About   Help   FAQ
Gene Expression Data
Assay Details
Assay
Reference: J:153498 Diez-Roux G, et al., A high-resolution anatomical atlas of the transcriptome in the mouse embryo. PLoS Biol. 2011;9(1):e1000582
Assay type: RNA in situ
MGI Accession ID: MGI:4825230
Gene symbol: Grik2
Gene name: glutamate receptor, ionotropic, kainate 2 (beta 2)
Probe: T35231
Probe preparation: Antisense labelled with digoxigenin RNA
Visualized with: Alkaline phosphatase
Assay notes: Cryosections of fresh frozen material were fixed in 4% paraformaldehyde for 20 min. before further processing. A tyramide-biotin/streptavidin amplification step was included in the in situ hybridization procedure.
Results
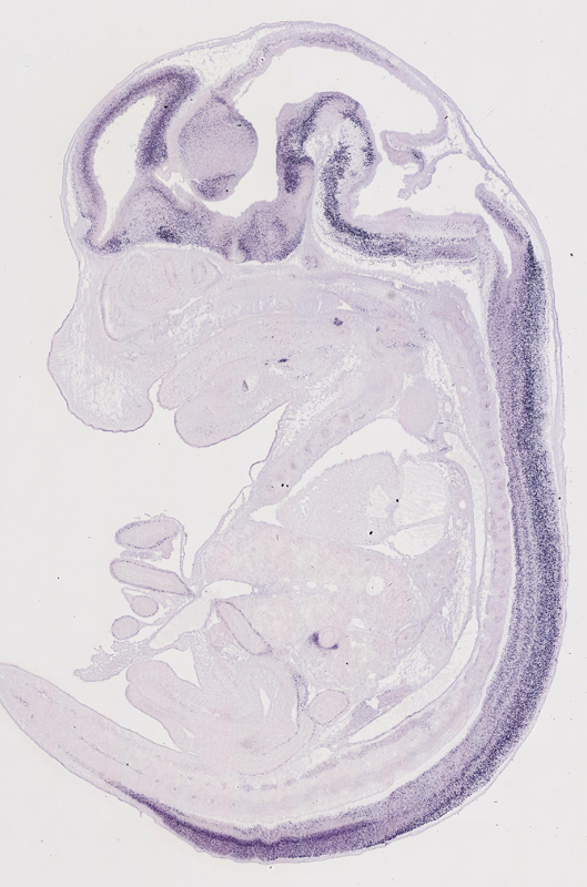
Specimen euxassay_008383_01: embryonic day 14.5 (more )
Structure Level Pattern Image Note
TS23: telencephalon Strong Regionally restricted euxassay_008383_01

Specimen euxassay_008383_02: embryonic day 14.5 (more )
Structure Level Pattern Image Note
TS23: telencephalon Strong Regionally restricted euxassay_008383_02

Specimen euxassay_008383_03: embryonic day 14.5 (more )
Structure Level Pattern Image Note
TS23: telencephalon Strong Regionally restricted euxassay_008383_03
TS23: foot Weak Regionally restricted euxassay_008383_03

Specimen euxassay_008383_04: embryonic day 14.5 (more )
Structure Level Pattern Image Note
TS23: telencephalon Strong Regionally restricted euxassay_008383_04
TS23: cerebellum Strong Regionally restricted euxassay_008383_04
TS23: foot Weak Regionally restricted euxassay_008383_04

Specimen euxassay_008383_05: embryonic day 14.5 (more )
Structure Level Pattern Image Note
TS23: cerebellum Strong Regionally restricted euxassay_008383_05
TS23: telencephalon Strong Regionally restricted euxassay_008383_05
TS23: midbrain Strong Regionally restricted euxassay_008383_05
TS23: trigeminal ganglion Moderate Single cells euxassay_008383_05
TS23: foot Weak Regionally restricted euxassay_008383_05
TS23: stomach Weak Regionally restricted euxassay_008383_05

Specimen euxassay_008383_06: embryonic day 14.5 (more )
Structure Level Pattern Image Note
TS23: cerebellum Strong Regionally restricted euxassay_008383_06
TS23: midbrain Strong Regionally restricted euxassay_008383_06
TS23: telencephalon Strong Regionally restricted euxassay_008383_06
TS23: trigeminal ganglion Moderate Single cells euxassay_008383_06
TS23: stomach Weak Regionally restricted euxassay_008383_06

