About   Help   FAQ
Gene Expression Data
Assay Details
Assay
Reference: J:153498 Diez-Roux G, et al., A high-resolution anatomical atlas of the transcriptome in the mouse embryo. PLoS Biol. 2011;9(1):e1000582
Assay type: RNA in situ
MGI Accession ID: MGI:4823417
Gene symbol: Mettl22
Gene name: methyltransferase 22, Kin17 lysine
Probe: T31524
Probe preparation: Antisense labelled with digoxigenin RNA
Visualized with: Alkaline phosphatase
Assay notes: Cryosections of fresh frozen material were fixed in 4% paraformaldehyde for 20 min. before further processing. A tyramide-biotin/streptavidin amplification step was included in the in situ hybridization procedure.
Results
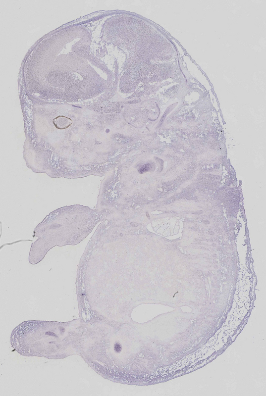
Specimen euxassay_014351_01: embryonic day 14.5 (more )
Structure Level Pattern Image Note
TS23: basioccipital bone Strong Regionally restricted euxassay_014351_01
TS23: orbito-sphenoid Strong Regionally restricted euxassay_014351_01
TS23: temporal bone petrous part Strong Regionally restricted euxassay_014351_01
TS23: radius Strong Regionally restricted euxassay_014351_01
TS23: ulna Strong Regionally restricted euxassay_014351_01
TS23: humerus Strong Regionally restricted euxassay_014351_01
TS23: femur Strong Regionally restricted euxassay_014351_01
TS23: fibula Strong Regionally restricted euxassay_014351_01
TS23: tibia Strong Regionally restricted euxassay_014351_01

Specimen euxassay_014351_02: embryonic day 14.5 (more )
Structure Level Pattern Image Note
TS23: basioccipital bone Strong Regionally restricted euxassay_014351_02
TS23: temporal bone petrous part Strong Regionally restricted euxassay_014351_02
TS23: orbito-sphenoid Strong Regionally restricted euxassay_014351_02
TS23: rib Strong Regionally restricted euxassay_014351_02
TS23: humerus Strong Regionally restricted euxassay_014351_02
TS23: scapula Strong Regionally restricted euxassay_014351_02
TS23: radius Strong Regionally restricted euxassay_014351_02
TS23: fibula Strong Regionally restricted euxassay_014351_02
TS23: tibia Strong Regionally restricted euxassay_014351_02
TS23: femur Strong Regionally restricted euxassay_014351_02

Specimen euxassay_014351_03: embryonic day 14.5 (more )
Structure Level Pattern Image Note
TS23: basioccipital bone Strong Regionally restricted euxassay_014351_03
TS23: temporal bone petrous part Strong Regionally restricted euxassay_014351_03
TS23: orbito-sphenoid Strong Regionally restricted euxassay_014351_03
TS23: Meckel's cartilage Strong Regionally restricted euxassay_014351_03
TS23: femur Strong Regionally restricted euxassay_014351_03
TS23: fibula Strong Regionally restricted euxassay_014351_03
TS23: tibia Strong Regionally restricted euxassay_014351_03

Specimen euxassay_014351_04: embryonic day 14.5 (more )
Structure Level Pattern Image Note
TS23: basioccipital bone Strong Regionally restricted euxassay_014351_04
TS23: temporal bone petrous part Strong Regionally restricted euxassay_014351_04
TS23: orbito-sphenoid Strong Regionally restricted euxassay_014351_04
TS23: Meckel's cartilage Strong Regionally restricted euxassay_014351_04
TS23: rib Weak Regionally restricted euxassay_014351_04
TS23: humerus Strong Regionally restricted euxassay_014351_04
TS23: scapula Strong Regionally restricted euxassay_014351_04
TS23: femur Strong Regionally restricted euxassay_014351_04
TS23: tibia Strong Regionally restricted euxassay_014351_04

