About   Help   FAQ
Gene Expression Data
Assay Details
Assay
Reference: J:153498 Diez-Roux G, et al., A high-resolution anatomical atlas of the transcriptome in the mouse embryo. PLoS Biol. 2011;9(1):e1000582
Assay type: RNA in situ
MGI Accession ID: MGI:4823401
Gene symbol: BC002059
Gene name: cDNA sequence BC002059
Probe: MGC clone 6110
Probe preparation: Antisense labelled with digoxigenin RNA
Visualized with: Alkaline phosphatase
Assay notes: Cryosections of fresh frozen material were fixed in 4% paraformaldehyde for 20 min. before further processing. A tyramide-biotin/streptavidin amplification step was included in the in situ hybridization procedure.
Results
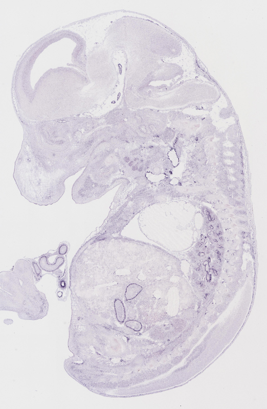
Specimen euxassay_003503_03: embryonic day 14.5 (more )
Note: Additional information for this specimen was included in the Eurexpress data submission file.
Structure Level Pattern Image Note
TS23: stomach Strong Regionally restricted euxassay_003503_03 smooth muscle
TS23: smooth muscle tissue Present euxassay_003503_03

Specimen euxassay_003503_04: embryonic day 14.5 (more )
Note: Additional information for this specimen was included in the Eurexpress data submission file.
Structure Level Pattern Image Note
TS23: stomach Strong Regionally restricted euxassay_003503_04 smooth muscle
TS23: smooth muscle tissue Present euxassay_003503_04

Specimen euxassay_003503_05: embryonic day 14.5 (more )
Note: Additional information for this specimen was included in the Eurexpress data submission file.
Structure Level Pattern Image Note
TS23: stomach Strong Regionally restricted euxassay_003503_05 smooth muscle
TS23: smooth muscle tissue Present euxassay_003503_05

Specimen euxassay_003503_06: embryonic day 14.5 (more )
Note: Additional information for this specimen was included in the Eurexpress data submission file.
Structure Level Pattern Image Note
TS23: stomach Strong Regionally restricted euxassay_003503_06 smooth muscle
TS23: smooth muscle tissue Present euxassay_003503_06

Specimen euxassay_003503_07: embryonic day 14.5 (more )
Note: Additional information for this specimen was included in the Eurexpress data submission file.
Structure Level Pattern Image Note
TS23: stomach Strong Regionally restricted euxassay_003503_07 smooth muscle
TS23: smooth muscle tissue Present euxassay_003503_07

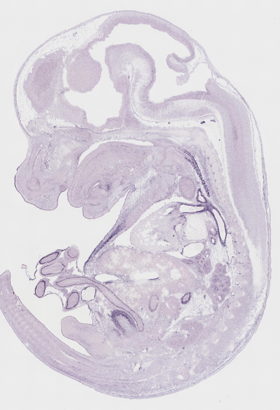
Specimen euxassay_003503_08: embryonic day 14.5 (more )
Note: Additional information for this specimen was included in the Eurexpress data submission file.
Structure Level Pattern Image Note
TS23: stomach Strong Regionally restricted euxassay_003503_08 smooth muscle
TS23: smooth muscle tissue Present euxassay_003503_08
TS23: urinary system Moderate Regionally restricted euxassay_003503_08
TS23: mesonephros Present euxassay_003503_08

Specimen euxassay_003503_09: embryonic day 14.5 (more )
Note: Additional information for this specimen was included in the Eurexpress data submission file.
Structure Level Pattern Image Note
TS23: stomach Strong Regionally restricted euxassay_003503_09 smooth muscle
TS23: smooth muscle tissue Present euxassay_003503_09
TS23: urinary system Moderate Regionally restricted euxassay_003503_09
TS23: mesonephros Present euxassay_003503_09

Specimen euxassay_003503_10: embryonic day 14.5 (more )
Note: Additional information for this specimen was included in the Eurexpress data submission file.
Structure Level Pattern Image Note
TS23: stomach Strong Regionally restricted euxassay_003503_10 smooth muscle
TS23: smooth muscle tissue Present euxassay_003503_10

Specimen euxassay_003503_11: embryonic day 14.5 (more )
Note: Additional information for this specimen was included in the Eurexpress data submission file.
Structure Level Pattern Image Note
TS23: stomach Moderate Regionally restricted euxassay_003503_11 smooth muscle
TS23: smooth muscle tissue Present euxassay_003503_11

Specimen euxassay_003503_12: embryonic day 14.5 (more )
Note: Additional information for this specimen was included in the Eurexpress data submission file.
Structure Level Pattern Image Note
TS23: stomach Moderate Regionally restricted euxassay_003503_12 smooth muscle
TS23: smooth muscle tissue Present euxassay_003503_12

Specimen euxassay_003503_13: embryonic day 14.5 (more )
Note: Additional information for this specimen was included in the Eurexpress data submission file.
Structure Level Pattern Image Note
TS23: stomach Moderate Regionally restricted euxassay_003503_13 smooth muscle
TS23: smooth muscle tissue Present euxassay_003503_13
TS23: midgut loop Moderate Regionally restricted euxassay_003503_13 smooth muscle
TS23: bladder wall Moderate Regionally restricted euxassay_003503_13
TS23: aorta Strong Regionally restricted euxassay_003503_13

