About   Help   FAQ
Gene Expression Data
Assay Details
Assay
Reference: J:153498 Diez-Roux G, et al., A high-resolution anatomical atlas of the transcriptome in the mouse embryo. PLoS Biol. 2011;9(1):e1000582
Assay type: RNA in situ
MGI Accession ID: MGI:4825024
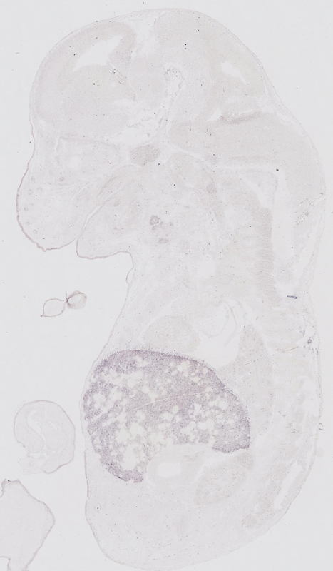
Gene symbol: Gclm
Gene name: glutamate-cysteine ligase, modifier subunit
Probe: T36422
Probe preparation: Antisense labelled with digoxigenin RNA
Visualized with: Alkaline phosphatase
Assay notes: Cryosections of fresh frozen material were fixed in 4% paraformaldehyde for 20 min. before further processing. A tyramide-biotin/streptavidin amplification step was included in the in situ hybridization procedure.
Results
Specimen euxassay_009046_01: embryonic day 14.5 (more )
Structure Level Pattern Image Note
TS23: liver left lobe Moderate Regionally restricted euxassay_009046_01

Specimen euxassay_009046_02: embryonic day 14.5 (more )
Structure Level Pattern Image Note
TS23: liver left lobe Moderate Regionally restricted euxassay_009046_02

Specimen euxassay_009046_03: embryonic day 14.5 (more )
Structure Level Pattern Image Note
TS23: liver left lobe Moderate Regionally restricted euxassay_009046_03

Specimen euxassay_009046_04: embryonic day 14.5 (more )
Structure Level Pattern Image Note
TS23: liver left lobe Moderate Regionally restricted euxassay_009046_04

Specimen euxassay_009046_05: embryonic day 14.5 (more )
Structure Level Pattern Image Note
TS23: liver left lobe Moderate Regionally restricted euxassay_009046_05

Specimen euxassay_009046_06: embryonic day 14.5 (more )
Structure Level Pattern Image Note
TS23: liver left lobe Moderate Regionally restricted euxassay_009046_06

Specimen euxassay_009046_07: embryonic day 14.5 (more )
Structure Level Pattern Image Note
TS23: liver left lobe Moderate Regionally restricted euxassay_009046_07

Specimen euxassay_009046_08: embryonic day 14.5 (more )
Structure Level Pattern Image Note
TS23: liver left lobe Moderate Regionally restricted euxassay_009046_08

Specimen euxassay_009046_09: embryonic day 14.5 (more )
Structure Level Pattern Image Note
TS23: liver left lobe Moderate Regionally restricted euxassay_009046_09

Specimen euxassay_009046_10: embryonic day 14.5 (more )
Structure Level Pattern Image Note
TS23: liver left lobe Moderate Regionally restricted euxassay_009046_10

Specimen euxassay_009046_11: embryonic day 14.5 (more )
Structure Level Pattern Image Note
TS23: liver left lobe Moderate Regionally restricted euxassay_009046_11

Specimen euxassay_009046_12: embryonic day 14.5 (more )
Structure Level Pattern Image Note
TS23: liver left lobe Moderate Regionally restricted euxassay_009046_12

Specimen euxassay_009046_13: embryonic day 14.5 (more )
Structure Level Pattern Image Note
TS23: liver left lobe Moderate Regionally restricted euxassay_009046_13

Specimen euxassay_009046_14: embryonic day 14.5 (more )
Structure Level Pattern Image Note
TS23: liver right lobe Moderate Regionally restricted euxassay_009046_14

Specimen euxassay_009046_15: embryonic day 14.5 (more )
Structure Level Pattern Image Note
TS23: liver right lobe Moderate Regionally restricted euxassay_009046_15

Specimen euxassay_009046_16: embryonic day 14.5 (more )
Structure Level Pattern Image Note
TS23: liver right lobe Moderate Regionally restricted euxassay_009046_16

Specimen euxassay_009046_17: embryonic day 14.5 (more )
Structure Level Pattern Image Note
TS23: liver right lobe Moderate Regionally restricted euxassay_009046_17

Specimen euxassay_009046_18: embryonic day 14.5 (more )
Structure Level Pattern Image Note
TS23: liver right lobe Moderate Regionally restricted euxassay_009046_18

Specimen euxassay_009046_19: embryonic day 14.5 (more )
Structure Level Pattern Image Note
TS23: liver right lobe Moderate Regionally restricted euxassay_009046_19

Specimen euxassay_009046_20: embryonic day 14.5 (more )
Structure Level Pattern Image Note
TS23: liver right lobe Moderate Regionally restricted euxassay_009046_20

Specimen euxassay_009046_21: embryonic day 14.5 (more )
Structure Level Pattern Image Note
TS23: liver right lobe Moderate Regionally restricted euxassay_009046_21

Specimen euxassay_009046_22: embryonic day 14.5 (more )
Structure Level Pattern Image Note
TS23: liver right lobe Moderate Regionally restricted euxassay_009046_22

Specimen euxassay_009046_23: embryonic day 14.5 (more )
Structure Level Pattern Image Note
TS23: liver right lobe Moderate Regionally restricted euxassay_009046_23

Specimen euxassay_009046_24: embryonic day 14.5 (more )
Structure Level Pattern Image Note
TS23: liver right lobe Moderate Regionally restricted euxassay_009046_24


Contributing Projects:
Mouse Genome Database (MGD), Gene Expression Database (GXD), Mouse Models of Human Cancer database (MMHCdb) (formerly Mouse Tumor Biology (MTB)), Gene Ontology (GO)
Citing These Resources
Funding Information
Warranty Disclaimer, Privacy Notice, Licensing, & Copyright
Send questions and comments to User Support.
last database update
03/24/2026
MGI 6.24
The Jackson Laboratory