About   Help   FAQ
Gene Expression Data
Assay Details
Assay
Reference: J:153498 Diez-Roux G, et al., A high-resolution anatomical atlas of the transcriptome in the mouse embryo. PLoS Biol. 2011;9(1):e1000582
Assay type: RNA in situ
MGI Accession ID: MGI:4823161
Gene symbol: Ap1s3
Gene name: adaptor-related protein complex AP-1, sigma 3
Probe: MGC clone 51390
Probe preparation: Antisense labelled with digoxigenin RNA
Visualized with: Alkaline phosphatase
Assay notes: Cryosections of fresh frozen material were fixed in 4% paraformaldehyde for 20 min. before further processing. A tyramide-biotin/streptavidin amplification step was included in the in situ hybridization procedure.
Results
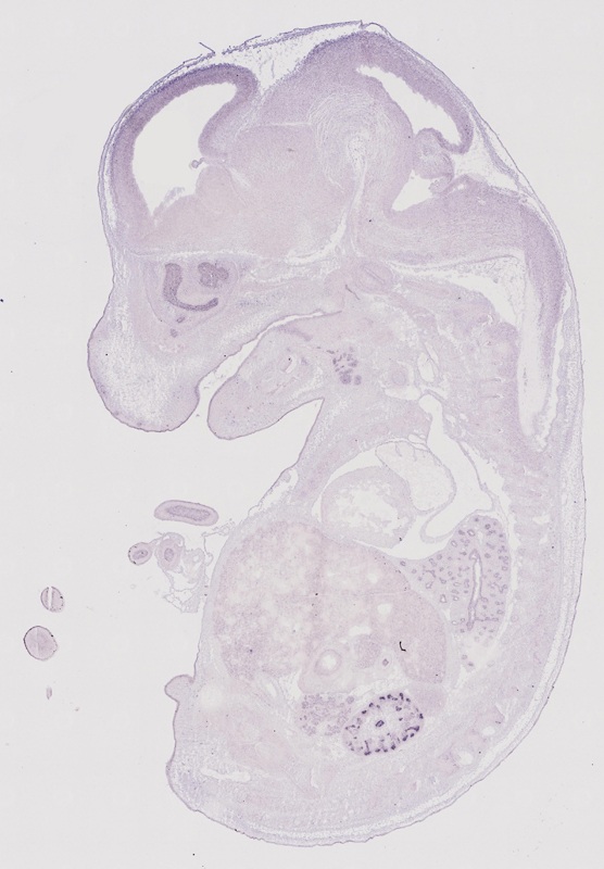
Specimen euxassay_008243_07: embryonic day 14.5 (more )
Structure Level Pattern Image Note
TS23: renal cortex Strong Spotted euxassay_008243_07

Specimen euxassay_008243_08: embryonic day 14.5 (more )
Structure Level Pattern Image Note
TS23: renal cortex Strong Spotted euxassay_008243_08

Specimen euxassay_008243_09: embryonic day 14.5 (more )
Structure Level Pattern Image Note
TS23: renal cortex Strong Spotted euxassay_008243_09

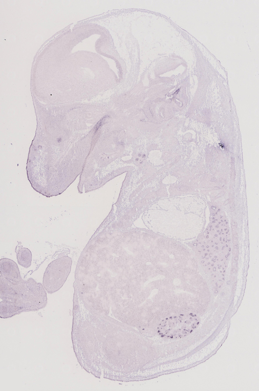
Specimen euxassay_008243_10: embryonic day 14.5 (more )
Note: Additional information for this specimen was included in the Eurexpress data submission file.
Structure Level Pattern Image Note
TS23: urinary system Strong Regionally restricted euxassay_008243_10
TS23: urethra Present euxassay_008243_10 Originally this result was annotated to a male-specific term, but as the specimen was not sexed, it is likely the data annotator intended to use a non-sex specific term.

Specimen euxassay_008243_11: embryonic day 14.5 (more )
Note: Additional information for this specimen was included in the Eurexpress data submission file.
Structure Level Pattern Image Note
TS23: urinary system Strong Regionally restricted euxassay_008243_11
TS23: urethra Present euxassay_008243_11 Originally this result was annotated to a male-specific term, but as the specimen was not sexed, it is likely the data annotator intended to use a non-sex specific term.

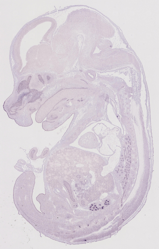
Specimen euxassay_008243_12: embryonic day 14.5 (more )
Note: Additional information for this specimen was included in the Eurexpress data submission file.
Structure Level Pattern Image Note
TS23: bladder Strong Spotted euxassay_008243_12
TS23: urinary system Strong Regionally restricted euxassay_008243_12
TS23: urethra Present euxassay_008243_12 Originally this result was annotated to a male-specific term, but as the specimen was not sexed, it is likely the data annotator intended to use a non-sex specific term.

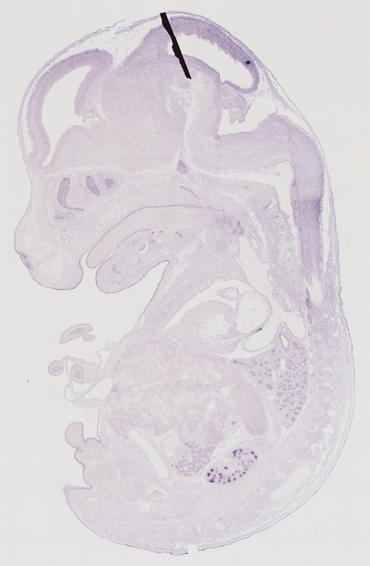
Specimen euxassay_008243_14: embryonic day 14.5 (more )
Structure Level Pattern Image Note
TS23: renal cortex Strong Spotted euxassay_008243_14

Specimen euxassay_008243_16: embryonic day 14.5 (more )
Structure Level Pattern Image Note
TS23: renal cortex Strong Spotted euxassay_008243_16

Specimen euxassay_008243_17: embryonic day 14.5 (more )
Structure Level Pattern Image Note
TS23: renal cortex Strong Spotted euxassay_008243_17

Specimen euxassay_008243_18: embryonic day 14.5 (more )
Structure Level Pattern Image Note
TS23: renal cortex Strong Spotted euxassay_008243_18

Specimen euxassay_008243_19: embryonic day 14.5 (more )
Structure Level Pattern Image Note
TS23: renal cortex Strong Spotted euxassay_008243_19


Contributing Projects:
Mouse Genome Database (MGD), Gene Expression Database (GXD), Mouse Models of Human Cancer database (MMHCdb) (formerly Mouse Tumor Biology (MTB)), Gene Ontology (GO)
Citing These Resources
Funding Information
Warranty Disclaimer, Privacy Notice, Licensing, & Copyright
Send questions and comments to User Support.
last database update
01/20/2026
MGI 6.24
The Jackson Laboratory