Specimen euxassay_008383_07: embryonic day 14.5 (more )
Structure Level Pattern Image Note
TS23: telencephalon Strong Regionally restricted euxassay_008383_07
TS23: diencephalon Strong Regionally restricted euxassay_008383_07
TS23: cerebellum Strong Regionally restricted euxassay_008383_07
TS23: medulla oblongata Strong Regionally restricted euxassay_008383_07
TS23: midbrain Strong Regionally restricted euxassay_008383_07
TS23: pons Strong Regionally restricted euxassay_008383_07
TS23: trigeminal ganglion Moderate Single cells euxassay_008383_07
TS23: renal cortex Moderate Regionally restricted euxassay_008383_07
TS23: stomach Weak Regionally restricted euxassay_008383_07

Specimen euxassay_008383_08: embryonic day 14.5 (more )
Structure Level Pattern Image Note
TS23: cerebellum Strong Regionally restricted euxassay_008383_08
TS23: medulla oblongata Strong Regionally restricted euxassay_008383_08
TS23: telencephalon Strong Regionally restricted euxassay_008383_08
TS23: diencephalon Strong Regionally restricted euxassay_008383_08
TS23: midbrain Strong Regionally restricted euxassay_008383_08
TS23: pons Strong Regionally restricted euxassay_008383_08
TS23: trigeminal ganglion Weak Single cells euxassay_008383_08
TS23: renal cortex Weak Regionally restricted euxassay_008383_08
TS23: stomach Weak Regionally restricted euxassay_008383_08

Specimen euxassay_008383_09: embryonic day 14.5 (more )
Structure Level Pattern Image Note
TS23: midbrain Strong Regionally restricted euxassay_008383_09
TS23: pons Strong Regionally restricted euxassay_008383_09
TS23: cerebellum Strong Regionally restricted euxassay_008383_09
TS23: medulla oblongata Strong Regionally restricted euxassay_008383_09
TS23: diencephalon Strong Regionally restricted euxassay_008383_09
TS23: telencephalon Strong Regionally restricted euxassay_008383_09
TS23: spinal cord Strong Single cells euxassay_008383_09
TS23: trigeminal ganglion Weak Single cells euxassay_008383_09
TS23: renal cortex Weak Regionally restricted euxassay_008383_09
TS23: midgut Weak Regionally restricted euxassay_008383_09
TS23: stomach Weak Regionally restricted euxassay_008383_09

Specimen euxassay_008383_10: embryonic day 14.5 (more )
Structure Level Pattern Image Note
TS23: midbrain Strong Regionally restricted euxassay_008383_10
TS23: pons Strong Regionally restricted euxassay_008383_10
TS23: cerebellum Strong Regionally restricted euxassay_008383_10
TS23: medulla oblongata Strong Regionally restricted euxassay_008383_10
TS23: diencephalon Strong Regionally restricted euxassay_008383_10
TS23: telencephalon Strong Regionally restricted euxassay_008383_10
TS23: spinal cord Strong Single cells euxassay_008383_10
TS23: trigeminal ganglion Weak Single cells euxassay_008383_10
TS23: renal cortex Weak Regionally restricted euxassay_008383_10
TS23: midgut Weak Regionally restricted euxassay_008383_10
TS23: stomach Weak Regionally restricted euxassay_008383_10

Specimen euxassay_008383_11: embryonic day 14.5 (more )
Structure Level Pattern Image Note
TS23: telencephalon Strong Regionally restricted euxassay_008383_11
TS23: diencephalon Strong Regionally restricted euxassay_008383_11
TS23: medulla oblongata Strong Regionally restricted euxassay_008383_11
TS23: cerebellum Strong Regionally restricted euxassay_008383_11
TS23: pons Strong Regionally restricted euxassay_008383_11
TS23: midbrain Strong Regionally restricted euxassay_008383_11
TS23: spinal cord Strong Single cells euxassay_008383_11
TS23: trigeminal nerve Moderate Single cells euxassay_008383_11
TS23: midgut Weak Regionally restricted euxassay_008383_11
TS23: hindgut Weak Regionally restricted euxassay_008383_11
TS23: stomach Weak Regionally restricted euxassay_008383_11

