About   Help   FAQ
Gene Expression Data
Assay Details
Assay
Reference: J:153498 Diez-Roux G, et al., A high-resolution anatomical atlas of the transcriptome in the mouse embryo. PLoS Biol. 2011;9(1):e1000582
Assay type: RNA in situ
MGI Accession ID: MGI:4823503
Gene symbol: Bri3bp
Gene name: Bri3 binding protein
Probe: MGC clone 49542
Probe preparation: Antisense labelled with digoxigenin RNA
Visualized with: Alkaline phosphatase
Assay notes: Cryosections of fresh frozen material were fixed in 4% paraformaldehyde for 20 min. before further processing. A tyramide-biotin/streptavidin amplification step was included in the in situ hybridization procedure.
Results
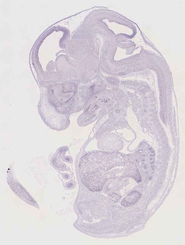
Specimen euxassay_006716_01: embryonic day 14.5 (more )
Structure Level Pattern Image Note
TS23: liver Moderate Regionally restricted euxassay_006716_01

Specimen euxassay_006716_02: embryonic day 14.5 (more )
Structure Level Pattern Image Note
TS23: liver Moderate Regionally restricted euxassay_006716_02

Specimen euxassay_006716_03: embryonic day 14.5 (more )
Structure Level Pattern Image Note
TS23: liver Moderate Regionally restricted euxassay_006716_03

Specimen euxassay_006716_04: embryonic day 14.5 (more )
Structure Level Pattern Image Note
TS23: liver Moderate Regionally restricted euxassay_006716_04

Specimen euxassay_006716_05: embryonic day 14.5 (more )
Structure Level Pattern Image Note
TS23: liver Moderate Regionally restricted euxassay_006716_05
TS23: left lung Moderate Regionally restricted euxassay_006716_05

Specimen euxassay_006716_06: embryonic day 14.5 (more )
Structure Level Pattern Image Note
TS23: liver Moderate Regionally restricted euxassay_006716_06
TS23: left lung Moderate Regionally restricted euxassay_006716_06
TS23: midgut Moderate Regionally restricted euxassay_006716_06

Specimen euxassay_006716_07: embryonic day 14.5 (more )
Structure Level Pattern Image Note
TS23: liver Moderate Regionally restricted euxassay_006716_07
TS23: left lung Moderate Regionally restricted euxassay_006716_07
TS23: metanephros Moderate Regionally restricted euxassay_006716_07
TS23: midgut Moderate Regionally restricted euxassay_006716_07

Specimen euxassay_006716_08: embryonic day 14.5 (more )
Structure Level Pattern Image Note
TS23: liver Moderate Regionally restricted euxassay_006716_08
TS23: metanephros Moderate Regionally restricted euxassay_006716_08
TS23: left lung Moderate Regionally restricted euxassay_006716_08
TS23: midgut Moderate Regionally restricted euxassay_006716_08

Specimen euxassay_006716_09: embryonic day 14.5 (more )
Structure Level Pattern Image Note
TS23: liver Moderate Regionally restricted euxassay_006716_09
TS23: metanephros Moderate Regionally restricted euxassay_006716_09
TS23: left lung Moderate Regionally restricted euxassay_006716_09
TS23: submandibular gland primordium Moderate Regionally restricted euxassay_006716_09
TS23: midgut Moderate Regionally restricted euxassay_006716_09

Specimen euxassay_006716_10: embryonic day 14.5 (more )
Structure Level Pattern Image Note
TS23: liver Moderate Regionally restricted euxassay_006716_10
TS23: metanephros Moderate Regionally restricted euxassay_006716_10
TS23: left lung Moderate Regionally restricted euxassay_006716_10
TS23: submandibular gland primordium Moderate Regionally restricted euxassay_006716_10
TS23: midgut Moderate Regionally restricted euxassay_006716_10

Specimen euxassay_006716_11: embryonic day 14.5 (more )
Structure Level Pattern Image Note
TS23: liver Moderate Regionally restricted euxassay_006716_11
TS23: left lung Moderate Regionally restricted euxassay_006716_11
TS23: thymus primordium Moderate Regionally restricted euxassay_006716_11
TS23: submandibular gland primordium Weak Regionally restricted euxassay_006716_11
TS23: midgut Moderate Regionally restricted euxassay_006716_11

Specimen euxassay_006716_12: embryonic day 14.5 (more )
Structure Level Pattern Image Note
TS23: liver Moderate Regionally restricted euxassay_006716_12
TS23: left lung Moderate Regionally restricted euxassay_006716_12
TS23: thymus primordium Moderate Regionally restricted euxassay_006716_12
TS23: midgut Moderate Regionally restricted euxassay_006716_12

