About   Help   FAQ
Gene Expression Data
Assay Details
Assay
Reference: J:153498 Diez-Roux G, et al., A high-resolution anatomical atlas of the transcriptome in the mouse embryo. PLoS Biol. 2011;9(1):e1000582
Assay type: RNA in situ
MGI Accession ID: MGI:4822938
Gene symbol: Acsl1
Gene name: acyl-CoA synthetase long-chain family member 1
Probe: MGC clone 68224
Probe preparation: Antisense labelled with digoxigenin RNA
Visualized with: Alkaline phosphatase
Assay notes: Cryosections of fresh frozen material were fixed in 4% paraformaldehyde for 20 min. before further processing. A tyramide-biotin/streptavidin amplification step was included in the in situ hybridization procedure.
Results
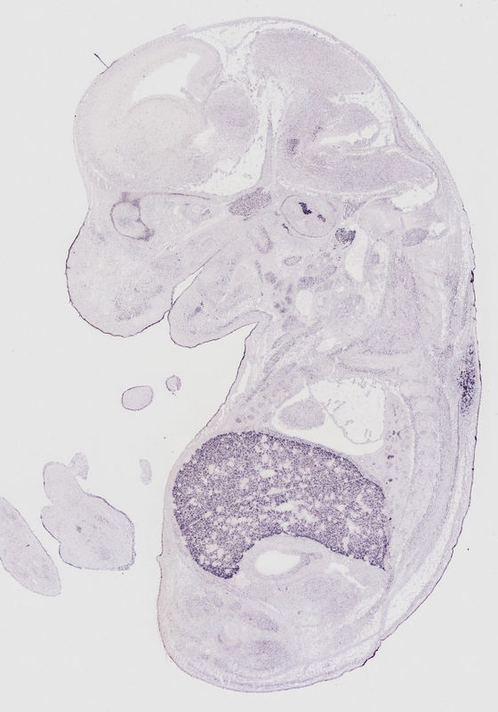
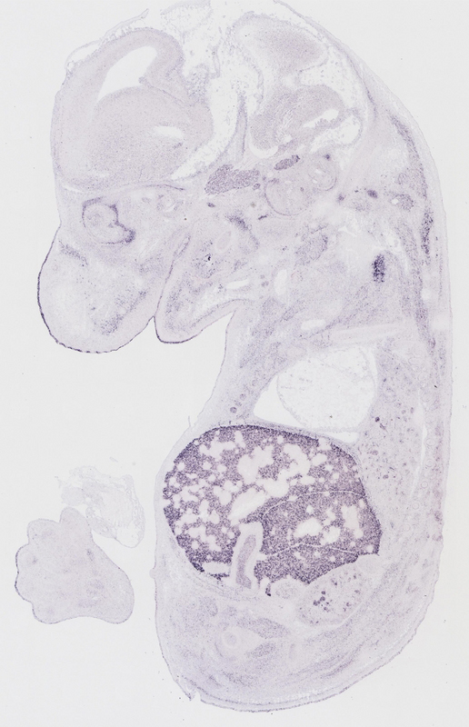
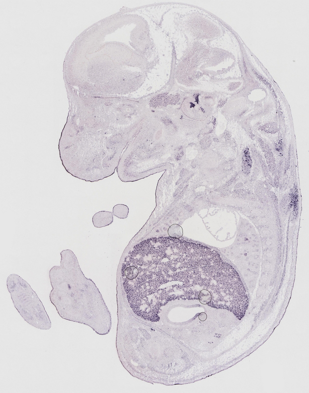
Specimen euxassay_001151_01: embryonic day 14.5 (more )
Note: Additional information for this specimen was included in the Eurexpress data submission file.
Structure Level Pattern Image Note
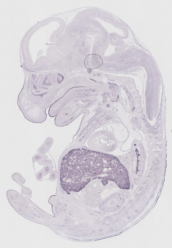
TS23: liver lobe Moderate Uniform euxassay_001151_01
TS23: embryo Weak Regionally restricted euxassay_001151_01
TS23: skin Present euxassay_001151_01

