About   Help   FAQ
Gene Expression Data
Assay Details
Assay
Reference: J:153498 Diez-Roux G, et al., A high-resolution anatomical atlas of the transcriptome in the mouse embryo. PLoS Biol. 2011;9(1):e1000582
Assay type: RNA in situ
MGI Accession ID: MGI:4823452
Gene symbol: Bcl7a
Gene name: B cell CLL/lymphoma 7A
Probe: IMAGE clone 1225594
Probe preparation: Antisense labelled with digoxigenin RNA
Visualized with: Alkaline phosphatase
Assay notes: Cryosections of fresh frozen material were fixed in 4% paraformaldehyde for 20 min. before further processing. A tyramide-biotin/streptavidin amplification step was included in the in situ hybridization procedure.
Results
Specimen euxassay_009092_01: embryonic day 14.5 (more )
Structure Level Pattern Image Note
TS23: neural retina Moderate Regionally restricted euxassay_009092_01
TS23: vertebral axis musculature Weak Regionally restricted euxassay_009092_01
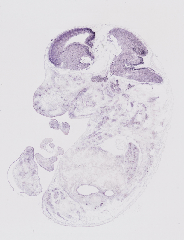
TS23: telencephalon Strong Uniform euxassay_009092_01

Specimen euxassay_009092_02: embryonic day 14.5 (more )
Structure Level Pattern Image Note
TS23: neural retina Moderate Regionally restricted euxassay_009092_02
TS23: vertebral axis musculature Weak Regionally restricted euxassay_009092_02
TS23: telencephalon Strong Uniform euxassay_009092_02

Specimen euxassay_009092_03: embryonic day 14.5 (more )
Structure Level Pattern Image Note
TS23: neural retina Moderate Regionally restricted euxassay_009092_03
TS23: vertebral axis musculature Weak Regionally restricted euxassay_009092_03
TS23: metencephalon Moderate Uniform euxassay_009092_03
TS23: telencephalon Strong Uniform euxassay_009092_03

Specimen euxassay_009092_04: embryonic day 14.5 (more )
Structure Level Pattern Image Note
TS23: neural retina Moderate Regionally restricted euxassay_009092_04
TS23: vertebral axis musculature Weak Regionally restricted euxassay_009092_04
TS23: trigeminal ganglion Moderate Regionally restricted euxassay_009092_04
TS23: facial ganglion Moderate Regionally restricted euxassay_009092_04
TS23: metencephalon Moderate Uniform euxassay_009092_04
TS23: telencephalon Moderate Uniform euxassay_009092_04

Specimen euxassay_009092_05: embryonic day 14.5 (more )
Structure Level Pattern Image Note
TS23: neural retina Moderate Regionally restricted euxassay_009092_05
TS23: vertebral axis musculature Weak Regionally restricted euxassay_009092_05
TS23: trigeminal ganglion Moderate Regionally restricted euxassay_009092_05
TS23: vestibulo-cochlear ganglion Moderate Regionally restricted euxassay_009092_05
TS23: facial ganglion Moderate Regionally restricted euxassay_009092_05

Specimen euxassay_009092_06: embryonic day 14.5 (more )
Structure Level Pattern Image Note
TS23: vertebral axis musculature Weak Regionally restricted euxassay_009092_06
TS23: trigeminal ganglion Moderate Regionally restricted euxassay_009092_06
TS23: vestibulo-cochlear ganglion Moderate Regionally restricted euxassay_009092_06
TS23: telencephalon Moderate Uniform euxassay_009092_06
TS23: medulla oblongata Moderate Uniform euxassay_009092_06
TS23: metencephalon Moderate Uniform euxassay_009092_06
TS23: midbrain Moderate Uniform euxassay_009092_06
TS23: vibrissa Weak Regionally restricted euxassay_009092_06

Specimen euxassay_009092_07: embryonic day 14.5 (more )
Structure Level Pattern Image Note
TS23: vertebral axis musculature Weak Regionally restricted euxassay_009092_07
TS23: trigeminal ganglion Moderate Regionally restricted euxassay_009092_07
TS23: glossopharyngeal ganglion Moderate Regionally restricted euxassay_009092_07
TS23: vestibulo-cochlear ganglion Moderate Regionally restricted euxassay_009092_07
TS23: dorsal root ganglion Weak Regionally restricted euxassay_009092_07
TS23: telencephalon Moderate Uniform euxassay_009092_07
TS23: medulla oblongata Moderate Uniform euxassay_009092_07
TS23: metencephalon Moderate Uniform euxassay_009092_07
TS23: midbrain Moderate Uniform euxassay_009092_07
TS23: vibrissa Weak Regionally restricted euxassay_009092_07

