About   Help   FAQ
Gene Expression Data
Assay Details
Assay
Reference: J:153498 Diez-Roux G, et al., A high-resolution anatomical atlas of the transcriptome in the mouse embryo. PLoS Biol. 2011;9(1):e1000582
Assay type: RNA in situ
MGI Accession ID: MGI:4824411
Gene symbol: Dtymk
Gene name: deoxythymidylate kinase
Probe: MGC clone 78134
Probe preparation: Antisense labelled with digoxigenin RNA
Visualized with: Alkaline phosphatase
Assay notes: Cryosections of fresh frozen material were fixed in 4% paraformaldehyde for 20 min. before further processing. A tyramide-biotin/streptavidin amplification step was included in the in situ hybridization procedure.
Results
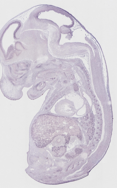
Specimen euxassay_001243_02: embryonic day 14.5 (more )
Structure Level Pattern Image Note
TS23: telencephalon ventricular layer Moderate Uniform euxassay_001243_02
TS23: chondrocranium Weak Regionally restricted euxassay_001243_02

Specimen euxassay_001243_03: embryonic day 14.5 (more )
Structure Level Pattern Image Note
TS23: telencephalon ventricular layer Moderate Uniform euxassay_001243_03
TS23: chondrocranium Weak Regionally restricted euxassay_001243_03

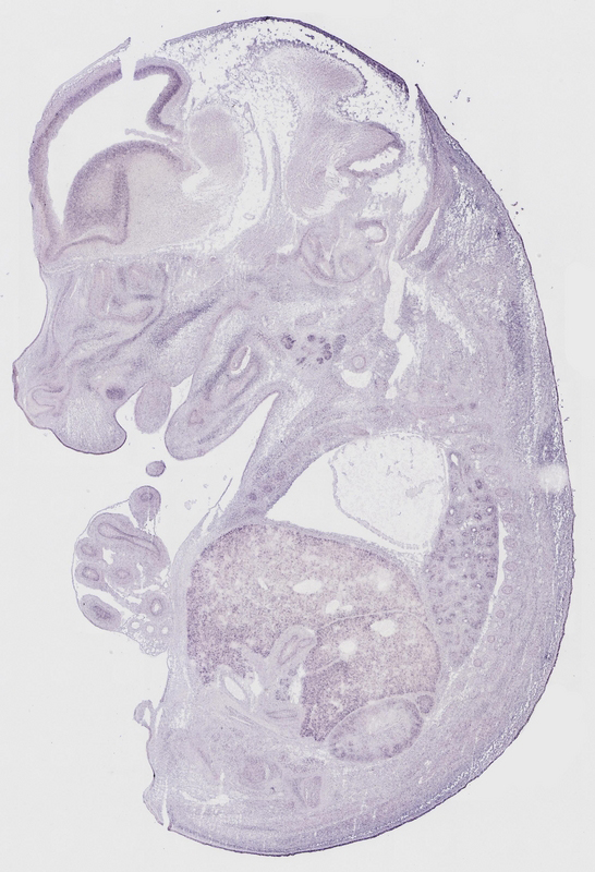
Specimen euxassay_001243_04: embryonic day 14.5 (more )
Structure Level Pattern Image Note
TS23: telencephalon ventricular layer Moderate Uniform euxassay_001243_04
TS23: chondrocranium Moderate Regionally restricted euxassay_001243_04

Specimen euxassay_001243_05: embryonic day 14.5 (more )
Structure Level Pattern Image Note
TS23: telencephalon ventricular layer Moderate Uniform euxassay_001243_05
TS23: chondrocranium Moderate Regionally restricted euxassay_001243_05

Specimen euxassay_001243_06: embryonic day 14.5 (more )
Structure Level Pattern Image Note
TS23: telencephalon ventricular layer Moderate Uniform euxassay_001243_06
TS23: chondrocranium Moderate Regionally restricted euxassay_001243_06

