About   Help   FAQ
Gene Expression Data
Assay Details
Assay
Reference: J:153498 Diez-Roux G, et al., A high-resolution anatomical atlas of the transcriptome in the mouse embryo. PLoS Biol. 2011;9(1):e1000582
Assay type: RNA in situ
MGI Accession ID: MGI:4824310
Gene symbol: Diras1
Gene name: DIRAS family, GTP-binding RAS-like 1
Probe: MGC clone 66714
Probe preparation: Antisense labelled with digoxigenin RNA
Visualized with: Alkaline phosphatase
Assay notes: Cryosections of fresh frozen material were fixed in 4% paraformaldehyde for 20 min. before further processing. A tyramide-biotin/streptavidin amplification step was included in the in situ hybridization procedure.
Results
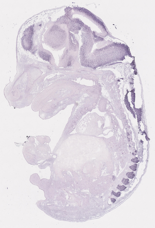
Specimen euxassay_007464_01: embryonic day 14.5 (more )
Structure Level Pattern Image Note
TS23: neural retina Moderate Regionally restricted euxassay_007464_01
TS23: telencephalon mantle layer Moderate Regionally restricted euxassay_007464_01

Specimen euxassay_007464_02: embryonic day 14.5 (more )
Structure Level Pattern Image Note
TS23: neural retina Moderate Regionally restricted euxassay_007464_02
TS23: telencephalon mantle layer Moderate Regionally restricted euxassay_007464_02

Specimen euxassay_007464_03: embryonic day 14.5 (more )
Structure Level Pattern Image Note
TS23: neural retina Moderate Regionally restricted euxassay_007464_03
TS23: telencephalon mantle layer Moderate Regionally restricted euxassay_007464_03

Specimen euxassay_007464_04: embryonic day 14.5 (more )
Structure Level Pattern Image Note
TS23: trigeminal ganglion Strong Regionally restricted euxassay_007464_04
TS23: telencephalon mantle layer Moderate Regionally restricted euxassay_007464_04

Specimen euxassay_007464_05: embryonic day 14.5 (more )
Structure Level Pattern Image Note
TS23: trigeminal ganglion Strong Regionally restricted euxassay_007464_05
TS23: facial ganglion Strong Regionally restricted euxassay_007464_05
TS23: telencephalon mantle layer Moderate Regionally restricted euxassay_007464_05

Specimen euxassay_007464_06: embryonic day 14.5 (more )
Structure Level Pattern Image Note
TS23: trigeminal ganglion Strong Regionally restricted euxassay_007464_06
TS23: facial ganglion Strong Regionally restricted euxassay_007464_06
TS23: hindbrain Moderate Regionally restricted euxassay_007464_06
TS23: telencephalon mantle layer Moderate Regionally restricted euxassay_007464_06

Specimen euxassay_007464_07: embryonic day 14.5 (more )
Structure Level Pattern Image Note
TS23: trigeminal ganglion Strong Regionally restricted euxassay_007464_07
TS23: olfactory cortex marginal layer Moderate Regionally restricted euxassay_007464_07
TS23: telencephalon mantle layer Moderate Regionally restricted euxassay_007464_07
TS23: hindbrain Moderate Regionally restricted euxassay_007464_07
TS23: midbrain Moderate Regionally restricted euxassay_007464_07
TS23: olfactory epithelium Moderate Regionally restricted euxassay_007464_07

Specimen euxassay_007464_08: embryonic day 14.5 (more )
Structure Level Pattern Image Note
TS23: trigeminal ganglion Strong Regionally restricted euxassay_007464_08
TS23: glossopharyngeal ganglion Strong Regionally restricted euxassay_007464_08
TS23: vestibulo-cochlear ganglion Moderate Regionally restricted euxassay_007464_08
TS23: olfactory cortex marginal layer Moderate Regionally restricted euxassay_007464_08
TS23: hindbrain Moderate Regionally restricted euxassay_007464_08
TS23: midbrain Moderate Regionally restricted euxassay_007464_08
TS23: telencephalon mantle layer Moderate Regionally restricted euxassay_007464_08
TS23: diencephalon lateral wall mantle layer Moderate Regionally restricted euxassay_007464_08
TS23: hypothalamus mantle layer Moderate Regionally restricted euxassay_007464_08
TS23: olfactory epithelium Moderate Regionally restricted euxassay_007464_08

