About   Help   FAQ
Gene Expression Data
Assay Details
Assay
Reference: J:153498 Diez-Roux G, et al., A high-resolution anatomical atlas of the transcriptome in the mouse embryo. PLoS Biol. 2011;9(1):e1000582
Assay type: RNA in situ
MGI Accession ID: MGI:4823546
Gene symbol: Cdr1os
Gene name: cerebellar degeneration related antigen 1, opposite strand
Probe: T45423
Probe preparation: Antisense labelled with digoxigenin RNA
Visualized with: Alkaline phosphatase
Assay notes: Cryosections of fresh frozen material were fixed in 4% paraformaldehyde for 20 min. before further processing. A tyramide-biotin/streptavidin amplification step was included in the in situ hybridization procedure.
Results
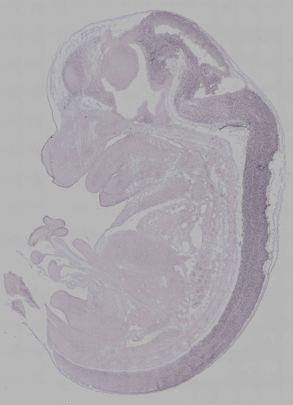
Specimen euxassay_013522_01: embryonic day 14.5 (more )
Structure Level Pattern Image Note
TS23: brain Moderate Regionally restricted euxassay_013522_01

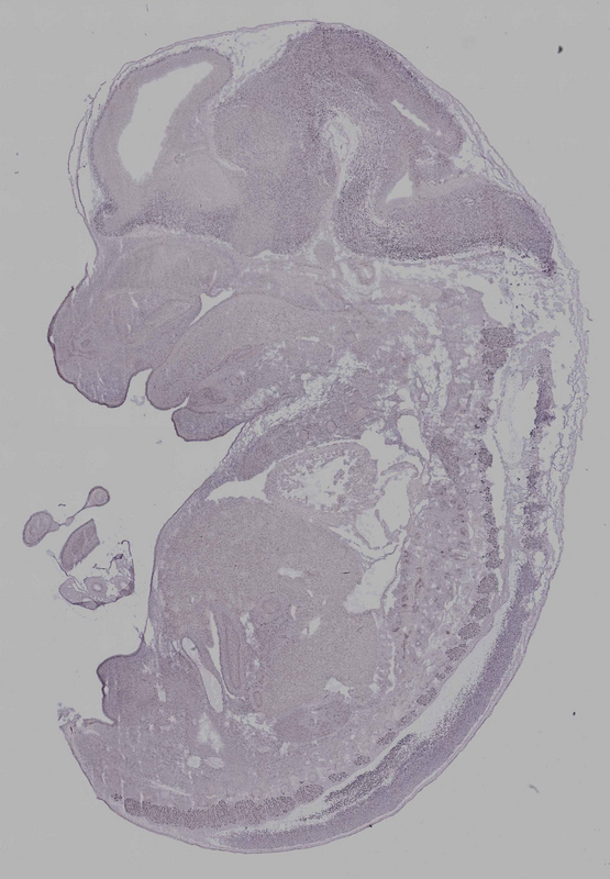
Specimen euxassay_013522_02: embryonic day 14.5 (more )
Structure Level Pattern Image Note
TS23: brain Moderate Regionally restricted euxassay_013522_02
TS23: trigeminal ganglion Moderate Regionally restricted euxassay_013522_02
TS23: facial ganglion Moderate Regionally restricted euxassay_013522_02

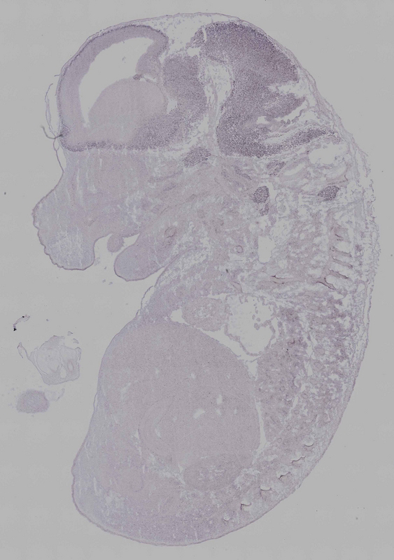
Specimen euxassay_013522_03: embryonic day 14.5 (more )
Structure Level Pattern Image Note
TS23: brain Moderate Regionally restricted euxassay_013522_03
TS23: trigeminal ganglion Moderate Regionally restricted euxassay_013522_03
TS23: facial ganglion Moderate Regionally restricted euxassay_013522_03

Specimen euxassay_013522_04: embryonic day 14.5 (more )
Structure Level Pattern Image Note
TS23: brain Moderate Regionally restricted euxassay_013522_04
TS23: dorsal root ganglion Moderate Regionally restricted euxassay_013522_04
TS23: trigeminal ganglion Moderate Regionally restricted euxassay_013522_04
TS23: vestibulo-cochlear ganglion Moderate Regionally restricted euxassay_013522_04
TS23: glossopharyngeal ganglion Moderate Regionally restricted euxassay_013522_04

Specimen euxassay_013522_05: embryonic day 14.5 (more )
Structure Level Pattern Image Note
TS23: brain Moderate Regionally restricted euxassay_013522_05
TS23: dorsal root ganglion Moderate Regionally restricted euxassay_013522_05
TS23: trigeminal ganglion Moderate Regionally restricted euxassay_013522_05
TS23: glossopharyngeal ganglion Moderate Regionally restricted euxassay_013522_05
TS23: vestibulo-cochlear ganglion Moderate Regionally restricted euxassay_013522_05

