About   Help   FAQ
Gene Expression Data
Assay Details
Assay
Reference: J:153498 Diez-Roux G, et al., A high-resolution anatomical atlas of the transcriptome in the mouse embryo. PLoS Biol. 2011;9(1):e1000582
Assay type: RNA in situ
MGI Accession ID: MGI:4823215
Gene symbol: Arhgap11a
Gene name: Rho GTPase activating protein 11A
Probe: T30432
Probe preparation: Antisense labelled with digoxigenin RNA
Visualized with: Alkaline phosphatase
Assay notes: Cryosections of fresh frozen material were fixed in 4% paraformaldehyde for 20 min. before further processing. A tyramide-biotin/streptavidin amplification step was included in the in situ hybridization procedure.
Results
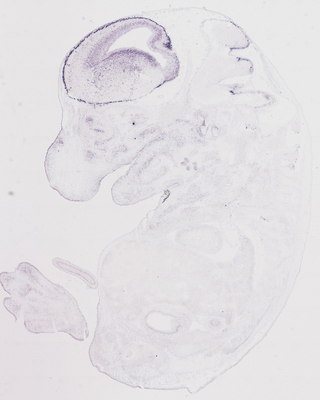
Specimen euxassay_012266_01: embryonic day 14.5 (more )
Structure Level Pattern Image Note
TS23: telencephalon meninges Strong Regionally restricted euxassay_012266_01
TS23: neural retina Strong Regionally restricted euxassay_012266_01
TS23: vibrissa Weak Regionally restricted euxassay_012266_01

Specimen euxassay_012266_02: embryonic day 14.5 (more )
Structure Level Pattern Image Note
TS23: telencephalon meninges Strong Regionally restricted euxassay_012266_02
TS23: vibrissa Weak Regionally restricted euxassay_012266_02
TS23: stomach Weak Regionally restricted euxassay_012266_02
TS23: telencephalon ventricular layer Weak Regionally restricted euxassay_012266_02
TS23: telencephalon mantle layer Moderate Spotted euxassay_012266_02

Specimen euxassay_012266_03: embryonic day 14.5 (more )
Structure Level Pattern Image Note
TS23: telencephalon meninges Strong Regionally restricted euxassay_012266_03
TS23: hindbrain meninges Strong Regionally restricted euxassay_012266_03
TS23: vibrissa Weak Regionally restricted euxassay_012266_03
TS23: stomach Weak Regionally restricted euxassay_012266_03
TS23: telencephalon ventricular layer Weak Regionally restricted euxassay_012266_03
TS23: rest of cerebellum ventricular layer Weak Regionally restricted euxassay_012266_03
TS23: telencephalon mantle layer Moderate Spotted euxassay_012266_03

Specimen euxassay_012266_04: embryonic day 14.5 (more )
Structure Level Pattern Image Note
TS23: hindbrain meninges Moderate Regionally restricted euxassay_012266_04
TS23: telencephalon meninges Strong Regionally restricted euxassay_012266_04
TS23: vibrissa Weak Regionally restricted euxassay_012266_04
TS23: upper jaw molar Weak Regionally restricted euxassay_012266_04
TS23: lower jaw molar Weak Regionally restricted euxassay_012266_04
TS23: stomach Weak Regionally restricted euxassay_012266_04
TS23: telencephalon ventricular layer Weak Regionally restricted euxassay_012266_04
TS23: rest of cerebellum marginal layer Moderate Regionally restricted euxassay_012266_04
TS23: telencephalon mantle layer Moderate Spotted euxassay_012266_04

Specimen euxassay_012266_05: embryonic day 14.5 (more )
Structure Level Pattern Image Note
TS23: telencephalon meninges Strong Regionally restricted euxassay_012266_05
TS23: midbrain meninges Moderate Regionally restricted euxassay_012266_05
TS23: hindbrain meninges Moderate Regionally restricted euxassay_012266_05
TS23: stomach Weak Regionally restricted euxassay_012266_05
TS23: midgut Weak Regionally restricted euxassay_012266_05
TS23: submandibular gland primordium Weak Regionally restricted euxassay_012266_05
TS23: telencephalon ventricular layer Moderate Regionally restricted euxassay_012266_05
TS23: rest of cerebellum marginal layer Moderate Regionally restricted euxassay_012266_05
TS23: telencephalon mantle layer Moderate Spotted euxassay_012266_05

