09
TS23: telencephalon ventricular layer Weak Uniform euxassay_002405_09

Specimen euxassay_002405_10: embryonic day 14.5 (more )
Structure Level Pattern Image Note
TS23: liver lobe Strong Regionally restricted euxassay_002405_10
TS23: thymus primordium Moderate Uniform euxassay_002405_10
TS23: olfactory epithelium Moderate Regionally restricted euxassay_002405_10
TS23: lower jaw molar Moderate Regionally restricted euxassay_002405_10
TS23: oral epithelium Moderate Regionally restricted euxassay_002405_10
TS23: upper jaw molar Moderate Regionally restricted euxassay_002405_10
TS23: telencephalon ventricular layer Weak Uniform euxassay_002405_10

Specimen euxassay_002405_11: embryonic day 14.5 (more )
Structure Level Pattern Image Note
TS23: liver lobe Strong Regionally restricted euxassay_002405_11
TS23: thymus primordium Moderate Uniform euxassay_002405_11
TS23: olfactory epithelium Moderate Regionally restricted euxassay_002405_11
TS23: upper jaw incisor Moderate Regionally restricted euxassay_002405_11
TS23: lower jaw incisor Moderate Regionally restricted euxassay_002405_11
TS23: oral epithelium Moderate Regionally restricted euxassay_002405_11
TS23: telencephalon ventricular layer Weak Uniform euxassay_002405_11

Specimen euxassay_002405_12: embryonic day 14.5 (more )
Structure Level Pattern Image Note
TS23: liver lobe Strong Regionally restricted euxassay_002405_12
TS23: thymus primordium Moderate Uniform euxassay_002405_12
TS23: naris Moderate Regionally restricted euxassay_002405_12
TS23: olfactory epithelium Moderate Regionally restricted euxassay_002405_12
TS23: lower jaw incisor Moderate Regionally restricted euxassay_002405_12
TS23: upper jaw incisor Moderate Regionally restricted euxassay_002405_12
TS23: oral epithelium Moderate Regionally restricted euxassay_002405_12
TS23: telencephalon ventricular layer Weak Uniform euxassay_002405_12

Specimen euxassay_002405_13: embryonic day 14.5 (more )
Structure Level Pattern Image Note
TS23: liver lobe Strong Regionally restricted euxassay_002405_13
TS23: thymus primordium Moderate Uniform euxassay_002405_13
TS23: naris Moderate Regionally restricted euxassay_002405_13
TS23: upper jaw incisor Moderate Regionally restricted euxassay_002405_13
TS23: lower jaw incisor Moderate Regionally restricted euxassay_002405_13
TS23: oral epithelium Moderate Regionally restricted euxassay_002405_13
TS23: telencephalon ventricular layer Weak Uniform euxassay_002405_13

Specimen euxassay_002405_14: embryonic day 14.5 (more )
Structure Level Pattern Image Note
TS23: liver lobe Strong Regionally restricted euxassay_002405_14
TS23: thymus primordium Moderate Uniform euxassay_002405_14
TS23: olfactory epithelium Moderate Regionally restricted euxassay_002405_14
TS23: oral epithelium Moderate Regionally restricted euxassay_002405_14
TS23: telencephalon ventricular layer Weak Uniform euxassay_002405_14

Specimen euxassay_002405_15: embryonic day 14.5 (more )
Structure Level Pattern Image Note
TS23: liver lobe Strong Regionally restricted euxassay_002405_15
TS23: olfactory epithelium Moderate Regionally restricted euxassay_002405_15
TS23: lower jaw incisor Moderate Regionally restricted euxassay_002405_15
TS23: upper jaw incisor Moderate Regionally restricted euxassay_002405_15
TS23: oral epithelium Moderate Regionally restricted euxassay_002405_15
TS23: telencephalon ventricular layer Weak Uniform euxassay_002405_15

