About   Help   FAQ
Gene Expression Data
Assay Details
Assay
Reference: J:153498 Diez-Roux G, et al., A high-resolution anatomical atlas of the transcriptome in the mouse embryo. PLoS Biol. 2011;9(1):e1000582
Assay type: RNA in situ
MGI Accession ID: MGI:4823707
Gene symbol: Ccnd1
Gene name: cyclin D1
Probe: MGC clone 7003
Probe preparation: Antisense labelled with digoxigenin RNA
Visualized with: Alkaline phosphatase
Assay notes: Cryosections of fresh frozen material were fixed in 4% paraformaldehyde for 20 min. before further processing. A tyramide-biotin/streptavidin amplification step was included in the in situ hybridization procedure.
Results
Specimen euxassay_002703_01: embryonic day 14.5 (more )
Structure Level Pattern Image Note
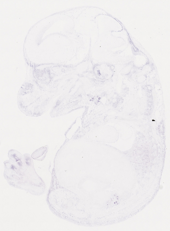
TS23: neural retina Strong Regionally restricted euxassay_002703_01

Specimen euxassay_002703_02: embryonic day 14.5 (more )
Structure Level Pattern Image Note
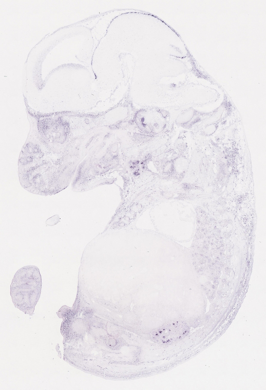
TS23: neural retina Strong Regionally restricted euxassay_002703_02
TS23: orbito-sphenoid Moderate Regionally restricted euxassay_002703_02

Specimen euxassay_002703_03: embryonic day 14.5 (more )
Structure Level Pattern Image Note
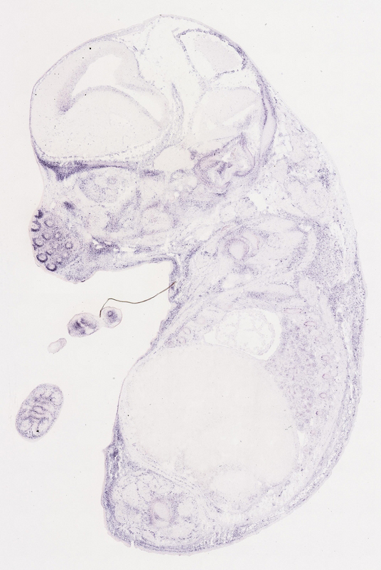
TS23: neural retina Strong Regionally restricted euxassay_002703_03
TS23: vibrissa Strong Regionally restricted euxassay_002703_03
TS23: telencephalon ventricular layer Weak Regionally restricted euxassay_002703_03
TS23: orbito-sphenoid Moderate Regionally restricted euxassay_002703_03

Specimen euxassay_002703_04: embryonic day 14.5 (more )
Structure Level Pattern Image Note
TS23: neural retina Strong Regionally restricted euxassay_002703_04
TS23: vibrissa Strong Regionally restricted euxassay_002703_04
TS23: telencephalon ventricular layer Weak Regionally restricted euxassay_002703_04
TS23: orbito-sphenoid Moderate Regionally restricted euxassay_002703_04

Specimen euxassay_002703_05: embryonic day 14.5 (more )
Structure Level Pattern Image Note
TS23: vibrissa Strong Regionally restricted euxassay_002703_05
TS23: telencephalon ventricular layer Weak Regionally restricted euxassay_002703_05
TS23: orbito-sphenoid Moderate Regionally restricted euxassay_002703_05

Specimen euxassay_002703_06: embryonic day 14.5 (more )
Structure Level Pattern Image Note
TS23: submandibular gland primordium Moderate Regionally restricted euxassay_002703_06
TS23: telencephalon ventricular layer Weak Regionally restricted euxassay_002703_06
TS23: orbito-sphenoid Moderate Regionally restricted euxassay_002703_06

Specimen euxassay_002703_07: embryonic day 14.5 (more )
Structure Level Pattern Image Note
TS23: renal calyx Strong Regionally restricted euxassay_002703_07
TS23: submandibular gland primordium Moderate Regionally restricted euxassay_002703_07
TS23: telencephalon ventricular layer Weak Regionally restricted euxassay_002703_07
TS23: orbito-sphenoid Moderate Regionally restricted euxassay_002703_07

