About   Help   FAQ
Gene Expression Data
Assay Details
Assay
Reference: J:153498 Diez-Roux G, et al., A high-resolution anatomical atlas of the transcriptome in the mouse embryo. PLoS Biol. 2011;9(1):e1000582
Assay type: RNA in situ
MGI Accession ID: MGI:4823125
Gene symbol: Angptl4
Gene name: angiopoietin-like 4
Probe: IMAGE clone 2099753
Probe preparation: Antisense labelled with digoxigenin RNA
Visualized with: Alkaline phosphatase
Assay notes: Cryosections of fresh frozen material were fixed in 4% paraformaldehyde for 20 min. before further processing. A tyramide-biotin/streptavidin amplification step was included in the in situ hybridization procedure.
Results
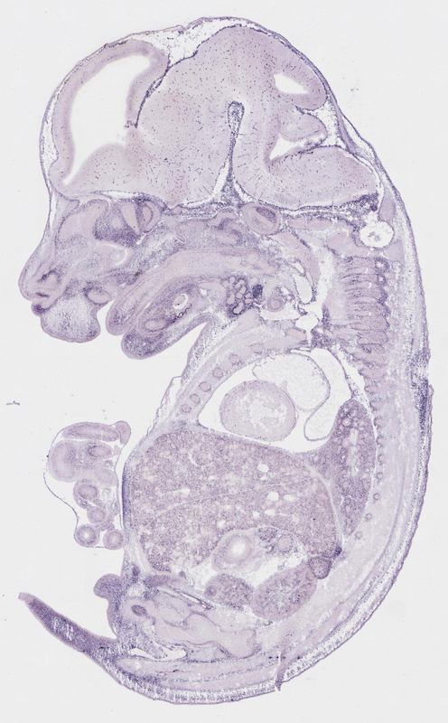
Specimen euxassay_002853_01: embryonic day 14.5 (more )
Structure Level Pattern Image Note
TS23: telencephalon meninges Strong Regionally restricted euxassay_002853_01

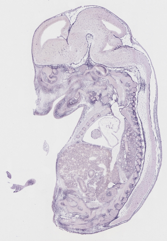
Specimen euxassay_002853_02: embryonic day 14.5 (more )
Structure Level Pattern Image Note
TS23: telencephalon meninges Strong Regionally restricted euxassay_002853_02

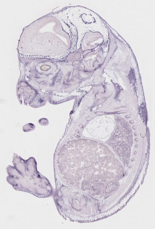
Specimen euxassay_002853_03: embryonic day 14.5 (more )
Note: Additional information for this specimen was included in the Eurexpress data submission file.
Structure Level Pattern Image Note
TS23: rib Moderate Regionally restricted euxassay_002853_03 periosteum
TS23: telencephalon meninges Strong Regionally restricted euxassay_002853_03

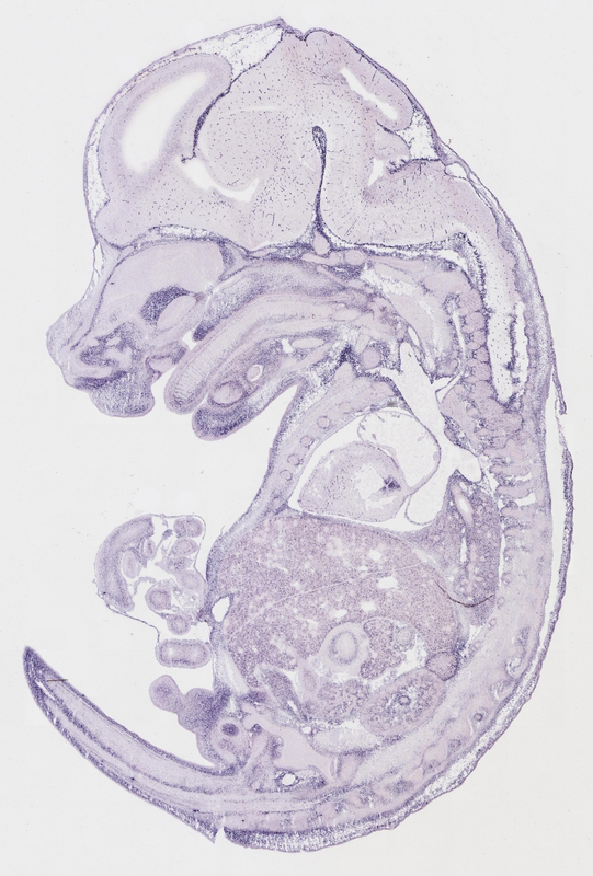
Specimen euxassay_002853_04: embryonic day 14.5 (more )
Note: Additional information for this specimen was included in the Eurexpress data submission file.
Structure Level Pattern Image Note
TS23: rib Moderate Regionally restricted euxassay_002853_04 periosteum
TS23: telencephalon meninges Strong Regionally restricted euxassay_002853_04

