About   Help   FAQ
Gene Expression Data
Assay Details
Assay
Reference: J:153498 Diez-Roux G, et al., A high-resolution anatomical atlas of the transcriptome in the mouse embryo. PLoS Biol. 2011;9(1):e1000582
Assay type: RNA in situ
MGI Accession ID: MGI:4824692
Gene symbol: Fam114a1
Gene name: family with sequence similarity 114, member A1
Probe: IMAGE clone 3025903
Probe preparation: Antisense labelled with digoxigenin RNA
Visualized with: Alkaline phosphatase
Assay notes: Cryosections of fresh frozen material were fixed in 4% paraformaldehyde for 20 min. before further processing. A tyramide-biotin/streptavidin amplification step was included in the in situ hybridization procedure.
Results
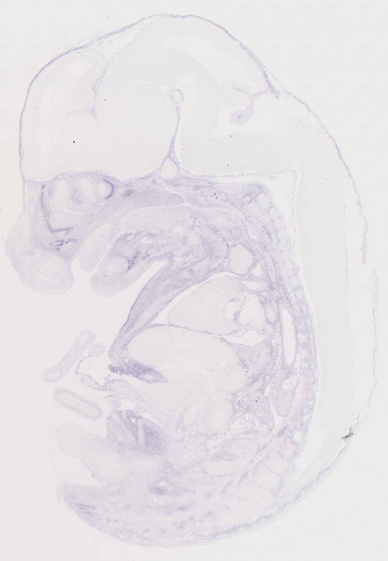
Specimen euxassay_002429_01: embryonic day 14.5 (more )
Structure Level Pattern Image Note
TS23: cranium Moderate Regionally restricted euxassay_002429_01

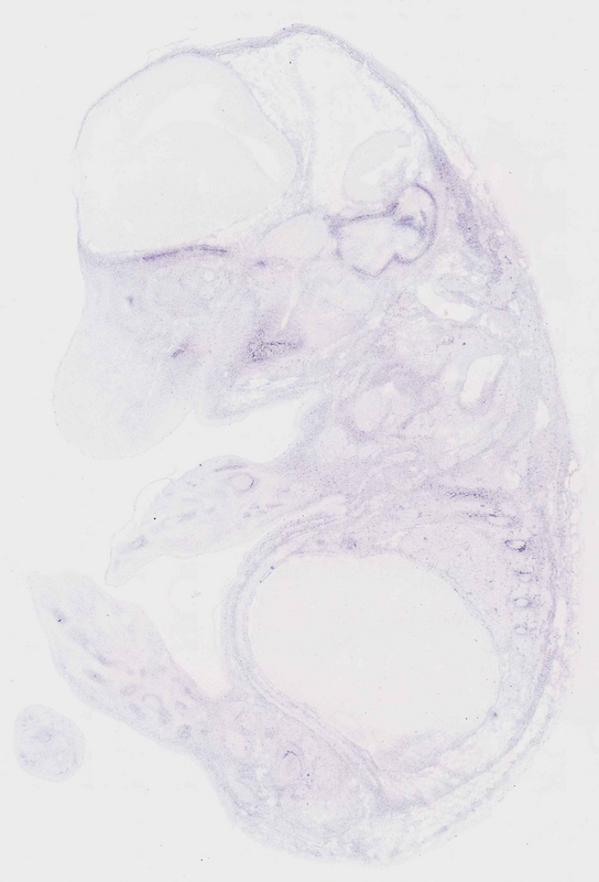
Specimen euxassay_002429_02: embryonic day 14.5 (more )
Structure Level Pattern Image Note
TS23: cranium Moderate Regionally restricted euxassay_002429_02

Specimen euxassay_002429_03: embryonic day 14.5 (more )
Structure Level Pattern Image Note
TS23: cranium Moderate Regionally restricted euxassay_002429_03
TS23: Meckel's cartilage Moderate Regionally restricted euxassay_002429_03

Specimen euxassay_002429_04: embryonic day 14.5 (more )
Structure Level Pattern Image Note
TS23: cranium Moderate Regionally restricted euxassay_002429_04
TS23: Meckel's cartilage Moderate Regionally restricted euxassay_002429_04

Specimen euxassay_002429_05: embryonic day 14.5 (more )
Structure Level Pattern Image Note
TS23: cranium Moderate Regionally restricted euxassay_002429_05
TS23: Meckel's cartilage Moderate Regionally restricted euxassay_002429_05

