About   Help   FAQ
Gene Expression Data
Assay Details
Assay
Reference: J:153498 Diez-Roux G, et al., A high-resolution anatomical atlas of the transcriptome in the mouse embryo. PLoS Biol. 2011;9(1):e1000582
Assay type: RNA in situ
MGI Accession ID: MGI:4823105
Gene symbol: Amd2
Gene name: S-adenosylmethionine decarboxylase 2
Probe: T37558
Probe preparation: Antisense labelled with digoxigenin RNA
Visualized with: Alkaline phosphatase
Assay notes: Cryosections of fresh frozen material were fixed in 4% paraformaldehyde for 20 min. before further processing. A tyramide-biotin/streptavidin amplification step was included in the in situ hybridization procedure. The probe used in this assay may also recognize another gene (see Assay MGI:4823104).
Results
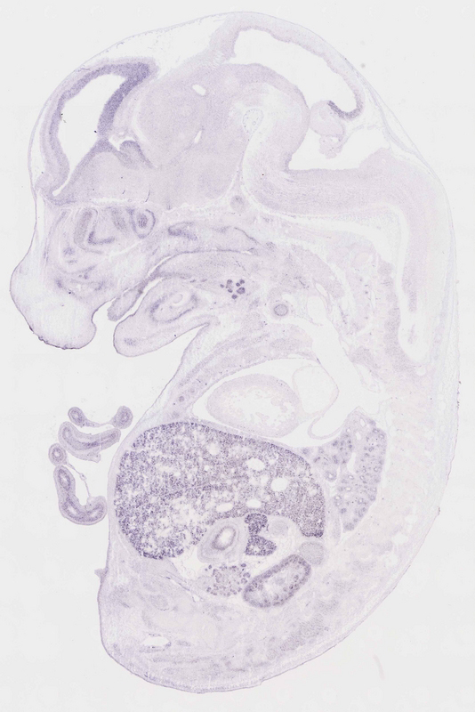
Specimen euxassay_011311_01: embryonic day 14.5 (more )
Structure Level Pattern Image Note
TS23: liver Moderate Regionally restricted euxassay_011311_01

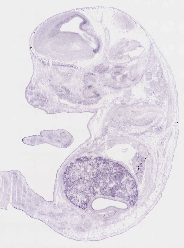
Specimen euxassay_011311_02: embryonic day 14.5 (more )
Structure Level Pattern Image Note
TS23: liver Moderate Regionally restricted euxassay_011311_02
TS23: stomach Moderate Regionally restricted euxassay_011311_02

Specimen euxassay_011311_03: embryonic day 14.5 (more )
Structure Level Pattern Image Note
TS23: liver Moderate Regionally restricted euxassay_011311_03
TS23: stomach Moderate Regionally restricted euxassay_011311_03
TS23: telencephalon ventricular layer Moderate Regionally restricted euxassay_011311_03

Specimen euxassay_011311_04: embryonic day 14.5 (more )
Structure Level Pattern Image Note
TS23: liver Moderate Regionally restricted euxassay_011311_04
TS23: left lung Moderate Regionally restricted euxassay_011311_04
TS23: stomach Moderate Regionally restricted euxassay_011311_04
TS23: telencephalon ventricular layer Moderate Regionally restricted euxassay_011311_04

Specimen euxassay_011311_05: embryonic day 14.5 (more )
Structure Level Pattern Image Note
TS23: liver Moderate Regionally restricted euxassay_011311_05
TS23: left lung Moderate Regionally restricted euxassay_011311_05
TS23: stomach Moderate Regionally restricted euxassay_011311_05
TS23: telencephalon ventricular layer Moderate Regionally restricted euxassay_011311_05

Specimen euxassay_011311_06: embryonic day 14.5 (more )
Structure Level Pattern Image Note
TS23: liver Moderate Regionally restricted euxassay_011311_06
TS23: left lung Moderate Regionally restricted euxassay_011311_06
TS23: stomach Moderate Regionally restricted euxassay_011311_06
TS23: telencephalon ventricular layer Moderate Regionally restricted euxassay_011311_06

