About   Help   FAQ
Gene Expression Data
Assay Details
Assay
Reference: J:153498 Diez-Roux G, et al., A high-resolution anatomical atlas of the transcriptome in the mouse embryo. PLoS Biol. 2011;9(1):e1000582
Assay type: RNA in situ
MGI Accession ID: MGI:4824583
Gene symbol: Epha5
Gene name: Eph receptor A5
Probe: T50368
Probe preparation: Antisense labelled with digoxigenin RNA
Visualized with: Alkaline phosphatase
Assay notes: Cryosections of fresh frozen material were fixed in 4% paraformaldehyde for 20 min. before further processing. A tyramide-biotin/streptavidin amplification step was included in the in situ hybridization procedure.
Results
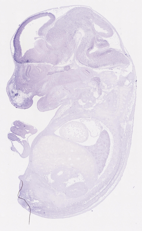
Specimen euxassay_018953_01: embryonic day 14.5 (more )
Structure Level Pattern Image Note
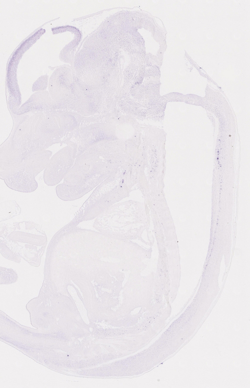
TS23: telencephalon mantle layer Weak Regionally restricted euxassay_018953_01

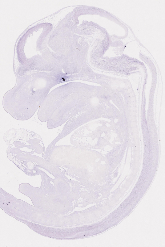
Specimen euxassay_018953_02: embryonic day 14.5 (more )
Structure Level Pattern Image Note
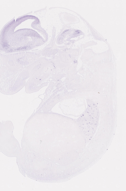
TS23: cerebral cortex mantle layer Weak Regionally restricted euxassay_018953_02
TS23: telencephalon mantle layer Weak Regionally restricted euxassay_018953_02

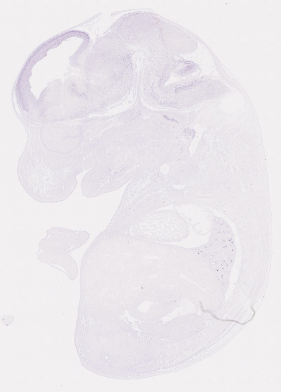
Specimen euxassay_018953_03: embryonic day 14.5 (more )
Structure Level Pattern Image Note
TS23: telencephalon mantle layer Weak Regionally restricted euxassay_018953_03
TS23: cerebral cortex mantle layer Weak Regionally restricted euxassay_018953_03

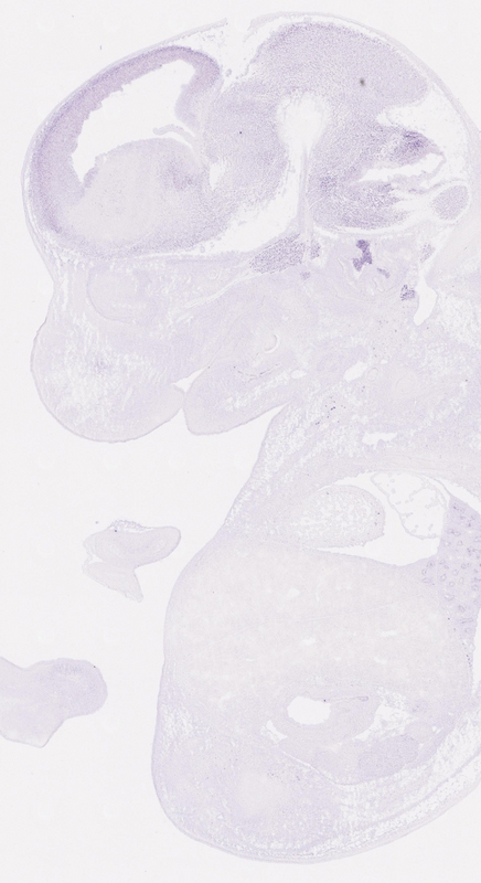
Specimen euxassay_018953_04: embryonic day 14.5 (more )
Structure Level Pattern Image Note
TS23: cerebral cortex mantle layer Weak Regionally restricted euxassay_018953_04
TS23: telencephalon mantle layer Weak Regionally restricted euxassay_018953_04

Specimen euxassay_018953_05: embryonic day 14.5 (more )
Structure Level Pattern Image Note
TS23: trigeminal ganglion Weak Regionally restricted euxassay_018953_05
TS23: facial ganglion Weak Regionally restricted euxassay_018953_05
TS23: rest of cerebellum mantle layer Weak Regionally restricted euxassay_018953_05
TS23: telencephalon mantle layer Weak Regionally restricted euxassay_018953_05
TS23: cerebral cortex mantle layer Weak Regionally restricted euxassay_018953_05

Specimen euxassay_018953_06: embryonic day 14.5 (more )
Structure Level Pattern Image Note
TS23: trigeminal ganglion Weak Regionally restricted euxassay_018953_06
TS23: facial ganglion Weak Regionally restricted euxassay_018953_06
TS23: rest of cerebellum mantle layer Weak Regionally restricted euxassay_018953_06
TS23: cerebral cortex mantle layer Weak Regionally restricted euxassay_018953_06
TS23: telencephalon mantle layer Weak Regionally restricted euxassay_018953_06