Specimen euxassay_002429_06: embryonic day 14.5 (more )
Structure Level Pattern Image Note
TS23: cranium Moderate Regionally restricted euxassay_002429_06
TS23: Meckel's cartilage Moderate Regionally restricted euxassay_002429_06

Specimen euxassay_002429_07: embryonic day 14.5 (more )
Structure Level Pattern Image Note
TS23: cranium Moderate Regionally restricted euxassay_002429_07
TS23: Meckel's cartilage Moderate Regionally restricted euxassay_002429_07

Specimen euxassay_002429_08: embryonic day 14.5 (more )
Structure Level Pattern Image Note
TS23: cranium Moderate Regionally restricted euxassay_002429_08
TS23: Meckel's cartilage Moderate Regionally restricted euxassay_002429_08

Specimen euxassay_002429_09: embryonic day 14.5 (more )
Structure Level Pattern Image Note
TS23: cranium Moderate Regionally restricted euxassay_002429_09

Specimen euxassay_002429_10: embryonic day 14.5 (more )
Structure Level Pattern Image Note
TS23: cranium Moderate Regionally restricted euxassay_002429_10

Specimen euxassay_002429_11: embryonic day 14.5 (more )
Structure Level Pattern Image Note
TS23: cranium Moderate Regionally restricted euxassay_002429_11

Specimen euxassay_002429_12: embryonic day 14.5 (more )
Structure Level Pattern Image Note
TS23: cranium Moderate Regionally restricted euxassay_002429_12

Specimen euxassay_002429_13: embryonic day 14.5 (more )
Structure Level Pattern Image Note
TS23: cranium Moderate Regionally restricted euxassay_002429_13

Specimen euxassay_002429_14: embryonic day 14.5 (more )
Structure Level Pattern Image Note
TS23: cranium Moderate Regionally restricted euxassay_002429_14

Specimen euxassay_002429_15: embryonic day 14.5 (more )
Structure Level Pattern Image Note
TS23: cranium Moderate Regionally restricted euxassay_002429_15
TS23: Meckel's cartilage Moderate Regionally restricted euxassay_002429_15

Specimen euxassay_002429_16: embryonic day 14.5 (more )
Structure Level Pattern Image Note
TS23: cranium Moderate Regionally restricted euxassay_002429_16
TS23: Meckel's cartilage Moderate Regionally restricted euxassay_002429_16

Specimen euxassay_002429_17: embryonic day 14.5 (more )
Structure Level Pattern Image Note
TS23: cranium Moderate Regionally restricted euxassay_002429_17
TS23: Meckel's cartilage Moderate Regionally restricted euxassay_002429_17

Specimen euxassay_002429_18: embryonic day 14.5 (more )
Structure Level Pattern Image Note
TS23: cranium Moderate Regionally restricted euxassay_002429_18
TS23: Meckel's cartilage Moderate Regionally restricted euxassay_002429_18

Specimen euxassay_002429_19: embryonic day 14.5 (more )
Structure Level Pattern Image Note
TS23: cranium Moderate Regionally restricted euxassay_002429_19
TS23: Meckel's cartilage Moderate Regionally restricted euxassay_002429_19

Specimen euxassay_002429_20: embryonic day 14.5 (more )
Structure Level Pattern Image Note
TS23: cranium Moderate Regionally restricted euxassay_002429_20
TS23: Meckel's cartilage Moderate Regionally restricted euxassay_002429_20

Specimen euxassay_002429_21: embryonic day 14.5 (more )
Structure Level Pattern Image Note
TS23: cranium Moderate Regionally restricted euxassay_002429_21
TS23: Meckel's cartilage Moderate Regionally restricted euxassay_002429_21

Specimen euxassay_002429_22: embryonic day 14.5 (more )
Structure Level Pattern Image Note
TS23: cranium Moderate Regionally restricted euxassay_002429_22

Specimen euxassay_002429_23: embryonic day 14.5 (more )
Structure Level Pattern Image Note
TS23: cranium Moderate Regionally restricted euxassay_002429_23


Contributing Projects:
Mouse Genome Database (MGD), Gene Expression Database (GXD), Mouse Models of Human Cancer database (MMHCdb) (formerly Mouse Tumor Biology (MTB)), Gene Ontology (GO)
Citing These Resources
Funding Information
Warranty Disclaimer, Privacy Notice, Licensing, & Copyright
Send questions and comments to User Support.
last database update
01/28/2026
MGI 6.24
The Jackson Laboratory