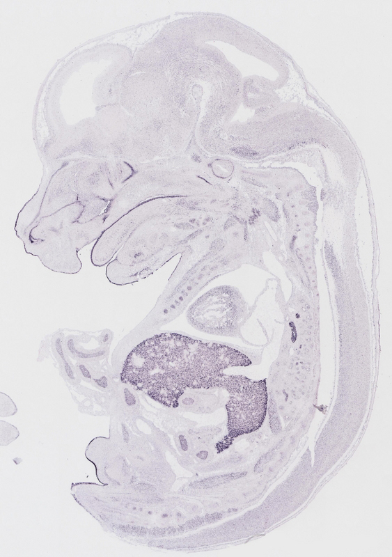
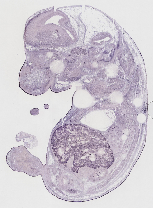
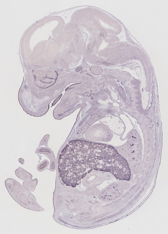
Specimen euxassay_001151_02: embryonic day 14.5 (more )
Note: Additional information for this specimen was included in the Eurexpress data submission file.
Structure Level Pattern Image Note
TS23: liver lobe Moderate Uniform euxassay_001151_02
TS23: chondrocranium Weak Regionally restricted euxassay_001151_02
TS23: embryo Weak Regionally restricted euxassay_001151_02
TS23: skin Present euxassay_001151_02

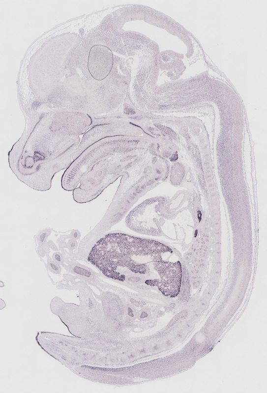
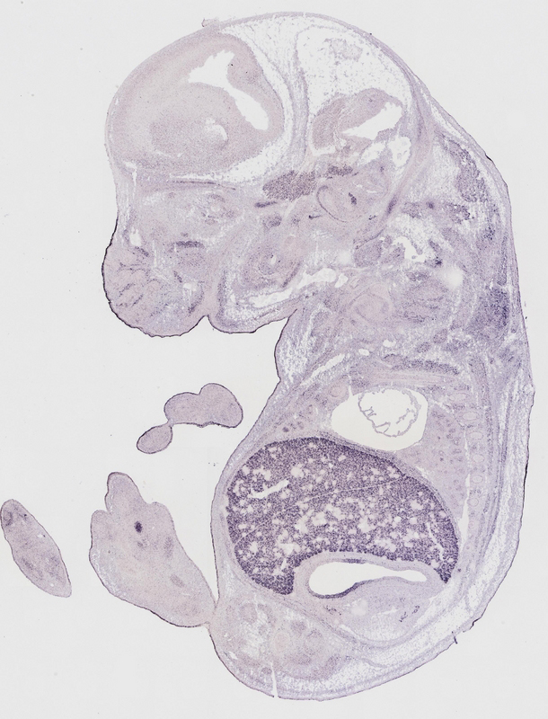
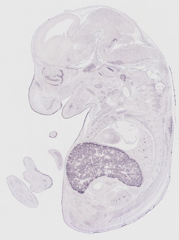
Specimen euxassay_001151_03: embryonic day 14.5 (more )
Note: Additional information for this specimen was included in the Eurexpress data submission file.
Structure Level Pattern Image Note
TS23: liver lobe Moderate Uniform euxassay_001151_03
TS23: embryo Weak Regionally restricted euxassay_001151_03
TS23: skin Present euxassay_001151_03
TS23: stomach Weak Regionally restricted euxassay_001151_03