Specimen euxassay_009092_08: embryonic day 14.5 (more )
Structure Level Pattern Image Note
TS23: vertebral axis musculature Weak Regionally restricted euxassay_009092_08
TS23: trigeminal ganglion Moderate Regionally restricted euxassay_009092_08
TS23: vestibulo-cochlear ganglion Moderate Regionally restricted euxassay_009092_08
TS23: dorsal root ganglion Weak Regionally restricted euxassay_009092_08
TS23: upper jaw molar Weak Regionally restricted euxassay_009092_08
TS23: lower jaw molar Weak Regionally restricted euxassay_009092_08
TS23: metencephalon Moderate Uniform euxassay_009092_08
TS23: medulla oblongata Moderate Uniform euxassay_009092_08
TS23: telencephalon Moderate Uniform euxassay_009092_08
TS23: diencephalon Moderate Uniform euxassay_009092_08
TS23: midbrain Moderate Uniform euxassay_009092_08
TS23: vibrissa Weak Regionally restricted euxassay_009092_08

Specimen euxassay_009092_09: embryonic day 14.5 (more )
Structure Level Pattern Image Note
TS23: vertebral axis musculature Weak Regionally restricted euxassay_009092_09
TS23: olfactory epithelium Strong Regionally restricted euxassay_009092_09
TS23: dorsal root ganglion Moderate Regionally restricted euxassay_009092_09
TS23: metanephros Moderate Regionally restricted euxassay_009092_09
TS23: lower jaw molar Weak Regionally restricted euxassay_009092_09
TS23: spinal cord Moderate Uniform euxassay_009092_09
TS23: metencephalon Moderate Uniform euxassay_009092_09
TS23: medulla oblongata Moderate Uniform euxassay_009092_09
TS23: telencephalon Moderate Uniform euxassay_009092_09
TS23: diencephalon Moderate Uniform euxassay_009092_09
TS23: midbrain Moderate Uniform euxassay_009092_09

Specimen euxassay_009092_10: embryonic day 14.5 (more )
Structure Level Pattern Image Note
TS23: vertebral axis musculature Weak Regionally restricted euxassay_009092_10
TS23: olfactory epithelium Strong Regionally restricted euxassay_009092_10
TS23: dorsal root ganglion Weak Regionally restricted euxassay_009092_10
TS23: metanephros Moderate Regionally restricted euxassay_009092_10
TS23: thyroid gland Moderate Regionally restricted euxassay_009092_10
TS23: metencephalon Moderate Uniform euxassay_009092_10
TS23: medulla oblongata Moderate Uniform euxassay_009092_10
TS23: telencephalon Moderate Uniform euxassay_009092_10
TS23: diencephalon Moderate Uniform euxassay_009092_10
TS23: spinal cord Moderate Uniform euxassay_009092_10
TS23: midbrain Moderate Uniform euxassay_009092_10

Specimen euxassay_009092_11: embryonic day 14.5 (more )
Structure Level Pattern Image Note
TS23: vertebral axis musculature Weak Regionally restricted euxassay_009092_11
TS23: olfactory epithelium Strong Regionally restricted euxassay_009092_11
TS23: dorsal root ganglion Weak Regionally restricted euxassay_009092_11
TS23: metanephros Moderate Regionally restricted euxassay_009092_11
TS23: thymus primordium Weak Regionally restricted euxassay_009092_11
TS23: thyroid gland Moderate Regionally restricted euxassay_009092_11
TS23: spinal cord Moderate Uniform euxassay_009092_11
TS23: metencephalon Moderate Uniform euxassay_009092_11
TS23: medulla oblongata Moderate Uniform euxassay_009092_11
TS23: telencephalon Moderate Uniform euxassay_009092_11
TS23: diencephalon Moderate Uniform euxassay_009092_11
TS23: midbrain Moderate Uniform euxassay_009092_11

Specimen euxassay_009092_12: embryonic day 14.5 (more )
Structure Level Pattern Image Note
TS23: vertebral axis musculature Weak Regionally restricted euxassay_009092_12
TS23: olfactory epithelium Strong Regionally restricted euxassay_009092_12
TS23: vomeronasal organ Strong Regionally restricted euxassay_009092_12
TS23: dorsal root ganglion Weak Regionally restricted euxassay_009092_12
TS23: metanephros Moderate Regionally restricted euxassay_009092_12
TS23: thymus primordium Weak Regionally restricted euxassay_009092_12
TS23: upper jaw incisor Weak Regionally restricted euxassay_009092_12
TS23: lower jaw incisor Weak Regionally restricted euxassay_009092_12
TS23: spinal cord Moderate Uniform euxassay_009092_12
TS23: metencephalon Moderate Uniform euxassay_009092_12
TS23: medulla oblongata Moderate Uniform euxassay_009092_12
TS23: telencephalon Moderate Uniform euxassay_009092_12
TS23: diencephalon Moderate Uniform euxassay_009092_12
TS23: midbrain Moderate Uniform euxassay_009092_12

