About   Help   FAQ
Gene Expression Data
Assay Details
Assay
Reference: J:153498 Diez-Roux G, et al., A high-resolution anatomical atlas of the transcriptome in the mouse embryo. PLoS Biol. 2011;9(1):e1000582
Assay type: RNA in situ
MGI Accession ID: MGI:4825069
Gene symbol: Glcci1
Gene name: glucocorticoid induced transcript 1
Probe: T31884
Probe preparation: Antisense labelled with digoxigenin RNA
Visualized with: Alkaline phosphatase
Assay notes: Cryosections of fresh frozen material were fixed in 4% paraformaldehyde for 20 min. before further processing. A tyramide-biotin/streptavidin amplification step was included in the in situ hybridization procedure.
Results
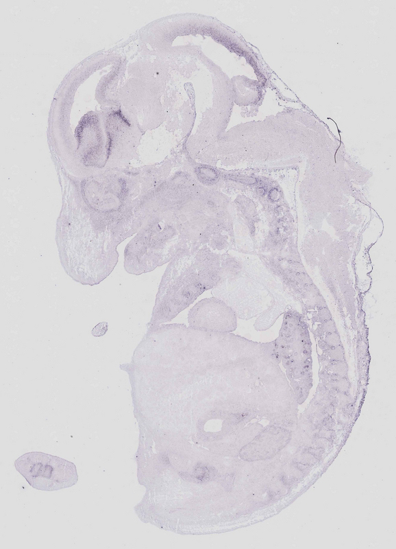
Specimen euxassay_014439_02: embryonic day 14.5 (more )
Structure Level Pattern Image Note
TS23: telencephalon ventricular layer Moderate Regionally restricted euxassay_014439_02

Specimen euxassay_014439_03: embryonic day 14.5 (more )
Structure Level Pattern Image Note
TS23: telencephalon ventricular layer Strong Regionally restricted euxassay_014439_03
TS23: midbrain ventricular layer Weak Regionally restricted euxassay_014439_03

Specimen euxassay_014439_04: embryonic day 14.5 (more )
Structure Level Pattern Image Note
TS23: telencephalon ventricular layer Strong Regionally restricted euxassay_014439_04
TS23: midbrain ventricular layer Weak Regionally restricted euxassay_014439_04
TS23: vestibulo-cochlear ganglion Moderate Regionally restricted euxassay_014439_04

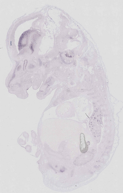
Specimen euxassay_014439_05: embryonic day 14.5 (more )
Structure Level Pattern Image Note
TS23: telencephalon ventricular layer Strong Regionally restricted euxassay_014439_05
TS23: midbrain ventricular layer Weak Regionally restricted euxassay_014439_05
TS23: vestibulo-cochlear ganglion Weak Regionally restricted euxassay_014439_05

Specimen euxassay_014439_06: embryonic day 14.5 (more )
Structure Level Pattern Image Note
TS23: telencephalon ventricular layer Strong Regionally restricted euxassay_014439_06
TS23: midbrain ventricular layer Moderate Regionally restricted euxassay_014439_06

Specimen euxassay_014439_07: embryonic day 14.5 (more )
Structure Level Pattern Image Note
TS23: telencephalon ventricular layer Strong Regionally restricted euxassay_014439_07
TS23: midbrain ventricular layer Moderate Regionally restricted euxassay_014439_07

Specimen euxassay_014439_08: embryonic day 14.5 (more )
Structure Level Pattern Image Note
TS23: telencephalon ventricular layer Strong Regionally restricted euxassay_014439_08
TS23: midbrain ventricular layer Moderate Regionally restricted euxassay_014439_08
TS23: axial skeleton Moderate Regionally restricted euxassay_014439_08
TS23: olfactory epithelium Weak Regionally restricted euxassay_014439_08

Specimen euxassay_014439_09: embryonic day 14.5 (more )
Structure Level Pattern Image Note
TS23: telencephalon ventricular layer Strong Regionally restricted euxassay_014439_09
TS23: midbrain ventricular layer Moderate Regionally restricted euxassay_014439_09
TS23: axial skeleton Weak Regionally restricted euxassay_014439_09
TS23: axial skeleton tail region Weak Regionally restricted euxassay_014439_09
TS23: olfactory epithelium Weak Regionally restricted euxassay_014439_09

Specimen euxassay_014439_10: embryonic day 14.5 (more )
Structure Level Pattern Image Note
TS23: telencephalon ventricular layer Strong Regionally restricted euxassay_014439_10
TS23: midbrain ventricular layer Weak Regionally restricted euxassay_014439_10
TS23: axial skeleton Weak Regionally restricted euxassay_014439_10
TS23: axial skeleton tail region Weak Regionally restricted euxassay_014439_10
TS23: olfactory epithelium Weak Regionally restricted euxassay_014439_10

