About   Help   FAQ
Gene Expression Data
Assay Details
Assay
Reference: J:153498 Diez-Roux G, et al., A high-resolution anatomical atlas of the transcriptome in the mouse embryo. PLoS Biol. 2011;9(1):e1000582
Assay type: RNA in situ
MGI Accession ID: MGI:4824146
Gene symbol: Cyb5r4
Gene name: cytochrome b5 reductase 4
Probe: T31369
Probe preparation: Antisense labelled with digoxigenin RNA
Visualized with: Alkaline phosphatase
Assay notes: Cryosections of fresh frozen material were fixed in 4% paraformaldehyde for 20 min. before further processing. A tyramide-biotin/streptavidin amplification step was included in the in situ hybridization procedure.
Results
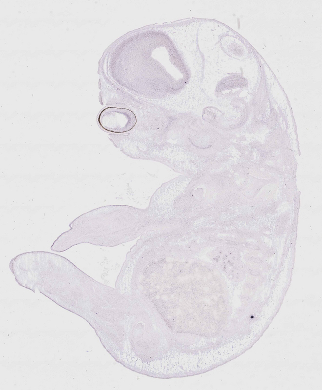
Specimen euxassay_012487_01: embryonic day 14.5 (more )
Structure Level Pattern Image Note
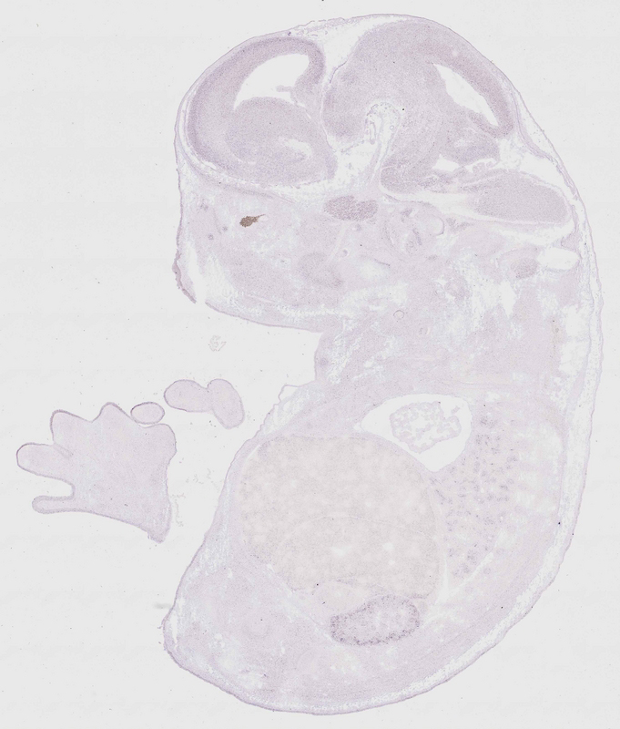
TS23: neural retina Weak Regionally restricted euxassay_012487_01