Specimen euxassay_014351_05: embryonic day 14.5 (more )
Structure Level Pattern Image Note
TS23: basioccipital bone Strong Regionally restricted euxassay_014351_05
TS23: orbito-sphenoid Strong Regionally restricted euxassay_014351_05
TS23: Meckel's cartilage Strong Regionally restricted euxassay_014351_05
TS23: rib Weak Regionally restricted euxassay_014351_05
TS23: humerus Strong Regionally restricted euxassay_014351_05
TS23: scapula Strong Regionally restricted euxassay_014351_05
TS23: femur Strong Regionally restricted euxassay_014351_05

Specimen euxassay_014351_06: embryonic day 14.5 (more )
Structure Level Pattern Image Note
TS23: basioccipital bone Moderate Regionally restricted euxassay_014351_06
TS23: orbito-sphenoid Moderate Regionally restricted euxassay_014351_06
TS23: otic capsule Moderate Regionally restricted euxassay_014351_06
TS23: Meckel's cartilage Strong Regionally restricted euxassay_014351_06
TS23: humerus Strong Regionally restricted euxassay_014351_06
TS23: scapula Strong Regionally restricted euxassay_014351_06
TS23: femur Strong Regionally restricted euxassay_014351_06

Specimen euxassay_014351_07: embryonic day 14.5 (more )
Structure Level Pattern Image Note
TS23: basioccipital bone Moderate Regionally restricted euxassay_014351_07
TS23: orbito-sphenoid Moderate Regionally restricted euxassay_014351_07
TS23: otic capsule Moderate Regionally restricted euxassay_014351_07
TS23: Meckel's cartilage Strong Regionally restricted euxassay_014351_07
TS23: rib Weak Regionally restricted euxassay_014351_07
TS23: femur Strong Regionally restricted euxassay_014351_07
TS23: hindlimb digit 3 phalanx Strong Regionally restricted euxassay_014351_07
TS23: hindlimb digit 2 phalanx Strong Regionally restricted euxassay_014351_07
TS23: hindlimb digit 4 phalanx Strong Regionally restricted euxassay_014351_07

Specimen euxassay_014351_08: embryonic day 14.5 (more )
Structure Level Pattern Image Note
TS23: basioccipital bone Moderate Regionally restricted euxassay_014351_08
TS23: orbito-sphenoid Moderate Regionally restricted euxassay_014351_08
TS23: otic capsule Moderate Regionally restricted euxassay_014351_08
TS23: Meckel's cartilage Strong Regionally restricted euxassay_014351_08
TS23: turbinate bone primordium Strong Regionally restricted euxassay_014351_08
TS23: rib Weak Regionally restricted euxassay_014351_08
TS23: axial skeleton Moderate Regionally restricted euxassay_014351_08
TS23: femur Strong Regionally restricted euxassay_014351_08

Specimen euxassay_014351_09: embryonic day 14.5 (more )
Structure Level Pattern Image Note
TS23: basioccipital bone Moderate Regionally restricted euxassay_014351_09
TS23: orbito-sphenoid Moderate Regionally restricted euxassay_014351_09
TS23: otic capsule Strong Regionally restricted euxassay_014351_09
TS23: Meckel's cartilage Strong Regionally restricted euxassay_014351_09
TS23: turbinate bone primordium Strong Regionally restricted euxassay_014351_09
TS23: pelvic girdle skeleton Strong Regionally restricted euxassay_014351_09

Specimen euxassay_014351_10: embryonic day 14.5 (more )
Structure Level Pattern Image Note
TS23: basioccipital bone Moderate Regionally restricted euxassay_014351_10
TS23: otic capsule Strong Regionally restricted euxassay_014351_10
TS23: Meckel's cartilage Moderate Regionally restricted euxassay_014351_10
TS23: turbinate bone primordium Moderate Regionally restricted euxassay_014351_10
TS23: axial skeleton Moderate Regionally restricted euxassay_014351_10
TS23: clavicle Strong Regionally restricted euxassay_014351_10

Specimen euxassay_014351_11: embryonic day 14.5 (more )
Structure Level Pattern Image Note
TS23: basioccipital bone Moderate Regionally restricted euxassay_014351_11
TS23: basisphenoid bone Moderate Regionally restricted euxassay_014351_11
TS23: Meckel's cartilage Moderate Regionally restricted euxassay_014351_11
TS23: turbinate bone primordium Moderate Regionally restricted euxassay_014351_11
TS23: axial skeleton Moderate Regionally restricted euxassay_014351_11