Specimen euxassay_012266_06: embryonic day 14.5 (more )
Structure Level Pattern Image Note
TS23: diencephalon meninges Strong Regionally restricted euxassay_012266_06
TS23: hindbrain meninges Moderate Regionally restricted euxassay_012266_06
TS23: midbrain meninges Moderate Regionally restricted euxassay_012266_06
TS23: telencephalon meninges Moderate Regionally restricted euxassay_012266_06
TS23: olfactory epithelium Weak Regionally restricted euxassay_012266_06
TS23: stomach Weak Regionally restricted euxassay_012266_06
TS23: submandibular gland primordium Weak Regionally restricted euxassay_012266_06
TS23: telencephalon ventricular layer Moderate Regionally restricted euxassay_012266_06
TS23: rest of cerebellum marginal layer Moderate Regionally restricted euxassay_012266_06
TS23: telencephalon mantle layer Moderate Spotted euxassay_012266_06

Specimen euxassay_012266_07: embryonic day 14.5 (more )
Structure Level Pattern Image Note
TS23: midbrain meninges Strong Regionally restricted euxassay_012266_07
TS23: hindbrain meninges Moderate Regionally restricted euxassay_012266_07
TS23: telencephalon meninges Strong Regionally restricted euxassay_012266_07
TS23: diencephalon meninges Moderate Regionally restricted euxassay_012266_07
TS23: olfactory epithelium Weak Regionally restricted euxassay_012266_07
TS23: lower jaw incisor Weak Regionally restricted euxassay_012266_07
TS23: upper jaw incisor Weak Regionally restricted euxassay_012266_07
TS23: stomach Weak Regionally restricted euxassay_012266_07
TS23: midgut Weak Regionally restricted euxassay_012266_07
TS23: metanephros Weak Regionally restricted euxassay_012266_07 There was weak expression in the excretory component.
TS23: spinal cord meninges Weak Regionally restricted euxassay_012266_07
TS23: rest of cerebellum marginal layer Moderate Regionally restricted euxassay_012266_07
TS23: telencephalon ventricular layer Moderate Regionally restricted euxassay_012266_07
TS23: telencephalon mantle layer Moderate Spotted euxassay_012266_07
TS23: midbrain ventricular layer Weak Regionally restricted euxassay_012266_07

Specimen euxassay_012266_08: embryonic day 14.5 (more )
Structure Level Pattern Image Note
TS23: hindbrain meninges Moderate Regionally restricted euxassay_012266_08
TS23: diencephalon meninges Moderate Regionally restricted euxassay_012266_08
TS23: midbrain meninges Strong Regionally restricted euxassay_012266_08
TS23: telencephalon meninges Strong Regionally restricted euxassay_012266_08
TS23: thymus primordium Weak Regionally restricted euxassay_012266_08
TS23: olfactory epithelium Weak Regionally restricted euxassay_012266_08
TS23: lower jaw incisor Weak Regionally restricted euxassay_012266_08
TS23: upper jaw incisor Weak Regionally restricted euxassay_012266_08
TS23: metanephros Weak Regionally restricted euxassay_012266_08 There was weak expression in the excretory component.
TS23: spinal cord meninges Weak Regionally restricted euxassay_012266_08
TS23: telencephalon ventricular layer Moderate Regionally restricted euxassay_012266_08
TS23: olfactory cortex ventricular layer Moderate Regionally restricted euxassay_012266_08
TS23: telencephalon mantle layer Moderate Spotted euxassay_012266_08
TS23: midbrain ventricular layer Weak Regionally restricted euxassay_012266_08

