About   Help   FAQ
Gene Expression Data
Assay Details
Assay
Reference: J:153498 Diez-Roux G, et al., A high-resolution anatomical atlas of the transcriptome in the mouse embryo. PLoS Biol. 2011;9(1):e1000582
Assay type: RNA in situ
MGI Accession ID: MGI:4822581
Gene symbol: Bacc1
Gene name: BPTF associated chromatin complex component 1
Probe: T31801
Probe preparation: Antisense labelled with digoxigenin RNA
Visualized with: Alkaline phosphatase
Assay notes: Cryosections of fresh frozen material were fixed in 4% paraformaldehyde for 20 min. before further processing. A tyramide-biotin/streptavidin amplification step was included in the in situ hybridization procedure.
Results
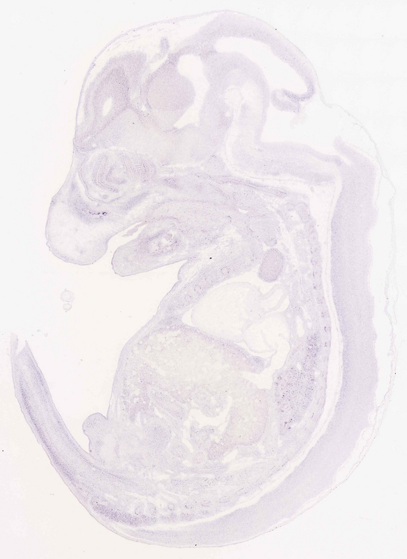
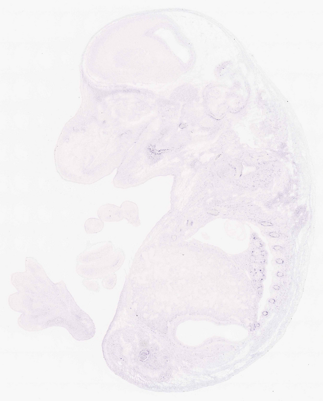
Specimen euxassay_010029_01: embryonic day 14.5 (more )
Structure Level Pattern Image Note
TS23: rib Weak Regionally restricted euxassay_010029_01
TS23: orbito-sphenoid Moderate Regionally restricted euxassay_010029_01

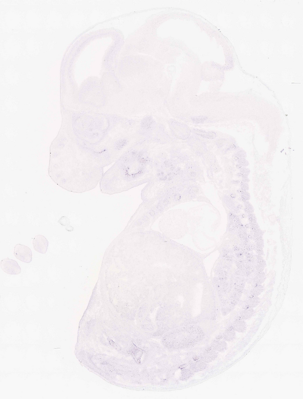
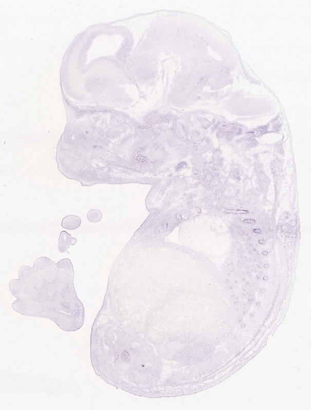
Specimen euxassay_010029_02: embryonic day 14.5 (more )
Structure Level Pattern Image Note
TS23: rib Weak Regionally restricted euxassay_010029_02
TS23: orbito-sphenoid Weak Regionally restricted euxassay_010029_02
TS23: mandible Weak Regionally restricted euxassay_010029_02
TS23: femur Weak Regionally restricted euxassay_010029_02

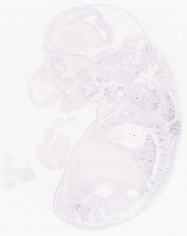
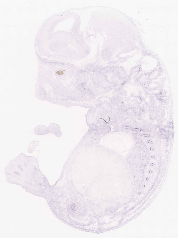
Specimen euxassay_010029_03: embryonic day 14.5 (more )
Structure Level Pattern Image Note
TS23: rib Weak Regionally restricted euxassay_010029_03
TS23: orbito-sphenoid Weak Regionally restricted euxassay_010029_03
TS23: mandible Weak Regionally restricted euxassay_010029_03
TS23: femur Weak Regionally restricted euxassay_010029_03

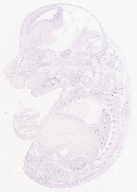
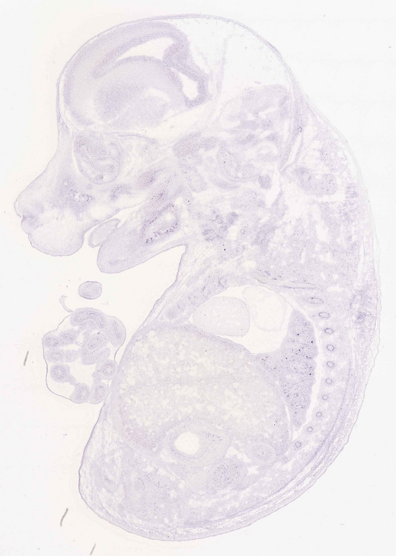
Specimen euxassay_010029_04: embryonic day 14.5 (more )
Structure Level Pattern Image Note
TS23: rib Weak Regionally restricted euxassay_010029_04
TS23: mandible Weak Regionally restricted euxassay_010029_04

