About   Help   FAQ
Gene Expression Data
Assay Details
Assay
Reference: J:153498 Diez-Roux G, et al., A high-resolution anatomical atlas of the transcriptome in the mouse embryo. PLoS Biol. 2011;9(1):e1000582
Assay type: RNA in situ
MGI Accession ID: MGI:4823307
Gene symbol: Atp1b2
Gene name: ATPase, Na+/K+ transporting, beta 2 polypeptide
Probe: T31957
Probe preparation: Antisense labelled with digoxigenin RNA
Visualized with: Alkaline phosphatase
Assay notes: Cryosections of fresh frozen material were fixed in 4% paraformaldehyde for 20 min. before further processing. A tyramide-biotin/streptavidin amplification step was included in the in situ hybridization procedure.
Results
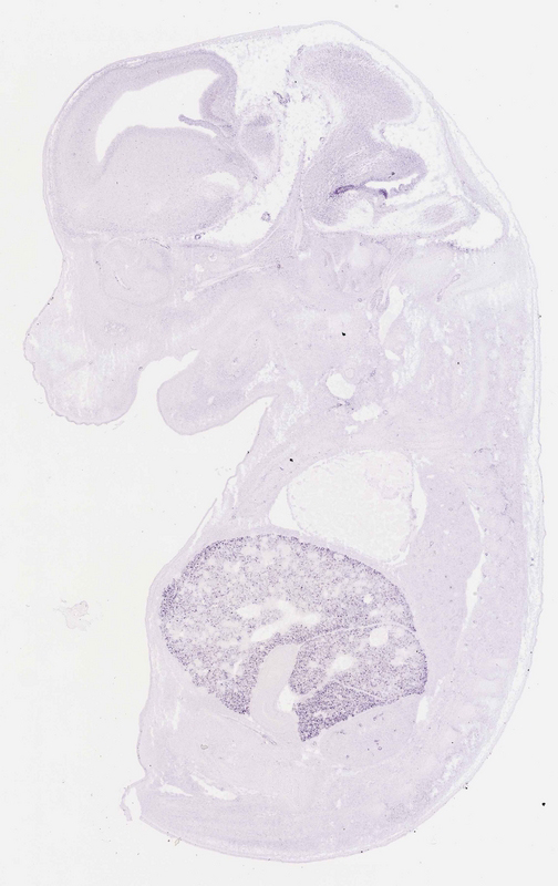
Specimen euxassay_011653_01: embryonic day 14.5 (more )
Structure Level Pattern Image Note
TS23: liver lobe Strong Regionally restricted euxassay_011653_01

Specimen euxassay_011653_02: embryonic day 14.5 (more )
Structure Level Pattern Image Note
TS23: liver lobe Strong Regionally restricted euxassay_011653_02

Specimen euxassay_011653_03: embryonic day 14.5 (more )
Structure Level Pattern Image Note
TS23: liver lobe Strong Regionally restricted euxassay_011653_03

Specimen euxassay_011653_04: embryonic day 14.5 (more )
Structure Level Pattern Image Note
TS23: liver lobe Strong Regionally restricted euxassay_011653_04

Specimen euxassay_011653_05: embryonic day 14.5 (more )
Structure Level Pattern Image Note
TS23: liver lobe Strong Regionally restricted euxassay_011653_05
TS23: pons ventricular layer Moderate Regionally restricted euxassay_011653_05

Specimen euxassay_011653_06: embryonic day 14.5 (more )
Structure Level Pattern Image Note
TS23: liver lobe Strong Regionally restricted euxassay_011653_06
TS23: pons ventricular layer Strong Regionally restricted euxassay_011653_06

Specimen euxassay_011653_07: embryonic day 14.5 (more )
Structure Level Pattern Image Note
TS23: liver lobe Strong Regionally restricted euxassay_011653_07
TS23: pons ventricular layer Strong Regionally restricted euxassay_011653_07
TS23: midbrain ventricular layer Strong Regionally restricted euxassay_011653_07

Specimen euxassay_011653_08: embryonic day 14.5 (more )
Structure Level Pattern Image Note
TS23: liver lobe Strong Regionally restricted euxassay_011653_08
TS23: midbrain ventricular layer Strong Regionally restricted euxassay_011653_08
TS23: pons ventricular layer Strong Regionally restricted euxassay_011653_08

Specimen euxassay_011653_09: embryonic day 14.5 (more )
Structure Level Pattern Image Note
TS23: liver lobe Strong Regionally restricted euxassay_011653_09
TS23: midbrain ventricular layer Strong Regionally restricted euxassay_011653_09
TS23: pons ventricular layer Strong Regionally restricted euxassay_011653_09
TS23: medulla oblongata basal plate ventricular layer Strong Regionally restricted euxassay_011653_09

Specimen euxassay_011653_10: embryonic day 14.5 (more )
Structure Level Pattern Image Note
TS23: liver lobe Strong Regionally restricted euxassay_011653_10
TS23: medulla oblongata basal plate ventricular layer Strong Regionally restricted euxassay_011653_10
TS23: pons ventricular layer Strong Regionally restricted euxassay_011653_10
TS23: midbrain ventricular layer Strong Regionally restricted euxassay_011653_10

Specimen euxassay_011653_11: embryonic day 14.5 (more )
Structure Level Pattern Image Note
TS23: liver lobe Strong Regionally restricted euxassay_011653_11
TS23: pons ventricular layer Strong Regionally restricted euxassay_011653_11
TS23: midbrain ventricular layer Strong Regionally restricted euxassay_011653_11
TS23: medulla oblongata basal plate ventricular layer Strong Regionally restricted euxassay_011653_11
TS23: diencephalon lateral wall ventricular layer Strong Regionally restricted euxassay_011653_11
TS23: ventral grey horn Strong Single cells euxassay_011653_11
TS23: pituitary gland Weak Regionally restricted euxassay_011653_11