Specimen euxassay_002853_05: embryonic day 14.5 (more )
Note: Additional information for this specimen was included in the Eurexpress data submission file.
Structure Level Pattern Image Note
TS23: rib Moderate Regionally restricted euxassay_002853_05 periosteum
TS23: hindbrain meninges Strong Regionally restricted euxassay_002853_05
TS23: telencephalon meninges Strong Regionally restricted euxassay_002853_05

Specimen euxassay_002853_06: embryonic day 14.5 (more )
Note: Additional information for this specimen was included in the Eurexpress data submission file.
Structure Level Pattern Image Note
TS23: rib Moderate Regionally restricted euxassay_002853_06 periosteum
TS23: telencephalon meninges Strong Regionally restricted euxassay_002853_06
TS23: hindbrain meninges Strong Regionally restricted euxassay_002853_06
TS23: axial musculature Moderate Regionally restricted euxassay_002853_06

Specimen euxassay_002853_07: embryonic day 14.5 (more )
Note: Additional information for this specimen was included in the Eurexpress data submission file.
Structure Level Pattern Image Note
TS23: rib Moderate Regionally restricted euxassay_002853_07 periosteum
TS23: hindbrain meninges Strong Regionally restricted euxassay_002853_07
TS23: telencephalon meninges Strong Regionally restricted euxassay_002853_07
TS23: axial musculature Moderate Regionally restricted euxassay_002853_07
TS23: cochlear duct Moderate Regionally restricted euxassay_002853_07

Specimen euxassay_002853_08: embryonic day 14.5 (more )
Note: Additional information for this specimen was included in the Eurexpress data submission file.
Structure Level Pattern Image Note
TS23: rib Moderate Regionally restricted euxassay_002853_08 periosteum
TS23: midbrain meninges Strong Regionally restricted euxassay_002853_08
TS23: hindbrain meninges Strong Regionally restricted euxassay_002853_08
TS23: telencephalon meninges Strong Regionally restricted euxassay_002853_08
TS23: axial musculature Moderate Regionally restricted euxassay_002853_08
TS23: cochlear duct Moderate Regionally restricted euxassay_002853_08

Specimen euxassay_002853_09: embryonic day 14.5 (more )
Note: Additional information for this specimen was included in the Eurexpress data submission file.
Structure Level Pattern Image Note
TS23: rib Moderate Regionally restricted euxassay_002853_09 periosteum
TS23: midbrain meninges Strong Regionally restricted euxassay_002853_09
TS23: hindbrain meninges Strong Regionally restricted euxassay_002853_09
TS23: telencephalon meninges Strong Regionally restricted euxassay_002853_09
TS23: diencephalon meninges Strong Regionally restricted euxassay_002853_09
TS23: axial musculature Moderate Regionally restricted euxassay_002853_09
TS23: cochlear duct Moderate Regionally restricted euxassay_002853_09

Specimen euxassay_002853_10: embryonic day 14.5 (more )
Note: Additional information for this specimen was included in the Eurexpress data submission file.
Structure Level Pattern Image Note
TS23: rib Moderate Regionally restricted euxassay_002853_10 periosteum
TS23: midbrain meninges Strong Regionally restricted euxassay_002853_10
TS23: hindbrain meninges Strong Regionally restricted euxassay_002853_10
TS23: telencephalon meninges Strong Regionally restricted euxassay_002853_10
TS23: diencephalon meninges Strong Regionally restricted euxassay_002853_10
TS23: axial musculature Moderate Regionally restricted euxassay_002853_10
TS23: cochlear duct Moderate Regionally restricted euxassay_002853_10

