About   Help   FAQ
Gene Expression Data
Assay Details
Assay
Reference: J:153498 Diez-Roux G, et al., A high-resolution anatomical atlas of the transcriptome in the mouse embryo. PLoS Biol. 2011;9(1):e1000582
Assay type: RNA in situ
MGI Accession ID: MGI:4824953
Gene symbol: Fzd1
Gene name: frizzled class receptor 1
Probe: MH679 probe 671
Probe preparation: Antisense labelled with digoxigenin RNA
Visualized with: Alkaline phosphatase
Assay notes: Cryosections of fresh frozen material were fixed in 4% paraformaldehyde for 20 min. before further processing. A tyramide-biotin/streptavidin amplification step was included in the in situ hybridization procedure.
Results
Specimen 5A: embryonic day 14.5 (more )
Note: The annotations provided in this table refer to the entire set of Eurexpress images; thus the displayed image may not include the structures referred to in the annotations.
Structure Level Pattern Image Note
TS23: collecting duct Absent euxassay_007182_12 Expression was not detected in the ureteric tubules.
TS23: ureteric tip Absent euxassay_007182_12
TS23: cap mesenchyme Absent euxassay_007182_12 Expression was not detected in the condensing mesenchyme.
TS23: renal vesicle Absent euxassay_007182_12 Expression was not detected in the renal vesicles/comma-shaped bodies.
TS23: s-shaped body Absent euxassay_007182_12
TS23: cortical renal tubule Absent euxassay_007182_12 Expression was not detected in the proximal tubules.
TS23: maturing glomerular tuft Absent euxassay_007182_12 Expression was not detected in the glomeruli.
TS23: renal vasculature Absent euxassay_007182_12 Expression was not detected in the capillaries.
TS23: renal cortical interstitium Moderate euxassay_007182_12 Expression is present in the stroma.
TS23: renal capsule Absent euxassay_007182_12

Specimen Table S8: embryonic day 14.5 (more )
Note: The annotations provided in this table refer to the entire set of Eurexpress images; thus the displayed image may not include the structures referred to in the annotations.
Structure Level Pattern Image Note
TS23: neocortex Moderate euxassay_007182_12
TS23: hippocampus Moderate euxassay_007182_12
TS23: corpus striatum Absent euxassay_007182_12
TS23: telencephalon septum Absent euxassay_007182_12
TS23: thalamus Weak euxassay_007182_12
TS23: hypothalamus Moderate euxassay_007182_12
TS23: pretectum Weak euxassay_007182_12
TS23: superior colliculus Weak euxassay_007182_12
TS23: inferior colliculus Moderate euxassay_007182_12
TS23: midbrain tegmentum Moderate euxassay_007182_12
TS23: cerebellum Absent euxassay_007182_12
TS23: spinal cord Moderate euxassay_007182_12
TS23: skin Weak euxassay_007182_12
TS23: lung Moderate euxassay_007182_12
TS23: metanephros Weak euxassay_007182_12
TS23: liver Absent euxassay_007182_12
TS23: thyroid gland Absent euxassay_007182_12
TS23: pituitary gland Absent euxassay_007182_12
TS23: pancreas Absent euxassay_007182_12
TS23: adrenal gland Absent euxassay_007182_12
TS23: heart Weak euxassay_007182_12
TS23: thymus primordium Absent euxassay_007182_12
TS23: vertebral axis musculature Weak euxassay_007182_12
TS23: axial skeleton Absent euxassay_007182_12

Specimen euxassay_007182_01: embryonic day 14.5 (more )
Structure Level Pattern Image Note
TS23: embryo mesenchyme Moderate Regionally restricted euxassay_007182_01
TS23: vertebral axis musculature Moderate Regionally restricted euxassay_007182_01
TS23: limb Moderate Regionally restricted euxassay_007182_01

Specimen euxassay_007182_02: embryonic day 14.5 (more )
Structure Level Pattern Image Note
TS23: embryo mesenchyme Moderate Regionally restricted euxassay_007182_02
TS23: vertebral axis musculature Moderate Regionally restricted euxassay_007182_02
TS23: lung Moderate Regionally restricted euxassay_007182_02
TS23: limb Moderate Regionally restricted euxassay_007182_02