Specimen euxassay_011653_12: embryonic day 14.5 (more )
Structure Level Pattern Image Note
TS23: liver lobe Strong Regionally restricted euxassay_011653_12
TS23: pons ventricular layer Strong Regionally restricted euxassay_011653_12
TS23: midbrain ventricular layer Strong Regionally restricted euxassay_011653_12
TS23: medulla oblongata basal plate ventricular layer Strong Regionally restricted euxassay_011653_12
TS23: diencephalon lateral wall ventricular layer Strong Regionally restricted euxassay_011653_12
TS23: ventral grey horn Strong Single cells euxassay_011653_12
TS23: spinal cord ventricular layer Strong Single cells euxassay_011653_12
TS23: pituitary gland Weak Regionally restricted euxassay_011653_12

Specimen euxassay_011653_13: embryonic day 14.5 (more )
Structure Level Pattern Image Note
TS23: liver lobe Strong Regionally restricted euxassay_011653_13
TS23: midbrain ventricular layer Strong Regionally restricted euxassay_011653_13
TS23: pons ventricular layer Strong Regionally restricted euxassay_011653_13
TS23: medulla oblongata basal plate ventricular layer Strong Regionally restricted euxassay_011653_13
TS23: diencephalon lateral wall ventricular layer Strong Regionally restricted euxassay_011653_13
TS23: ventral grey horn Strong Single cells euxassay_011653_13
TS23: spinal cord ventricular layer Strong Single cells euxassay_011653_13
TS23: pituitary gland Weak Regionally restricted euxassay_011653_13

Specimen euxassay_011653_14: embryonic day 14.5 (more )
Structure Level Pattern Image Note
TS23: liver lobe Strong Regionally restricted euxassay_011653_14
TS23: medulla oblongata basal plate ventricular layer Strong Regionally restricted euxassay_011653_14
TS23: pons ventricular layer Strong Regionally restricted euxassay_011653_14
TS23: midbrain ventricular layer Strong Regionally restricted euxassay_011653_14
TS23: diencephalon lateral wall ventricular layer Strong Regionally restricted euxassay_011653_14
TS23: spinal cord ventricular layer Strong Single cells euxassay_011653_14
TS23: pituitary gland Weak Regionally restricted euxassay_011653_14

Specimen euxassay_011653_15: embryonic day 14.5 (more )
Structure Level Pattern Image Note
TS23: liver lobe Strong Regionally restricted euxassay_011653_15
TS23: midbrain ventricular layer Strong Regionally restricted euxassay_011653_15
TS23: pons ventricular layer Strong Regionally restricted euxassay_011653_15
TS23: medulla oblongata basal plate ventricular layer Strong Regionally restricted euxassay_011653_15
TS23: ventral grey horn Strong Single cells euxassay_011653_15
TS23: pituitary gland Weak Regionally restricted euxassay_011653_15

Specimen euxassay_011653_16: embryonic day 14.5 (more )
Structure Level Pattern Image Note
TS23: liver lobe Strong Regionally restricted euxassay_011653_16
TS23: pons ventricular layer Strong Regionally restricted euxassay_011653_16
TS23: midbrain ventricular layer Strong Regionally restricted euxassay_011653_16
TS23: medulla oblongata basal plate ventricular layer Strong Regionally restricted euxassay_011653_16
TS23: ventral grey horn Strong Single cells euxassay_011653_16
TS23: pituitary gland Weak Regionally restricted euxassay_011653_16

Specimen euxassay_011653_17: embryonic day 14.5 (more )
Structure Level Pattern Image Note
TS23: liver lobe Strong Regionally restricted euxassay_011653_17
TS23: pons ventricular layer Strong Regionally restricted euxassay_011653_17

Specimen euxassay_011653_18: embryonic day 14.5 (more )
Structure Level Pattern Image Note
TS23: liver lobe Strong Regionally restricted euxassay_011653_18
TS23: pons ventricular layer Strong Regionally restricted euxassay_011653_18

Specimen euxassay_011653_19: embryonic day 14.5 (more )
Structure Level Pattern Image Note
TS23: liver lobe Strong Regionally restricted euxassay_011653_19
TS23: pons ventricular layer Strong Regionally restricted euxassay_011653_19

Specimen euxassay_011653_20: embryonic day 14.5 (more )
Structure Level Pattern Image Note
TS23: liver lobe Strong Regionally restricted euxassay_011653_20

Specimen euxassay_011653_21: embryonic day 14.5 (more )
Structure Level Pattern Image Note
TS23: liver lobe Strong Regionally restricted euxassay_011653_21

Specimen euxassay_011653_22: embryonic day 14.5 (more )
Structure Level Pattern Image Note
TS23: liver lobe Strong Regionally restricted euxassay_011653_22

Specimen euxassay_011653_23: embryonic day 14.5 (more )
Structure Level Pattern Image Note
TS23: liver lobe Strong Regionally restricted euxassay_011653_23


Contributing Projects:
Mouse Genome Database (MGD), Gene Expression Database (GXD), Mouse Models of Human Cancer database (MMHCdb) (formerly Mouse Tumor Biology (MTB)), Gene Ontology (GO)
Citing These Resources
Funding Information
Warranty Disclaimer, Privacy Notice, Licensing, & Copyright
Send questions and comments to User Support.
last database update
01/20/2026
MGI 6.24
The Jackson Laboratory