About   Help   FAQ
Gene Expression Data
Assay Details
Assay
Reference: J:153498 Diez-Roux G, et al., A high-resolution anatomical atlas of the transcriptome in the mouse embryo. PLoS Biol. 2011;9(1):e1000582
Assay type: RNA in situ
MGI Accession ID: MGI:4822822
Gene symbol: A230006K03Rik
Gene name: RIKEN cDNA A230006K03 gene
Probe: T39639
Probe preparation: Antisense labelled with digoxigenin RNA
Visualized with: Alkaline phosphatase
Assay notes: Cryosections of fresh frozen material were fixed in 4% paraformaldehyde for 20 min. before further processing. A tyramide-biotin/streptavidin amplification step was included in the in situ hybridization procedure.
Results
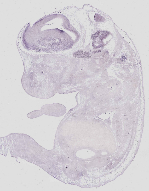
Specimen euxassay_014127_01: embryonic day 14.5 (more )
Structure Level Pattern Image Note
TS23: brain Strong Regionally restricted euxassay_014127_01
TS23: neural retina Strong Regionally restricted euxassay_014127_01

Specimen euxassay_014127_02: embryonic day 14.5 (more )
Structure Level Pattern Image Note
TS23: brain Strong Regionally restricted euxassay_014127_02
TS23: trigeminal ganglion Strong Regionally restricted euxassay_014127_02
TS23: neural retina Strong Regionally restricted euxassay_014127_02

Specimen euxassay_014127_03: embryonic day 14.5 (more )
Structure Level Pattern Image Note
TS23: brain Strong Regionally restricted euxassay_014127_03
TS23: trigeminal ganglion Strong Regionally restricted euxassay_014127_03
TS23: facial ganglion Strong Regionally restricted euxassay_014127_03

Specimen euxassay_014127_04: embryonic day 14.5 (more )
Structure Level Pattern Image Note
TS23: brain Strong Regionally restricted euxassay_014127_04
TS23: trigeminal ganglion Strong Regionally restricted euxassay_014127_04
TS23: facial ganglion Strong Regionally restricted euxassay_014127_04

Specimen euxassay_014127_05: embryonic day 14.5 (more )
Structure Level Pattern Image Note
TS23: brain Strong Regionally restricted euxassay_014127_05
TS23: trigeminal ganglion Strong Regionally restricted euxassay_014127_05
TS23: vestibulo-cochlear ganglion Strong Regionally restricted euxassay_014127_05

Specimen euxassay_014127_06: embryonic day 14.5 (more )
Structure Level Pattern Image Note
TS23: brain Strong Regionally restricted euxassay_014127_06
TS23: trigeminal ganglion Strong Regionally restricted euxassay_014127_06
TS23: glossopharyngeal ganglion Strong Regionally restricted euxassay_014127_06
TS23: vestibulo-cochlear ganglion Strong Regionally restricted euxassay_014127_06
TS23: dorsal root ganglion Strong Regionally restricted euxassay_014127_06

Specimen euxassay_014127_07: embryonic day 14.5 (more )
Structure Level Pattern Image Note
TS23: brain Strong Regionally restricted euxassay_014127_07
TS23: trigeminal ganglion Strong Regionally restricted euxassay_014127_07
TS23: vagus ganglion Strong Regionally restricted euxassay_014127_07
TS23: vestibulo-cochlear ganglion Strong Regionally restricted euxassay_014127_07
TS23: dorsal root ganglion Strong Regionally restricted euxassay_014127_07

Specimen euxassay_014127_08: embryonic day 14.5 (more )
Structure Level Pattern Image Note
TS23: brain Strong Regionally restricted euxassay_014127_08
TS23: spinal cord Strong Regionally restricted euxassay_014127_08
TS23: trigeminal nerve Moderate Regionally restricted euxassay_014127_08
TS23: dorsal root ganglion Strong Regionally restricted euxassay_014127_08

Specimen euxassay_014127_09: embryonic day 14.5 (more )
Structure Level Pattern Image Note
TS23: brain Strong Regionally restricted euxassay_014127_09
TS23: spinal cord Strong Regionally restricted euxassay_014127_09
TS23: dorsal root ganglion Strong Regionally restricted euxassay_014127_09

Specimen euxassay_014127_10: embryonic day 14.5 (more )
Structure Level Pattern Image Note
TS23: brain Strong Regionally restricted euxassay_014127_10
TS23: spinal cord Strong Regionally restricted euxassay_014127_10
TS23: dorsal root ganglion Strong Regionally restricted euxassay_014127_10

