About   Help   FAQ
Gene Expression Data
Assay Details
Assay
Reference: J:153498 Diez-Roux G, et al., A high-resolution anatomical atlas of the transcriptome in the mouse embryo. PLoS Biol. 2011;9(1):e1000582
Assay type: RNA in situ
MGI Accession ID: MGI:4823591
Gene symbol: Cadm3
Gene name: cell adhesion molecule 3
Probe: T31512
Probe preparation: Antisense labelled with digoxigenin RNA
Visualized with: Alkaline phosphatase
Assay notes: Cryosections of fresh frozen material were fixed in 4% paraformaldehyde for 20 min. before further processing. A tyramide-biotin/streptavidin amplification step was included in the in situ hybridization procedure.
Results
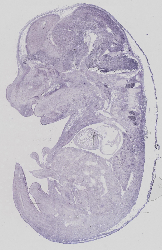
Specimen euxassay_014341_01: embryonic day 14.5 (more )
Structure Level Pattern Image Note
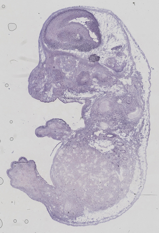
TS23: brain Strong Regionally restricted euxassay_014341_01

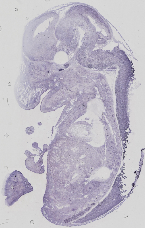
Specimen euxassay_014341_02: embryonic day 14.5 (more )
Structure Level Pattern Image Note
TS23: brain Strong Regionally restricted euxassay_014341_02
TS23: neural retina Strong Regionally restricted euxassay_014341_02

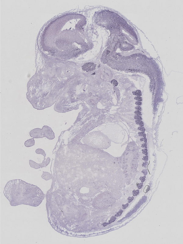
Specimen euxassay_014341_03: embryonic day 14.5 (more )
Structure Level Pattern Image Note
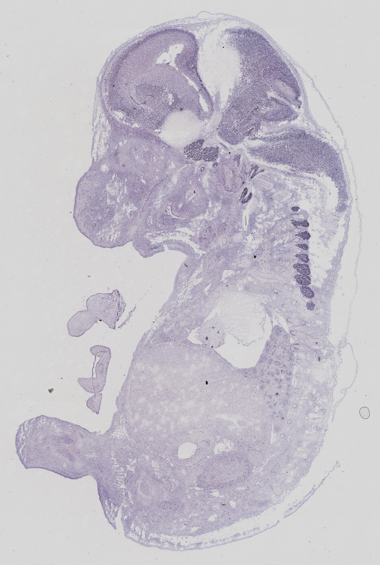
TS23: brain Strong Regionally restricted euxassay_014341_03
TS23: trigeminal ganglion Strong Regionally restricted euxassay_014341_03
TS23: neural retina Strong Regionally restricted euxassay_014341_03

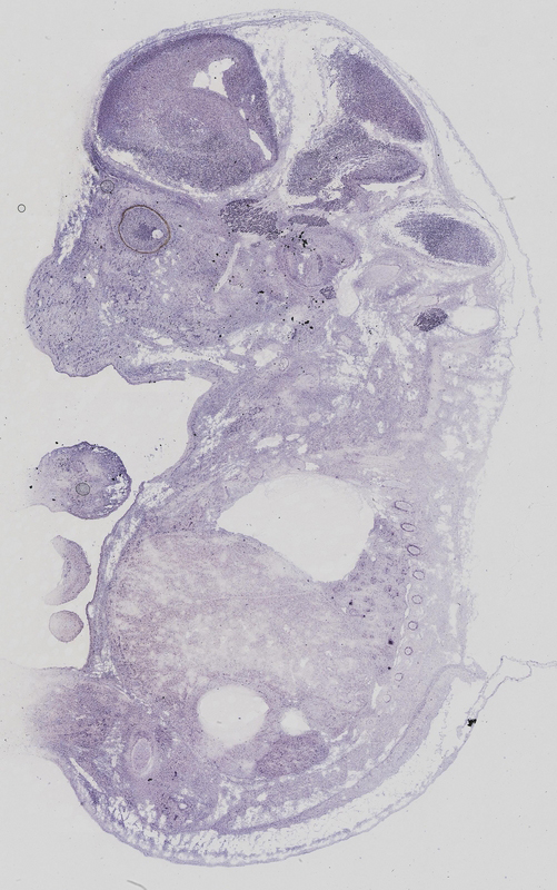
Specimen euxassay_014341_04: embryonic day 14.5 (more )
Structure Level Pattern Image Note
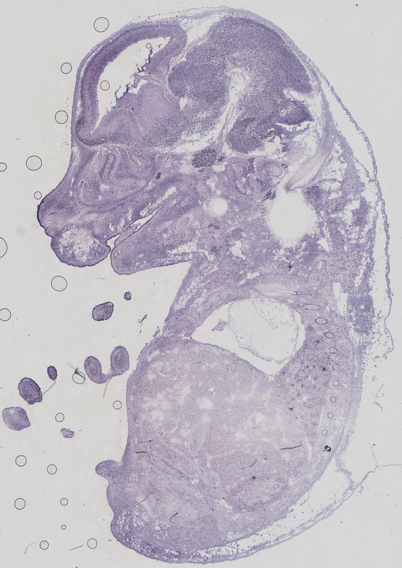
TS23: brain Strong Regionally restricted euxassay_014341_04
TS23: trigeminal ganglion Strong Regionally restricted euxassay_014341_04
TS23: facial ganglion Strong Regionally restricted euxassay_014341_04
TS23: neural retina Strong Regionally restricted euxassay_014341_04