Specimen euxassay_018953_07: embryonic day 14.5 (more )
Structure Level Pattern Image Note
TS23: trigeminal ganglion Weak Regionally restricted euxassay_018953_07
TS23: vestibulo-cochlear ganglion Moderate Regionally restricted euxassay_018953_07
TS23: glossopharyngeal ganglion Weak Regionally restricted euxassay_018953_07
TS23: rest of cerebellum mantle layer Weak Regionally restricted euxassay_018953_07
TS23: cerebral cortex mantle layer Weak Regionally restricted euxassay_018953_07

Specimen euxassay_018953_08: embryonic day 14.5 (more )
Structure Level Pattern Image Note
TS23: vestibulo-cochlear ganglion Weak Regionally restricted euxassay_018953_08
TS23: glossopharyngeal ganglion Weak Regionally restricted euxassay_018953_08
TS23: cerebral cortex mantle layer Weak Regionally restricted euxassay_018953_08
TS23: rest of cerebellum mantle layer Weak Regionally restricted euxassay_018953_08

Specimen euxassay_018953_09: embryonic day 14.5 (more )
Structure Level Pattern Image Note
TS23: trigeminal ganglion Weak Regionally restricted euxassay_018953_09
TS23: vagus ganglion Weak Regionally restricted euxassay_018953_09
TS23: vestibulo-cochlear ganglion Weak Regionally restricted euxassay_018953_09
TS23: cerebral cortex mantle layer Weak Regionally restricted euxassay_018953_09

Specimen euxassay_018953_10: embryonic day 14.5 (more )
Structure Level Pattern Image Note
TS23: cerebral cortex mantle layer Weak Regionally restricted euxassay_018953_10

Specimen euxassay_018953_11: embryonic day 14.5 (more )
Structure Level Pattern Image Note
TS23: cerebral cortex mantle layer Weak Regionally restricted euxassay_018953_11
TS23: pons mantle layer Weak Regionally restricted euxassay_018953_11

Specimen euxassay_018953_12: embryonic day 14.5 (more )
Structure Level Pattern Image Note
TS23: cerebral cortex mantle layer Weak Regionally restricted euxassay_018953_12
TS23: pons mantle layer Weak Regionally restricted euxassay_018953_12

Specimen euxassay_018953_13: embryonic day 14.5 (more )
Structure Level Pattern Image Note
TS23: rest of cerebellum mantle layer Weak Regionally restricted euxassay_018953_13

Specimen euxassay_018953_14: embryonic day 14.5 (more )
Structure Level Pattern Image Note
TS23: cerebral cortex mantle layer Weak Regionally restricted euxassay_018953_14

Specimen euxassay_018953_15: embryonic day 14.5 (more )
Structure Level Pattern Image Note
TS23: cerebral cortex mantle layer Weak Regionally restricted euxassay_018953_15

Specimen euxassay_018953_16: embryonic day 14.5 (more )
Structure Level Pattern Image Note
TS23: cerebral cortex mantle layer Weak Regionally restricted euxassay_018953_16

Specimen euxassay_018953_17: embryonic day 14.5 (more )
Structure Level Pattern Image Note
TS23: cerebral cortex mantle layer Weak Regionally restricted euxassay_018953_17

Specimen euxassay_018953_18: embryonic day 14.5 (more )
Structure Level Pattern Image Note
TS23: vestibulo-cochlear ganglion Weak Regionally restricted euxassay_018953_18
TS23: rest of cerebellum mantle layer Weak Regionally restricted euxassay_018953_18
TS23: telencephalon mantle layer Weak Regionally restricted euxassay_018953_18
TS23: cerebral cortex mantle layer Weak Regionally restricted euxassay_018953_18

Specimen euxassay_018953_19: embryonic day 14.5 (more )
Structure Level Pattern Image Note
TS23: vestibulo-cochlear ganglion Weak Regionally restricted euxassay_018953_19
TS23: rest of cerebellum mantle layer Weak Regionally restricted euxassay_018953_19
TS23: telencephalon mantle layer Weak Regionally restricted euxassay_018953_19

Specimen euxassay_018953_20: embryonic day 14.5 (more )
Structure Level Pattern Image Note
TS23: glossopharyngeal ganglion Weak Regionally restricted euxassay_018953_20
TS23: telencephalon mantle layer Weak Regionally restricted euxassay_018953_20
TS23: rest of cerebellum mantle layer Weak Regionally restricted euxassay_018953_20

Specimen euxassay_018953_21: embryonic day 14.5 (more )
Structure Level Pattern Image Note
TS23: trigeminal ganglion Weak Regionally restricted euxassay_018953_21
TS23: facial ganglion Weak Regionally restricted euxassay_018953_21
TS23: telencephalon mantle layer Weak Regionally restricted euxassay_018953_21

Specimen euxassay_018953_22: embryonic day 14.5 (more )
Structure Level Pattern Image Note
TS23: telencephalon mantle layer Weak Regionally restricted euxassay_018953_22

Specimen euxassay_018953_23: embryonic day 14.5 (more )
Structure Level Pattern Image Note
TS23: telencephalon mantle layer Weak Regionally restricted euxassay_018953_23

Specimen euxassay_018953_24: embryonic day 14.5 (more )
Structure Level Pattern Image Note
TS23: telencephalon mantle layer Weak Regionally restricted euxassay_018953_24


Contributing Projects:
Mouse Genome Database (MGD), Gene Expression Database (GXD), Mouse Models of Human Cancer database (MMHCdb) (formerly Mouse Tumor Biology (MTB)), Gene Ontology (GO)
Citing These Resources
Funding Information
Warranty Disclaimer, Privacy Notice, Licensing, & Copyright
Send questions and comments to User Support.
last database update
12/30/2025
MGI 6.24
The Jackson Laboratory