Specimen euxassay_002703_08: embryonic day 14.5 (more )
Structure Level Pattern Image Note
TS23: cervical ganglion Strong Regionally restricted euxassay_002703_08
TS23: renal calyx Strong Regionally restricted euxassay_002703_08
TS23: submandibular gland primordium Moderate Regionally restricted euxassay_002703_08
TS23: telencephalon ventricular layer Weak Regionally restricted euxassay_002703_08

Specimen euxassay_002703_09: embryonic day 14.5 (more )
Structure Level Pattern Image Note
TS23: cervical ganglion Strong Regionally restricted euxassay_002703_09
TS23: cervico-thoracic ganglion Strong Regionally restricted euxassay_002703_09
TS23: renal calyx Strong Regionally restricted euxassay_002703_09
TS23: submandibular gland primordium Moderate Regionally restricted euxassay_002703_09
TS23: telencephalon ventricular layer Weak Regionally restricted euxassay_002703_09
TS23: midbrain ventricular layer Moderate Regionally restricted euxassay_002703_09
TS23: olfactory epithelium Moderate Regionally restricted euxassay_002703_09

Specimen euxassay_002703_10: embryonic day 14.5 (more )
Structure Level Pattern Image Note
TS23: cervico-thoracic ganglion Strong Regionally restricted euxassay_002703_10
TS23: renal calyx Strong Regionally restricted euxassay_002703_10
TS23: olfactory cortex ventricular layer Weak Regionally restricted euxassay_002703_10
TS23: telencephalon ventricular layer Weak Regionally restricted euxassay_002703_10
TS23: midbrain ventricular layer Moderate Regionally restricted euxassay_002703_10
TS23: olfactory epithelium Moderate Regionally restricted euxassay_002703_10

Specimen euxassay_002703_11: embryonic day 14.5 (more )
Structure Level Pattern Image Note
TS23: thoracic ganglion Strong Regionally restricted euxassay_002703_11
TS23: olfactory cortex ventricular layer Weak Regionally restricted euxassay_002703_11
TS23: telencephalon ventricular layer Weak Regionally restricted euxassay_002703_11
TS23: midbrain ventricular layer Moderate Regionally restricted euxassay_002703_11
TS23: olfactory epithelium Moderate Regionally restricted euxassay_002703_11

Specimen euxassay_002703_12: embryonic day 14.5 (more )
Structure Level Pattern Image Note
TS23: thoracic ganglion Strong Regionally restricted euxassay_002703_12
TS23: telencephalon ventricular layer Weak Regionally restricted euxassay_002703_12
TS23: midbrain ventricular layer Moderate Regionally restricted euxassay_002703_12
TS23: olfactory epithelium Moderate Regionally restricted euxassay_002703_12

Specimen euxassay_002703_13: embryonic day 14.5 (more )
Structure Level Pattern Image Note
TS23: thoracic ganglion Strong Regionally restricted euxassay_002703_13
TS23: telencephalon ventricular layer Weak Regionally restricted euxassay_002703_13
TS23: midbrain ventricular layer Moderate Regionally restricted euxassay_002703_13
TS23: olfactory epithelium Moderate Regionally restricted euxassay_002703_13

Specimen euxassay_002703_14: embryonic day 14.5 (more )
Structure Level Pattern Image Note
TS23: thoracic ganglion Strong Regionally restricted euxassay_002703_14
TS23: telencephalon ventricular layer Weak Regionally restricted euxassay_002703_14
TS23: midbrain ventricular layer Moderate Regionally restricted euxassay_002703_14
TS23: olfactory epithelium Moderate Regionally restricted euxassay_002703_14

Specimen euxassay_002703_15: embryonic day 14.5 (more )
Structure Level Pattern Image Note
TS23: telencephalon ventricular layer Weak Regionally restricted euxassay_002703_15
TS23: midbrain ventricular layer Moderate Regionally restricted euxassay_002703_15
TS23: olfactory epithelium Moderate Regionally restricted euxassay_002703_15

