About   Help   FAQ
Gene Expression Data
Assay Details
Assay
Reference: J:153498 Diez-Roux G, et al., A high-resolution anatomical atlas of the transcriptome in the mouse embryo. PLoS Biol. 2011;9(1):e1000582
Assay type: RNA in situ
MGI Accession ID: MGI:4823805
Gene symbol: Cend1
Gene name: cell cycle exit and neuronal differentiation 1
Probe: MGC clone 35878
Probe preparation: Antisense labelled with digoxigenin RNA
Visualized with: Alkaline phosphatase
Assay notes: Cryosections of fresh frozen material were fixed in 4% paraformaldehyde for 20 min. before further processing. A tyramide-biotin/streptavidin amplification step was included in the in situ hybridization procedure.
Results
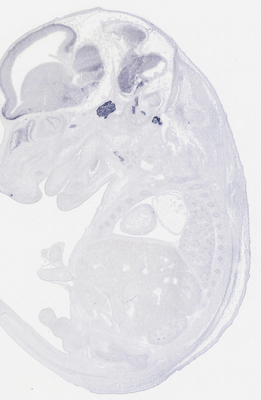
Specimen euxassay_003154_02: embryonic day 14.5 (more )
Structure Level Pattern Image Note
TS23: forebrain Moderate Regionally restricted euxassay_003154_02
TS23: neural retina Strong Regionally restricted euxassay_003154_02

Specimen euxassay_003154_03: embryonic day 14.5 (more )
Structure Level Pattern Image Note
TS23: trigeminal ganglion Strong Regionally restricted euxassay_003154_03
TS23: hindbrain Moderate Regionally restricted euxassay_003154_03
TS23: forebrain Moderate Regionally restricted euxassay_003154_03
TS23: neural retina Strong Regionally restricted euxassay_003154_03

Specimen euxassay_003154_04: embryonic day 14.5 (more )
Structure Level Pattern Image Note
TS23: trigeminal ganglion Strong Regionally restricted euxassay_003154_04
TS23: facial ganglion Strong Regionally restricted euxassay_003154_04
TS23: midbrain Moderate Regionally restricted euxassay_003154_04
TS23: hindbrain Moderate Regionally restricted euxassay_003154_04
TS23: forebrain Moderate Regionally restricted euxassay_003154_04
TS23: neural retina Strong Regionally restricted euxassay_003154_04

Specimen euxassay_003154_05: embryonic day 14.5 (more )
Structure Level Pattern Image Note
TS23: trigeminal ganglion Strong Regionally restricted euxassay_003154_05
TS23: facial ganglion Strong Regionally restricted euxassay_003154_05
TS23: vestibulo-cochlear ganglion Strong Regionally restricted euxassay_003154_05
TS23: dorsal root ganglion Strong Regionally restricted euxassay_003154_05
TS23: midbrain Moderate Regionally restricted euxassay_003154_05
TS23: hindbrain Moderate Regionally restricted euxassay_003154_05
TS23: forebrain Moderate Regionally restricted euxassay_003154_05
TS23: neural retina Strong Regionally restricted euxassay_003154_05

Specimen euxassay_003154_06: embryonic day 14.5 (more )
Structure Level Pattern Image Note
TS23: trigeminal ganglion Strong Regionally restricted euxassay_003154_06
TS23: facial ganglion Strong Regionally restricted euxassay_003154_06
TS23: glossopharyngeal ganglion Strong Regionally restricted euxassay_003154_06
TS23: vestibulo-cochlear ganglion Strong Regionally restricted euxassay_003154_06
TS23: dorsal root ganglion Strong Regionally restricted euxassay_003154_06
TS23: midbrain Moderate Regionally restricted euxassay_003154_06
TS23: hindbrain Moderate Regionally restricted euxassay_003154_06
TS23: forebrain Moderate Regionally restricted euxassay_003154_06

Specimen euxassay_003154_07: embryonic day 14.5 (more )
Structure Level Pattern Image Note
TS23: vestibulo-cochlear ganglion Strong Regionally restricted euxassay_003154_07
TS23: trigeminal ganglion Strong Regionally restricted euxassay_003154_07
TS23: glossopharyngeal ganglion Strong Regionally restricted euxassay_003154_07
TS23: dorsal root ganglion Strong Regionally restricted euxassay_003154_07
TS23: spinal cord Moderate Regionally restricted euxassay_003154_07
TS23: midbrain Moderate Regionally restricted euxassay_003154_07
TS23: hindbrain Moderate Regionally restricted euxassay_003154_07
TS23: forebrain Moderate Regionally restricted euxassay_003154_07