Specimen euxassay_001243_07: embryonic day 14.5 (more )
Structure Level Pattern Image Note
TS23: telencephalon ventricular layer Moderate Uniform euxassay_001243_07
TS23: chondrocranium Moderate Regionally restricted euxassay_001243_07

Specimen euxassay_001243_08: embryonic day 14.5 (more )
Structure Level Pattern Image Note
TS23: telencephalon ventricular layer Moderate Uniform euxassay_001243_08
TS23: chondrocranium Weak Regionally restricted euxassay_001243_08
TS23: submandibular gland primordium Moderate Regionally restricted euxassay_001243_08
TS23: lower jaw molar Weak Regionally restricted euxassay_001243_08
TS23: upper jaw molar Weak Regionally restricted euxassay_001243_08

Specimen euxassay_001243_09: embryonic day 14.5 (more )
Structure Level Pattern Image Note
TS23: telencephalon ventricular layer Moderate Uniform euxassay_001243_09
TS23: chondrocranium Weak Regionally restricted euxassay_001243_09
TS23: submandibular gland primordium Moderate Regionally restricted euxassay_001243_09

Specimen euxassay_001243_10: embryonic day 14.5 (more )
Structure Level Pattern Image Note
TS23: telencephalon ventricular layer Moderate Uniform euxassay_001243_10
TS23: submandibular gland primordium Moderate Regionally restricted euxassay_001243_10
TS23: upper jaw molar Weak Regionally restricted euxassay_001243_10
TS23: lower jaw molar Weak Regionally restricted euxassay_001243_10
TS23: pancreas Weak Regionally restricted euxassay_001243_10

Specimen euxassay_001243_11: embryonic day 14.5 (more )
Structure Level Pattern Image Note
TS23: telencephalon ventricular layer Moderate Uniform euxassay_001243_11
TS23: submandibular gland primordium Moderate Regionally restricted euxassay_001243_11
TS23: upper jaw molar Weak Regionally restricted euxassay_001243_11
TS23: lower jaw molar Weak Regionally restricted euxassay_001243_11
TS23: pancreas Weak Regionally restricted euxassay_001243_11

Specimen euxassay_001243_12: embryonic day 14.5 (more )
Structure Level Pattern Image Note
TS23: telencephalon ventricular layer Moderate Uniform euxassay_001243_12
TS23: thymus primordium Weak Uniform euxassay_001243_12
TS23: pancreas Weak Regionally restricted euxassay_001243_12

Specimen euxassay_001243_13: embryonic day 14.5 (more )
Structure Level Pattern Image Note
TS23: telencephalon ventricular layer Moderate Uniform euxassay_001243_13
TS23: thymus primordium Weak Uniform euxassay_001243_13
TS23: lower jaw incisor Weak Regionally restricted euxassay_001243_13
TS23: pancreas Weak Regionally restricted euxassay_001243_13

Specimen euxassay_001243_14: embryonic day 14.5 (more )
Structure Level Pattern Image Note
TS23: telencephalon ventricular layer Moderate Uniform euxassay_001243_14
TS23: thymus primordium Weak Uniform euxassay_001243_14
TS23: lower jaw incisor Weak Regionally restricted euxassay_001243_14
TS23: upper jaw incisor Weak Regionally restricted euxassay_001243_14
TS23: pancreas Weak Regionally restricted euxassay_001243_14

Specimen euxassay_001243_15: embryonic day 14.5 (more )
Structure Level Pattern Image Note
TS23: telencephalon ventricular layer Moderate Uniform euxassay_001243_15
TS23: thymus primordium Weak Uniform euxassay_001243_15
TS23: lower jaw incisor Weak Regionally restricted euxassay_001243_15
TS23: upper jaw incisor Weak Regionally restricted euxassay_001243_15

