About   Help   FAQ
Gene Expression Data
Assay Details
Assay
Reference: J:153498 Diez-Roux G, et al., A high-resolution anatomical atlas of the transcriptome in the mouse embryo. PLoS Biol. 2011;9(1):e1000582
Assay type: RNA in situ
MGI Accession ID: MGI:4823454
Gene symbol: Bcl9l
Gene name: B cell CLL/lymphoma 9-like
Probe: T30738
Probe preparation: Antisense labelled with digoxigenin RNA
Visualized with: Alkaline phosphatase
Assay notes: Cryosections of fresh frozen material were fixed in 4% paraformaldehyde for 20 min. before further processing. A tyramide-biotin/streptavidin amplification step was included in the in situ hybridization procedure.
Results
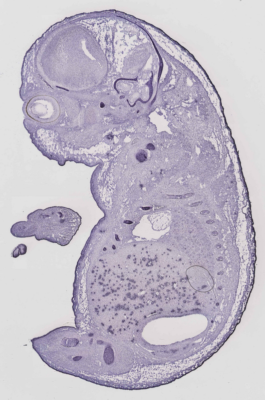
Specimen euxassay_012109_01: embryonic day 14.5 (more )
Structure Level Pattern Image Note
TS23: basioccipital bone Strong Regionally restricted euxassay_012109_01
TS23: temporal bone petrous part Strong Regionally restricted euxassay_012109_01
TS23: orbito-sphenoid Strong Regionally restricted euxassay_012109_01
TS23: Meckel's cartilage Strong Regionally restricted euxassay_012109_01
TS23: rib Strong Regionally restricted euxassay_012109_01
TS23: fibula Strong Regionally restricted euxassay_012109_01
TS23: tibia Strong Regionally restricted euxassay_012109_01
TS23: forelimb digit 2 phalanx Strong Regionally restricted euxassay_012109_01
TS23: forelimb digit 1 phalanx Strong Regionally restricted euxassay_012109_01
TS23: humerus Strong Regionally restricted euxassay_012109_01
TS23: scapula Strong Regionally restricted euxassay_012109_01
TS23: liver Strong Spotted euxassay_012109_01

Specimen euxassay_012109_02: embryonic day 14.5 (more )
Structure Level Pattern Image Note
TS23: basioccipital bone Strong Regionally restricted euxassay_012109_02
TS23: temporal bone petrous part Strong Regionally restricted euxassay_012109_02
TS23: orbito-sphenoid Strong Regionally restricted euxassay_012109_02
TS23: Meckel's cartilage Strong Regionally restricted euxassay_012109_02
TS23: rib Strong Regionally restricted euxassay_012109_02
TS23: fibula Strong Regionally restricted euxassay_012109_02
TS23: tibia Strong Regionally restricted euxassay_012109_02
TS23: femur Strong Regionally restricted euxassay_012109_02
TS23: humerus Strong Regionally restricted euxassay_012109_02
TS23: scapula Strong Regionally restricted euxassay_012109_02
TS23: liver Strong Spotted euxassay_012109_02

Specimen euxassay_012109_03: embryonic day 14.5 (more )
Structure Level Pattern Image Note
TS23: basioccipital bone Strong Regionally restricted euxassay_012109_03
TS23: temporal bone petrous part Strong Regionally restricted euxassay_012109_03
TS23: orbito-sphenoid Strong Regionally restricted euxassay_012109_03
TS23: Meckel's cartilage Strong Regionally restricted euxassay_012109_03
TS23: rib Strong Regionally restricted euxassay_012109_03
TS23: fibula Strong Regionally restricted euxassay_012109_03
TS23: tibia Strong Regionally restricted euxassay_012109_03
TS23: femur Strong Regionally restricted euxassay_012109_03
TS23: liver Strong Spotted euxassay_012109_03

Specimen euxassay_012109_04: embryonic day 14.5 (more )
Structure Level Pattern Image Note
TS23: basioccipital bone Strong Regionally restricted euxassay_012109_04
TS23: orbito-sphenoid Strong Regionally restricted euxassay_012109_04
TS23: temporal bone petrous part Strong Regionally restricted euxassay_012109_04
TS23: Meckel's cartilage Strong Regionally restricted euxassay_012109_04
TS23: rib Strong Regionally restricted euxassay_012109_04
TS23: fibula Strong Regionally restricted euxassay_012109_04
TS23: tibia Strong Regionally restricted euxassay_012109_04
TS23: femur Strong Regionally restricted euxassay_012109_04
TS23: liver Strong Spotted euxassay_012109_04

