About   Help   FAQ
Gene Expression Data
Assay Details
Assay
Reference: J:153498 Diez-Roux G, et al., A high-resolution anatomical atlas of the transcriptome in the mouse embryo. PLoS Biol. 2011;9(1):e1000582
Assay type: RNA in situ
MGI Accession ID: MGI:4824366
Gene symbol: Dnmt3b
Gene name: DNA methyltransferase 3B
Probe: IMAGE clone 891000
Probe preparation: Antisense labelled with digoxigenin RNA
Visualized with: Alkaline phosphatase
Assay notes: Cryosections of fresh frozen material were fixed in 4% paraformaldehyde for 20 min. before further processing. A tyramide-biotin/streptavidin amplification step was included in the in situ hybridization procedure.
Results
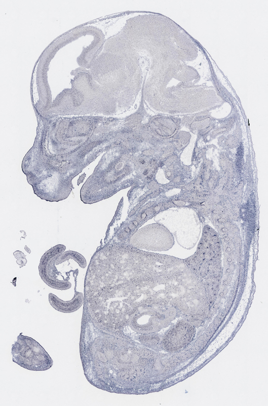
Specimen euxassay_000914_01: embryonic day 14.5 (more )
Note: Additional information for this specimen was included in the Eurexpress data submission file.
Structure Level Pattern Image Note
TS23: telencephalon Moderate Uniform euxassay_000914_01 neuroepithelium

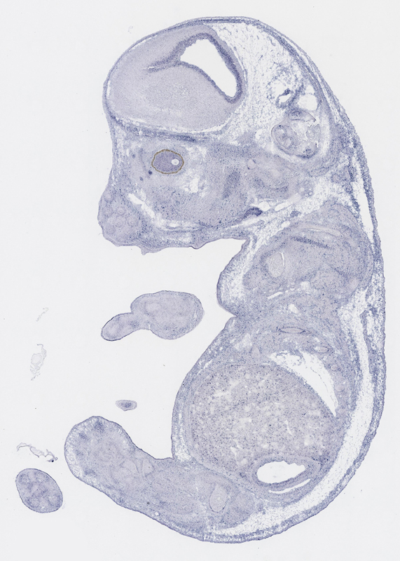
Specimen euxassay_000914_02: embryonic day 14.5 (more )
Note: Additional information for this specimen was included in the Eurexpress data submission file.
Structure Level Pattern Image Note
TS23: telencephalon Moderate Uniform euxassay_000914_02 neuroepithelium

Specimen euxassay_000914_03: embryonic day 14.5 (more )
Note: Additional information for this specimen was included in the Eurexpress data submission file.
Structure Level Pattern Image Note
TS23: telencephalon Moderate Uniform euxassay_000914_03 neuroepithelium

Specimen euxassay_000914_04: embryonic day 14.5 (more )
Note: Additional information for this specimen was included in the Eurexpress data submission file.
Structure Level Pattern Image Note
TS23: telencephalon Moderate Uniform euxassay_000914_04 neuroepithelium
TS23: metencephalon Moderate Uniform euxassay_000914_04 neuroepithelium

Specimen euxassay_000914_05: embryonic day 14.5 (more )
Note: Additional information for this specimen was included in the Eurexpress data submission file.
Structure Level Pattern Image Note
TS23: telencephalon Moderate Uniform euxassay_000914_05 neuroepithelium
TS23: metencephalon Moderate Uniform euxassay_000914_05 neuroepithelium

Specimen euxassay_000914_06: embryonic day 14.5 (more )
Note: Additional information for this specimen was included in the Eurexpress data submission file.
Structure Level Pattern Image Note
TS23: telencephalon Moderate Uniform euxassay_000914_06 neuroepithelium
TS23: metencephalon Weak Uniform euxassay_000914_06 neuroepithelium
TS23: lung Weak Spotted euxassay_000914_06

Specimen euxassay_000914_07: embryonic day 14.5 (more )
Note: Additional information for this specimen was included in the Eurexpress data submission file.
Structure Level Pattern Image Note
TS23: lung Weak Spotted euxassay_000914_07
TS23: telencephalon Weak Uniform euxassay_000914_07 neuroepithelium
TS23: metencephalon Weak Uniform euxassay_000914_07 neuroepithelium