Specimen euxassay_012266_09: embryonic day 14.5 (more )
Structure Level Pattern Image Note
TS23: midbrain meninges Strong Regionally restricted euxassay_012266_09
TS23: telencephalon meninges Strong Regionally restricted euxassay_012266_09
TS23: diencephalon meninges Strong Regionally restricted euxassay_012266_09
TS23: thymus primordium Weak Regionally restricted euxassay_012266_09
TS23: olfactory epithelium Weak Regionally restricted euxassay_012266_09
TS23: metanephros Weak Regionally restricted euxassay_012266_09 There was weak expression in the excretory component.
TS23: spinal cord meninges Weak Regionally restricted euxassay_012266_09
TS23: olfactory cortex ventricular layer Moderate Regionally restricted euxassay_012266_09
TS23: telencephalon ventricular layer Moderate Regionally restricted euxassay_012266_09
TS23: telencephalon mantle layer Moderate Spotted euxassay_012266_09
TS23: midbrain ventricular layer Weak Regionally restricted euxassay_012266_09
TS23: hypothalamus ventricular layer Weak Regionally restricted euxassay_012266_09

Specimen euxassay_012266_10: embryonic day 14.5 (more )
Structure Level Pattern Image Note
TS23: midbrain meninges Strong Regionally restricted euxassay_012266_10
TS23: diencephalon meninges Strong Regionally restricted euxassay_012266_10
TS23: telencephalon meninges Strong Regionally restricted euxassay_012266_10
TS23: thymus primordium Weak Regionally restricted euxassay_012266_10
TS23: lower jaw incisor Weak Regionally restricted euxassay_012266_10
TS23: telencephalon ventricular layer Moderate Regionally restricted euxassay_012266_10
TS23: telencephalon mantle layer Moderate Spotted euxassay_012266_10
TS23: midbrain ventricular layer Weak Regionally restricted euxassay_012266_10
TS23: hypothalamus ventricular layer Weak Regionally restricted euxassay_012266_10

Specimen euxassay_012266_11: embryonic day 14.5 (more )
Structure Level Pattern Image Note
TS23: midbrain meninges Strong Regionally restricted euxassay_012266_11
TS23: diencephalon meninges Strong Regionally restricted euxassay_012266_11
TS23: telencephalon meninges Strong Regionally restricted euxassay_012266_11
TS23: thymus primordium Moderate Regionally restricted euxassay_012266_11
TS23: olfactory epithelium Weak Regionally restricted euxassay_012266_11
TS23: upper jaw incisor Moderate Regionally restricted euxassay_012266_11
TS23: lower jaw incisor Moderate Regionally restricted euxassay_012266_11
TS23: midgut Weak Regionally restricted euxassay_012266_11
TS23: hindgut Weak Regionally restricted euxassay_012266_11
TS23: spinal cord meninges Weak Regionally restricted euxassay_012266_11
TS23: telencephalon ventricular layer Moderate Regionally restricted euxassay_012266_11
TS23: midbrain ventricular layer Weak Regionally restricted euxassay_012266_11
TS23: diencephalon lateral wall ventricular layer Strong Regionally restricted euxassay_012266_11
TS23: hypothalamus ventricular layer Weak Regionally restricted euxassay_012266_11

Specimen euxassay_012266_12: embryonic day 14.5 (more )
Structure Level Pattern Image Note
TS23: diencephalon meninges Moderate Regionally restricted euxassay_012266_12
TS23: telencephalon meninges Moderate Regionally restricted euxassay_012266_12
TS23: midbrain meninges Moderate Regionally restricted euxassay_012266_12
TS23: thymus primordium Weak Regionally restricted euxassay_012266_12
TS23: olfactory epithelium Weak Regionally restricted euxassay_012266_12
TS23: upper jaw incisor Moderate Regionally restricted euxassay_012266_12
TS23: hindgut Weak Regionally restricted euxassay_012266_12
TS23: midgut Weak Regionally restricted euxassay_012266_12
TS23: spinal cord meninges Weak Regionally restricted euxassay_012266_12
TS23: telencephalon mantle layer Moderate Spotted euxassay_012266_12
TS23: midbrain ventricular layer Weak Regionally restricted euxassay_012266_12
TS23: diencephalon lateral wall ventricular layer Strong Regionally restricted euxassay_012266_12
TS23: hypothalamus ventricular layer Weak Regionally restricted euxassay_012266_12