Specimen euxassay_007464_09: embryonic day 14.5 (more )
Structure Level Pattern Image Note
TS23: dorsal root ganglion Strong Regionally restricted euxassay_007464_09
TS23: vestibulo-cochlear ganglion Moderate Regionally restricted euxassay_007464_09
TS23: trigeminal ganglion Strong Regionally restricted euxassay_007464_09
TS23: glossopharyngeal ganglion Strong Regionally restricted euxassay_007464_09
TS23: midbrain Moderate Regionally restricted euxassay_007464_09
TS23: hindbrain Moderate Regionally restricted euxassay_007464_09
TS23: olfactory cortex marginal layer Moderate Regionally restricted euxassay_007464_09
TS23: telencephalon mantle layer Moderate Regionally restricted euxassay_007464_09
TS23: diencephalon lateral wall mantle layer Moderate Regionally restricted euxassay_007464_09
TS23: hypothalamus mantle layer Moderate Regionally restricted euxassay_007464_09
TS23: olfactory epithelium Moderate Regionally restricted euxassay_007464_09

Specimen euxassay_007464_10: embryonic day 14.5 (more )
Structure Level Pattern Image Note
TS23: dorsal root ganglion Strong Regionally restricted euxassay_007464_10
TS23: olfactory cortex marginal layer Moderate Regionally restricted euxassay_007464_10
TS23: telencephalon mantle layer Moderate Regionally restricted euxassay_007464_10
TS23: diencephalon lateral wall mantle layer Moderate Regionally restricted euxassay_007464_10
TS23: hypothalamus mantle layer Moderate Regionally restricted euxassay_007464_10
TS23: hindbrain Moderate Regionally restricted euxassay_007464_10
TS23: midbrain Moderate Regionally restricted euxassay_007464_10
TS23: olfactory epithelium Moderate Regionally restricted euxassay_007464_10
TS23: cervical ganglion Weak Regionally restricted euxassay_007464_10

Specimen euxassay_007464_11: embryonic day 14.5 (more )
Structure Level Pattern Image Note
TS23: dorsal root ganglion Strong Regionally restricted euxassay_007464_11
TS23: midbrain Moderate Regionally restricted euxassay_007464_11
TS23: hindbrain Moderate Regionally restricted euxassay_007464_11
TS23: telencephalon mantle layer Moderate Regionally restricted euxassay_007464_11
TS23: diencephalon lateral wall mantle layer Moderate Regionally restricted euxassay_007464_11
TS23: hypothalamus mantle layer Moderate Regionally restricted euxassay_007464_11
TS23: olfactory epithelium Moderate Regionally restricted euxassay_007464_11
TS23: cervico-thoracic ganglion Weak Regionally restricted euxassay_007464_11

Specimen euxassay_007464_12: embryonic day 14.5 (more )
Structure Level Pattern Image Note
TS23: dorsal root ganglion Strong Regionally restricted euxassay_007464_12
TS23: telencephalon mantle layer Moderate Regionally restricted euxassay_007464_12
TS23: diencephalon lateral wall mantle layer Moderate Regionally restricted euxassay_007464_12
TS23: hypothalamus mantle layer Moderate Regionally restricted euxassay_007464_12
TS23: spinal cord Moderate Regionally restricted euxassay_007464_12
TS23: midbrain Moderate Regionally restricted euxassay_007464_12
TS23: hindbrain Moderate Regionally restricted euxassay_007464_12

Specimen euxassay_007464_13: embryonic day 14.5 (more )
Structure Level Pattern Image Note
TS23: dorsal root ganglion Strong Regionally restricted euxassay_007464_13
TS23: hypothalamus mantle layer Moderate Regionally restricted euxassay_007464_13
TS23: diencephalon lateral wall mantle layer Moderate Regionally restricted euxassay_007464_13
TS23: hindbrain Moderate Regionally restricted euxassay_007464_13
TS23: midbrain Moderate Regionally restricted euxassay_007464_13
TS23: spinal cord Moderate Regionally restricted euxassay_007464_13
TS23: olfactory cortex marginal layer Moderate Regionally restricted euxassay_007464_13
TS23: telencephalon mantle layer Moderate Regionally restricted euxassay_007464_13