Specimen euxassay_012109_05: embryonic day 14.5 (more )
Structure Level Pattern Image Note
TS23: basioccipital bone Strong Regionally restricted euxassay_012109_05
TS23: basisphenoid bone Strong Regionally restricted euxassay_012109_05
TS23: orbito-sphenoid Strong Regionally restricted euxassay_012109_05
TS23: temporal bone petrous part Strong Regionally restricted euxassay_012109_05
TS23: Meckel's cartilage Strong Regionally restricted euxassay_012109_05
TS23: rib Strong Regionally restricted euxassay_012109_05
TS23: axial skeleton Strong Regionally restricted euxassay_012109_05
TS23: femur Strong Regionally restricted euxassay_012109_05
TS23: liver Strong Spotted euxassay_012109_05

Specimen euxassay_012109_06: embryonic day 14.5 (more )
Structure Level Pattern Image Note
TS23: basioccipital bone Strong Regionally restricted euxassay_012109_06
TS23: basisphenoid bone Strong Regionally restricted euxassay_012109_06
TS23: temporal bone petrous part Strong Regionally restricted euxassay_012109_06
TS23: orbito-sphenoid Strong Regionally restricted euxassay_012109_06
TS23: otic capsule Strong Regionally restricted euxassay_012109_06
TS23: Meckel's cartilage Strong Regionally restricted euxassay_012109_06
TS23: rib Strong Regionally restricted euxassay_012109_06
TS23: axial skeleton Strong Regionally restricted euxassay_012109_06
TS23: hindlimb digit 3 phalanx Strong Regionally restricted euxassay_012109_06
TS23: femur Strong Regionally restricted euxassay_012109_06
TS23: liver Strong Spotted euxassay_012109_06

Specimen euxassay_012109_07: embryonic day 14.5 (more )
Structure Level Pattern Image Note
TS23: basioccipital bone Strong Regionally restricted euxassay_012109_07
TS23: basisphenoid bone Strong Regionally restricted euxassay_012109_07
TS23: orbito-sphenoid Strong Regionally restricted euxassay_012109_07
TS23: otic capsule Strong Regionally restricted euxassay_012109_07
TS23: Meckel's cartilage Strong Regionally restricted euxassay_012109_07
TS23: axial skeleton Strong Regionally restricted euxassay_012109_07
TS23: rib Strong Regionally restricted euxassay_012109_07
TS23: hindlimb digit 3 phalanx Strong Regionally restricted euxassay_012109_07
TS23: hindlimb digit 2 phalanx Strong Regionally restricted euxassay_012109_07
TS23: hindlimb digit 4 phalanx Strong Regionally restricted euxassay_012109_07
TS23: femur Strong Regionally restricted euxassay_012109_07
TS23: liver Strong Spotted euxassay_012109_07

Specimen euxassay_012109_08: embryonic day 14.5 (more )
Structure Level Pattern Image Note
TS23: basioccipital bone Strong Regionally restricted euxassay_012109_08
TS23: basisphenoid bone Strong Regionally restricted euxassay_012109_08
TS23: orbito-sphenoid Strong Regionally restricted euxassay_012109_08
TS23: otic capsule Strong Regionally restricted euxassay_012109_08
TS23: Meckel's cartilage Strong Regionally restricted euxassay_012109_08
TS23: thyroid cartilage Strong Regionally restricted euxassay_012109_08
TS23: axial skeleton Strong Regionally restricted euxassay_012109_08
TS23: rib Strong Regionally restricted euxassay_012109_08
TS23: femur Strong Regionally restricted euxassay_012109_08
TS23: hindlimb digit 4 phalanx Strong Regionally restricted euxassay_012109_08
TS23: hindlimb digit 3 phalanx Strong Regionally restricted euxassay_012109_08
TS23: hindlimb digit 2 phalanx Strong Regionally restricted euxassay_012109_08
TS23: hindlimb digit 1 phalanx Strong Regionally restricted euxassay_012109_08
TS23: liver Strong Spotted euxassay_012109_08