Specimen euxassay_011311_07: embryonic day 14.5 (more )
Structure Level Pattern Image Note
TS23: liver Moderate Regionally restricted euxassay_011311_07
TS23: left lung Moderate Regionally restricted euxassay_011311_07
TS23: stomach Moderate Regionally restricted euxassay_011311_07
TS23: upper jaw molar Strong Regionally restricted euxassay_011311_07
TS23: lower jaw molar Strong Regionally restricted euxassay_011311_07
TS23: telencephalon ventricular layer Moderate Regionally restricted euxassay_011311_07

Specimen euxassay_011311_08: embryonic day 14.5 (more )
Structure Level Pattern Image Note
TS23: liver Moderate Regionally restricted euxassay_011311_08
TS23: metanephros Moderate Regionally restricted euxassay_011311_08
TS23: left lung Moderate Regionally restricted euxassay_011311_08
TS23: stomach Moderate Regionally restricted euxassay_011311_08
TS23: midgut Moderate Regionally restricted euxassay_011311_08
TS23: submandibular gland primordium Strong Regionally restricted euxassay_011311_08
TS23: lower jaw molar Strong Regionally restricted euxassay_011311_08
TS23: upper jaw molar Strong Regionally restricted euxassay_011311_08
TS23: telencephalon ventricular layer Moderate Regionally restricted euxassay_011311_08

Specimen euxassay_011311_09: embryonic day 14.5 (more )
Structure Level Pattern Image Note
TS23: liver Moderate Regionally restricted euxassay_011311_09
TS23: metanephros Moderate Regionally restricted euxassay_011311_09
TS23: left lung Moderate Regionally restricted euxassay_011311_09
TS23: stomach Moderate Regionally restricted euxassay_011311_09
TS23: midgut Moderate Regionally restricted euxassay_011311_09
TS23: submandibular gland primordium Strong Regionally restricted euxassay_011311_09
TS23: telencephalon ventricular layer Moderate Regionally restricted euxassay_011311_09
TS23: midbrain ventricular layer Moderate Regionally restricted euxassay_011311_09

Specimen euxassay_011311_10: embryonic day 14.5 (more )
Structure Level Pattern Image Note
TS23: liver Moderate Regionally restricted euxassay_011311_10
TS23: metanephros Moderate Regionally restricted euxassay_011311_10
TS23: left lung Moderate Regionally restricted euxassay_011311_10
TS23: midgut Moderate Regionally restricted euxassay_011311_10
TS23: stomach Moderate Regionally restricted euxassay_011311_10
TS23: submandibular gland primordium Strong Regionally restricted euxassay_011311_10
TS23: telencephalon ventricular layer Moderate Regionally restricted euxassay_011311_10
TS23: midbrain ventricular layer Moderate Regionally restricted euxassay_011311_10

Specimen euxassay_011311_11: embryonic day 14.5 (more )
Structure Level Pattern Image Note
TS23: liver Moderate Regionally restricted euxassay_011311_11
TS23: metanephros Moderate Regionally restricted euxassay_011311_11
TS23: left lung Moderate Regionally restricted euxassay_011311_11
TS23: midgut Moderate Regionally restricted euxassay_011311_11
TS23: submandibular gland primordium Strong Regionally restricted euxassay_011311_11
TS23: telencephalon ventricular layer Moderate Regionally restricted euxassay_011311_11
TS23: midbrain ventricular layer Moderate Regionally restricted euxassay_011311_11

Specimen euxassay_011311_12: embryonic day 14.5 (more )
Structure Level Pattern Image Note
TS23: liver Moderate Regionally restricted euxassay_011311_12
TS23: metanephros Moderate Regionally restricted euxassay_011311_12
TS23: left lung Moderate Regionally restricted euxassay_011311_12
TS23: right lung Moderate Regionally restricted euxassay_011311_12
TS23: midgut Moderate Regionally restricted euxassay_011311_12
TS23: lower jaw incisor Strong Regionally restricted euxassay_011311_12
TS23: upper jaw incisor Strong Regionally restricted euxassay_011311_12
TS23: thymus primordium Moderate Regionally restricted euxassay_011311_12
TS23: thyroid gland Moderate Regionally restricted euxassay_011311_12
TS23: telencephalon ventricular layer Moderate Regionally restricted euxassay_011311_12
TS23: midbrain ventricular layer Moderate Regionally restricted euxassay_011311_12