Specimen euxassay_007464_14: embryonic day 14.5 (more )
Structure Level Pattern Image Note
TS23: dorsal root ganglion Strong Regionally restricted euxassay_007464_14
TS23: olfactory cortex marginal layer Moderate Regionally restricted euxassay_007464_14
TS23: telencephalon mantle layer Moderate Regionally restricted euxassay_007464_14
TS23: midbrain Moderate Regionally restricted euxassay_007464_14
TS23: hindbrain Moderate Regionally restricted euxassay_007464_14
TS23: spinal cord Moderate Regionally restricted euxassay_007464_14
TS23: hypothalamus mantle layer Moderate Regionally restricted euxassay_007464_14
TS23: diencephalon lateral wall mantle layer Moderate Regionally restricted euxassay_007464_14
TS23: olfactory epithelium Moderate Regionally restricted euxassay_007464_14
TS23: thoracic ganglion Weak Regionally restricted euxassay_007464_14

Specimen euxassay_007464_15: embryonic day 14.5 (more )
Structure Level Pattern Image Note
TS23: midbrain Moderate Regionally restricted euxassay_007464_15
TS23: hindbrain Moderate Regionally restricted euxassay_007464_15
TS23: spinal cord Moderate Regionally restricted euxassay_007464_15
TS23: telencephalon mantle layer Moderate Regionally restricted euxassay_007464_15
TS23: diencephalon lateral wall mantle layer Moderate Regionally restricted euxassay_007464_15
TS23: hypothalamus mantle layer Moderate Regionally restricted euxassay_007464_15
TS23: olfactory cortex marginal layer Moderate Regionally restricted euxassay_007464_15
TS23: olfactory epithelium Moderate Regionally restricted euxassay_007464_15
TS23: thoracic ganglion Weak Regionally restricted euxassay_007464_15

Specimen euxassay_007464_16: embryonic day 14.5 (more )
Structure Level Pattern Image Note
TS23: midbrain Moderate Regionally restricted euxassay_007464_16
TS23: hindbrain Moderate Regionally restricted euxassay_007464_16
TS23: spinal cord Moderate Regionally restricted euxassay_007464_16
TS23: telencephalon mantle layer Moderate Regionally restricted euxassay_007464_16
TS23: hypothalamus mantle layer Moderate Regionally restricted euxassay_007464_16
TS23: diencephalon lateral wall mantle layer Moderate Regionally restricted euxassay_007464_16
TS23: olfactory cortex marginal layer Moderate Regionally restricted euxassay_007464_16
TS23: olfactory epithelium Moderate Regionally restricted euxassay_007464_16
TS23: cervico-thoracic ganglion Weak Regionally restricted euxassay_007464_16
TS23: thoracic ganglion Weak Regionally restricted euxassay_007464_16

Specimen euxassay_007464_17: embryonic day 14.5 (more )
Structure Level Pattern Image Note
TS23: trigeminal ganglion Strong Regionally restricted euxassay_007464_17
TS23: hypothalamus mantle layer Moderate Regionally restricted euxassay_007464_17
TS23: diencephalon lateral wall mantle layer Moderate Regionally restricted euxassay_007464_17
TS23: telencephalon mantle layer Moderate Regionally restricted euxassay_007464_17
TS23: hindbrain Moderate Regionally restricted euxassay_007464_17
TS23: midbrain Moderate Regionally restricted euxassay_007464_17
TS23: spinal cord Moderate Regionally restricted euxassay_007464_17
TS23: olfactory epithelium Moderate Regionally restricted euxassay_007464_17
TS23: cervico-thoracic ganglion Weak Regionally restricted euxassay_007464_17

Specimen euxassay_007464_18: embryonic day 14.5 (more )
Structure Level Pattern Image Note
TS23: dorsal root ganglion Strong Regionally restricted euxassay_007464_18
TS23: trigeminal ganglion Strong Regionally restricted euxassay_007464_18
TS23: spinal cord Moderate Regionally restricted euxassay_007464_18
TS23: midbrain Moderate Regionally restricted euxassay_007464_18
TS23: hindbrain Moderate Regionally restricted euxassay_007464_18
TS23: telencephalon mantle layer Moderate Regionally restricted euxassay_007464_18
TS23: diencephalon lateral wall mantle layer Moderate Regionally restricted euxassay_007464_18
TS23: hypothalamus mantle layer Moderate Regionally restricted euxassay_007464_18
TS23: cervical ganglion Weak Regionally restricted euxassay_007464_18
TS23: cervico-thoracic ganglion Weak Regionally restricted euxassay_007464_18