Specimen euxassay_012266_13: embryonic day 14.5 (more )
Structure Level Pattern Image Note
TS23: midbrain meninges Moderate Regionally restricted euxassay_012266_13
TS23: telencephalon meninges Moderate Regionally restricted euxassay_012266_13
TS23: diencephalon meninges Moderate Regionally restricted euxassay_012266_13
TS23: olfactory epithelium Weak Regionally restricted euxassay_012266_13
TS23: submandibular gland primordium Weak Regionally restricted euxassay_012266_13
TS23: spinal cord meninges Weak Regionally restricted euxassay_012266_13
TS23: telencephalon ventricular layer Weak Regionally restricted euxassay_012266_13
TS23: olfactory cortex ventricular layer Moderate Regionally restricted euxassay_012266_13
TS23: telencephalon mantle layer Moderate Spotted euxassay_012266_13
TS23: midbrain ventricular layer Weak Regionally restricted euxassay_012266_13

Specimen euxassay_012266_14: embryonic day 14.5 (more )
Structure Level Pattern Image Note
TS23: hindbrain meninges Moderate Regionally restricted euxassay_012266_14
TS23: midbrain meninges Strong Regionally restricted euxassay_012266_14
TS23: diencephalon meninges Moderate Regionally restricted euxassay_012266_14
TS23: olfactory epithelium Weak Regionally restricted euxassay_012266_14
TS23: midgut Weak Regionally restricted euxassay_012266_14
TS23: submandibular gland primordium Weak Regionally restricted euxassay_012266_14
TS23: metanephros Weak Regionally restricted euxassay_012266_14 There was weak expression in the excretory component.
TS23: spinal cord meninges Moderate Regionally restricted euxassay_012266_14
TS23: olfactory cortex ventricular layer Weak Regionally restricted euxassay_012266_14
TS23: rest of cerebellum marginal layer Weak Regionally restricted euxassay_012266_14
TS23: telencephalon ventricular layer Moderate Regionally restricted euxassay_012266_14
TS23: midbrain ventricular layer Weak Regionally restricted euxassay_012266_14

Specimen euxassay_012266_15: embryonic day 14.5 (more )
Structure Level Pattern Image Note
TS23: midbrain meninges Strong Regionally restricted euxassay_012266_15
TS23: telencephalon meninges Moderate Regionally restricted euxassay_012266_15
TS23: diencephalon meninges Moderate Regionally restricted euxassay_012266_15
TS23: olfactory epithelium Weak Regionally restricted euxassay_012266_15
TS23: submandibular gland primordium Weak Regionally restricted euxassay_012266_15
TS23: metanephros Weak Regionally restricted euxassay_012266_15 There was weak expression in the excretory component.
TS23: telencephalon ventricular layer Moderate Regionally restricted euxassay_012266_15
TS23: rest of cerebellum marginal layer Weak Regionally restricted euxassay_012266_15
TS23: telencephalon mantle layer Moderate Spotted euxassay_012266_15
TS23: midbrain ventricular layer Weak Regionally restricted euxassay_012266_15

Specimen euxassay_012266_16: embryonic day 14.5 (more )
Structure Level Pattern Image Note
TS23: hindbrain meninges Moderate Regionally restricted euxassay_012266_16
TS23: midbrain meninges Strong Regionally restricted euxassay_012266_16
TS23: telencephalon meninges Strong Regionally restricted euxassay_012266_16
TS23: vibrissa Weak Regionally restricted euxassay_012266_16
TS23: upper jaw molar Moderate Regionally restricted euxassay_012266_16
TS23: lower jaw molar Moderate Regionally restricted euxassay_012266_16
TS23: metanephros Weak Regionally restricted euxassay_012266_16 There was weak expression in the excretory component.
TS23: telencephalon ventricular layer Moderate Regionally restricted euxassay_012266_16
TS23: rest of cerebellum marginal layer Moderate Regionally restricted euxassay_012266_16
TS23: telencephalon mantle layer Moderate Spotted euxassay_012266_16
TS23: midbrain ventricular layer Weak Regionally restricted euxassay_012266_16