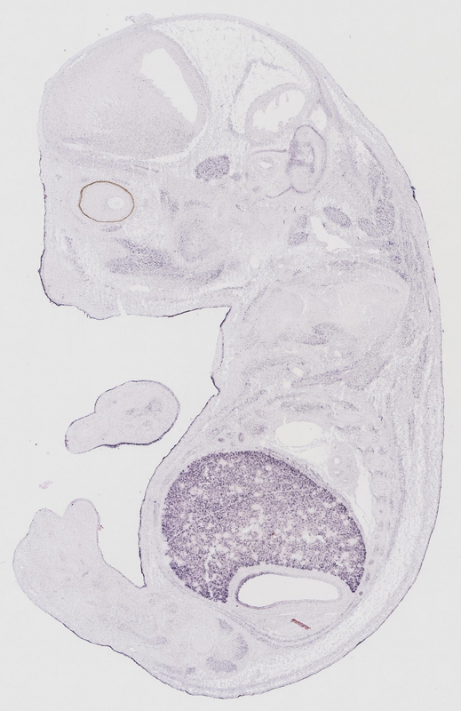
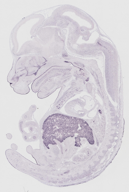
Specimen euxassay_001151_04: embryonic day 14.5 (more )
Note: Additional information for this specimen was included in the Eurexpress data submission file.
Structure Level Pattern Image Note
TS23: liver lobe Moderate Uniform euxassay_001151_04
TS23: trigeminal ganglion Weak Regionally restricted euxassay_001151_04
TS23: embryo Weak Regionally restricted euxassay_001151_04
TS23: skin Present euxassay_001151_04
TS23: stomach Weak Regionally restricted euxassay_001151_04

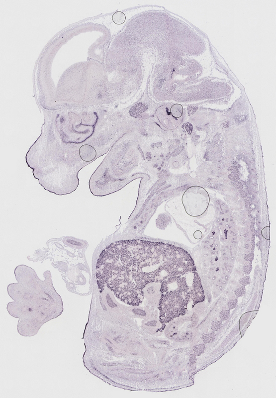
Specimen euxassay_001151_05: embryonic day 14.5 (more )
Note: Additional information for this specimen was included in the Eurexpress data submission file.
Structure Level Pattern Image Note
TS23: chondrocranium Weak Regionally restricted euxassay_001151_05
TS23: nasal capsule Weak Regionally restricted euxassay_001151_05
TS23: vestibulo-cochlear ganglion Weak Regionally restricted euxassay_001151_05
TS23: trigeminal ganglion Weak Regionally restricted euxassay_001151_05
TS23: embryo Weak Regionally restricted euxassay_001151_05
TS23: skin Present euxassay_001151_05
TS23: stomach Weak Regionally restricted euxassay_001151_05

Specimen euxassay_001151_06: embryonic day 14.5 (more )
Note: Additional information for this specimen was included in the Eurexpress data submission file.
Structure Level Pattern Image Note
TS23: liver lobe Moderate Uniform euxassay_001151_06
TS23: chondrocranium Weak Regionally restricted euxassay_001151_06
TS23: glossopharyngeal ganglion Weak Regionally restricted euxassay_001151_06
TS23: trigeminal ganglion Weak Regionally restricted euxassay_001151_06
TS23: facial ganglion Weak Regionally restricted euxassay_001151_06
TS23: vestibulo-cochlear ganglion Moderate Regionally restricted euxassay_001151_06
TS23: embryo Weak Regionally restricted euxassay_001151_06
TS23: skin Present euxassay_001151_06
TS23: stomach Weak Regionally restricted euxassay_001151_06

Specimen euxassay_001151_07: embryonic day 14.5 (more )
Note: Additional information for this specimen was included in the Eurexpress data submission file.
Structure Level Pattern Image Note
TS23: liver lobe Moderate Uniform euxassay_001151_07
TS23: chondrocranium Weak Regionally restricted euxassay_001151_07
TS23: nasal capsule Weak Regionally restricted euxassay_001151_07
TS23: vestibulo-cochlear ganglion Moderate Regionally restricted euxassay_001151_07
TS23: trigeminal ganglion Weak Regionally restricted euxassay_001151_07
TS23: glossopharyngeal ganglion Weak Regionally restricted euxassay_001151_07
TS23: embryo Weak Regionally restricted euxassay_001151_07
TS23: skin Present euxassay_001151_07

Specimen euxassay_001151_08: embryonic day 14.5 (more )
Note: Additional information for this specimen was included in the Eurexpress data submission file.
Structure Level Pattern Image Note
TS23: liver lobe Moderate Uniform euxassay_001151_08
TS23: nasal capsule Weak Regionally restricted euxassay_001151_08
TS23: trigeminal ganglion Weak Regionally restricted euxassay_001151_08
TS23: vagus ganglion Weak Regionally restricted euxassay_001151_08
TS23: vestibulo-cochlear ganglion Moderate Regionally restricted euxassay_001151_08
TS23: embryo Weak Regionally restricted euxassay_001151_08
TS23: skin Present euxassay_001151_08