Specimen euxassay_007464_19: embryonic day 14.5 (more )
Structure Level Pattern Image Note
TS23: dorsal root ganglion Strong Regionally restricted euxassay_007464_19
TS23: trigeminal ganglion Strong Regionally restricted euxassay_007464_19
TS23: glossopharyngeal ganglion Strong Regionally restricted euxassay_007464_19
TS23: vestibulo-cochlear ganglion Weak Regionally restricted euxassay_007464_19
TS23: midbrain Moderate Regionally restricted euxassay_007464_19
TS23: hindbrain Moderate Regionally restricted euxassay_007464_19
TS23: spinal cord Moderate Regionally restricted euxassay_007464_19
TS23: telencephalon mantle layer Moderate Regionally restricted euxassay_007464_19
TS23: diencephalon lateral wall mantle layer Moderate Regionally restricted euxassay_007464_19

Specimen euxassay_007464_20: embryonic day 14.5 (more )
Structure Level Pattern Image Note
TS23: dorsal root ganglion Strong Regionally restricted euxassay_007464_20
TS23: vestibulo-cochlear ganglion Moderate Regionally restricted euxassay_007464_20
TS23: glossopharyngeal ganglion Strong Regionally restricted euxassay_007464_20
TS23: trigeminal ganglion Strong Regionally restricted euxassay_007464_20
TS23: midbrain Moderate Regionally restricted euxassay_007464_20
TS23: hindbrain Moderate Regionally restricted euxassay_007464_20
TS23: telencephalon mantle layer Moderate Regionally restricted euxassay_007464_20

Specimen euxassay_007464_21: embryonic day 14.5 (more )
Structure Level Pattern Image Note
TS23: dorsal root ganglion Strong Regionally restricted euxassay_007464_21
TS23: glossopharyngeal ganglion Strong Regionally restricted euxassay_007464_21
TS23: trigeminal ganglion Strong Regionally restricted euxassay_007464_21
TS23: vestibulo-cochlear ganglion Moderate Regionally restricted euxassay_007464_21
TS23: facial ganglion Strong Regionally restricted euxassay_007464_21
TS23: midbrain Moderate Regionally restricted euxassay_007464_21
TS23: hindbrain Moderate Regionally restricted euxassay_007464_21
TS23: telencephalon mantle layer Moderate Regionally restricted euxassay_007464_21

Specimen euxassay_007464_22: embryonic day 14.5 (more )
Structure Level Pattern Image Note
TS23: neural retina Moderate Regionally restricted euxassay_007464_22
TS23: trigeminal ganglion Strong Regionally restricted euxassay_007464_22
TS23: facial ganglion Strong Regionally restricted euxassay_007464_22
TS23: telencephalon mantle layer Moderate Regionally restricted euxassay_007464_22
TS23: hindbrain Moderate Regionally restricted euxassay_007464_22

Specimen euxassay_007464_23: embryonic day 14.5 (more )
Structure Level Pattern Image Note
TS23: neural retina Moderate Regionally restricted euxassay_007464_23
TS23: trigeminal ganglion Strong Regionally restricted euxassay_007464_23
TS23: telencephalon mantle layer Moderate Regionally restricted euxassay_007464_23
TS23: hindbrain Moderate Regionally restricted euxassay_007464_23

Specimen euxassay_007464_24: embryonic day 14.5 (more )
Structure Level Pattern Image Note
TS23: neural retina Moderate Regionally restricted euxassay_007464_24
TS23: telencephalon mantle layer Moderate Regionally restricted euxassay_007464_24


Contributing Projects:
Mouse Genome Database (MGD), Gene Expression Database (GXD), Mouse Models of Human Cancer database (MMHCdb) (formerly Mouse Tumor Biology (MTB)), Gene Ontology (GO)
Citing These Resources
Funding Information
Warranty Disclaimer, Privacy Notice, Licensing, & Copyright
Send questions and comments to User Support.
last database update
01/06/2026
MGI 6.24
The Jackson Laboratory