Specimen euxassay_008383_12: embryonic day 14.5 (more )
Structure Level Pattern Image Note
TS23: midbrain Strong Regionally restricted euxassay_008383_12
TS23: pons Strong Regionally restricted euxassay_008383_12
TS23: cerebellum Strong Regionally restricted euxassay_008383_12
TS23: medulla oblongata Strong Regionally restricted euxassay_008383_12
TS23: telencephalon Strong Regionally restricted euxassay_008383_12
TS23: diencephalon Strong Regionally restricted euxassay_008383_12
TS23: spinal cord Strong Single cells euxassay_008383_12
TS23: pituitary gland Moderate Single cells euxassay_008383_12
TS23: midgut Weak Regionally restricted euxassay_008383_12
TS23: hindgut Weak Regionally restricted euxassay_008383_12
TS23: tongue Moderate Regionally restricted euxassay_008383_12

Specimen euxassay_008383_13: embryonic day 14.5 (more )
Structure Level Pattern Image Note
TS23: midbrain Strong Regionally restricted euxassay_008383_13
TS23: pons Strong Regionally restricted euxassay_008383_13
TS23: cerebellum Strong Regionally restricted euxassay_008383_13
TS23: medulla oblongata Strong Regionally restricted euxassay_008383_13
TS23: diencephalon Strong Regionally restricted euxassay_008383_13
TS23: telencephalon Strong Regionally restricted euxassay_008383_13
TS23: spinal cord Strong Single cells euxassay_008383_13
TS23: pituitary gland Moderate Single cells euxassay_008383_13
TS23: midgut Weak Regionally restricted euxassay_008383_13
TS23: hindgut Weak Regionally restricted euxassay_008383_13
TS23: tongue Moderate Regionally restricted euxassay_008383_13

Specimen euxassay_008383_14: embryonic day 14.5 (more )
Structure Level Pattern Image Note
TS23: diencephalon Strong Regionally restricted euxassay_008383_14
TS23: telencephalon Strong Regionally restricted euxassay_008383_14
TS23: medulla oblongata Strong Regionally restricted euxassay_008383_14
TS23: cerebellum Strong Regionally restricted euxassay_008383_14
TS23: pons Strong Regionally restricted euxassay_008383_14
TS23: midbrain Strong Regionally restricted euxassay_008383_14
TS23: spinal cord Strong Single cells euxassay_008383_14
TS23: pituitary gland Moderate Single cells euxassay_008383_14
TS23: hindgut Weak Regionally restricted euxassay_008383_14
TS23: midgut Weak Regionally restricted euxassay_008383_14
TS23: tongue Moderate Regionally restricted euxassay_008383_14

Specimen euxassay_008383_15: embryonic day 14.5 (more )
Structure Level Pattern Image Note
TS23: midbrain Strong Regionally restricted euxassay_008383_15
TS23: pons Strong Regionally restricted euxassay_008383_15
TS23: cerebellum Strong Regionally restricted euxassay_008383_15
TS23: medulla oblongata Strong Regionally restricted euxassay_008383_15
TS23: diencephalon Strong Regionally restricted euxassay_008383_15
TS23: telencephalon Strong Regionally restricted euxassay_008383_15
TS23: spinal cord Strong Single cells euxassay_008383_15
TS23: midgut Weak Regionally restricted euxassay_008383_15
TS23: hindgut Weak Regionally restricted euxassay_008383_15

Specimen euxassay_008383_16: embryonic day 14.5 (more )
Structure Level Pattern Image Note
TS23: midbrain Strong Regionally restricted euxassay_008383_16
TS23: pons Strong Regionally restricted euxassay_008383_16
TS23: cerebellum Strong Regionally restricted euxassay_008383_16
TS23: medulla oblongata Strong Regionally restricted euxassay_008383_16
TS23: telencephalon Strong Regionally restricted euxassay_008383_16
TS23: diencephalon Strong Regionally restricted euxassay_008383_16
TS23: spinal cord Strong Single cells euxassay_008383_16
TS23: renal cortex Moderate Regionally restricted euxassay_008383_16
TS23: pituitary gland Moderate Single cells euxassay_008383_16
TS23: hindgut Weak Regionally restricted euxassay_008383_16
TS23: midgut Weak Regionally restricted euxassay_008383_16
TS23: tongue Moderate Regionally restricted euxassay_008383_16