Specimen euxassay_012109_09: embryonic day 14.5 (more )
Structure Level Pattern Image Note
TS23: basioccipital bone Strong Regionally restricted euxassay_012109_09
TS23: basisphenoid bone Strong Regionally restricted euxassay_012109_09
TS23: orbito-sphenoid Strong Regionally restricted euxassay_012109_09
TS23: turbinate bone primordium Strong Regionally restricted euxassay_012109_09
TS23: Meckel's cartilage Strong Regionally restricted euxassay_012109_09
TS23: hyoid Strong Regionally restricted euxassay_012109_09
TS23: thyroid cartilage Strong Regionally restricted euxassay_012109_09
TS23: axial skeleton Strong Regionally restricted euxassay_012109_09
TS23: rib Strong Regionally restricted euxassay_012109_09
TS23: femur Strong Regionally restricted euxassay_012109_09
TS23: pelvic girdle skeleton Strong Regionally restricted euxassay_012109_09
TS23: liver Strong Spotted euxassay_012109_09

Specimen euxassay_012109_10: embryonic day 14.5 (more )
Structure Level Pattern Image Note
TS23: basisphenoid bone Strong Regionally restricted euxassay_012109_10
TS23: basioccipital bone Strong Regionally restricted euxassay_012109_10
TS23: turbinate bone primordium Strong Regionally restricted euxassay_012109_10
TS23: Meckel's cartilage Strong Regionally restricted euxassay_012109_10
TS23: hyoid Strong Regionally restricted euxassay_012109_10
TS23: thyroid cartilage Strong Regionally restricted euxassay_012109_10
TS23: cricoid cartilage Strong Regionally restricted euxassay_012109_10
TS23: axial skeleton Strong Regionally restricted euxassay_012109_10
TS23: rib Strong Regionally restricted euxassay_012109_10
TS23: pelvic girdle skeleton Strong Regionally restricted euxassay_012109_10
TS23: femur Strong Regionally restricted euxassay_012109_10
TS23: liver Strong Spotted euxassay_012109_10

Specimen euxassay_012109_11: embryonic day 14.5 (more )
Structure Level Pattern Image Note
TS23: basisphenoid bone Strong Regionally restricted euxassay_012109_11
TS23: basioccipital bone Strong Regionally restricted euxassay_012109_11
TS23: turbinate bone primordium Strong Regionally restricted euxassay_012109_11
TS23: Meckel's cartilage Strong Regionally restricted euxassay_012109_11
TS23: hyoid Strong Regionally restricted euxassay_012109_11
TS23: thyroid cartilage Strong Regionally restricted euxassay_012109_11
TS23: cricoid cartilage Strong Regionally restricted euxassay_012109_11
TS23: axial skeleton Strong Regionally restricted euxassay_012109_11
TS23: rib Strong Regionally restricted euxassay_012109_11
TS23: pelvic girdle skeleton Strong Regionally restricted euxassay_012109_11
TS23: liver Strong Spotted euxassay_012109_11

Specimen euxassay_012109_12: embryonic day 14.5 (more )
Structure Level Pattern Image Note
TS23: basioccipital bone Strong Regionally restricted euxassay_012109_12
TS23: basisphenoid bone Strong Regionally restricted euxassay_012109_12
TS23: turbinate bone primordium Strong Regionally restricted euxassay_012109_12
TS23: Meckel's cartilage Strong Regionally restricted euxassay_012109_12
TS23: hyoid Strong Regionally restricted euxassay_012109_12
TS23: thyroid cartilage Strong Regionally restricted euxassay_012109_12
TS23: cricoid cartilage Strong Regionally restricted euxassay_012109_12
TS23: axial skeleton Strong Regionally restricted euxassay_012109_12
TS23: sternum Strong Regionally restricted euxassay_012109_12
TS23: liver Strong Spotted euxassay_012109_12

Specimen euxassay_012109_13: embryonic day 14.5 (more )
Structure Level Pattern Image Note
TS23: basioccipital bone Strong Regionally restricted euxassay_012109_13
TS23: basisphenoid bone Strong Regionally restricted euxassay_012109_13
TS23: turbinate bone primordium Strong Regionally restricted euxassay_012109_13
TS23: Meckel's cartilage Strong Regionally restricted euxassay_012109_13
TS23: hyoid Strong Regionally restricted euxassay_012109_13
TS23: cricoid cartilage Strong Regionally restricted euxassay_012109_13
TS23: thyroid cartilage Strong Regionally restricted euxassay_012109_13
TS23: axial skeleton Strong Regionally restricted euxassay_012109_13
TS23: sternum Strong Regionally restricted euxassay_012109_13
TS23: liver Strong Spotted euxassay_012109_13