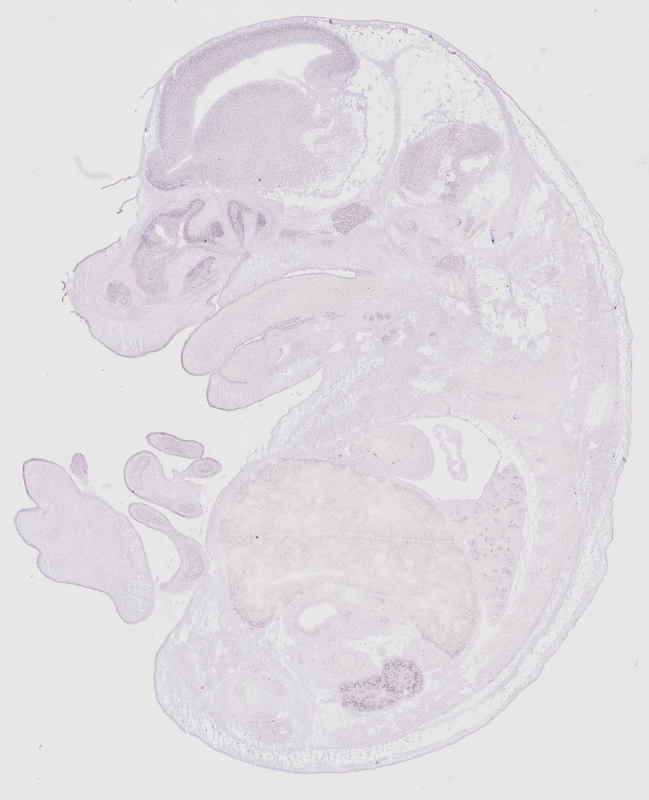
Specimen euxassay_012487_04: embryonic day 14.5 (more )
Structure Level Pattern Image Note
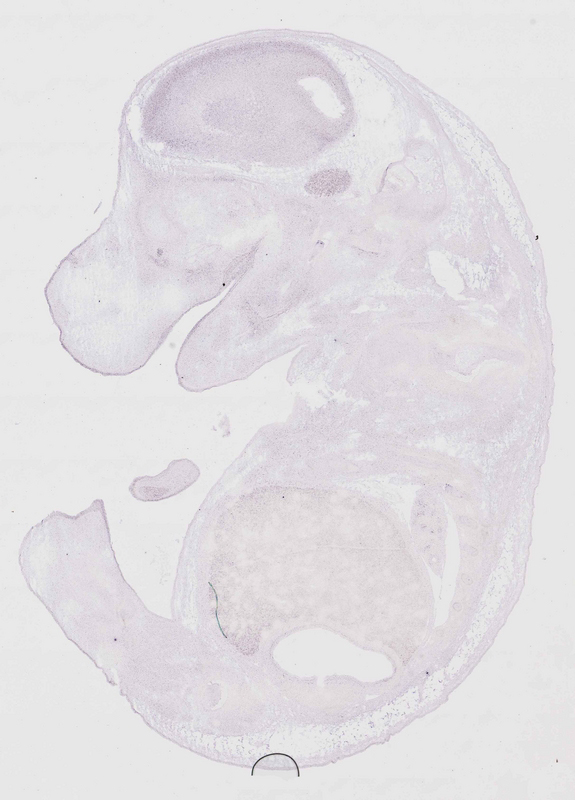
TS23: trigeminal ganglion Weak Regionally restricted euxassay_012487_04

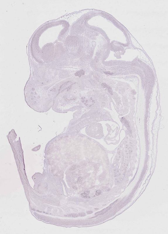
Specimen euxassay_012487_05: embryonic day 14.5 (more )
Structure Level Pattern Image Note
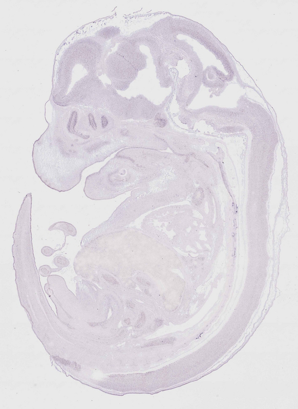
TS23: olfactory epithelium Moderate Regionally restricted euxassay_012487_05
TS23: trigeminal ganglion Weak Regionally restricted euxassay_012487_05
TS23: facial ganglion Weak Regionally restricted euxassay_012487_05
TS23: submandibular gland primordium Weak Regionally restricted euxassay_012487_05

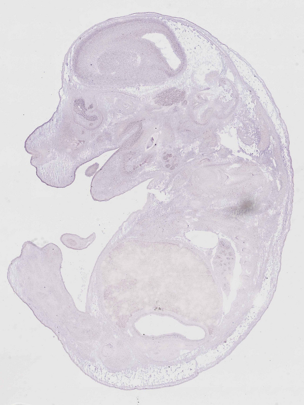
Specimen euxassay_012487_06: embryonic day 14.5 (more )
Structure Level Pattern Image Note
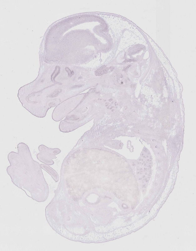
TS23: olfactory epithelium Moderate Regionally restricted euxassay_012487_06
TS23: trigeminal ganglion Weak Regionally restricted euxassay_012487_06
TS23: facial ganglion Weak Regionally restricted euxassay_012487_06
TS23: submandibular gland primordium Weak Regionally restricted euxassay_012487_06