Specimen euxassay_002853_11: embryonic day 14.5 (more )
Note: Additional information for this specimen was included in the Eurexpress data submission file.
Structure Level Pattern Image Note
TS23: rib Moderate Regionally restricted euxassay_002853_11 periosteum
TS23: midbrain meninges Strong Regionally restricted euxassay_002853_11
TS23: hindbrain meninges Strong Regionally restricted euxassay_002853_11
TS23: telencephalon meninges Strong Regionally restricted euxassay_002853_11
TS23: diencephalon meninges Strong Regionally restricted euxassay_002853_11
TS23: cochlear duct Moderate Regionally restricted euxassay_002853_11

Specimen euxassay_002853_12: embryonic day 14.5 (more )
Structure Level Pattern Image Note
TS23: spinal cord meninges Strong Regionally restricted euxassay_002853_12
TS23: midbrain meninges Strong Regionally restricted euxassay_002853_12
TS23: hindbrain meninges Strong Regionally restricted euxassay_002853_12
TS23: telencephalon meninges Strong Regionally restricted euxassay_002853_12
TS23: diencephalon meninges Strong Regionally restricted euxassay_002853_12

Specimen euxassay_002853_13: embryonic day 14.5 (more )
Structure Level Pattern Image Note
TS23: spinal cord meninges Strong Regionally restricted euxassay_002853_13
TS23: midbrain meninges Strong Regionally restricted euxassay_002853_13
TS23: hindbrain meninges Strong Regionally restricted euxassay_002853_13
TS23: telencephalon meninges Strong Regionally restricted euxassay_002853_13
TS23: diencephalon meninges Strong Regionally restricted euxassay_002853_13

Specimen euxassay_002853_14: embryonic day 14.5 (more )
Structure Level Pattern Image Note
TS23: spinal cord meninges Strong Regionally restricted euxassay_002853_14
TS23: midbrain meninges Strong Regionally restricted euxassay_002853_14
TS23: hindbrain meninges Strong Regionally restricted euxassay_002853_14
TS23: telencephalon meninges Strong Regionally restricted euxassay_002853_14
TS23: diencephalon meninges Strong Regionally restricted euxassay_002853_14

Specimen euxassay_002853_15: embryonic day 14.5 (more )
Structure Level Pattern Image Note
TS23: spinal cord meninges Strong Regionally restricted euxassay_002853_15
TS23: midbrain meninges Strong Regionally restricted euxassay_002853_15
TS23: hindbrain meninges Strong Regionally restricted euxassay_002853_15
TS23: telencephalon meninges Strong Regionally restricted euxassay_002853_15
TS23: diencephalon meninges Strong Regionally restricted euxassay_002853_15

Specimen euxassay_002853_16: embryonic day 14.5 (more )
Structure Level Pattern Image Note
TS23: spinal cord meninges Strong Regionally restricted euxassay_002853_16
TS23: midbrain meninges Strong Regionally restricted euxassay_002853_16
TS23: hindbrain meninges Strong Regionally restricted euxassay_002853_16
TS23: telencephalon meninges Strong Regionally restricted euxassay_002853_16
TS23: diencephalon meninges Strong Regionally restricted euxassay_002853_16

Specimen euxassay_002853_17: embryonic day 14.5 (more )
Structure Level Pattern Image Note
TS23: spinal cord meninges Strong Regionally restricted euxassay_002853_17
TS23: midbrain meninges Strong Regionally restricted euxassay_002853_17
TS23: hindbrain meninges Strong Regionally restricted euxassay_002853_17
TS23: telencephalon meninges Strong Regionally restricted euxassay_002853_17
TS23: diencephalon meninges Strong Regionally restricted euxassay_002853_17