Specimen euxassay_006716_13: embryonic day 14.5 (more )
Structure Level Pattern Image Note
TS23: liver Moderate Regionally restricted euxassay_006716_13
TS23: right lung Moderate Regionally restricted euxassay_006716_13
TS23: thymus primordium Moderate Regionally restricted euxassay_006716_13
TS23: midgut Moderate Regionally restricted euxassay_006716_13

Specimen euxassay_006716_14: embryonic day 14.5 (more )
Structure Level Pattern Image Note
TS23: liver Moderate Regionally restricted euxassay_006716_14
TS23: right lung Moderate Regionally restricted euxassay_006716_14
TS23: thymus primordium Moderate Regionally restricted euxassay_006716_14
TS23: midgut Moderate Regionally restricted euxassay_006716_14

Specimen euxassay_006716_15: embryonic day 14.5 (more )
Structure Level Pattern Image Note
TS23: liver Moderate Regionally restricted euxassay_006716_15
TS23: right lung Moderate Regionally restricted euxassay_006716_15
TS23: thymus primordium Moderate Regionally restricted euxassay_006716_15
TS23: midgut Moderate Regionally restricted euxassay_006716_15

Specimen euxassay_006716_16: embryonic day 14.5 (more )
Structure Level Pattern Image Note
TS23: liver Moderate Regionally restricted euxassay_006716_16
TS23: right lung Moderate Regionally restricted euxassay_006716_16
TS23: metanephros Moderate Regionally restricted euxassay_006716_16
TS23: thymus primordium Moderate Regionally restricted euxassay_006716_16
TS23: submandibular gland primordium Moderate Regionally restricted euxassay_006716_16
TS23: midgut Moderate Regionally restricted euxassay_006716_16

Specimen euxassay_006716_17: embryonic day 14.5 (more )
Structure Level Pattern Image Note
TS23: liver Moderate Regionally restricted euxassay_006716_17
TS23: right lung Moderate Regionally restricted euxassay_006716_17
TS23: metanephros Moderate Regionally restricted euxassay_006716_17
TS23: submandibular gland primordium Moderate Regionally restricted euxassay_006716_17
TS23: midgut Moderate Regionally restricted euxassay_006716_17

Specimen euxassay_006716_18: embryonic day 14.5 (more )
Structure Level Pattern Image Note
TS23: liver Moderate Regionally restricted euxassay_006716_18
TS23: right lung Moderate Regionally restricted euxassay_006716_18
TS23: metanephros Moderate Regionally restricted euxassay_006716_18
TS23: submandibular gland primordium Moderate Regionally restricted euxassay_006716_18
TS23: midgut Moderate Regionally restricted euxassay_006716_18

Specimen euxassay_006716_19: embryonic day 14.5 (more )
Structure Level Pattern Image Note
TS23: liver Moderate Regionally restricted euxassay_006716_19
TS23: right lung Moderate Regionally restricted euxassay_006716_19
TS23: metanephros Moderate Regionally restricted euxassay_006716_19
TS23: midgut Moderate Regionally restricted euxassay_006716_19

Specimen euxassay_006716_20: embryonic day 14.5 (more )
Structure Level Pattern Image Note
TS23: liver Moderate Regionally restricted euxassay_006716_20
TS23: right lung Moderate Regionally restricted euxassay_006716_20
TS23: metanephros Moderate Regionally restricted euxassay_006716_20

Specimen euxassay_006716_21: embryonic day 14.5 (more )
Structure Level Pattern Image Note
TS23: liver Moderate Regionally restricted euxassay_006716_21
TS23: right lung Moderate Regionally restricted euxassay_006716_21

Specimen euxassay_006716_22: embryonic day 14.5 (more )
Structure Level Pattern Image Note
TS23: liver Moderate Regionally restricted euxassay_006716_22
TS23: right lung Moderate Regionally restricted euxassay_006716_22

Specimen euxassay_006716_23: embryonic day 14.5 (more )
Structure Level Pattern Image Note
TS23: liver Moderate Regionally restricted euxassay_006716_23


Contributing Projects:
Mouse Genome Database (MGD), Gene Expression Database (GXD), Mouse Models of Human Cancer database (MMHCdb) (formerly Mouse Tumor Biology (MTB)), Gene Ontology (GO)
Citing These Resources
Funding Information
Warranty Disclaimer, Privacy Notice, Licensing, & Copyright
Send questions and comments to User Support.
last database update
12/30/2025
MGI 6.24
The Jackson Laboratory