Specimen euxassay_013522_06: embryonic day 14.5 (more )
Structure Level Pattern Image Note
TS23: brain Moderate Regionally restricted euxassay_013522_06
TS23: spinal cord Moderate Regionally restricted euxassay_013522_06
TS23: dorsal root ganglion Moderate Regionally restricted euxassay_013522_06
TS23: trigeminal ganglion Moderate Regionally restricted euxassay_013522_06
TS23: vagus ganglion Moderate Regionally restricted euxassay_013522_06

Specimen euxassay_013522_07: embryonic day 14.5 (more )
Structure Level Pattern Image Note
TS23: brain Moderate Regionally restricted euxassay_013522_07
TS23: spinal cord Moderate Regionally restricted euxassay_013522_07
TS23: dorsal root ganglion Moderate Regionally restricted euxassay_013522_07
TS23: trigeminal ganglion Moderate Regionally restricted euxassay_013522_07
TS23: trigeminal nerve Moderate Regionally restricted euxassay_013522_07

Specimen euxassay_013522_08: embryonic day 14.5 (more )
Structure Level Pattern Image Note
TS23: brain Moderate Regionally restricted euxassay_013522_08
TS23: spinal cord Moderate Regionally restricted euxassay_013522_08
TS23: dorsal root ganglion Moderate Regionally restricted euxassay_013522_08

Specimen euxassay_013522_09: embryonic day 14.5 (more )
Structure Level Pattern Image Note
TS23: brain Moderate Regionally restricted euxassay_013522_09
TS23: spinal cord Moderate Regionally restricted euxassay_013522_09

Specimen euxassay_013522_10: embryonic day 14.5 (more )
Structure Level Pattern Image Note
TS23: brain Moderate Regionally restricted euxassay_013522_10
TS23: spinal cord Moderate Regionally restricted euxassay_013522_10

Specimen euxassay_013522_11: embryonic day 14.5 (more )
Structure Level Pattern Image Note
TS23: brain Moderate Regionally restricted euxassay_013522_11
TS23: spinal cord Moderate Regionally restricted euxassay_013522_11

Specimen euxassay_013522_12: embryonic day 14.5 (more )
Structure Level Pattern Image Note
TS23: brain Moderate Regionally restricted euxassay_013522_12
TS23: spinal cord Moderate Regionally restricted euxassay_013522_12

Specimen euxassay_013522_13: embryonic day 14.5 (more )
Structure Level Pattern Image Note
TS23: brain Moderate Regionally restricted euxassay_013522_13
TS23: spinal cord Moderate Regionally restricted euxassay_013522_13
TS23: dorsal root ganglion Moderate Regionally restricted euxassay_013522_13

Specimen euxassay_013522_14: embryonic day 14.5 (more )
Structure Level Pattern Image Note
TS23: brain Moderate Regionally restricted euxassay_013522_14
TS23: spinal cord Moderate Regionally restricted euxassay_013522_14
TS23: dorsal root ganglion Moderate Regionally restricted euxassay_013522_14

Specimen euxassay_013522_15: embryonic day 14.5 (more )
Structure Level Pattern Image Note
TS23: brain Moderate Regionally restricted euxassay_013522_15
TS23: dorsal root ganglion Moderate Regionally restricted euxassay_013522_15
TS23: trigeminal ganglion Moderate Regionally restricted euxassay_013522_15
TS23: vagus ganglion Moderate Regionally restricted euxassay_013522_15
TS23: vestibulo-cochlear ganglion Moderate Regionally restricted euxassay_013522_15

Specimen euxassay_013522_16: embryonic day 14.5 (more )
Structure Level Pattern Image Note
TS23: brain Moderate Regionally restricted euxassay_013522_16
TS23: trigeminal ganglion Moderate Regionally restricted euxassay_013522_16

Specimen euxassay_013522_17: embryonic day 14.5 (more )
Structure Level Pattern Image Note
TS23: brain Moderate Regionally restricted euxassay_013522_17
TS23: trigeminal ganglion Moderate Regionally restricted euxassay_013522_17
TS23: facial ganglion Moderate Regionally restricted euxassay_013522_17

Specimen euxassay_013522_18: embryonic day 14.5 (more )
Structure Level Pattern Image Note
TS23: brain Moderate Regionally restricted euxassay_013522_18
TS23: trigeminal ganglion Moderate Regionally restricted euxassay_013522_18
TS23: facial ganglion Moderate Regionally restricted euxassay_013522_18

Specimen euxassay_013522_19: embryonic day 14.5 (more )
Structure Level Pattern Image Note
TS23: brain Moderate Regionally restricted euxassay_013522_19
TS23: trigeminal ganglion Moderate Regionally restricted euxassay_013522_19
TS23: facial ganglion Moderate Regionally restricted euxassay_013522_19

Specimen euxassay_013522_20: embryonic day 14.5 (more )
Structure Level Pattern Image Note
TS23: brain Moderate Regionally restricted euxassay_013522_20

Specimen euxassay_013522_21: embryonic day 14.5 (more )
Structure Level Pattern Image Note
TS23: brain Moderate Regionally restricted euxassay_013522_21

Specimen euxassay_013522_22: embryonic day 14.5 (more )
Structure Level Pattern Image Note
TS23: brain Moderate Regionally restricted euxassay_013522_22


Contributing Projects:
Mouse Genome Database (MGD), Gene Expression Database (GXD), Mouse Models of Human Cancer database (MMHCdb) (formerly Mouse Tumor Biology (MTB)), Gene Ontology (GO)
Citing These Resources
Funding Information
Warranty Disclaimer, Privacy Notice, Licensing, & Copyright
Send questions and comments to User Support.
last database update
12/30/2025
MGI 6.24
The Jackson Laboratory