Specimen euxassay_014439_11: embryonic day 14.5 (more )
Structure Level Pattern Image Note
TS23: midbrain ventricular layer Weak Regionally restricted euxassay_014439_11
TS23: axial skeleton tail region Weak Regionally restricted euxassay_014439_11
TS23: axial skeleton Weak Regionally restricted euxassay_014439_11
TS23: olfactory epithelium Weak Regionally restricted euxassay_014439_11
TS23: vomeronasal organ Weak Regionally restricted euxassay_014439_11

Specimen euxassay_014439_12: embryonic day 14.5 (more )
Structure Level Pattern Image Note
TS23: telencephalon ventricular layer Strong Regionally restricted euxassay_014439_12
TS23: axial skeleton tail region Weak Regionally restricted euxassay_014439_12
TS23: axial skeleton Weak Regionally restricted euxassay_014439_12
TS23: olfactory epithelium Weak Regionally restricted euxassay_014439_12

Specimen euxassay_014439_13: embryonic day 14.5 (more )
Structure Level Pattern Image Note
TS23: telencephalon ventricular layer Strong Regionally restricted euxassay_014439_13
TS23: axial skeleton Weak Regionally restricted euxassay_014439_13
TS23: nasal septum Weak Regionally restricted euxassay_014439_13
TS23: vomeronasal organ Weak Regionally restricted euxassay_014439_13

Specimen euxassay_014439_14: embryonic day 14.5 (more )
Structure Level Pattern Image Note
TS23: telencephalon ventricular layer Strong Regionally restricted euxassay_014439_14
TS23: olfactory epithelium Weak Regionally restricted euxassay_014439_14
TS23: vestibulo-cochlear ganglion Moderate Regionally restricted euxassay_014439_14

Specimen euxassay_014439_15: embryonic day 14.5 (more )
Structure Level Pattern Image Note
TS23: telencephalon ventricular layer Strong Regionally restricted euxassay_014439_15
TS23: olfactory epithelium Weak Regionally restricted euxassay_014439_15

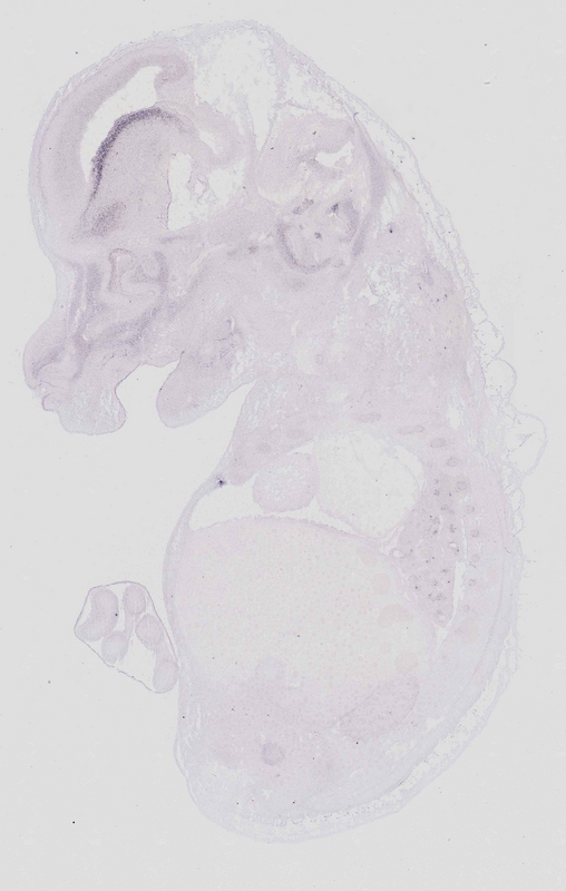
Specimen euxassay_014439_16: embryonic day 14.5 (more )
Structure Level Pattern Image Note
TS23: telencephalon ventricular layer Strong Regionally restricted euxassay_014439_16

Specimen euxassay_014439_17: embryonic day 14.5 (more )
Structure Level Pattern Image Note
TS23: telencephalon ventricular layer Moderate Regionally restricted euxassay_014439_17


Contributing Projects:
Mouse Genome Database (MGD), Gene Expression Database (GXD), Mouse Models of Human Cancer database (MMHCdb) (formerly Mouse Tumor Biology (MTB)), Gene Ontology (GO)
Citing These Resources
Funding Information
Warranty Disclaimer, Privacy Notice, Licensing, & Copyright
Send questions and comments to User Support.
last database update
01/28/2026
MGI 6.24
The Jackson Laboratory