Specimen euxassay_012487_07: embryonic day 14.5 (more )
Structure Level Pattern Image Note
TS23: olfactory epithelium Moderate Regionally restricted euxassay_012487_07
TS23: trigeminal ganglion Weak Regionally restricted euxassay_012487_07
TS23: submandibular gland primordium Weak Regionally restricted euxassay_012487_07

Specimen euxassay_012487_08: embryonic day 14.5 (more )
Structure Level Pattern Image Note
TS23: olfactory epithelium Moderate Regionally restricted euxassay_012487_08
TS23: metanephros Moderate Regionally restricted euxassay_012487_08
TS23: trigeminal ganglion Weak Regionally restricted euxassay_012487_08
TS23: submandibular gland primordium Weak Regionally restricted euxassay_012487_08

Specimen euxassay_012487_09: embryonic day 14.5 (more )
Structure Level Pattern Image Note
TS23: olfactory epithelium Moderate Regionally restricted euxassay_012487_09
TS23: metanephros Weak Regionally restricted euxassay_012487_09

Specimen euxassay_012487_10: embryonic day 14.5 (more )
Note: Additional information for this specimen was included in the Eurexpress data submission file.
Structure Level Pattern Image Note
TS23: olfactory epithelium Moderate Regionally restricted euxassay_012487_10
TS23: medulla oblongata basal plate mantle layer Weak Regionally restricted euxassay_012487_10 facial motor nucleus
TS23: metanephros Weak Regionally restricted euxassay_012487_10
TS23: pituitary gland Weak Regionally restricted euxassay_012487_10
TS23: dorsal root ganglion Weak Regionally restricted euxassay_012487_10

Specimen euxassay_012487_11: embryonic day 14.5 (more )
Note: Additional information for this specimen was included in the Eurexpress data submission file.
Structure Level Pattern Image Note
TS23: olfactory epithelium Moderate Regionally restricted euxassay_012487_11
TS23: medulla oblongata basal plate mantle layer Weak Regionally restricted euxassay_012487_11 facial motor nucleus
TS23: metanephros Weak Regionally restricted euxassay_012487_11
TS23: pituitary gland Weak Regionally restricted euxassay_012487_11
TS23: thymus primordium Weak Regionally restricted euxassay_012487_11
TS23: dorsal root ganglion Weak Regionally restricted euxassay_012487_11

Specimen euxassay_012487_12: embryonic day 14.5 (more )
Structure Level Pattern Image Note
TS23: olfactory epithelium Moderate Regionally restricted euxassay_012487_12
TS23: metanephros Weak Regionally restricted euxassay_012487_12
TS23: pituitary gland Weak Regionally restricted euxassay_012487_12
TS23: thymus primordium Weak Regionally restricted euxassay_012487_12
TS23: dorsal root ganglion Weak Regionally restricted euxassay_012487_12
TS23: ventral grey horn Weak Regionally restricted euxassay_012487_12

Specimen euxassay_012487_13: embryonic day 14.5 (more )
Structure Level Pattern Image Note
TS23: olfactory epithelium Moderate Regionally restricted euxassay_012487_13
TS23: pituitary gland Weak Regionally restricted euxassay_012487_13
TS23: thymus primordium Weak Regionally restricted euxassay_012487_13
TS23: dorsal root ganglion Weak Regionally restricted euxassay_012487_13
TS23: ventral grey horn Weak Regionally restricted euxassay_012487_13

Specimen euxassay_012487_14: embryonic day 14.5 (more )
Structure Level Pattern Image Note
TS23: olfactory epithelium Moderate Regionally restricted euxassay_012487_14
TS23: pituitary gland Weak Regionally restricted euxassay_012487_14
TS23: thymus primordium Weak Regionally restricted euxassay_012487_14