Specimen euxassay_001151_09: embryonic day 14.5 (more )
Note: Additional information for this specimen was included in the Eurexpress data submission file.
Structure Level Pattern Image Note
TS23: liver lobe Moderate Uniform euxassay_001151_09
TS23: nasal capsule Weak Regionally restricted euxassay_001151_09
TS23: embryo Weak Regionally restricted euxassay_001151_09
TS23: skin Present euxassay_001151_09
TS23: midgut Weak Regionally restricted euxassay_001151_09

Specimen euxassay_001151_10: embryonic day 14.5 (more )
Note: Additional information for this specimen was included in the Eurexpress data submission file.
Structure Level Pattern Image Note
TS23: liver lobe Moderate Uniform euxassay_001151_10
TS23: nasal capsule Weak Regionally restricted euxassay_001151_10
TS23: embryo Weak Regionally restricted euxassay_001151_10
TS23: skin Present euxassay_001151_10
TS23: pharynx Weak Regionally restricted euxassay_001151_10
TS23: midgut Weak Regionally restricted euxassay_001151_10

Specimen euxassay_001151_11: embryonic day 14.5 (more )
Note: Additional information for this specimen was included in the Eurexpress data submission file.
Structure Level Pattern Image Note
TS23: liver lobe Moderate Uniform euxassay_001151_11
TS23: nasal capsule Weak Regionally restricted euxassay_001151_11
TS23: embryo Weak Regionally restricted euxassay_001151_11
TS23: skin Present euxassay_001151_11
TS23: pharynx Weak Regionally restricted euxassay_001151_11
TS23: tongue Weak Regionally restricted euxassay_001151_11
TS23: foregut-midgut junction Weak Regionally restricted euxassay_001151_11
TS23: midgut Weak Regionally restricted euxassay_001151_11

Specimen euxassay_001151_12: embryonic day 14.5 (more )
Note: Additional information for this specimen was included in the Eurexpress data submission file.
Structure Level Pattern Image Note
TS23: liver lobe Moderate Uniform euxassay_001151_12
TS23: nasal capsule Weak Regionally restricted euxassay_001151_12
TS23: embryo Weak Regionally restricted euxassay_001151_12
TS23: skin Present euxassay_001151_12
TS23: pharynx Weak Regionally restricted euxassay_001151_12
TS23: larynx Moderate Regionally restricted euxassay_001151_12
TS23: esophagus Weak Regionally restricted euxassay_001151_12
TS23: tongue Weak Regionally restricted euxassay_001151_12
TS23: midgut Weak Regionally restricted euxassay_001151_12
TS23: foregut-midgut junction Weak Regionally restricted euxassay_001151_12

Specimen euxassay_001151_13: embryonic day 14.5 (more )
Note: Additional information for this specimen was included in the Eurexpress data submission file.
Structure Level Pattern Image Note
TS23: liver lobe Moderate Uniform euxassay_001151_13
TS23: nasal capsule Weak Regionally restricted euxassay_001151_13
TS23: anal canal Moderate Regionally restricted euxassay_001151_13
TS23: embryo Weak Regionally restricted euxassay_001151_13
TS23: skin Present euxassay_001151_13
TS23: pharynx Weak Regionally restricted euxassay_001151_13
TS23: larynx Moderate Regionally restricted euxassay_001151_13
TS23: trachea Moderate Regionally restricted euxassay_001151_13
TS23: esophagus Weak Regionally restricted euxassay_001151_13
TS23: tongue Weak Regionally restricted euxassay_001151_13
TS23: midgut Weak Regionally restricted euxassay_001151_13
TS23: hindgut Weak Regionally restricted euxassay_001151_13
TS23: foregut-midgut junction Weak Regionally restricted euxassay_001151_13
TS23: lower jaw incisor Weak Regionally restricted euxassay_001151_13
TS23: upper jaw incisor Weak Regionally restricted euxassay_001151_13