Specimen euxassay_002853_18: embryonic day 14.5 (more )
Structure Level Pattern Image Note
TS23: spinal cord meninges Strong Regionally restricted euxassay_002853_18
TS23: midbrain meninges Strong Regionally restricted euxassay_002853_18
TS23: hindbrain meninges Strong Regionally restricted euxassay_002853_18
TS23: telencephalon meninges Strong Regionally restricted euxassay_002853_18
TS23: diencephalon meninges Strong Regionally restricted euxassay_002853_18

Specimen euxassay_002853_19: embryonic day 14.5 (more )
Structure Level Pattern Image Note
TS23: spinal cord meninges Strong Regionally restricted euxassay_002853_19
TS23: midbrain meninges Strong Regionally restricted euxassay_002853_19
TS23: hindbrain meninges Strong Regionally restricted euxassay_002853_19
TS23: telencephalon meninges Strong Regionally restricted euxassay_002853_19
TS23: diencephalon meninges Strong Regionally restricted euxassay_002853_19
TS23: cochlear duct Moderate Regionally restricted euxassay_002853_19

Specimen euxassay_002853_20: embryonic day 14.5 (more )
Note: Additional information for this specimen was included in the Eurexpress data submission file.
Structure Level Pattern Image Note
TS23: rib Moderate Regionally restricted euxassay_002853_20 periosteum
TS23: midbrain meninges Strong Regionally restricted euxassay_002853_20
TS23: hindbrain meninges Strong Regionally restricted euxassay_002853_20
TS23: telencephalon meninges Strong Regionally restricted euxassay_002853_20
TS23: diencephalon meninges Strong Regionally restricted euxassay_002853_20
TS23: cochlear duct Moderate Regionally restricted euxassay_002853_20

Specimen euxassay_002853_21: embryonic day 14.5 (more )
Note: Additional information for this specimen was included in the Eurexpress data submission file.
Structure Level Pattern Image Note
TS23: rib Moderate Regionally restricted euxassay_002853_21 periosteum
TS23: hindbrain meninges Strong Regionally restricted euxassay_002853_21
TS23: midbrain meninges Strong Regionally restricted euxassay_002853_21
TS23: telencephalon meninges Strong Regionally restricted euxassay_002853_21
TS23: cochlear duct Moderate Regionally restricted euxassay_002853_21

Specimen euxassay_002853_22: embryonic day 14.5 (more )
Note: Additional information for this specimen was included in the Eurexpress data submission file.
Structure Level Pattern Image Note
TS23: rib Moderate Regionally restricted euxassay_002853_22 periosteum
TS23: hindbrain meninges Strong Regionally restricted euxassay_002853_22
TS23: telencephalon meninges Strong Regionally restricted euxassay_002853_22
TS23: midbrain meninges Strong Regionally restricted euxassay_002853_22
TS23: cochlear duct Moderate Regionally restricted euxassay_002853_22

Specimen euxassay_002853_23: embryonic day 14.5 (more )
Note: Additional information for this specimen was included in the Eurexpress data submission file.
Structure Level Pattern Image Note
TS23: rib Moderate Regionally restricted euxassay_002853_23 periosteum
TS23: telencephalon meninges Strong Regionally restricted euxassay_002853_23
TS23: hindbrain meninges Strong Regionally restricted euxassay_002853_23
TS23: axial musculature Moderate Regionally restricted euxassay_002853_23

Specimen euxassay_002853_24: embryonic day 14.5 (more )
Note: Additional information for this specimen was included in the Eurexpress data submission file.
Structure Level Pattern Image Note
TS23: rib Moderate Regionally restricted euxassay_002853_24 periosteum
TS23: telencephalon meninges Strong Regionally restricted euxassay_002853_24
TS23: hindbrain meninges Strong Regionally restricted euxassay_002853_24
TS23: axial musculature Moderate Regionally restricted euxassay_002853_24


Contributing Projects:
Mouse Genome Database (MGD), Gene Expression Database (GXD), Mouse Models of Human Cancer database (MMHCdb) (formerly Mouse Tumor Biology (MTB)), Gene Ontology (GO)
Citing These Resources
Funding Information
Warranty Disclaimer, Privacy Notice, Licensing, & Copyright
Send questions and comments to User Support.
last database update
01/28/2026
MGI 6.24
The Jackson Laboratory