Specimen euxassay_012487_15: embryonic day 14.5 (more )
Structure Level Pattern Image Note
TS23: olfactory epithelium Moderate Regionally restricted euxassay_012487_15
TS23: pituitary gland Weak Regionally restricted euxassay_012487_15
TS23: thymus primordium Weak Regionally restricted euxassay_012487_15
TS23: submandibular gland primordium Weak Regionally restricted euxassay_012487_15

Specimen euxassay_012487_16: embryonic day 14.5 (more )
Structure Level Pattern Image Note
TS23: olfactory epithelium Moderate Regionally restricted euxassay_012487_16
TS23: submandibular gland primordium Weak Regionally restricted euxassay_012487_16
TS23: ventral grey horn Weak Regionally restricted euxassay_012487_16

Specimen euxassay_012487_17: embryonic day 14.5 (more )
Note: Additional information for this specimen was included in the Eurexpress data submission file.
Structure Level Pattern Image Note
TS23: medulla oblongata basal plate mantle layer Weak Regionally restricted euxassay_012487_17 facial motor nucleus
TS23: trigeminal ganglion Weak Regionally restricted euxassay_012487_17
TS23: submandibular gland primordium Weak Regionally restricted euxassay_012487_17
TS23: dorsal root ganglion Weak Regionally restricted euxassay_012487_17
TS23: ventral grey horn Weak Regionally restricted euxassay_012487_17

Specimen euxassay_012487_18: embryonic day 14.5 (more )
Note: Additional information for this specimen was included in the Eurexpress data submission file.
Structure Level Pattern Image Note
TS23: medulla oblongata basal plate mantle layer Weak Regionally restricted euxassay_012487_18 facial motor nucleus
TS23: metanephros Weak Regionally restricted euxassay_012487_18
TS23: trigeminal ganglion Weak Regionally restricted euxassay_012487_18
TS23: submandibular gland primordium Weak Regionally restricted euxassay_012487_18
TS23: dorsal root ganglion Weak Regionally restricted euxassay_012487_18

Specimen euxassay_012487_19: embryonic day 14.5 (more )
Structure Level Pattern Image Note
TS23: metanephros Weak Regionally restricted euxassay_012487_19
TS23: trigeminal ganglion Weak Regionally restricted euxassay_012487_19

Specimen euxassay_012487_20: embryonic day 14.5 (more )
Structure Level Pattern Image Note
TS23: metanephros Weak Regionally restricted euxassay_012487_20
TS23: trigeminal ganglion Weak Regionally restricted euxassay_012487_20

Specimen euxassay_012487_21: embryonic day 14.5 (more )
Structure Level Pattern Image Note
TS23: metanephros Weak Regionally restricted euxassay_012487_21
TS23: trigeminal ganglion Weak Regionally restricted euxassay_012487_21
TS23: neural retina Weak Regionally restricted euxassay_012487_21

Specimen euxassay_012487_22: embryonic day 14.5 (more )
Structure Level Pattern Image Note
TS23: metanephros Weak Regionally restricted euxassay_012487_22
TS23: trigeminal ganglion Weak Regionally restricted euxassay_012487_22
TS23: neural retina Weak Regionally restricted euxassay_012487_22

Specimen euxassay_012487_23: embryonic day 14.5 (more )
Structure Level Pattern Image Note
TS23: trigeminal ganglion Weak Regionally restricted euxassay_012487_23
TS23: neural retina Weak Regionally restricted euxassay_012487_23

Specimen euxassay_012487_24: embryonic day 14.5 (more )
Structure Level Pattern Image Note
TS23: neural retina Weak Regionally restricted euxassay_012487_24


Contributing Projects:
Mouse Genome Database (MGD), Gene Expression Database (GXD), Mouse Models of Human Cancer database (MMHCdb) (formerly Mouse Tumor Biology (MTB)), Gene Ontology (GO)
Citing These Resources
Funding Information
Warranty Disclaimer, Privacy Notice, Licensing, & Copyright
Send questions and comments to User Support.
last database update
12/30/2025
MGI 6.24
The Jackson Laboratory