Specimen euxassay_008383_17: embryonic day 14.5 (more )
Structure Level Pattern Image Note
TS23: midbrain Strong Regionally restricted euxassay_008383_17
TS23: pons Strong Regionally restricted euxassay_008383_17
TS23: cerebellum Strong Regionally restricted euxassay_008383_17
TS23: medulla oblongata Strong Regionally restricted euxassay_008383_17
TS23: telencephalon Strong Regionally restricted euxassay_008383_17
TS23: diencephalon Strong Regionally restricted euxassay_008383_17
TS23: spinal cord Strong Single cells euxassay_008383_17
TS23: renal cortex Weak Regionally restricted euxassay_008383_17
TS23: hindgut Weak Regionally restricted euxassay_008383_17
TS23: midgut Weak Regionally restricted euxassay_008383_17
TS23: tongue Moderate Regionally restricted euxassay_008383_17

Specimen euxassay_008383_18: embryonic day 14.5 (more )
Structure Level Pattern Image Note
TS23: midbrain Strong Regionally restricted euxassay_008383_18
TS23: pons Strong Regionally restricted euxassay_008383_18
TS23: cerebellum Strong Regionally restricted euxassay_008383_18
TS23: medulla oblongata Strong Regionally restricted euxassay_008383_18
TS23: diencephalon Strong Regionally restricted euxassay_008383_18
TS23: telencephalon Strong Regionally restricted euxassay_008383_18
TS23: trigeminal nerve Moderate Single cells euxassay_008383_18
TS23: renal cortex Weak Regionally restricted euxassay_008383_18
TS23: foot Weak Regionally restricted euxassay_008383_18
TS23: midgut Weak Regionally restricted euxassay_008383_18
TS23: hindgut Weak Regionally restricted euxassay_008383_18

Specimen euxassay_008383_19: embryonic day 14.5 (more )
Structure Level Pattern Image Note
TS23: midbrain Strong Regionally restricted euxassay_008383_19
TS23: pons Strong Regionally restricted euxassay_008383_19
TS23: cerebellum Strong Regionally restricted euxassay_008383_19
TS23: diencephalon Strong Regionally restricted euxassay_008383_19
TS23: telencephalon Strong Regionally restricted euxassay_008383_19
TS23: trigeminal nerve Moderate Single cells euxassay_008383_19
TS23: renal cortex Weak Regionally restricted euxassay_008383_19
TS23: foot Weak Regionally restricted euxassay_008383_19
TS23: midgut Weak Regionally restricted euxassay_008383_19
TS23: hindgut Weak Regionally restricted euxassay_008383_19

Specimen euxassay_008383_20: embryonic day 14.5 (more )
Structure Level Pattern Image Note
TS23: cerebellum Strong Regionally restricted euxassay_008383_20
TS23: telencephalon Strong Regionally restricted euxassay_008383_20
TS23: trigeminal ganglion Moderate Single cells euxassay_008383_20
TS23: renal cortex Moderate Regionally restricted euxassay_008383_20
TS23: foot Moderate Regionally restricted euxassay_008383_20

Specimen euxassay_008383_21: embryonic day 14.5 (more )
Structure Level Pattern Image Note
TS23: cerebellum Strong Regionally restricted euxassay_008383_21
TS23: telencephalon Strong Regionally restricted euxassay_008383_21
TS23: trigeminal ganglion Moderate Single cells euxassay_008383_21
TS23: foot Moderate Regionally restricted euxassay_008383_21

Specimen euxassay_008383_22: embryonic day 14.5 (more )
Structure Level Pattern Image Note
TS23: cerebellum Strong Regionally restricted euxassay_008383_22
TS23: telencephalon Strong Regionally restricted euxassay_008383_22
TS23: trigeminal ganglion Moderate Single cells euxassay_008383_22
TS23: foot Weak Regionally restricted euxassay_008383_22

Specimen euxassay_008383_23: embryonic day 14.5 (more )
Structure Level Pattern Image Note
TS23: telencephalon Strong Regionally restricted euxassay_008383_23
TS23: trigeminal ganglion Moderate Single cells euxassay_008383_23
TS23: foot Weak Regionally restricted euxassay_008383_23


Contributing Projects:
Mouse Genome Database (MGD), Gene Expression Database (GXD), Mouse Models of Human Cancer database (MMHCdb) (formerly Mouse Tumor Biology (MTB)), Gene Ontology (GO)
Citing These Resources
Funding Information
Warranty Disclaimer, Privacy Notice, Licensing, & Copyright
Send questions and comments to User Support.
last database update
01/06/2026
MGI 6.24
The Jackson Laboratory