Specimen euxassay_000914_08: embryonic day 14.5 (more )
Note: Additional information for this specimen was included in the Eurexpress data submission file.
Structure Level Pattern Image Note
TS23: telencephalon Moderate Uniform euxassay_000914_08 neuroepithelium
TS23: metencephalon Weak Uniform euxassay_000914_08 neuroepithelium
TS23: lung Moderate Spotted euxassay_000914_08
TS23: testis Moderate Uniform euxassay_000914_08
TS23: renal calyx Moderate Uniform euxassay_000914_08

Specimen euxassay_000914_09: embryonic day 14.5 (more )
Note: Additional information for this specimen was included in the Eurexpress data submission file.
Structure Level Pattern Image Note
TS23: telencephalon Weak Uniform euxassay_000914_09 neuroepithelium
TS23: lung Moderate Spotted euxassay_000914_09
TS23: renal calyx Moderate Uniform euxassay_000914_09

Specimen euxassay_000914_10: embryonic day 14.5 (more )
Note: Additional information for this specimen was included in the Eurexpress data submission file.
Structure Level Pattern Image Note
TS23: lung Moderate Spotted euxassay_000914_10
TS23: testis Weak Uniform euxassay_000914_10
TS23: telencephalon Weak Uniform euxassay_000914_10 neuroepithelium
TS23: midbrain Weak Uniform euxassay_000914_10 posterior midbrain
TS23: renal calyx Moderate Uniform euxassay_000914_10

Specimen euxassay_000914_11: embryonic day 14.5 (more )
Note: Additional information for this specimen was included in the Eurexpress data submission file.
Structure Level Pattern Image Note
TS23: telencephalon Weak Uniform euxassay_000914_11 neuroepithelium
TS23: midbrain Moderate Uniform euxassay_000914_11
TS23: testis Moderate Uniform euxassay_000914_11
TS23: lung Moderate Spotted euxassay_000914_11
TS23: renal calyx Moderate Uniform euxassay_000914_11

Specimen euxassay_000914_12: embryonic day 14.5 (more )
Note: Additional information for this specimen was included in the Eurexpress data submission file.
Structure Level Pattern Image Note
TS23: telencephalon Moderate Uniform euxassay_000914_12 neuroepithelium
TS23: midbrain Moderate Uniform euxassay_000914_12 neuroepithelium
TS23: testis Moderate Uniform euxassay_000914_12
TS23: lung Moderate Spotted euxassay_000914_12

Specimen euxassay_000914_13: embryonic day 14.5 (more )
Note: Additional information for this specimen was included in the Eurexpress data submission file.
Structure Level Pattern Image Note
TS23: midbrain Moderate Uniform euxassay_000914_13 neuroepithelium
TS23: lung Moderate Spotted euxassay_000914_13
TS23: thymus primordium Moderate Uniform euxassay_000914_13

Specimen euxassay_000914_14: embryonic day 14.5 (more )
Note: Additional information for this specimen was included in the Eurexpress data submission file.
Structure Level Pattern Image Note
TS23: telencephalon Weak Uniform euxassay_000914_14 neuroepithelium
TS23: midbrain Moderate Uniform euxassay_000914_14 neuroepithelium
TS23: thymus primordium Moderate Uniform euxassay_000914_14

Specimen euxassay_000914_15: embryonic day 14.5 (more )
Note: Additional information for this specimen was included in the Eurexpress data submission file.
Structure Level Pattern Image Note
TS23: telencephalon Weak Uniform euxassay_000914_15 neuroepithelium
TS23: midbrain Moderate Uniform euxassay_000914_15 posterior neuroepithelium
TS23: lung Moderate Uniform euxassay_000914_15
TS23: thymus primordium Moderate Uniform euxassay_000914_15

Specimen euxassay_000914_16: embryonic day 14.5 (more )
Note: Additional information for this specimen was included in the Eurexpress data submission file.
Structure Level Pattern Image Note
TS23: lung Moderate Uniform euxassay_000914_16
TS23: telencephalon Weak Uniform euxassay_000914_16 neuroepithelium
TS23: midbrain Moderate Uniform euxassay_000914_16 posterior neuroepithelium
TS23: thymus primordium Moderate Uniform euxassay_000914_16