Specimen euxassay_001151_14: embryonic day 14.5 (more )
Note: Additional information for this specimen was included in the Eurexpress data submission file.
Structure Level Pattern Image Note
TS23: liver lobe Moderate Uniform euxassay_001151_14
TS23: nasal capsule Weak Regionally restricted euxassay_001151_14
TS23: anal canal Weak Regionally restricted euxassay_001151_14
TS23: embryo Weak Regionally restricted euxassay_001151_14
TS23: skin Present euxassay_001151_14
TS23: pharynx Weak Regionally restricted euxassay_001151_14
TS23: larynx Moderate Regionally restricted euxassay_001151_14
TS23: trachea Moderate Regionally restricted euxassay_001151_14
TS23: tongue Weak Regionally restricted euxassay_001151_14
TS23: midgut Weak Regionally restricted euxassay_001151_14
TS23: hindgut Weak Regionally restricted euxassay_001151_14
TS23: foregut-midgut junction Weak Regionally restricted euxassay_001151_14

Specimen euxassay_001151_15: embryonic day 14.5 (more )
Note: Additional information for this specimen was included in the Eurexpress data submission file.
Structure Level Pattern Image Note
TS23: liver lobe Moderate Uniform euxassay_001151_15
TS23: nasal capsule Weak Regionally restricted euxassay_001151_15
TS23: embryo Weak Regionally restricted euxassay_001151_15
TS23: skin Present euxassay_001151_15
TS23: pharynx Weak Regionally restricted euxassay_001151_15
TS23: trachea Moderate Regionally restricted euxassay_001151_15
TS23: tongue Weak Regionally restricted euxassay_001151_15
TS23: foregut-midgut junction Weak Regionally restricted euxassay_001151_15
TS23: midgut Weak Regionally restricted euxassay_001151_15

Specimen euxassay_001151_16: embryonic day 14.5 (more )
Note: Additional information for this specimen was included in the Eurexpress data submission file.
Structure Level Pattern Image Note
TS23: liver lobe Moderate Uniform euxassay_001151_16
TS23: nasal capsule Weak Regionally restricted euxassay_001151_16
TS23: embryo Weak Regionally restricted euxassay_001151_16
TS23: skin Present euxassay_001151_16
TS23: pharynx Weak Regionally restricted euxassay_001151_16
TS23: foregut-midgut junction Weak Regionally restricted euxassay_001151_16
TS23: midgut Weak Regionally restricted euxassay_001151_16
TS23: lower jaw incisor Weak Regionally restricted euxassay_001151_16

Specimen euxassay_001151_17: embryonic day 14.5 (more )
Note: Additional information for this specimen was included in the Eurexpress data submission file.
Structure Level Pattern Image Note
TS23: liver lobe Moderate Uniform euxassay_001151_17
TS23: nasal capsule Weak Regionally restricted euxassay_001151_17
TS23: vestibulo-cochlear ganglion Moderate Regionally restricted euxassay_001151_17
TS23: trigeminal ganglion Weak Regionally restricted euxassay_001151_17
TS23: vagus ganglion Weak Regionally restricted euxassay_001151_17
TS23: embryo Weak Regionally restricted euxassay_001151_17
TS23: skin Present euxassay_001151_17
TS23: foregut-midgut junction Weak Regionally restricted euxassay_001151_17
TS23: midgut Weak Regionally restricted euxassay_001151_17

Specimen euxassay_001151_18: embryonic day 14.5 (more )
Note: Additional information for this specimen was included in the Eurexpress data submission file.
Structure Level Pattern Image Note
TS23: liver lobe Moderate Uniform euxassay_001151_18
TS23: nasal capsule Weak Regionally restricted euxassay_001151_18
TS23: trigeminal ganglion Weak Regionally restricted euxassay_001151_18
TS23: glossopharyngeal ganglion Weak Regionally restricted euxassay_001151_18
TS23: vestibulo-cochlear ganglion Moderate Regionally restricted euxassay_001151_18
TS23: embryo Weak Regionally restricted euxassay_001151_18
TS23: skin Present euxassay_001151_18
TS23: foregut-midgut junction Weak Regionally restricted euxassay_001151_18
TS23: midgut Weak Regionally restricted euxassay_001151_18
TS23: lower jaw incisor Weak Regionally restricted euxassay_001151_18