Specimen euxassay_014341_05: embryonic day 14.5 (more )
Structure Level Pattern Image Note
TS23: brain Strong Regionally restricted euxassay_014341_05
TS23: dorsal root ganglion Strong Regionally restricted euxassay_014341_05
TS23: trigeminal ganglion Strong Regionally restricted euxassay_014341_05
TS23: facial ganglion Strong Regionally restricted euxassay_014341_05
TS23: neural retina Strong Regionally restricted euxassay_014341_05

Specimen euxassay_014341_06: embryonic day 14.5 (more )
Structure Level Pattern Image Note
TS23: brain Strong Regionally restricted euxassay_014341_06
TS23: spinal cord Strong Regionally restricted euxassay_014341_06
TS23: dorsal root ganglion Strong Regionally restricted euxassay_014341_06
TS23: trigeminal ganglion Strong Regionally restricted euxassay_014341_06
TS23: glossopharyngeal ganglion Strong Regionally restricted euxassay_014341_06
TS23: vestibulo-cochlear ganglion Strong Regionally restricted euxassay_014341_06
TS23: facial ganglion Strong Regionally restricted euxassay_014341_06

Specimen euxassay_014341_07: embryonic day 14.5 (more )
Structure Level Pattern Image Note
TS23: brain Strong Regionally restricted euxassay_014341_07
TS23: spinal cord Strong Regionally restricted euxassay_014341_07
TS23: dorsal root ganglion Strong Regionally restricted euxassay_014341_07
TS23: trigeminal ganglion Strong Regionally restricted euxassay_014341_07
TS23: vagus ganglion Strong Regionally restricted euxassay_014341_07
TS23: facial ganglion Strong Regionally restricted euxassay_014341_07

Specimen euxassay_014341_08: embryonic day 14.5 (more )
Structure Level Pattern Image Note
TS23: brain Strong Regionally restricted euxassay_014341_08
TS23: spinal cord Strong Regionally restricted euxassay_014341_08
TS23: dorsal root ganglion Strong Regionally restricted euxassay_014341_08
TS23: trigeminal ganglion Strong Regionally restricted euxassay_014341_08

Specimen euxassay_014341_09: embryonic day 14.5 (more )
Structure Level Pattern Image Note
TS23: brain Strong Regionally restricted euxassay_014341_09
TS23: spinal cord Strong Regionally restricted euxassay_014341_09
TS23: trigeminal ganglion Strong Regionally restricted euxassay_014341_09
TS23: trigeminal nerve Strong Regionally restricted euxassay_014341_09

Specimen euxassay_014341_10: embryonic day 14.5 (more )
Structure Level Pattern Image Note
TS23: brain Strong Regionally restricted euxassay_014341_10
TS23: spinal cord Strong Regionally restricted euxassay_014341_10
TS23: trigeminal nerve Strong Regionally restricted euxassay_014341_10

Specimen euxassay_014341_11: embryonic day 14.5 (more )
Structure Level Pattern Image Note
TS23: brain Strong Regionally restricted euxassay_014341_11
TS23: spinal cord Strong Regionally restricted euxassay_014341_11

Specimen euxassay_014341_12: embryonic day 14.5 (more )
Structure Level Pattern Image Note
TS23: brain Strong Regionally restricted euxassay_014341_12
TS23: spinal cord Strong Regionally restricted euxassay_014341_12