Specimen euxassay_007182_03: embryonic day 14.5 (more )
Structure Level Pattern Image Note
TS23: embryo mesenchyme Moderate Regionally restricted euxassay_007182_03
TS23: vertebral axis musculature Moderate Regionally restricted euxassay_007182_03
TS23: lung Moderate Regionally restricted euxassay_007182_03
TS23: limb Moderate Regionally restricted euxassay_007182_03
TS23: vibrissa Moderate Regionally restricted euxassay_007182_03

Specimen euxassay_007182_04: embryonic day 14.5 (more )
Structure Level Pattern Image Note
TS23: embryo mesenchyme Moderate Regionally restricted euxassay_007182_04
TS23: vertebral axis musculature Moderate Regionally restricted euxassay_007182_04
TS23: lung Moderate Regionally restricted euxassay_007182_04
TS23: limb Moderate Regionally restricted euxassay_007182_04
TS23: vibrissa Moderate Regionally restricted euxassay_007182_04

Specimen euxassay_007182_05: embryonic day 14.5 (more )
Structure Level Pattern Image Note
TS23: embryo mesenchyme Moderate Regionally restricted euxassay_007182_05
TS23: vertebral axis musculature Moderate Regionally restricted euxassay_007182_05
TS23: lung Moderate Regionally restricted euxassay_007182_05
TS23: metanephros Moderate Regionally restricted euxassay_007182_05
TS23: limb Moderate Regionally restricted euxassay_007182_05

Specimen euxassay_007182_06: embryonic day 14.5 (more )
Structure Level Pattern Image Note
TS23: embryo mesenchyme Moderate Regionally restricted euxassay_007182_06
TS23: vertebral axis musculature Moderate Regionally restricted euxassay_007182_06
TS23: metanephros Moderate Regionally restricted euxassay_007182_06
TS23: lung Moderate Regionally restricted euxassay_007182_06
TS23: midgut Moderate Regionally restricted euxassay_007182_06
TS23: limb Moderate Regionally restricted euxassay_007182_06

Specimen euxassay_007182_07: embryonic day 14.5 (more )
Structure Level Pattern Image Note
TS23: embryo mesenchyme Moderate Regionally restricted euxassay_007182_07
TS23: vertebral axis musculature Moderate Regionally restricted euxassay_007182_07
TS23: metanephros Moderate Regionally restricted euxassay_007182_07
TS23: lung Moderate Regionally restricted euxassay_007182_07
TS23: midgut Moderate Regionally restricted euxassay_007182_07
TS23: limb Moderate Regionally restricted euxassay_007182_07

Specimen euxassay_007182_08: embryonic day 14.5 (more )
Structure Level Pattern Image Note
TS23: embryo mesenchyme Moderate Regionally restricted euxassay_007182_08
TS23: vertebral axis musculature Moderate Regionally restricted euxassay_007182_08
TS23: lung Moderate Regionally restricted euxassay_007182_08
TS23: metanephros Moderate Regionally restricted euxassay_007182_08
TS23: midgut Moderate Regionally restricted euxassay_007182_08

Specimen euxassay_007182_09: embryonic day 14.5 (more )
Structure Level Pattern Image Note
TS23: embryo mesenchyme Moderate Regionally restricted euxassay_007182_09
TS23: vertebral axis musculature Moderate Regionally restricted euxassay_007182_09
TS23: metanephros Moderate Regionally restricted euxassay_007182_09
TS23: lung Moderate Regionally restricted euxassay_007182_09
TS23: midgut Moderate Regionally restricted euxassay_007182_09
TS23: tail Moderate Regionally restricted euxassay_007182_09

Specimen euxassay_007182_10: embryonic day 14.5 (more )
Structure Level Pattern Image Note
TS23: embryo mesenchyme Moderate Regionally restricted euxassay_007182_10
TS23: vertebral axis musculature Moderate Regionally restricted euxassay_007182_10
TS23: metanephros Moderate Regionally restricted euxassay_007182_10
TS23: lung Moderate Regionally restricted euxassay_007182_10
TS23: midgut Moderate Regionally restricted euxassay_007182_10
TS23: tail Moderate Regionally restricted euxassay_007182_10
TS23: upper jaw incisor Strong Regionally restricted euxassay_007182_10
TS23: lower jaw incisor Strong Regionally restricted euxassay_007182_10