Specimen euxassay_014351_12: embryonic day 14.5 (more )
Structure Level Pattern Image Note
TS23: basioccipital bone Moderate Regionally restricted euxassay_014351_12
TS23: basisphenoid bone Moderate Regionally restricted euxassay_014351_12
TS23: Meckel's cartilage Weak Regionally restricted euxassay_014351_12
TS23: turbinate bone primordium Moderate Regionally restricted euxassay_014351_12
TS23: axial skeleton Strong Regionally restricted euxassay_014351_12

Specimen euxassay_014351_13: embryonic day 14.5 (more )
Structure Level Pattern Image Note
TS23: basioccipital bone Moderate Regionally restricted euxassay_014351_13
TS23: basisphenoid bone Moderate Regionally restricted euxassay_014351_13
TS23: Meckel's cartilage Moderate Regionally restricted euxassay_014351_13
TS23: turbinate bone primordium Strong Regionally restricted euxassay_014351_13
TS23: axial skeleton Strong Regionally restricted euxassay_014351_13

Specimen euxassay_014351_14: embryonic day 14.5 (more )
Structure Level Pattern Image Note
TS23: basioccipital bone Strong Regionally restricted euxassay_014351_14
TS23: basisphenoid bone Strong Regionally restricted euxassay_014351_14
TS23: Meckel's cartilage Strong Regionally restricted euxassay_014351_14
TS23: turbinate bone primordium Strong Regionally restricted euxassay_014351_14
TS23: nasal septum Strong Regionally restricted euxassay_014351_14
TS23: axial skeleton Strong Regionally restricted euxassay_014351_14

Specimen euxassay_014351_15: embryonic day 14.5 (more )
Structure Level Pattern Image Note
TS23: basioccipital bone Strong Regionally restricted euxassay_014351_15
TS23: basisphenoid bone Strong Regionally restricted euxassay_014351_15
TS23: otic capsule Strong Regionally restricted euxassay_014351_15
TS23: Meckel's cartilage Strong Regionally restricted euxassay_014351_15
TS23: turbinate bone primordium Strong Regionally restricted euxassay_014351_15
TS23: axial skeleton Moderate Regionally restricted euxassay_014351_15
TS23: rib Moderate Regionally restricted euxassay_014351_15
TS23: pelvic girdle skeleton Strong Regionally restricted euxassay_014351_15

Specimen euxassay_014351_16: embryonic day 14.5 (more )
Structure Level Pattern Image Note
TS23: basioccipital bone Strong Regionally restricted euxassay_014351_16
TS23: basisphenoid bone Strong Regionally restricted euxassay_014351_16
TS23: otic capsule Strong Regionally restricted euxassay_014351_16
TS23: Meckel's cartilage Strong Regionally restricted euxassay_014351_16
TS23: turbinate bone primordium Strong Regionally restricted euxassay_014351_16
TS23: rib Moderate Regionally restricted euxassay_014351_16
TS23: axial skeleton Moderate Regionally restricted euxassay_014351_16

Specimen euxassay_014351_17: embryonic day 14.5 (more )
Structure Level Pattern Image Note
TS23: basioccipital bone Strong Regionally restricted euxassay_014351_17
TS23: orbito-sphenoid Strong Regionally restricted euxassay_014351_17
TS23: temporal bone petrous part Strong Regionally restricted euxassay_014351_17
TS23: otic capsule Moderate Regionally restricted euxassay_014351_17
TS23: Meckel's cartilage Strong Regionally restricted euxassay_014351_17
TS23: turbinate bone primordium Strong Regionally restricted euxassay_014351_17
TS23: axial skeleton Moderate Regionally restricted euxassay_014351_17
TS23: rib Moderate Regionally restricted euxassay_014351_17
TS23: clavicle Strong Regionally restricted euxassay_014351_17
TS23: femur Strong Regionally restricted euxassay_014351_17