Specimen euxassay_001243_16: embryonic day 14.5 (more )
Structure Level Pattern Image Note
TS23: telencephalon ventricular layer Moderate Uniform euxassay_001243_16
TS23: thymus primordium Weak Uniform euxassay_001243_16
TS23: lower jaw incisor Weak Regionally restricted euxassay_001243_16
TS23: upper jaw incisor Weak Regionally restricted euxassay_001243_16

Specimen euxassay_001243_17: embryonic day 14.5 (more )
Structure Level Pattern Image Note
TS23: telencephalon ventricular layer Moderate Uniform euxassay_001243_17
TS23: thymus primordium Weak Uniform euxassay_001243_17
TS23: pancreas Weak Regionally restricted euxassay_001243_17

Specimen euxassay_001243_18: embryonic day 14.5 (more )
Structure Level Pattern Image Note
TS23: telencephalon ventricular layer Moderate Uniform euxassay_001243_18
TS23: submandibular gland primordium Moderate Regionally restricted euxassay_001243_18
TS23: lower jaw incisor Weak Regionally restricted euxassay_001243_18
TS23: upper jaw incisor Weak Regionally restricted euxassay_001243_18
TS23: pancreas Weak Regionally restricted euxassay_001243_18

Specimen euxassay_001243_19: embryonic day 14.5 (more )
Structure Level Pattern Image Note
TS23: telencephalon ventricular layer Moderate Uniform euxassay_001243_19
TS23: submandibular gland primordium Moderate Regionally restricted euxassay_001243_19
TS23: lower jaw incisor Weak Regionally restricted euxassay_001243_19
TS23: upper jaw incisor Weak Regionally restricted euxassay_001243_19
TS23: pancreas Weak Regionally restricted euxassay_001243_19

Specimen euxassay_001243_20: embryonic day 14.5 (more )
Structure Level Pattern Image Note
TS23: telencephalon ventricular layer Moderate Uniform euxassay_001243_20
TS23: submandibular gland primordium Moderate Regionally restricted euxassay_001243_20
TS23: upper jaw incisor Weak Regionally restricted euxassay_001243_20
TS23: upper jaw molar Weak Regionally restricted euxassay_001243_20
TS23: lower jaw molar Weak Regionally restricted euxassay_001243_20

Specimen euxassay_001243_21: embryonic day 14.5 (more )
Structure Level Pattern Image Note
TS23: telencephalon ventricular layer Moderate Uniform euxassay_001243_21
TS23: chondrocranium Weak Regionally restricted euxassay_001243_21
TS23: submandibular gland primordium Moderate Regionally restricted euxassay_001243_21

Specimen euxassay_001243_22: embryonic day 14.5 (more )
Structure Level Pattern Image Note
TS23: telencephalon ventricular layer Moderate Uniform euxassay_001243_22
TS23: chondrocranium Weak Regionally restricted euxassay_001243_22
TS23: submandibular gland primordium Moderate Regionally restricted euxassay_001243_22
TS23: upper jaw molar Weak Regionally restricted euxassay_001243_22
TS23: lower jaw molar Weak Regionally restricted euxassay_001243_22

Specimen euxassay_001243_23: embryonic day 14.5 (more )
Structure Level Pattern Image Note
TS23: telencephalon ventricular layer Moderate Uniform euxassay_001243_23
TS23: chondrocranium Weak Regionally restricted euxassay_001243_23

Specimen euxassay_001243_24: embryonic day 14.5 (more )
Structure Level Pattern Image Note
TS23: telencephalon ventricular layer Moderate Uniform euxassay_001243_24
TS23: chondrocranium Moderate Regionally restricted euxassay_001243_24


Contributing Projects:
Mouse Genome Database (MGD), Gene Expression Database (GXD), Mouse Models of Human Cancer database (MMHCdb) (formerly Mouse Tumor Biology (MTB)), Gene Ontology (GO)
Citing These Resources
Funding Information
Warranty Disclaimer, Privacy Notice, Licensing, & Copyright
Send questions and comments to User Support.
last database update
01/28/2026
MGI 6.24
The Jackson Laboratory