Specimen euxassay_002405_16: embryonic day 14.5 (more )
Structure Level Pattern Image Note
TS23: liver lobe Strong Regionally restricted euxassay_002405_16
TS23: submandibular gland primordium Strong Regionally restricted euxassay_002405_16
TS23: olfactory epithelium Moderate Regionally restricted euxassay_002405_16
TS23: upper jaw incisor Moderate Regionally restricted euxassay_002405_16
TS23: lower jaw incisor Moderate Regionally restricted euxassay_002405_16
TS23: oral epithelium Moderate Regionally restricted euxassay_002405_16
TS23: telencephalon ventricular layer Weak Uniform euxassay_002405_16

Specimen euxassay_002405_17: embryonic day 14.5 (more )
Structure Level Pattern Image Note
TS23: liver lobe Strong Regionally restricted euxassay_002405_17
TS23: submandibular gland primordium Strong Regionally restricted euxassay_002405_17
TS23: olfactory epithelium Moderate Regionally restricted euxassay_002405_17
TS23: upper jaw incisor Moderate Regionally restricted euxassay_002405_17
TS23: lower jaw incisor Moderate Regionally restricted euxassay_002405_17
TS23: oral epithelium Moderate Regionally restricted euxassay_002405_17
TS23: telencephalon ventricular layer Weak Uniform euxassay_002405_17

Specimen euxassay_002405_18: embryonic day 14.5 (more )
Structure Level Pattern Image Note
TS23: liver lobe Strong Regionally restricted euxassay_002405_18
TS23: submandibular gland primordium Strong Regionally restricted euxassay_002405_18
TS23: olfactory epithelium Moderate Regionally restricted euxassay_002405_18
TS23: upper jaw molar Moderate Regionally restricted euxassay_002405_18
TS23: lower jaw molar Moderate Regionally restricted euxassay_002405_18
TS23: oral epithelium Moderate Regionally restricted euxassay_002405_18
TS23: telencephalon ventricular layer Weak Uniform euxassay_002405_18

Specimen euxassay_002405_19: embryonic day 14.5 (more )
Structure Level Pattern Image Note
TS23: liver lobe Strong Regionally restricted euxassay_002405_19
TS23: submandibular gland primordium Moderate Regionally restricted euxassay_002405_19
TS23: nasal cavity epithelium Moderate Regionally restricted euxassay_002405_19
TS23: olfactory epithelium Moderate Regionally restricted euxassay_002405_19
TS23: upper jaw molar Moderate Regionally restricted euxassay_002405_19
TS23: lower jaw molar Moderate Regionally restricted euxassay_002405_19
TS23: telencephalon ventricular layer Weak Uniform euxassay_002405_19

Specimen euxassay_002405_20: embryonic day 14.5 (more )
Structure Level Pattern Image Note
TS23: liver lobe Strong Regionally restricted euxassay_002405_20
TS23: oral epithelium Moderate Regionally restricted euxassay_002405_20
TS23: telencephalon ventricular layer Weak Uniform euxassay_002405_20

Specimen euxassay_002405_21: embryonic day 14.5 (more )
Structure Level Pattern Image Note
TS23: liver lobe Strong Regionally restricted euxassay_002405_21
TS23: telencephalon ventricular layer Weak Uniform euxassay_002405_21
TS23: orbito-sphenoid Moderate Regionally restricted euxassay_002405_21

Specimen euxassay_002405_22: embryonic day 14.5 (more )
Structure Level Pattern Image Note
TS23: liver lobe Strong Regionally restricted euxassay_002405_22
TS23: orbito-sphenoid Moderate Regionally restricted euxassay_002405_22

Specimen euxassay_002405_23: embryonic day 14.5 (more )
Structure Level Pattern Image Note
TS23: liver lobe Strong Regionally restricted euxassay_002405_23
TS23: orbito-sphenoid Weak Regionally restricted euxassay_002405_23


Contributing Projects:
Mouse Genome Database (MGD), Gene Expression Database (GXD), Mouse Models of Human Cancer database (MMHCdb) (formerly Mouse Tumor Biology (MTB)), Gene Ontology (GO)
Citing These Resources
Funding Information
Warranty Disclaimer, Privacy Notice, Licensing, & Copyright
Send questions and comments to User Support.
last database update
12/30/2025
MGI 6.24
The Jackson Laboratory