Specimen euxassay_014351_18: embryonic day 14.5 (more )
Structure Level Pattern Image Note
TS23: basioccipital bone Strong Regionally restricted euxassay_014351_18
TS23: temporal bone petrous part Strong Regionally restricted euxassay_014351_18
TS23: orbito-sphenoid Strong Regionally restricted euxassay_014351_18
TS23: Meckel's cartilage Strong Regionally restricted euxassay_014351_18
TS23: turbinate bone primordium Strong Regionally restricted euxassay_014351_18
TS23: rib Moderate Regionally restricted euxassay_014351_18
TS23: femur Strong Regionally restricted euxassay_014351_18

Specimen euxassay_014351_19: embryonic day 14.5 (more )
Structure Level Pattern Image Note
TS23: basioccipital bone Weak Regionally restricted euxassay_014351_19
TS23: temporal bone petrous part Weak Regionally restricted euxassay_014351_19
TS23: orbito-sphenoid Weak Regionally restricted euxassay_014351_19
TS23: Meckel's cartilage Weak Regionally restricted euxassay_014351_19
TS23: turbinate bone primordium Moderate Regionally restricted euxassay_014351_19
TS23: rib Weak Regionally restricted euxassay_014351_19
TS23: femur Strong Regionally restricted euxassay_014351_19

Specimen euxassay_014351_20: embryonic day 14.5 (more )
Structure Level Pattern Image Note
TS23: basisphenoid bone Strong Regionally restricted euxassay_014351_20
TS23: temporal bone petrous part Strong Regionally restricted euxassay_014351_20
TS23: orbito-sphenoid Strong Regionally restricted euxassay_014351_20
TS23: turbinate bone primordium Moderate Regionally restricted euxassay_014351_20
TS23: rib Weak Regionally restricted euxassay_014351_20
TS23: femur Strong Regionally restricted euxassay_014351_20

Specimen euxassay_014351_21: embryonic day 14.5 (more )
Structure Level Pattern Image Note
TS23: basioccipital bone Strong Regionally restricted euxassay_014351_21
TS23: temporal bone petrous part Strong Regionally restricted euxassay_014351_21
TS23: orbito-sphenoid Strong Regionally restricted euxassay_014351_21
TS23: rib Weak Regionally restricted euxassay_014351_21
TS23: humerus Strong Regionally restricted euxassay_014351_21
TS23: scapula Strong Regionally restricted euxassay_014351_21

Specimen euxassay_014351_22: embryonic day 14.5 (more )
Structure Level Pattern Image Note
TS23: basioccipital bone Strong Regionally restricted euxassay_014351_22
TS23: temporal bone petrous part Strong Regionally restricted euxassay_014351_22
TS23: orbito-sphenoid Strong Regionally restricted euxassay_014351_22
TS23: rib Weak Regionally restricted euxassay_014351_22
TS23: humerus Strong Regionally restricted euxassay_014351_22
TS23: scapula Strong Regionally restricted euxassay_014351_22
TS23: femur Moderate Regionally restricted euxassay_014351_22
TS23: hindlimb digit 4 phalanx Moderate Regionally restricted euxassay_014351_22
TS23: hindlimb digit 3 phalanx Moderate Regionally restricted euxassay_014351_22
TS23: hindlimb digit 2 phalanx Moderate Regionally restricted euxassay_014351_22

Specimen euxassay_014351_23: embryonic day 14.5 (more )
Structure Level Pattern Image Note
TS23: rib Weak Regionally restricted euxassay_014351_23
TS23: humerus Strong Regionally restricted euxassay_014351_23
TS23: tarsus Moderate Regionally restricted euxassay_014351_23
TS23: hindlimb digit 2 phalanx Moderate Regionally restricted euxassay_014351_23
TS23: hindlimb digit 3 metatarsal Moderate Regionally restricted euxassay_014351_23
TS23: hindlimb digit 3 phalanx Moderate Regionally restricted euxassay_014351_23
TS23: hindlimb digit 2 metatarsal Moderate Regionally restricted euxassay_014351_23
TS23: femur Moderate Regionally restricted euxassay_014351_23


Contributing Projects:
Mouse Genome Database (MGD), Gene Expression Database (GXD), Mouse Models of Human Cancer database (MMHCdb) (formerly Mouse Tumor Biology (MTB)), Gene Ontology (GO)
Citing These Resources
Funding Information
Warranty Disclaimer, Privacy Notice, Licensing, & Copyright
Send questions and comments to User Support.
last database update
01/28/2026
MGI 6.24
The Jackson Laboratory