Specimen euxassay_011311_13: embryonic day 14.5 (more )
Structure Level Pattern Image Note
TS23: liver Moderate Regionally restricted euxassay_011311_13
TS23: right lung Moderate Regionally restricted euxassay_011311_13
TS23: midgut Moderate Regionally restricted euxassay_011311_13
TS23: lower jaw incisor Strong Regionally restricted euxassay_011311_13
TS23: upper jaw incisor Strong Regionally restricted euxassay_011311_13
TS23: thymus primordium Moderate Regionally restricted euxassay_011311_13
TS23: thyroid gland Moderate Regionally restricted euxassay_011311_13
TS23: telencephalon ventricular layer Moderate Regionally restricted euxassay_011311_13
TS23: midbrain ventricular layer Moderate Regionally restricted euxassay_011311_13

Specimen euxassay_011311_14: embryonic day 14.5 (more )
Structure Level Pattern Image Note
TS23: liver Moderate Regionally restricted euxassay_011311_14
TS23: right lung Moderate Regionally restricted euxassay_011311_14
TS23: midgut Moderate Regionally restricted euxassay_011311_14
TS23: lower jaw incisor Strong Regionally restricted euxassay_011311_14
TS23: upper jaw incisor Strong Regionally restricted euxassay_011311_14
TS23: thymus primordium Moderate Regionally restricted euxassay_011311_14
TS23: esophagus epithelium Moderate Regionally restricted euxassay_011311_14
TS23: telencephalon ventricular layer Moderate Regionally restricted euxassay_011311_14
TS23: midbrain ventricular layer Moderate Regionally restricted euxassay_011311_14

Specimen euxassay_011311_15: embryonic day 14.5 (more )
Structure Level Pattern Image Note
TS23: liver Moderate Regionally restricted euxassay_011311_15
TS23: right lung Moderate Regionally restricted euxassay_011311_15
TS23: midgut Moderate Regionally restricted euxassay_011311_15
TS23: rectum Moderate Regionally restricted euxassay_011311_15
TS23: thymus primordium Moderate Regionally restricted euxassay_011311_15
TS23: telencephalon ventricular layer Moderate Regionally restricted euxassay_011311_15
TS23: midbrain ventricular layer Moderate Regionally restricted euxassay_011311_15

Specimen euxassay_011311_16: embryonic day 14.5 (more )
Structure Level Pattern Image Note
TS23: liver Moderate Regionally restricted euxassay_011311_16
TS23: right lung Moderate Regionally restricted euxassay_011311_16
TS23: midgut Moderate Regionally restricted euxassay_011311_16
TS23: thymus primordium Moderate Regionally restricted euxassay_011311_16
TS23: thyroid gland Moderate Regionally restricted euxassay_011311_16
TS23: telencephalon ventricular layer Moderate Regionally restricted euxassay_011311_16
TS23: midbrain ventricular layer Moderate Regionally restricted euxassay_011311_16

Specimen euxassay_011311_17: embryonic day 14.5 (more )
Structure Level Pattern Image Note
TS23: liver Moderate Regionally restricted euxassay_011311_17
TS23: right lung Moderate Regionally restricted euxassay_011311_17
TS23: midgut Moderate Regionally restricted euxassay_011311_17
TS23: submandibular gland primordium Strong Regionally restricted euxassay_011311_17
TS23: lower jaw incisor Strong Regionally restricted euxassay_011311_17
TS23: upper jaw incisor Strong Regionally restricted euxassay_011311_17
TS23: thyroid gland Moderate Regionally restricted euxassay_011311_17
TS23: telencephalon ventricular layer Moderate Regionally restricted euxassay_011311_17