Specimen euxassay_012109_14: embryonic day 14.5 (more )
Structure Level Pattern Image Note
TS23: basioccipital bone Strong Regionally restricted euxassay_012109_14
TS23: basisphenoid bone Strong Regionally restricted euxassay_012109_14
TS23: naris Strong Regionally restricted euxassay_012109_14
TS23: Meckel's cartilage Strong Regionally restricted euxassay_012109_14
TS23: hyoid Strong Regionally restricted euxassay_012109_14
TS23: thyroid cartilage Strong Regionally restricted euxassay_012109_14
TS23: axial skeleton Strong Regionally restricted euxassay_012109_14
TS23: rib Strong Regionally restricted euxassay_012109_14
TS23: liver Strong Spotted euxassay_012109_14

Specimen euxassay_012109_15: embryonic day 14.5 (more )
Structure Level Pattern Image Note
TS23: basioccipital bone Strong Regionally restricted euxassay_012109_15
TS23: basisphenoid bone Strong Regionally restricted euxassay_012109_15
TS23: naris Strong Regionally restricted euxassay_012109_15
TS23: Meckel's cartilage Strong Regionally restricted euxassay_012109_15
TS23: hyoid Strong Regionally restricted euxassay_012109_15
TS23: axial skeleton Strong Regionally restricted euxassay_012109_15
TS23: rib Strong Regionally restricted euxassay_012109_15
TS23: liver Strong Spotted euxassay_012109_15

Specimen euxassay_012109_16: embryonic day 14.5 (more )
Structure Level Pattern Image Note
TS23: basioccipital bone Strong Regionally restricted euxassay_012109_16
TS23: basisphenoid bone Strong Regionally restricted euxassay_012109_16
TS23: otic capsule Strong Regionally restricted euxassay_012109_16
TS23: naris Strong Regionally restricted euxassay_012109_16
TS23: turbinate bone primordium Strong Regionally restricted euxassay_012109_16
TS23: Meckel's cartilage Strong Regionally restricted euxassay_012109_16
TS23: hyoid Strong Regionally restricted euxassay_012109_16
TS23: axial skeleton Strong Regionally restricted euxassay_012109_16
TS23: rib Strong Regionally restricted euxassay_012109_16
TS23: liver Strong Spotted euxassay_012109_16

Specimen euxassay_012109_17: embryonic day 14.5 (more )
Structure Level Pattern Image Note
TS23: basioccipital bone Strong Regionally restricted euxassay_012109_17
TS23: basisphenoid bone Strong Regionally restricted euxassay_012109_17
TS23: temporal bone petrous part Strong Regionally restricted euxassay_012109_17
TS23: naris Strong Regionally restricted euxassay_012109_17
TS23: Meckel's cartilage Strong Regionally restricted euxassay_012109_17
TS23: axial skeleton Strong Regionally restricted euxassay_012109_17
TS23: rib Strong Regionally restricted euxassay_012109_17
TS23: liver Strong Spotted euxassay_012109_17

Specimen euxassay_012109_18: embryonic day 14.5 (more )
Structure Level Pattern Image Note
TS23: basioccipital bone Strong Regionally restricted euxassay_012109_18
TS23: basisphenoid bone Strong Regionally restricted euxassay_012109_18
TS23: temporal bone petrous part Strong Regionally restricted euxassay_012109_18
TS23: naris Strong Regionally restricted euxassay_012109_18
TS23: Meckel's cartilage Strong Regionally restricted euxassay_012109_18
TS23: rib Strong Regionally restricted euxassay_012109_18
TS23: liver Strong Spotted euxassay_012109_18

Specimen euxassay_012109_19: embryonic day 14.5 (more )
Structure Level Pattern Image Note
TS23: basioccipital bone Strong Regionally restricted euxassay_012109_19
TS23: basisphenoid bone Strong Regionally restricted euxassay_012109_19
TS23: temporal bone petrous part Strong Regionally restricted euxassay_012109_19
TS23: orbito-sphenoid Strong Regionally restricted euxassay_012109_19
TS23: naris Strong Regionally restricted euxassay_012109_19
TS23: turbinate bone primordium Strong Regionally restricted euxassay_012109_19
TS23: rib Strong Regionally restricted euxassay_012109_19
TS23: pelvic girdle skeleton Strong Regionally restricted euxassay_012109_19
TS23: liver Strong Spotted euxassay_012109_19