Specimen euxassay_014341_13: embryonic day 14.5 (more )
Structure Level Pattern Image Note
TS23: brain Strong Regionally restricted euxassay_014341_13
TS23: spinal cord Strong Regionally restricted euxassay_014341_13
TS23: dorsal root ganglion Strong Regionally restricted euxassay_014341_13
TS23: olfactory epithelium Strong Regionally restricted euxassay_014341_13

Specimen euxassay_014341_14: embryonic day 14.5 (more )
Structure Level Pattern Image Note
TS23: brain Strong Regionally restricted euxassay_014341_14
TS23: spinal cord Strong Regionally restricted euxassay_014341_14
TS23: dorsal root ganglion Strong Regionally restricted euxassay_014341_14

Specimen euxassay_014341_15: embryonic day 14.5 (more )
Structure Level Pattern Image Note
TS23: brain Strong Regionally restricted euxassay_014341_15
TS23: dorsal root ganglion Strong Regionally restricted euxassay_014341_15
TS23: olfactory epithelium Strong Regionally restricted euxassay_014341_15

Specimen euxassay_014341_16: embryonic day 14.5 (more )
Structure Level Pattern Image Note
TS23: brain Strong Regionally restricted euxassay_014341_16
TS23: trigeminal nerve Strong Regionally restricted euxassay_014341_16
TS23: trigeminal ganglion Strong Regionally restricted euxassay_014341_16
TS23: olfactory epithelium Strong Regionally restricted euxassay_014341_16

Specimen euxassay_014341_17: embryonic day 14.5 (more )
Structure Level Pattern Image Note
TS23: brain Strong Regionally restricted euxassay_014341_17
TS23: trigeminal ganglion Strong Regionally restricted euxassay_014341_17
TS23: facial ganglion Strong Regionally restricted euxassay_014341_17
TS23: olfactory epithelium Strong Regionally restricted euxassay_014341_17

Specimen euxassay_014341_18: embryonic day 14.5 (more )
Structure Level Pattern Image Note
TS23: brain Strong Regionally restricted euxassay_014341_18
TS23: trigeminal ganglion Strong Regionally restricted euxassay_014341_18
TS23: facial ganglion Strong Regionally restricted euxassay_014341_18
TS23: olfactory epithelium Strong Regionally restricted euxassay_014341_18

Specimen euxassay_014341_19: embryonic day 14.5 (more )
Structure Level Pattern Image Note
TS23: brain Strong Regionally restricted euxassay_014341_19
TS23: trigeminal ganglion Strong Regionally restricted euxassay_014341_19
TS23: facial ganglion Strong Regionally restricted euxassay_014341_19

Specimen euxassay_014341_20: embryonic day 14.5 (more )
Structure Level Pattern Image Note
TS23: brain Strong Regionally restricted euxassay_014341_20
TS23: trigeminal ganglion Strong Regionally restricted euxassay_014341_20
TS23: facial ganglion Strong Regionally restricted euxassay_014341_20

Specimen euxassay_014341_21: embryonic day 14.5 (more )
Structure Level Pattern Image Note
TS23: brain Strong Regionally restricted euxassay_014341_21
TS23: trigeminal ganglion Strong Regionally restricted euxassay_014341_21

Specimen euxassay_014341_22: embryonic day 14.5 (more )
Structure Level Pattern Image Note
TS23: brain Strong Regionally restricted euxassay_014341_22

Specimen euxassay_014341_23: embryonic day 14.5 (more )
Structure Level Pattern Image Note
TS23: brain Strong Regionally restricted euxassay_014341_23
TS23: neural retina Strong Regionally restricted euxassay_014341_23

Specimen euxassay_014341_24: embryonic day 14.5 (more )
Structure Level Pattern Image Note
TS23: brain Strong Regionally restricted euxassay_014341_24
TS23: neural retina Strong Regionally restricted euxassay_014341_24


Contributing Projects:
Mouse Genome Database (MGD), Gene Expression Database (GXD), Mouse Models of Human Cancer database (MMHCdb) (formerly Mouse Tumor Biology (MTB)), Gene Ontology (GO)
Citing These Resources
Funding Information
Warranty Disclaimer, Privacy Notice, Licensing, & Copyright
Send questions and comments to User Support.
last database update
01/28/2026
MGI 6.24
The Jackson Laboratory