Specimen euxassay_000914_17: embryonic day 14.5 (more )
Note: Additional information for this specimen was included in the Eurexpress data submission file.
Structure Level Pattern Image Note
TS23: telencephalon Moderate Uniform euxassay_000914_17 neuroepithelium
TS23: midbrain Moderate Uniform euxassay_000914_17 posterior neuroepithelium
TS23: lung Weak Spotted euxassay_000914_17
TS23: thymus primordium Moderate Uniform euxassay_000914_17

Specimen euxassay_000914_18: embryonic day 14.5 (more )
Note: Additional information for this specimen was included in the Eurexpress data submission file.
Structure Level Pattern Image Note
TS23: lung Weak Spotted euxassay_000914_18
TS23: telencephalon Moderate Uniform euxassay_000914_18 neuroepithelium
TS23: midbrain Moderate Uniform euxassay_000914_18 posterior neuroepithelium
TS23: renal calyx Moderate Uniform euxassay_000914_18

Specimen euxassay_000914_19: embryonic day 14.5 (more )
Note: Additional information for this specimen was included in the Eurexpress data submission file.
Structure Level Pattern Image Note
TS23: telencephalon Weak Uniform euxassay_000914_19 neuroepithelium
TS23: lung Moderate Spotted euxassay_000914_19
TS23: renal calyx Moderate Uniform euxassay_000914_19

Specimen euxassay_000914_20: embryonic day 14.5 (more )
Note: Additional information for this specimen was included in the Eurexpress data submission file.
Structure Level Pattern Image Note
TS23: lung Moderate Spotted euxassay_000914_20
TS23: telencephalon Weak Uniform euxassay_000914_20 neuroepithelium
TS23: metencephalon Weak Uniform euxassay_000914_20 neuroepithelium
TS23: renal calyx Moderate Uniform euxassay_000914_20

Specimen euxassay_000914_21: embryonic day 14.5 (more )
Note: Additional information for this specimen was included in the Eurexpress data submission file.
Structure Level Pattern Image Note
TS23: telencephalon Moderate Uniform euxassay_000914_21 neuroepithelium
TS23: metencephalon Moderate Uniform euxassay_000914_21 neuroepithelium
TS23: lung Weak Spotted euxassay_000914_21
TS23: renal calyx Moderate Uniform euxassay_000914_21

Specimen euxassay_000914_22: embryonic day 14.5 (more )
Note: Additional information for this specimen was included in the Eurexpress data submission file.
Structure Level Pattern Image Note
TS23: lung Weak Spotted euxassay_000914_22
TS23: telencephalon Weak Uniform euxassay_000914_22 neuroepithelium
TS23: metencephalon Weak Uniform euxassay_000914_22 neuroepithelium
TS23: renal calyx Moderate Uniform euxassay_000914_22

Specimen euxassay_000914_23: embryonic day 14.5 (more )
Note: Additional information for this specimen was included in the Eurexpress data submission file.
Structure Level Pattern Image Note
TS23: telencephalon Weak Uniform euxassay_000914_23 neuroepithelium
TS23: metencephalon Weak Uniform euxassay_000914_23 neuroepithelium
TS23: lung Weak Spotted euxassay_000914_23
TS23: renal calyx Moderate Uniform euxassay_000914_23

Specimen euxassay_000914_24: embryonic day 14.5 (more )
Note: Additional information for this specimen was included in the Eurexpress data submission file.
Structure Level Pattern Image Note
TS23: lung Weak Spotted euxassay_000914_24
TS23: telencephalon Weak Uniform euxassay_000914_24 neuroepithelium


Contributing Projects:
Mouse Genome Database (MGD), Gene Expression Database (GXD), Mouse Models of Human Cancer database (MMHCdb) (formerly Mouse Tumor Biology (MTB)), Gene Ontology (GO)
Citing These Resources
Funding Information
Warranty Disclaimer, Privacy Notice, Licensing, & Copyright
Send questions and comments to User Support.
last database update
01/06/2026
MGI 6.24
The Jackson Laboratory