Specimen euxassay_007182_11: embryonic day 14.5 (more )
Structure Level Pattern Image Note
TS23: embryo mesenchyme Moderate Regionally restricted euxassay_007182_11
TS23: vertebral axis musculature Moderate Regionally restricted euxassay_007182_11
TS23: lung Moderate Regionally restricted euxassay_007182_11
TS23: bladder Moderate Regionally restricted euxassay_007182_11
TS23: midgut Moderate Regionally restricted euxassay_007182_11
TS23: tail Moderate Regionally restricted euxassay_007182_11
TS23: upper jaw incisor Strong Regionally restricted euxassay_007182_11
TS23: lower jaw incisor Strong Regionally restricted euxassay_007182_11

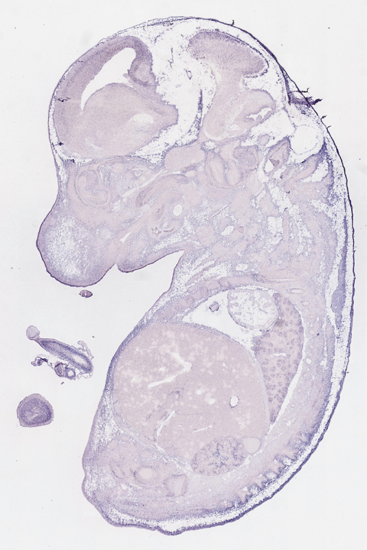
Specimen euxassay_007182_12: embryonic day 14.5 (more )
Structure Level Pattern Image Note
TS23: embryo mesenchyme Moderate Regionally restricted euxassay_007182_12
TS23: vertebral axis musculature Moderate Regionally restricted euxassay_007182_12
TS23: lung Moderate Regionally restricted euxassay_007182_12
TS23: bladder Moderate Regionally restricted euxassay_007182_12
TS23: midgut Moderate Regionally restricted euxassay_007182_12
TS23: tail Moderate Regionally restricted euxassay_007182_12

Specimen euxassay_007182_13: embryonic day 14.5 (more )
Structure Level Pattern Image Note
TS23: embryo mesenchyme Moderate Regionally restricted euxassay_007182_13
TS23: vertebral axis musculature Moderate Regionally restricted euxassay_007182_13
TS23: lung Moderate Regionally restricted euxassay_007182_13
TS23: bladder Moderate Regionally restricted euxassay_007182_13
TS23: midgut Moderate Regionally restricted euxassay_007182_13
TS23: tail Moderate Regionally restricted euxassay_007182_13

Specimen euxassay_007182_14: embryonic day 14.5 (more )
Structure Level Pattern Image Note
TS23: embryo mesenchyme Moderate Regionally restricted euxassay_007182_14
TS23: vertebral axis musculature Moderate Regionally restricted euxassay_007182_14
TS23: bladder Moderate Regionally restricted euxassay_007182_14
TS23: lung Moderate Regionally restricted euxassay_007182_14
TS23: midgut Moderate Regionally restricted euxassay_007182_14
TS23: tail Moderate Regionally restricted euxassay_007182_14
TS23: upper jaw incisor Strong Regionally restricted euxassay_007182_14

Specimen euxassay_007182_15: embryonic day 14.5 (more )
Structure Level Pattern Image Note
TS23: embryo mesenchyme Moderate Regionally restricted euxassay_007182_15
TS23: vertebral axis musculature Moderate Regionally restricted euxassay_007182_15
TS23: lung Moderate Regionally restricted euxassay_007182_15
TS23: metanephros Moderate Regionally restricted euxassay_007182_15
TS23: midgut Moderate Regionally restricted euxassay_007182_15
TS23: tail Moderate Regionally restricted euxassay_007182_15
TS23: upper jaw incisor Strong Regionally restricted euxassay_007182_15
TS23: lower jaw incisor Strong Regionally restricted euxassay_007182_15

Specimen euxassay_007182_16: embryonic day 14.5 (more )
Structure Level Pattern Image Note
TS23: embryo mesenchyme Moderate Regionally restricted euxassay_007182_16
TS23: vertebral axis musculature Moderate Regionally restricted euxassay_007182_16
TS23: metanephros Moderate Regionally restricted euxassay_007182_16
TS23: lung Moderate Regionally restricted euxassay_007182_16
TS23: midgut Moderate Regionally restricted euxassay_007182_16
TS23: tail Moderate Regionally restricted euxassay_007182_16
TS23: lower jaw incisor Strong Regionally restricted euxassay_007182_16
TS23: upper jaw incisor Strong Regionally restricted euxassay_007182_16