Specimen euxassay_003154_08: embryonic day 14.5 (more )
Structure Level Pattern Image Note
TS23: vagus ganglion Strong Regionally restricted euxassay_003154_08
TS23: trigeminal ganglion Strong Regionally restricted euxassay_003154_08
TS23: vestibulo-cochlear ganglion Strong Regionally restricted euxassay_003154_08
TS23: dorsal root ganglion Strong Regionally restricted euxassay_003154_08
TS23: cervical ganglion Weak Regionally restricted euxassay_003154_08
TS23: midbrain Moderate Regionally restricted euxassay_003154_08
TS23: hindbrain Moderate Regionally restricted euxassay_003154_08
TS23: forebrain Moderate Regionally restricted euxassay_003154_08
TS23: spinal cord Moderate Regionally restricted euxassay_003154_08

Specimen euxassay_003154_09: embryonic day 14.5 (more )
Structure Level Pattern Image Note
TS23: trigeminal ganglion Strong Regionally restricted euxassay_003154_09
TS23: dorsal root ganglion Strong Regionally restricted euxassay_003154_09
TS23: cervical ganglion Weak Regionally restricted euxassay_003154_09
TS23: cervico-thoracic ganglion Weak Regionally restricted euxassay_003154_09
TS23: spinal cord Moderate Regionally restricted euxassay_003154_09
TS23: midbrain Moderate Regionally restricted euxassay_003154_09
TS23: hindbrain Moderate Regionally restricted euxassay_003154_09
TS23: forebrain Moderate Regionally restricted euxassay_003154_09

Specimen euxassay_003154_10: embryonic day 14.5 (more )
Structure Level Pattern Image Note
TS23: trigeminal ganglion Strong Regionally restricted euxassay_003154_10
TS23: dorsal root ganglion Strong Regionally restricted euxassay_003154_10
TS23: cervico-thoracic ganglion Weak Regionally restricted euxassay_003154_10
TS23: spinal cord Moderate Regionally restricted euxassay_003154_10
TS23: midbrain Moderate Regionally restricted euxassay_003154_10
TS23: forebrain Moderate Regionally restricted euxassay_003154_10
TS23: hindbrain Moderate Regionally restricted euxassay_003154_10
TS23: olfactory epithelium Weak Regionally restricted euxassay_003154_10

Specimen euxassay_003154_11: embryonic day 14.5 (more )
Structure Level Pattern Image Note
TS23: dorsal root ganglion Strong Regionally restricted euxassay_003154_11
TS23: spinal cord Moderate Regionally restricted euxassay_003154_11
TS23: midbrain Moderate Regionally restricted euxassay_003154_11
TS23: hindbrain Moderate Regionally restricted euxassay_003154_11
TS23: forebrain Moderate Regionally restricted euxassay_003154_11
TS23: olfactory epithelium Weak Regionally restricted euxassay_003154_11

Specimen euxassay_003154_12: embryonic day 14.5 (more )
Structure Level Pattern Image Note
TS23: dorsal root ganglion Strong Regionally restricted euxassay_003154_12
TS23: thoracic ganglion Weak Regionally restricted euxassay_003154_12
TS23: midbrain Moderate Regionally restricted euxassay_003154_12
TS23: hindbrain Moderate Regionally restricted euxassay_003154_12
TS23: forebrain Moderate Regionally restricted euxassay_003154_12
TS23: spinal cord Moderate Regionally restricted euxassay_003154_12
TS23: olfactory epithelium Weak Regionally restricted euxassay_003154_12

Specimen euxassay_003154_13: embryonic day 14.5 (more )
Structure Level Pattern Image Note
TS23: dorsal root ganglion Strong Regionally restricted euxassay_003154_13
TS23: thoracic ganglion Moderate Regionally restricted euxassay_003154_13
TS23: midbrain Moderate Regionally restricted euxassay_003154_13
TS23: hindbrain Moderate Regionally restricted euxassay_003154_13
TS23: forebrain Moderate Regionally restricted euxassay_003154_13
TS23: olfactory epithelium Moderate Regionally restricted euxassay_003154_13

Specimen euxassay_003154_14: embryonic day 14.5 (more )
Structure Level Pattern Image Note
TS23: thoracic ganglion Moderate Regionally restricted euxassay_003154_14
TS23: midbrain Moderate Regionally restricted euxassay_003154_14
TS23: hindbrain Moderate Regionally restricted euxassay_003154_14
TS23: forebrain Moderate Regionally restricted euxassay_003154_14
TS23: olfactory epithelium Moderate Regionally restricted euxassay_003154_14

Specimen euxassay_003154_15: embryonic day 14.5 (more )
Structure Level Pattern Image Note
TS23: dorsal root ganglion Strong Regionally restricted euxassay_003154_15
TS23: midbrain Weak Regionally restricted euxassay_003154_15
TS23: hindbrain Weak Regionally restricted euxassay_003154_15
TS23: forebrain Weak Regionally restricted euxassay_003154_15
TS23: olfactory epithelium Moderate Regionally restricted euxassay_003154_15