Specimen euxassay_002703_16: embryonic day 14.5 (more )
Structure Level Pattern Image Note
TS23: cervico-thoracic ganglion Strong Regionally restricted euxassay_002703_16
TS23: renal calyx Strong Regionally restricted euxassay_002703_16
TS23: telencephalon ventricular layer Weak Regionally restricted euxassay_002703_16
TS23: olfactory cortex ventricular layer Weak Regionally restricted euxassay_002703_16
TS23: midbrain ventricular layer Moderate Regionally restricted euxassay_002703_16
TS23: olfactory epithelium Moderate Regionally restricted euxassay_002703_16

Specimen euxassay_002703_17: embryonic day 14.5 (more )
Structure Level Pattern Image Note
TS23: cervico-thoracic ganglion Strong Regionally restricted euxassay_002703_17
TS23: cervical ganglion Strong Regionally restricted euxassay_002703_17
TS23: renal calyx Strong Regionally restricted euxassay_002703_17
TS23: telencephalon ventricular layer Weak Regionally restricted euxassay_002703_17
TS23: olfactory cortex ventricular layer Weak Regionally restricted euxassay_002703_17
TS23: midbrain ventricular layer Moderate Regionally restricted euxassay_002703_17
TS23: orbito-sphenoid Moderate Regionally restricted euxassay_002703_17
TS23: olfactory epithelium Moderate Regionally restricted euxassay_002703_17

Specimen euxassay_002703_18: embryonic day 14.5 (more )
Structure Level Pattern Image Note
TS23: renal calyx Strong Regionally restricted euxassay_002703_18
TS23: telencephalon ventricular layer Weak Regionally restricted euxassay_002703_18
TS23: midbrain ventricular layer Moderate Regionally restricted euxassay_002703_18
TS23: orbito-sphenoid Moderate Regionally restricted euxassay_002703_18
TS23: olfactory epithelium Moderate Regionally restricted euxassay_002703_18

Specimen euxassay_002703_19: embryonic day 14.5 (more )
Structure Level Pattern Image Note
TS23: renal calyx Strong Regionally restricted euxassay_002703_19
TS23: telencephalon ventricular layer Weak Regionally restricted euxassay_002703_19
TS23: orbito-sphenoid Moderate Regionally restricted euxassay_002703_19
TS23: olfactory epithelium Moderate Regionally restricted euxassay_002703_19

Specimen euxassay_002703_20: embryonic day 14.5 (more )
Structure Level Pattern Image Note
TS23: renal calyx Strong Regionally restricted euxassay_002703_20
TS23: telencephalon ventricular layer Weak Regionally restricted euxassay_002703_20
TS23: orbito-sphenoid Moderate Regionally restricted euxassay_002703_20

Specimen euxassay_002703_21: embryonic day 14.5 (more )
Structure Level Pattern Image Note
TS23: vibrissa Strong Regionally restricted euxassay_002703_21
TS23: telencephalon ventricular layer Weak Regionally restricted euxassay_002703_21
TS23: orbito-sphenoid Strong Regionally restricted euxassay_002703_21

Specimen euxassay_002703_22: embryonic day 14.5 (more )
Structure Level Pattern Image Note
TS23: neural retina Strong Regionally restricted euxassay_002703_22
TS23: vibrissa Strong Regionally restricted euxassay_002703_22
TS23: telencephalon ventricular layer Weak Regionally restricted euxassay_002703_22
TS23: orbito-sphenoid Moderate Regionally restricted euxassay_002703_22

Specimen euxassay_002703_23: embryonic day 14.5 (more )
Structure Level Pattern Image Note
TS23: neural retina Strong Regionally restricted euxassay_002703_23
TS23: telencephalon ventricular layer Weak Regionally restricted euxassay_002703_23
TS23: orbito-sphenoid Moderate Regionally restricted euxassay_002703_23

Specimen euxassay_002703_24: embryonic day 14.5 (more )
Structure Level Pattern Image Note
TS23: neural retina Strong Regionally restricted euxassay_002703_24
TS23: telencephalon ventricular layer Weak Regionally restricted euxassay_002703_24


Contributing Projects:
Mouse Genome Database (MGD), Gene Expression Database (GXD), Mouse Models of Human Cancer database (MMHCdb) (formerly Mouse Tumor Biology (MTB)), Gene Ontology (GO)
Citing These Resources
Funding Information
Warranty Disclaimer, Privacy Notice, Licensing, & Copyright
Send questions and comments to User Support.
last database update
01/20/2026
MGI 6.24
The Jackson Laboratory