Specimen euxassay_003503_14: embryonic day 14.5 (more )
Note: Additional information for this specimen was included in the Eurexpress data submission file.
Structure Level Pattern Image Note
TS23: midgut loop Moderate Regionally restricted euxassay_003503_14 smooth muscle
TS23: midgut Moderate Regionally restricted euxassay_003503_14 smooth muscle
TS23: smooth muscle tissue Present euxassay_003503_14
TS23: bladder wall Moderate Regionally restricted euxassay_003503_14
TS23: trachea Strong Regionally restricted euxassay_003503_14
TS23: aorta Strong Regionally restricted euxassay_003503_14

Specimen euxassay_003503_15: embryonic day 14.5 (more )
Note: Additional information for this specimen was included in the Eurexpress data submission file.
Structure Level Pattern Image Note
TS23: midgut Moderate Regionally restricted euxassay_003503_15 smooth muscle
TS23: smooth muscle tissue Present euxassay_003503_15
TS23: midgut loop Moderate Regionally restricted euxassay_003503_15 smooth muscle
TS23: bladder wall Moderate Regionally restricted euxassay_003503_15
TS23: esophagus Strong Regionally restricted euxassay_003503_15
TS23: aorta Strong Regionally restricted euxassay_003503_15

Specimen euxassay_003503_16: embryonic day 14.5 (more )
Note: Additional information for this specimen was included in the Eurexpress data submission file.
Structure Level Pattern Image Note
TS23: rectum Moderate Regionally restricted euxassay_003503_16 smooth muscle
TS23: hindgut Moderate Regionally restricted euxassay_003503_16 smooth muscle
TS23: smooth muscle tissue Present euxassay_003503_16
TS23: midgut loop Moderate Regionally restricted euxassay_003503_16 smooth muscle
TS23: midgut Moderate Regionally restricted euxassay_003503_16 smooth muscle
TS23: bladder wall Moderate Regionally restricted euxassay_003503_16
TS23: esophagus Strong Regionally restricted euxassay_003503_16
TS23: aorta Strong Regionally restricted euxassay_003503_16

Specimen euxassay_003503_17: embryonic day 14.5 (more )
Note: Additional information for this specimen was included in the Eurexpress data submission file.
Structure Level Pattern Image Note
TS23: midgut loop Moderate Regionally restricted euxassay_003503_17 smooth muscle
TS23: midgut Moderate Regionally restricted euxassay_003503_17 smooth muscle
TS23: rectum Moderate Regionally restricted euxassay_003503_17 smooth muscle
TS23: hindgut Moderate Regionally restricted euxassay_003503_17 smooth muscle
TS23: smooth muscle tissue Present euxassay_003503_17
TS23: bladder wall Moderate Regionally restricted euxassay_003503_17
TS23: aorta Strong Regionally restricted euxassay_003503_17

Specimen euxassay_003503_18: embryonic day 14.5 (more )
Note: Additional information for this specimen was included in the Eurexpress data submission file.
Structure Level Pattern Image Note
TS23: midgut loop Moderate Regionally restricted euxassay_003503_18 smooth muscle
TS23: midgut Moderate Regionally restricted euxassay_003503_18 smooth muscle
TS23: smooth muscle tissue Present euxassay_003503_18
TS23: bladder wall Moderate Regionally restricted euxassay_003503_18

Specimen euxassay_003503_19: embryonic day 14.5 (more )
Note: Additional information for this specimen was included in the Eurexpress data submission file.
Structure Level Pattern Image Note
TS23: midgut loop Moderate Regionally restricted euxassay_003503_19 smooth muscle
TS23: midgut Moderate Regionally restricted euxassay_003503_19 smooth muscle
TS23: smooth muscle tissue Present euxassay_003503_19

Specimen euxassay_003503_20: embryonic day 14.5 (more )
Note: Additional information for this specimen was included in the Eurexpress data submission file.
Structure Level Pattern Image Note
TS23: midgut Moderate Regionally restricted euxassay_003503_20 smooth muscle
TS23: smooth muscle tissue Present euxassay_003503_20
TS23: midgut loop Moderate Regionally restricted euxassay_003503_20 smooth muscle

Specimen euxassay_003503_21: embryonic day 14.5 (more )
Note: Additional information for this specimen was included in the Eurexpress data submission file.
Structure Level Pattern Image Note
TS23: midgut Moderate Regionally restricted euxassay_003503_21 smooth muscle
TS23: smooth muscle tissue Present euxassay_003503_21
TS23: midgut loop Moderate Regionally restricted euxassay_003503_21 smooth muscle

Specimen euxassay_003503_22: embryonic day 14.5 (more )
Note: Additional information for this specimen was included in the Eurexpress data submission file.
Structure Level Pattern Image Note
TS23: midgut loop Moderate Regionally restricted euxassay_003503_22 smooth muscle
TS23: smooth muscle tissue Present euxassay_003503_22


Contributing Projects:
Mouse Genome Database (MGD), Gene Expression Database (GXD), Mouse Models of Human Cancer database (MMHCdb) (formerly Mouse Tumor Biology (MTB)), Gene Ontology (GO)
Citing These Resources
Funding Information
Warranty Disclaimer, Privacy Notice, Licensing, & Copyright
Send questions and comments to User Support.
last database update
01/20/2026
MGI 6.24
The Jackson Laboratory