Specimen euxassay_001151_19: embryonic day 14.5 (more )
Note: Additional information for this specimen was included in the Eurexpress data submission file.
Structure Level Pattern Image Note
TS23: liver lobe Moderate Uniform euxassay_001151_19
TS23: chondrocranium Weak Regionally restricted euxassay_001151_19
TS23: nasal capsule Weak Regionally restricted euxassay_001151_19
TS23: trigeminal ganglion Weak Regionally restricted euxassay_001151_19
TS23: facial ganglion Weak Regionally restricted euxassay_001151_19
TS23: vestibulo-cochlear ganglion Moderate Regionally restricted euxassay_001151_19
TS23: glossopharyngeal ganglion Weak Regionally restricted euxassay_001151_19
TS23: embryo Weak Regionally restricted euxassay_001151_19
TS23: skin Present euxassay_001151_19
TS23: foregut-midgut junction Weak Regionally restricted euxassay_001151_19
TS23: midgut Weak Regionally restricted euxassay_001151_19

Specimen euxassay_001151_20: embryonic day 14.5 (more )
Note: Additional information for this specimen was included in the Eurexpress data submission file.
Structure Level Pattern Image Note
TS23: liver lobe Moderate Uniform euxassay_001151_20
TS23: chondrocranium Weak Regionally restricted euxassay_001151_20
TS23: nasal capsule Weak Regionally restricted euxassay_001151_20
TS23: trigeminal ganglion Weak Regionally restricted euxassay_001151_20
TS23: facial ganglion Weak Regionally restricted euxassay_001151_20
TS23: embryo Weak Regionally restricted euxassay_001151_20
TS23: skin Present euxassay_001151_20
TS23: foregut-midgut junction Weak Regionally restricted euxassay_001151_20
TS23: midgut Weak Regionally restricted euxassay_001151_20

Specimen euxassay_001151_21: embryonic day 14.5 (more )
Note: Additional information for this specimen was included in the Eurexpress data submission file.
Structure Level Pattern Image Note
TS23: liver lobe Moderate Uniform euxassay_001151_21
TS23: chondrocranium Weak Regionally restricted euxassay_001151_21
TS23: trigeminal ganglion Weak Regionally restricted euxassay_001151_21
TS23: facial ganglion Weak Regionally restricted euxassay_001151_21
TS23: embryo Weak Regionally restricted euxassay_001151_21
TS23: skin Present euxassay_001151_21

Specimen euxassay_001151_22: embryonic day 14.5 (more )
Note: Additional information for this specimen was included in the Eurexpress data submission file.
Structure Level Pattern Image Note
TS23: liver lobe Moderate Uniform euxassay_001151_22
TS23: chondrocranium Weak Regionally restricted euxassay_001151_22
TS23: trigeminal ganglion Weak Regionally restricted euxassay_001151_22
TS23: embryo Moderate Regionally restricted euxassay_001151_22
TS23: skin Present euxassay_001151_22

Specimen euxassay_001151_23: embryonic day 14.5 (more )
Note: Additional information for this specimen was included in the Eurexpress data submission file.
Structure Level Pattern Image Note
TS23: liver lobe Moderate Uniform euxassay_001151_23
TS23: embryo Moderate Regionally restricted euxassay_001151_23
TS23: skin Present euxassay_001151_23

Specimen euxassay_001151_24: embryonic day 14.5 (more )
Note: Additional information for this specimen was included in the Eurexpress data submission file.
Structure Level Pattern Image Note
TS23: liver lobe Moderate Uniform euxassay_001151_24
TS23: chondrocranium Moderate Regionally restricted euxassay_001151_24
TS23: embryo Moderate Regionally restricted euxassay_001151_24
TS23: skin Present euxassay_001151_24


Contributing Projects:
Mouse Genome Database (MGD), Gene Expression Database (GXD), Mouse Models of Human Cancer database (MMHCdb) (formerly Mouse Tumor Biology (MTB)), Gene Ontology (GO)
Citing These Resources
Funding Information
Warranty Disclaimer, Privacy Notice, Licensing, & Copyright
Send questions and comments to User Support.
last database update
12/30/2025
MGI 6.24
The Jackson Laboratory