Specimen euxassay_014127_11: embryonic day 14.5 (more )
Structure Level Pattern Image Note
TS23: brain Strong Regionally restricted euxassay_014127_11
TS23: spinal cord Strong Regionally restricted euxassay_014127_11
TS23: dorsal root ganglion Strong Regionally restricted euxassay_014127_11

Specimen euxassay_014127_12: embryonic day 14.5 (more )
Structure Level Pattern Image Note
TS23: brain Strong Regionally restricted euxassay_014127_12
TS23: spinal cord Strong Regionally restricted euxassay_014127_12

Specimen euxassay_014127_13: embryonic day 14.5 (more )
Structure Level Pattern Image Note
TS23: brain Strong Regionally restricted euxassay_014127_13
TS23: spinal cord Strong Regionally restricted euxassay_014127_13
TS23: dorsal root ganglion Strong Regionally restricted euxassay_014127_13

Specimen euxassay_014127_14: embryonic day 14.5 (more )
Structure Level Pattern Image Note
TS23: brain Strong Regionally restricted euxassay_014127_14
TS23: spinal cord Strong Regionally restricted euxassay_014127_14
TS23: dorsal root ganglion Strong Regionally restricted euxassay_014127_14

Specimen euxassay_014127_15: embryonic day 14.5 (more )
Structure Level Pattern Image Note
TS23: brain Strong Regionally restricted euxassay_014127_15
TS23: dorsal root ganglion Strong Regionally restricted euxassay_014127_15

Specimen euxassay_014127_16: embryonic day 14.5 (more )
Structure Level Pattern Image Note
TS23: brain Strong Regionally restricted euxassay_014127_16
TS23: trigeminal ganglion Strong Regionally restricted euxassay_014127_16
TS23: trigeminal nerve Strong Regionally restricted euxassay_014127_16
TS23: vestibulo-cochlear ganglion Strong Regionally restricted euxassay_014127_16
TS23: glossopharyngeal ganglion Strong Regionally restricted euxassay_014127_16
TS23: vagus ganglion Strong Regionally restricted euxassay_014127_16
TS23: dorsal root ganglion Strong Regionally restricted euxassay_014127_16

Specimen euxassay_014127_17: embryonic day 14.5 (more )
Structure Level Pattern Image Note
TS23: brain Strong Regionally restricted euxassay_014127_17
TS23: trigeminal ganglion Strong Regionally restricted euxassay_014127_17
TS23: facial ganglion Strong Regionally restricted euxassay_014127_17
TS23: vestibulo-cochlear ganglion Strong Regionally restricted euxassay_014127_17
TS23: glossopharyngeal ganglion Strong Regionally restricted euxassay_014127_17

Specimen euxassay_014127_18: embryonic day 14.5 (more )
Structure Level Pattern Image Note
TS23: brain Strong Regionally restricted euxassay_014127_18
TS23: trigeminal ganglion Strong Regionally restricted euxassay_014127_18
TS23: facial ganglion Strong Regionally restricted euxassay_014127_18

Specimen euxassay_014127_19: embryonic day 14.5 (more )
Structure Level Pattern Image Note
TS23: brain Strong Regionally restricted euxassay_014127_19
TS23: trigeminal ganglion Strong Regionally restricted euxassay_014127_19
TS23: facial ganglion Strong Regionally restricted euxassay_014127_19

Specimen euxassay_014127_20: embryonic day 14.5 (more )
Structure Level Pattern Image Note
TS23: brain Strong Regionally restricted euxassay_014127_20
TS23: trigeminal ganglion Strong Regionally restricted euxassay_014127_20
TS23: facial ganglion Strong Regionally restricted euxassay_014127_20

Specimen euxassay_014127_21: embryonic day 14.5 (more )
Structure Level Pattern Image Note
TS23: brain Strong Regionally restricted euxassay_014127_21
TS23: trigeminal ganglion Strong Regionally restricted euxassay_014127_21

Specimen euxassay_014127_22: embryonic day 14.5 (more )
Structure Level Pattern Image Note
TS23: brain Strong Regionally restricted euxassay_014127_22
TS23: neural retina Strong Regionally restricted euxassay_014127_22

Specimen euxassay_014127_23: embryonic day 14.5 (more )
Structure Level Pattern Image Note
TS23: brain Strong Regionally restricted euxassay_014127_23
TS23: neural retina Strong Regionally restricted euxassay_014127_23


Contributing Projects:
Mouse Genome Database (MGD), Gene Expression Database (GXD), Mouse Models of Human Cancer database (MMHCdb) (formerly Mouse Tumor Biology (MTB)), Gene Ontology (GO)
Citing These Resources
Funding Information
Warranty Disclaimer, Privacy Notice, Licensing, & Copyright
Send questions and comments to User Support.
last database update
01/28/2026
MGI 6.24
The Jackson Laboratory