Specimen euxassay_012266_17: embryonic day 14.5 (more )
Structure Level Pattern Image Note
TS23: telencephalon meninges Strong Regionally restricted euxassay_012266_17
TS23: hindbrain meninges Moderate Regionally restricted euxassay_012266_17
TS23: midbrain meninges Moderate Regionally restricted euxassay_012266_17
TS23: vibrissa Weak Regionally restricted euxassay_012266_17
TS23: metanephros Weak Regionally restricted euxassay_012266_17 There was weak expression in the excretory component.
TS23: rest of cerebellum marginal layer Weak Regionally restricted euxassay_012266_17
TS23: olfactory cortex ventricular layer Moderate Regionally restricted euxassay_012266_17
TS23: telencephalon mantle layer Weak Spotted euxassay_012266_17

Specimen euxassay_012266_18: embryonic day 14.5 (more )
Structure Level Pattern Image Note
TS23: midbrain meninges Moderate Regionally restricted euxassay_012266_18
TS23: hindbrain meninges Moderate Regionally restricted euxassay_012266_18
TS23: telencephalon meninges Strong Regionally restricted euxassay_012266_18
TS23: vibrissa Weak Regionally restricted euxassay_012266_18
TS23: telencephalon ventricular layer Moderate Regionally restricted euxassay_012266_18
TS23: rest of cerebellum marginal layer Moderate Regionally restricted euxassay_012266_18
TS23: telencephalon mantle layer Weak Spotted euxassay_012266_18

Specimen euxassay_012266_19: embryonic day 14.5 (more )
Structure Level Pattern Image Note
TS23: telencephalon meninges Strong Regionally restricted euxassay_012266_19
TS23: hindbrain meninges Moderate Regionally restricted euxassay_012266_19
TS23: vibrissa Weak Regionally restricted euxassay_012266_19
TS23: telencephalon ventricular layer Moderate Regionally restricted euxassay_012266_19
TS23: telencephalon mantle layer Weak Spotted euxassay_012266_19

Specimen euxassay_012266_20: embryonic day 14.5 (more )
Structure Level Pattern Image Note
TS23: telencephalon meninges Strong Regionally restricted euxassay_012266_20
TS23: neural retina Strong Regionally restricted euxassay_012266_20
TS23: telencephalon ventricular layer Weak Regionally restricted euxassay_012266_20
TS23: telencephalon mantle layer Weak Spotted euxassay_012266_20

Specimen euxassay_012266_21: embryonic day 14.5 (more )
Structure Level Pattern Image Note
TS23: telencephalon meninges Strong Regionally restricted euxassay_012266_21
TS23: neural retina Strong Regionally restricted euxassay_012266_21
TS23: telencephalon ventricular layer Weak Regionally restricted euxassay_012266_21
TS23: telencephalon mantle layer Weak Spotted euxassay_012266_21

Specimen euxassay_012266_22: embryonic day 14.5 (more )
Structure Level Pattern Image Note
TS23: telencephalon meninges Strong Regionally restricted euxassay_012266_22
TS23: neural retina Strong Regionally restricted euxassay_012266_22


Contributing Projects:
Mouse Genome Database (MGD), Gene Expression Database (GXD), Mouse Models of Human Cancer database (MMHCdb) (formerly Mouse Tumor Biology (MTB)), Gene Ontology (GO)
Citing These Resources
Funding Information
Warranty Disclaimer, Privacy Notice, Licensing, & Copyright
Send questions and comments to User Support.
last database update
03/31/2026
MGI 6.24
The Jackson Laboratory