Specimen euxassay_012109_20: embryonic day 14.5 (more )
Structure Level Pattern Image Note
TS23: basioccipital bone Strong Regionally restricted euxassay_012109_20
TS23: temporal bone petrous part Strong Regionally restricted euxassay_012109_20
TS23: orbito-sphenoid Strong Regionally restricted euxassay_012109_20
TS23: turbinate bone primordium Strong Regionally restricted euxassay_012109_20
TS23: Meckel's cartilage Strong Regionally restricted euxassay_012109_20
TS23: rib Strong Regionally restricted euxassay_012109_20
TS23: liver Strong Spotted euxassay_012109_20

Specimen euxassay_012109_21: embryonic day 14.5 (more )
Structure Level Pattern Image Note
TS23: basioccipital bone Strong Regionally restricted euxassay_012109_21
TS23: temporal bone petrous part Strong Regionally restricted euxassay_012109_21
TS23: orbito-sphenoid Strong Regionally restricted euxassay_012109_21
TS23: turbinate bone primordium Strong Regionally restricted euxassay_012109_21
TS23: Meckel's cartilage Strong Regionally restricted euxassay_012109_21
TS23: rib Strong Regionally restricted euxassay_012109_21
TS23: femur Strong Regionally restricted euxassay_012109_21
TS23: humerus Strong Regionally restricted euxassay_012109_21
TS23: scapula Strong Regionally restricted euxassay_012109_21
TS23: liver Strong Spotted euxassay_012109_21

Specimen euxassay_012109_22: embryonic day 14.5 (more )
Structure Level Pattern Image Note
TS23: basioccipital bone Strong Regionally restricted euxassay_012109_22
TS23: orbito-sphenoid Strong Regionally restricted euxassay_012109_22
TS23: temporal bone petrous part Strong Regionally restricted euxassay_012109_22
TS23: turbinate bone primordium Strong Regionally restricted euxassay_012109_22
TS23: Meckel's cartilage Strong Regionally restricted euxassay_012109_22
TS23: rib Strong Regionally restricted euxassay_012109_22
TS23: femur Strong Regionally restricted euxassay_012109_22
TS23: humerus Strong Regionally restricted euxassay_012109_22
TS23: scapula Strong Regionally restricted euxassay_012109_22
TS23: liver Strong Spotted euxassay_012109_22

Specimen euxassay_012109_23: embryonic day 14.5 (more )
Structure Level Pattern Image Note
TS23: temporal bone petrous part Strong Regionally restricted euxassay_012109_23
TS23: basioccipital bone Strong Regionally restricted euxassay_012109_23
TS23: orbito-sphenoid Strong Regionally restricted euxassay_012109_23
TS23: Meckel's cartilage Strong Regionally restricted euxassay_012109_23
TS23: rib Strong Regionally restricted euxassay_012109_23
TS23: femur Strong Regionally restricted euxassay_012109_23
TS23: humerus Strong Regionally restricted euxassay_012109_23
TS23: liver Strong Spotted euxassay_012109_23

Specimen euxassay_012109_24: embryonic day 14.5 (more )
Structure Level Pattern Image Note
TS23: basioccipital bone Strong Regionally restricted euxassay_012109_24
TS23: temporal bone petrous part Strong Regionally restricted euxassay_012109_24
TS23: orbito-sphenoid Strong Regionally restricted euxassay_012109_24
TS23: rib Strong Regionally restricted euxassay_012109_24
TS23: femur Strong Regionally restricted euxassay_012109_24
TS23: humerus Strong Regionally restricted euxassay_012109_24
TS23: liver Strong Spotted euxassay_012109_24
TS23: vibrissa Strong Spotted euxassay_012109_24


Contributing Projects:
Mouse Genome Database (MGD), Gene Expression Database (GXD), Mouse Models of Human Cancer database (MMHCdb) (formerly Mouse Tumor Biology (MTB)), Gene Ontology (GO)
Citing These Resources
Funding Information
Warranty Disclaimer, Privacy Notice, Licensing, & Copyright
Send questions and comments to User Support.
last database update
01/20/2026
MGI 6.24
The Jackson Laboratory