Specimen euxassay_011311_18: embryonic day 14.5 (more )
Structure Level Pattern Image Note
TS23: liver Moderate Regionally restricted euxassay_011311_18
TS23: metanephros Moderate Regionally restricted euxassay_011311_18
TS23: right lung Moderate Regionally restricted euxassay_011311_18
TS23: midgut Moderate Regionally restricted euxassay_011311_18
TS23: submandibular gland primordium Strong Regionally restricted euxassay_011311_18
TS23: lower jaw incisor Strong Regionally restricted euxassay_011311_18
TS23: upper jaw incisor Strong Regionally restricted euxassay_011311_18
TS23: telencephalon ventricular layer Moderate Regionally restricted euxassay_011311_18

Specimen euxassay_011311_19: embryonic day 14.5 (more )
Structure Level Pattern Image Note
TS23: liver Moderate Regionally restricted euxassay_011311_19
TS23: metanephros Moderate Regionally restricted euxassay_011311_19
TS23: right lung Moderate Regionally restricted euxassay_011311_19
TS23: midgut Moderate Regionally restricted euxassay_011311_19
TS23: submandibular gland primordium Strong Regionally restricted euxassay_011311_19
TS23: telencephalon ventricular layer Moderate Regionally restricted euxassay_011311_19

Specimen euxassay_011311_20: embryonic day 14.5 (more )
Structure Level Pattern Image Note
TS23: liver Moderate Regionally restricted euxassay_011311_20
TS23: metanephros Moderate Regionally restricted euxassay_011311_20
TS23: right lung Moderate Regionally restricted euxassay_011311_20
TS23: midgut Moderate Regionally restricted euxassay_011311_20
TS23: submandibular gland primordium Strong Regionally restricted euxassay_011311_20
TS23: lower jaw molar Strong Regionally restricted euxassay_011311_20
TS23: upper jaw molar Strong Regionally restricted euxassay_011311_20
TS23: telencephalon ventricular layer Moderate Regionally restricted euxassay_011311_20

Specimen euxassay_011311_21: embryonic day 14.5 (more )
Structure Level Pattern Image Note
TS23: liver Moderate Regionally restricted euxassay_011311_21
TS23: metanephros Moderate Regionally restricted euxassay_011311_21
TS23: right lung Moderate Regionally restricted euxassay_011311_21
TS23: midgut Moderate Regionally restricted euxassay_011311_21
TS23: submandibular gland primordium Strong Regionally restricted euxassay_011311_21
TS23: lower jaw molar Strong Regionally restricted euxassay_011311_21
TS23: upper jaw molar Strong Regionally restricted euxassay_011311_21
TS23: telencephalon ventricular layer Moderate Regionally restricted euxassay_011311_21

Specimen euxassay_011311_22: embryonic day 14.5 (more )
Structure Level Pattern Image Note
TS23: liver Moderate Regionally restricted euxassay_011311_22
TS23: metanephros Moderate Regionally restricted euxassay_011311_22
TS23: right lung Moderate Regionally restricted euxassay_011311_22
TS23: telencephalon ventricular layer Moderate Regionally restricted euxassay_011311_22

Specimen euxassay_011311_23: embryonic day 14.5 (more )
Structure Level Pattern Image Note
TS23: liver Moderate Regionally restricted euxassay_011311_23
TS23: metanephros Moderate Regionally restricted euxassay_011311_23
TS23: right lung Moderate Regionally restricted euxassay_011311_23
TS23: telencephalon ventricular layer Moderate Regionally restricted euxassay_011311_23


Contributing Projects:
Mouse Genome Database (MGD), Gene Expression Database (GXD), Mouse Models of Human Cancer database (MMHCdb) (formerly Mouse Tumor Biology (MTB)), Gene Ontology (GO)
Citing These Resources
Funding Information
Warranty Disclaimer, Privacy Notice, Licensing, & Copyright
Send questions and comments to User Support.
last database update
12/30/2025
MGI 6.24
The Jackson Laboratory