Specimen euxassay_003154_16: embryonic day 14.5 (more )
Structure Level Pattern Image Note
TS23: dorsal root ganglion Strong Regionally restricted euxassay_003154_16
TS23: cervico-thoracic ganglion Moderate Regionally restricted euxassay_003154_16
TS23: forebrain Weak Regionally restricted euxassay_003154_16
TS23: hindbrain Weak Regionally restricted euxassay_003154_16
TS23: midbrain Weak Regionally restricted euxassay_003154_16
TS23: spinal cord Weak Regionally restricted euxassay_003154_16
TS23: olfactory epithelium Weak Regionally restricted euxassay_003154_16

Specimen euxassay_003154_17: embryonic day 14.5 (more )
Structure Level Pattern Image Note
TS23: dorsal root ganglion Strong Regionally restricted euxassay_003154_17
TS23: cervical ganglion Moderate Regionally restricted euxassay_003154_17
TS23: forebrain Weak Regionally restricted euxassay_003154_17
TS23: hindbrain Weak Regionally restricted euxassay_003154_17
TS23: midbrain Weak Regionally restricted euxassay_003154_17
TS23: olfactory epithelium Weak Regionally restricted euxassay_003154_17

Specimen euxassay_003154_18: embryonic day 14.5 (more )
Structure Level Pattern Image Note
TS23: glossopharyngeal ganglion Strong Regionally restricted euxassay_003154_18
TS23: trigeminal ganglion Strong Regionally restricted euxassay_003154_18
TS23: vestibulo-cochlear ganglion Strong Regionally restricted euxassay_003154_18
TS23: dorsal root ganglion Strong Regionally restricted euxassay_003154_18
TS23: forebrain Weak Regionally restricted euxassay_003154_18
TS23: hindbrain Weak Regionally restricted euxassay_003154_18
TS23: midbrain Weak Regionally restricted euxassay_003154_18
TS23: olfactory epithelium Moderate Regionally restricted euxassay_003154_18

Specimen euxassay_003154_19: embryonic day 14.5 (more )
Structure Level Pattern Image Note
TS23: glossopharyngeal ganglion Strong Regionally restricted euxassay_003154_19
TS23: trigeminal ganglion Strong Regionally restricted euxassay_003154_19
TS23: vestibulo-cochlear ganglion Strong Regionally restricted euxassay_003154_19
TS23: forebrain Weak Regionally restricted euxassay_003154_19
TS23: hindbrain Weak Regionally restricted euxassay_003154_19
TS23: midbrain Weak Regionally restricted euxassay_003154_19
TS23: olfactory epithelium Moderate Regionally restricted euxassay_003154_19

Specimen euxassay_003154_20: embryonic day 14.5 (more )
Structure Level Pattern Image Note
TS23: trigeminal ganglion Strong Regionally restricted euxassay_003154_20
TS23: forebrain Weak Regionally restricted euxassay_003154_20
TS23: hindbrain Weak Regionally restricted euxassay_003154_20
TS23: olfactory epithelium Moderate Regionally restricted euxassay_003154_20

Specimen euxassay_003154_21: embryonic day 14.5 (more )
Structure Level Pattern Image Note
TS23: trigeminal ganglion Strong Regionally restricted euxassay_003154_21
TS23: facial ganglion Strong Regionally restricted euxassay_003154_21
TS23: forebrain Weak Regionally restricted euxassay_003154_21
TS23: olfactory epithelium Weak Regionally restricted euxassay_003154_21

Specimen euxassay_003154_22: embryonic day 14.5 (more )
Structure Level Pattern Image Note
TS23: trigeminal ganglion Strong Regionally restricted euxassay_003154_22
TS23: facial ganglion Strong Regionally restricted euxassay_003154_22
TS23: forebrain Weak Regionally restricted euxassay_003154_22

Specimen euxassay_003154_23: embryonic day 14.5 (more )
Structure Level Pattern Image Note
TS23: trigeminal ganglion Strong Regionally restricted euxassay_003154_23
TS23: forebrain Weak Regionally restricted euxassay_003154_23

Specimen euxassay_003154_24: embryonic day 14.5 (more )
Structure Level Pattern Image Note
TS23: forebrain Weak Regionally restricted euxassay_003154_24


Contributing Projects:
Mouse Genome Database (MGD), Gene Expression Database (GXD), Mouse Models of Human Cancer database (MMHCdb) (formerly Mouse Tumor Biology (MTB)), Gene Ontology (GO)
Citing These Resources
Funding Information
Warranty Disclaimer, Privacy Notice, Licensing, & Copyright
Send questions and comments to User Support.
last database update
01/20/2026
MGI 6.24
The Jackson Laboratory