Specimen euxassay_007182_17: embryonic day 14.5 (more )
Structure Level Pattern Image Note
TS23: embryo mesenchyme Moderate Regionally restricted euxassay_007182_17
TS23: vertebral axis musculature Moderate Regionally restricted euxassay_007182_17
TS23: metanephros Moderate Regionally restricted euxassay_007182_17
TS23: lung Moderate Regionally restricted euxassay_007182_17
TS23: stomach Moderate Regionally restricted euxassay_007182_17
TS23: midgut Moderate Regionally restricted euxassay_007182_17

Specimen euxassay_007182_18: embryonic day 14.5 (more )
Structure Level Pattern Image Note
TS23: embryo mesenchyme Moderate Regionally restricted euxassay_007182_18
TS23: vertebral axis musculature Moderate Regionally restricted euxassay_007182_18
TS23: metanephros Moderate Regionally restricted euxassay_007182_18
TS23: lung Moderate Regionally restricted euxassay_007182_18
TS23: stomach Moderate Regionally restricted euxassay_007182_18

Specimen euxassay_007182_19: embryonic day 14.5 (more )
Structure Level Pattern Image Note
TS23: embryo mesenchyme Moderate Regionally restricted euxassay_007182_19
TS23: vertebral axis musculature Moderate Regionally restricted euxassay_007182_19
TS23: metanephros Moderate Regionally restricted euxassay_007182_19
TS23: lung Moderate Regionally restricted euxassay_007182_19
TS23: stomach Moderate Regionally restricted euxassay_007182_19

Specimen euxassay_007182_20: embryonic day 14.5 (more )
Structure Level Pattern Image Note
TS23: embryo mesenchyme Moderate Regionally restricted euxassay_007182_20
TS23: vertebral axis musculature Moderate Regionally restricted euxassay_007182_20
TS23: lung Moderate Regionally restricted euxassay_007182_20
TS23: stomach Moderate Regionally restricted euxassay_007182_20
TS23: vibrissa Moderate Regionally restricted euxassay_007182_20

Specimen euxassay_007182_21: embryonic day 14.5 (more )
Structure Level Pattern Image Note
TS23: embryo mesenchyme Moderate Regionally restricted euxassay_007182_21
TS23: vertebral axis musculature Moderate Regionally restricted euxassay_007182_21
TS23: lung Moderate Regionally restricted euxassay_007182_21
TS23: stomach Moderate Regionally restricted euxassay_007182_21
TS23: limb Moderate Regionally restricted euxassay_007182_21
TS23: vibrissa Moderate Regionally restricted euxassay_007182_21

Specimen euxassay_007182_22: embryonic day 14.5 (more )
Structure Level Pattern Image Note
TS23: embryo mesenchyme Moderate Regionally restricted euxassay_007182_22
TS23: vertebral axis musculature Moderate Regionally restricted euxassay_007182_22
TS23: lung Moderate Regionally restricted euxassay_007182_22
TS23: stomach Moderate Regionally restricted euxassay_007182_22
TS23: limb Moderate Regionally restricted euxassay_007182_22
TS23: vibrissa Moderate Regionally restricted euxassay_007182_22

Specimen euxassay_007182_23: embryonic day 14.5 (more )
Structure Level Pattern Image Note
TS23: embryo mesenchyme Moderate Regionally restricted euxassay_007182_23
TS23: vertebral axis musculature Moderate Regionally restricted euxassay_007182_23
TS23: lung Moderate Regionally restricted euxassay_007182_23
TS23: stomach Moderate Regionally restricted euxassay_007182_23
TS23: limb Moderate Regionally restricted euxassay_007182_23

Specimen euxassay_007182_24: embryonic day 14.5 (more )
Structure Level Pattern Image Note
TS23: embryo mesenchyme Moderate Regionally restricted euxassay_007182_24
TS23: vertebral axis musculature Moderate Regionally restricted euxassay_007182_24
TS23: lung Moderate Regionally restricted euxassay_007182_24
TS23: stomach Moderate Regionally restricted euxassay_007182_24
TS23: limb Moderate Regionally restricted euxassay_007182_24


Contributing Projects:
Mouse Genome Database (MGD), Gene Expression Database (GXD), Mouse Models of Human Cancer database (MMHCdb) (formerly Mouse Tumor Biology (MTB)), Gene Ontology (GO)
Citing These Resources
Funding Information
Warranty Disclaimer, Privacy Notice, Licensing, & Copyright
Send questions and comments to User Support.
last database update
04/14/2026
MGI 6.24
The Jackson Laboratory