About   Help   FAQ
Gene Expression Data
Assay Details
Assay
Reference: J:153498 Diez-Roux G, et al., A high-resolution anatomical atlas of the transcriptome in the mouse embryo. PLoS Biol. 2011;9(1):e1000582
Assay type: RNA in situ
MGI Accession ID: MGI:4823103
Gene symbol: Amd1
Gene name: S-adenosylmethionine decarboxylase 1
Probe: IMAGE clone 1546344
Probe preparation: Antisense labelled with digoxigenin RNA
Visualized with: Alkaline phosphatase
Assay notes: Cryosections of fresh frozen material were fixed in 4% paraformaldehyde for 20 min. before further processing. A tyramide-biotin/streptavidin amplification step was included in the in situ hybridization procedure.
Results
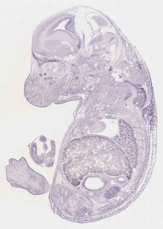
Specimen euxassay_002401_02: embryonic day 14.5 (more )
Structure Level Pattern Image Note
TS23: orbito-sphenoid Moderate Regionally restricted euxassay_002401_02

Specimen euxassay_002401_03: embryonic day 14.5 (more )
Structure Level Pattern Image Note
TS23: orbito-sphenoid Moderate Regionally restricted euxassay_002401_03

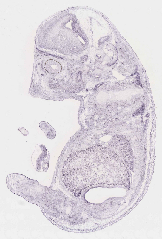
Specimen euxassay_002401_04: embryonic day 14.5 (more )
Structure Level Pattern Image Note
TS23: axial musculature Moderate Regionally restricted euxassay_002401_04
TS23: orbito-sphenoid Moderate Regionally restricted euxassay_002401_04

Specimen euxassay_002401_05: embryonic day 14.5 (more )
Structure Level Pattern Image Note
TS23: axial musculature Moderate Regionally restricted euxassay_002401_05
TS23: orbito-sphenoid Moderate Regionally restricted euxassay_002401_05

Specimen euxassay_002401_06: embryonic day 14.5 (more )
Structure Level Pattern Image Note
TS23: axial musculature Moderate Regionally restricted euxassay_002401_06
TS23: orbito-sphenoid Moderate Regionally restricted euxassay_002401_06

Specimen euxassay_002401_07: embryonic day 14.5 (more )
Structure Level Pattern Image Note
TS23: axial musculature Moderate Regionally restricted euxassay_002401_07

Specimen euxassay_002401_21: embryonic day 14.5 (more )
Structure Level Pattern Image Note
TS23: axial musculature Moderate Regionally restricted euxassay_002401_21
TS23: orbito-sphenoid Moderate Regionally restricted euxassay_002401_21

Specimen euxassay_002401_22: embryonic day 14.5 (more )
Structure Level Pattern Image Note
TS23: axial musculature Moderate Regionally restricted euxassay_002401_22
TS23: orbito-sphenoid Moderate Regionally restricted euxassay_002401_22

Specimen euxassay_002401_23: embryonic day 14.5 (more )
Structure Level Pattern Image Note
TS23: axial musculature Moderate Regionally restricted euxassay_002401_23
TS23: orbito-sphenoid Moderate Regionally restricted euxassay_002401_23

Specimen euxassay_002401_24: embryonic day 14.5 (more )
Structure Level Pattern Image Note
TS23: axial musculature Moderate Regionally restricted euxassay_002401_24


Contributing Projects:
Mouse Genome Database (MGD), Gene Expression Database (GXD), Mouse Models of Human Cancer database (MMHCdb) (formerly Mouse Tumor Biology (MTB)), Gene Ontology (GO)
Citing These Resources
Funding Information
Warranty Disclaimer, Privacy Notice, Licensing, & Copyright
Send questions and comments to User Support.
last database update
01/20/2026
MGI 6.24
The Jackson Laboratory