Specimen euxassay_009092_13: embryonic day 14.5 (more )
Structure Level Pattern Image Note
TS23: vertebral axis musculature Weak Regionally restricted euxassay_009092_13
TS23: olfactory epithelium Strong Regionally restricted euxassay_009092_13
TS23: vomeronasal organ Strong Regionally restricted euxassay_009092_13
TS23: thymus primordium Weak Regionally restricted euxassay_009092_13
TS23: upper jaw incisor Weak Regionally restricted euxassay_009092_13
TS23: lower jaw incisor Weak Regionally restricted euxassay_009092_13
TS23: spinal cord Moderate Uniform euxassay_009092_13
TS23: metencephalon Moderate Uniform euxassay_009092_13
TS23: medulla oblongata Moderate Uniform euxassay_009092_13
TS23: telencephalon Moderate Uniform euxassay_009092_13
TS23: diencephalon Moderate Uniform euxassay_009092_13
TS23: midbrain Moderate Uniform euxassay_009092_13

Specimen euxassay_009092_14: embryonic day 14.5 (more )
Structure Level Pattern Image Note
TS23: vertebral axis musculature Weak Regionally restricted euxassay_009092_14
TS23: olfactory epithelium Strong Regionally restricted euxassay_009092_14
TS23: thymus primordium Weak Regionally restricted euxassay_009092_14
TS23: spinal cord Moderate Uniform euxassay_009092_14
TS23: metencephalon Moderate Uniform euxassay_009092_14
TS23: medulla oblongata Moderate Uniform euxassay_009092_14
TS23: telencephalon Moderate Uniform euxassay_009092_14
TS23: diencephalon Moderate Uniform euxassay_009092_14
TS23: midbrain Moderate Uniform euxassay_009092_14

Specimen euxassay_009092_15: embryonic day 14.5 (more )
Structure Level Pattern Image Note
TS23: vertebral axis musculature Weak Regionally restricted euxassay_009092_15
TS23: olfactory epithelium Strong Regionally restricted euxassay_009092_15
TS23: vomeronasal organ Strong Regionally restricted euxassay_009092_15
TS23: thymus primordium Moderate Regionally restricted euxassay_009092_15
TS23: thyroid gland Moderate Regionally restricted euxassay_009092_15
TS23: spinal cord Moderate Uniform euxassay_009092_15
TS23: metencephalon Moderate Uniform euxassay_009092_15
TS23: medulla oblongata Moderate Uniform euxassay_009092_15
TS23: telencephalon Moderate Uniform euxassay_009092_15
TS23: diencephalon Moderate Uniform euxassay_009092_15
TS23: midbrain Moderate Uniform euxassay_009092_15

Specimen euxassay_009092_16: embryonic day 14.5 (more )
Structure Level Pattern Image Note
TS23: vertebral axis musculature Weak Regionally restricted euxassay_009092_16
TS23: olfactory epithelium Strong Regionally restricted euxassay_009092_16
TS23: dorsal root ganglion Weak Regionally restricted euxassay_009092_16
TS23: upper jaw incisor Weak Regionally restricted euxassay_009092_16
TS23: lower jaw incisor Weak Regionally restricted euxassay_009092_16
TS23: metencephalon Moderate Uniform euxassay_009092_16
TS23: midbrain Moderate Uniform euxassay_009092_16
TS23: medulla oblongata Moderate Uniform euxassay_009092_16
TS23: telencephalon Moderate Uniform euxassay_009092_16
TS23: diencephalon Moderate Uniform euxassay_009092_16
TS23: spinal cord Moderate Uniform euxassay_009092_16

Specimen euxassay_009092_17: embryonic day 14.5 (more )
Structure Level Pattern Image Note
TS23: vertebral axis musculature Weak Regionally restricted euxassay_009092_17
TS23: olfactory epithelium Strong Regionally restricted euxassay_009092_17
TS23: vagus ganglion Moderate Regionally restricted euxassay_009092_17
TS23: trigeminal ganglion Moderate Regionally restricted euxassay_009092_17
TS23: vestibulo-cochlear ganglion Moderate Regionally restricted euxassay_009092_17
TS23: dorsal root ganglion Moderate Regionally restricted euxassay_009092_17
TS23: metanephros Moderate Regionally restricted euxassay_009092_17
TS23: lower jaw incisor Weak Regionally restricted euxassay_009092_17
TS23: metencephalon Moderate Uniform euxassay_009092_17
TS23: medulla oblongata Moderate Uniform euxassay_009092_17
TS23: telencephalon Moderate Uniform euxassay_009092_17
TS23: diencephalon Moderate Uniform euxassay_009092_17
TS23: midbrain Moderate Uniform euxassay_009092_17

