About   Help   FAQ
Gene Expression Data
Assay Details
Assay
Reference: J:153498 Diez-Roux G, et al., A high-resolution anatomical atlas of the transcriptome in the mouse embryo. PLoS Biol. 2011;9(1):e1000582
Assay type: RNA in situ
MGI Accession ID: MGI:4823294
Gene symbol: Atg12
Gene name: autophagy related 12
Probe: MGC clone 99425
Probe preparation: Antisense labelled with digoxigenin RNA
Visualized with: Alkaline phosphatase
Assay notes: Cryosections of fresh frozen material were fixed in 4% paraformaldehyde for 20 min. before further processing. A tyramide-biotin/streptavidin amplification step was included in the in situ hybridization procedure.
Results
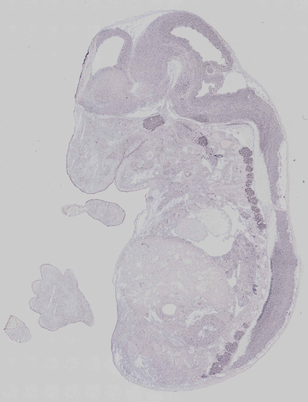
Specimen euxassay_005505_03: embryonic day 14.5 (more )
Structure Level Pattern Image Note
TS23: trigeminal ganglion Moderate Regionally restricted euxassay_005505_03

Specimen euxassay_005505_04: embryonic day 14.5 (more )
Structure Level Pattern Image Note
TS23: trigeminal ganglion Moderate Regionally restricted euxassay_005505_04

Specimen euxassay_005505_05: embryonic day 14.5 (more )
Structure Level Pattern Image Note
TS23: trigeminal ganglion Moderate Regionally restricted euxassay_005505_05

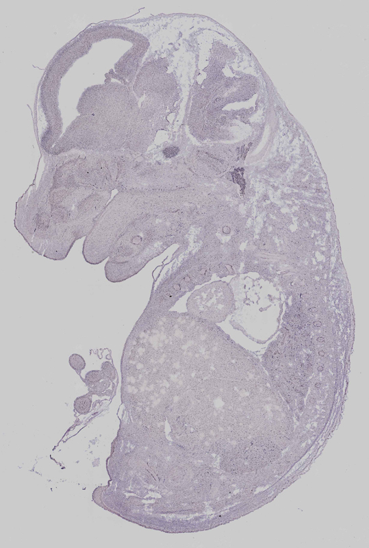
Specimen euxassay_005505_06: embryonic day 14.5 (more )
Structure Level Pattern Image Note
TS23: trigeminal ganglion Moderate Regionally restricted euxassay_005505_06
TS23: dorsal root ganglion Moderate Regionally restricted euxassay_005505_06

Specimen euxassay_005505_07: embryonic day 14.5 (more )
Structure Level Pattern Image Note
TS23: trigeminal ganglion Moderate Regionally restricted euxassay_005505_07
TS23: glossopharyngeal ganglion Moderate Regionally restricted euxassay_005505_07
TS23: dorsal root ganglion Moderate Regionally restricted euxassay_005505_07

Specimen euxassay_005505_08: embryonic day 14.5 (more )
Structure Level Pattern Image Note
TS23: trigeminal ganglion Moderate Regionally restricted euxassay_005505_08
TS23: vagus ganglion Moderate Regionally restricted euxassay_005505_08
TS23: dorsal root ganglion Moderate Regionally restricted euxassay_005505_08

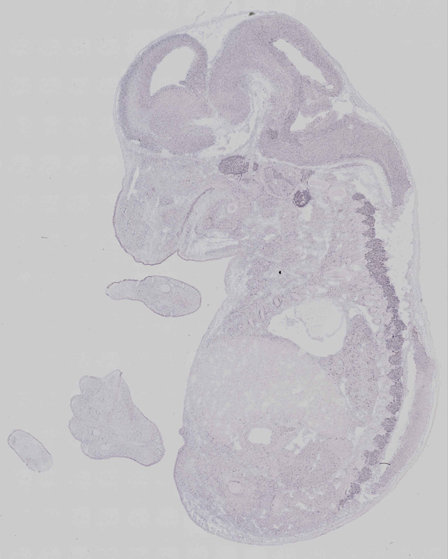
Specimen euxassay_005505_09: embryonic day 14.5 (more )
Structure Level Pattern Image Note
TS23: trigeminal ganglion Moderate Regionally restricted euxassay_005505_09
TS23: dorsal root ganglion Weak Regionally restricted euxassay_005505_09

Specimen euxassay_005505_10: embryonic day 14.5 (more )
Structure Level Pattern Image Note
TS23: dorsal root ganglion Weak Regionally restricted euxassay_005505_10

Specimen euxassay_005505_13: embryonic day 14.5 (more )
Structure Level Pattern Image Note
TS23: dorsal root ganglion Weak Regionally restricted euxassay_005505_13

Specimen euxassay_005505_14: embryonic day 14.5 (more )
Structure Level Pattern Image Note
TS23: dorsal root ganglion Weak Regionally restricted euxassay_005505_14

Specimen euxassay_005505_15: embryonic day 14.5 (more )
Structure Level Pattern Image Note
TS23: dorsal root ganglion Weak Regionally restricted euxassay_005505_15

Specimen euxassay_005505_16: embryonic day 14.5 (more )
Structure Level Pattern Image Note
TS23: vagus ganglion Moderate Regionally restricted euxassay_005505_16
TS23: trigeminal ganglion Moderate Regionally restricted euxassay_005505_16
TS23: glossopharyngeal ganglion Moderate Regionally restricted euxassay_005505_16

Specimen euxassay_005505_17: embryonic day 14.5 (more )
Structure Level Pattern Image Note
TS23: trigeminal ganglion Moderate Regionally restricted euxassay_005505_17
TS23: glossopharyngeal ganglion Moderate Regionally restricted euxassay_005505_17

Specimen euxassay_005505_18: embryonic day 14.5 (more )
Structure Level Pattern Image Note
TS23: trigeminal ganglion Moderate Regionally restricted euxassay_005505_18

Specimen euxassay_005505_19: embryonic day 14.5 (more )
Structure Level Pattern Image Note
TS23: trigeminal ganglion Moderate Regionally restricted euxassay_005505_19

Specimen euxassay_005505_20: embryonic day 14.5 (more )
Structure Level Pattern Image Note
TS23: trigeminal ganglion Moderate Regionally restricted euxassay_005505_20

Specimen euxassay_005505_21: embryonic day 14.5 (more )
Structure Level Pattern Image Note
TS23: trigeminal ganglion Moderate Regionally restricted euxassay_005505_21


Contributing Projects:
Mouse Genome Database (MGD), Gene Expression Database (GXD), Mouse Models of Human Cancer database (MMHCdb) (formerly Mouse Tumor Biology (MTB)), Gene Ontology (GO)
Citing These Resources
Funding Information
Warranty Disclaimer, Privacy Notice, Licensing, & Copyright
Send questions and comments to User Support.
last database update
01/20/2026
MGI 6.24
The Jackson Laboratory