Specimen euxassay_009092_18: embryonic day 14.5 (more )
Structure Level Pattern Image Note
TS23: vertebral axis musculature Weak Regionally restricted euxassay_009092_18
TS23: olfactory epithelium Strong Regionally restricted euxassay_009092_18
TS23: vestibulo-cochlear ganglion Moderate Regionally restricted euxassay_009092_18
TS23: trigeminal ganglion Moderate Regionally restricted euxassay_009092_18
TS23: glossopharyngeal ganglion Moderate Regionally restricted euxassay_009092_18
TS23: metanephros Moderate Regionally restricted euxassay_009092_18
TS23: midbrain Moderate Uniform euxassay_009092_18
TS23: metencephalon Moderate Uniform euxassay_009092_18
TS23: telencephalon Moderate Uniform euxassay_009092_18
TS23: diencephalon Moderate Uniform euxassay_009092_18

Specimen euxassay_009092_19: embryonic day 14.5 (more )
Structure Level Pattern Image Note
TS23: vertebral axis musculature Weak Regionally restricted euxassay_009092_19
TS23: olfactory epithelium Strong Regionally restricted euxassay_009092_19
TS23: vestibulo-cochlear ganglion Moderate Regionally restricted euxassay_009092_19
TS23: trigeminal ganglion Moderate Regionally restricted euxassay_009092_19
TS23: metanephros Moderate Regionally restricted euxassay_009092_19
TS23: upper jaw molar Weak Regionally restricted euxassay_009092_19
TS23: lower jaw molar Weak Regionally restricted euxassay_009092_19
TS23: metencephalon Moderate Uniform euxassay_009092_19
TS23: telencephalon Moderate Uniform euxassay_009092_19
TS23: midbrain Moderate Uniform euxassay_009092_19

Specimen euxassay_009092_20: embryonic day 14.5 (more )
Structure Level Pattern Image Note
TS23: vertebral axis musculature Weak Regionally restricted euxassay_009092_20
TS23: trigeminal ganglion Moderate Regionally restricted euxassay_009092_20
TS23: vestibulo-cochlear ganglion Moderate Regionally restricted euxassay_009092_20
TS23: facial ganglion Moderate Regionally restricted euxassay_009092_20
TS23: metanephros Moderate Regionally restricted euxassay_009092_20
TS23: metencephalon Strong Uniform euxassay_009092_20
TS23: telencephalon Strong Uniform euxassay_009092_20

Specimen euxassay_009092_21: embryonic day 14.5 (more )
Structure Level Pattern Image Note
TS23: vertebral axis musculature Weak Regionally restricted euxassay_009092_21
TS23: trigeminal ganglion Moderate Regionally restricted euxassay_009092_21
TS23: metanephros Moderate Regionally restricted euxassay_009092_21
TS23: telencephalon Strong Uniform euxassay_009092_21
TS23: metencephalon Strong Uniform euxassay_009092_21
TS23: vibrissa Weak Regionally restricted euxassay_009092_21

Specimen euxassay_009092_22: embryonic day 14.5 (more )
Structure Level Pattern Image Note
TS23: neural retina Moderate Regionally restricted euxassay_009092_22
TS23: vertebral axis musculature Weak Regionally restricted euxassay_009092_22
TS23: trigeminal ganglion Moderate Regionally restricted euxassay_009092_22
TS23: telencephalon Strong Uniform euxassay_009092_22

Specimen euxassay_009092_23: embryonic day 14.5 (more )
Structure Level Pattern Image Note
TS23: neural retina Moderate Regionally restricted euxassay_009092_23
TS23: vertebral axis musculature Weak Regionally restricted euxassay_009092_23
TS23: telencephalon Strong Uniform euxassay_009092_23

Specimen euxassay_009092_24: embryonic day 14.5 (more )
Structure Level Pattern Image Note
TS23: neural retina Moderate Regionally restricted euxassay_009092_24
TS23: vertebral axis musculature Weak Regionally restricted euxassay_009092_24
TS23: telencephalon Moderate Uniform euxassay_009092_24


Contributing Projects:
Mouse Genome Database (MGD), Gene Expression Database (GXD), Mouse Models of Human Cancer database (MMHCdb) (formerly Mouse Tumor Biology (MTB)), Gene Ontology (GO)
Citing These Resources
Funding Information
Warranty Disclaimer, Privacy Notice, Licensing, & Copyright
Send questions and comments to User Support.
last database update
03/24/2026
MGI 6.24
The Jackson Laboratory