Specimen euxassay_010029_05: embryonic day 14.5 (more )
Structure Level Pattern Image Note
TS23: rib Weak Regionally restricted euxassay_010029_05
TS23: maxilla Weak Regionally restricted euxassay_010029_05
TS23: mandible Weak Regionally restricted euxassay_010029_05

Specimen euxassay_010029_06: embryonic day 14.5 (more )
Structure Level Pattern Image Note
TS23: rib Weak Regionally restricted euxassay_010029_06

Specimen euxassay_010029_11: embryonic day 14.5 (more )
Structure Level Pattern Image Note
TS23: mandible Weak Regionally restricted euxassay_010029_11
TS23: maxilla Weak Regionally restricted euxassay_010029_11

Specimen euxassay_010029_12: embryonic day 14.5 (more )
Structure Level Pattern Image Note
TS23: mandible Weak Regionally restricted euxassay_010029_12
TS23: maxilla Weak Regionally restricted euxassay_010029_12

Specimen euxassay_010029_13: embryonic day 14.5 (more )
Structure Level Pattern Image Note
TS23: mandible Weak Regionally restricted euxassay_010029_13

Specimen euxassay_010029_14: embryonic day 14.5 (more )
Structure Level Pattern Image Note
TS23: mandible Weak Regionally restricted euxassay_010029_14
TS23: maxilla Weak Regionally restricted euxassay_010029_14

Specimen euxassay_010029_15: embryonic day 14.5 (more )
Structure Level Pattern Image Note
TS23: mandible Weak Regionally restricted euxassay_010029_15

Specimen euxassay_010029_16: embryonic day 14.5 (more )
Structure Level Pattern Image Note
TS23: rib Moderate Regionally restricted euxassay_010029_16
TS23: mandible Moderate Regionally restricted euxassay_010029_16
TS23: maxilla Moderate Regionally restricted euxassay_010029_16

Specimen euxassay_010029_17: embryonic day 14.5 (more )
Structure Level Pattern Image Note
TS23: rib Moderate Regionally restricted euxassay_010029_17
TS23: mandible Weak Regionally restricted euxassay_010029_17
TS23: femur Weak Regionally restricted euxassay_010029_17

Specimen euxassay_010029_18: embryonic day 14.5 (more )
Structure Level Pattern Image Note
TS23: rib Moderate Regionally restricted euxassay_010029_18
TS23: mandible Weak Regionally restricted euxassay_010029_18
TS23: femur Weak Regionally restricted euxassay_010029_18

Specimen euxassay_010029_19: embryonic day 14.5 (more )
Structure Level Pattern Image Note
TS23: rib Moderate Regionally restricted euxassay_010029_19
TS23: orbito-sphenoid Weak Regionally restricted euxassay_010029_19
TS23: femur Weak Regionally restricted euxassay_010029_19

Specimen euxassay_010029_20: embryonic day 14.5 (more )
Structure Level Pattern Image Note
TS23: rib Moderate Regionally restricted euxassay_010029_20
TS23: orbito-sphenoid Moderate Regionally restricted euxassay_010029_20
TS23: mandible Weak Regionally restricted euxassay_010029_20
TS23: femur Weak Regionally restricted euxassay_010029_20

Specimen euxassay_010029_21: embryonic day 14.5 (more )
Structure Level Pattern Image Note
TS23: rib Moderate Regionally restricted euxassay_010029_21
TS23: orbito-sphenoid Moderate Regionally restricted euxassay_010029_21
TS23: femur Weak Regionally restricted euxassay_010029_21
TS23: tibia Weak Regionally restricted euxassay_010029_21
TS23: fibula Weak Regionally restricted euxassay_010029_21

Specimen euxassay_010029_22: embryonic day 14.5 (more )
Structure Level Pattern Image Note
TS23: rib Moderate Regionally restricted euxassay_010029_22
TS23: orbito-sphenoid Moderate Regionally restricted euxassay_010029_22
TS23: fibula Weak Regionally restricted euxassay_010029_22
TS23: tibia Weak Regionally restricted euxassay_010029_22


Contributing Projects:
Mouse Genome Database (MGD), Gene Expression Database (GXD), Mouse Models of Human Cancer database (MMHCdb) (formerly Mouse Tumor Biology (MTB)), Gene Ontology (GO)
Citing These Resources
Funding Information
Warranty Disclaimer, Privacy Notice, Licensing, & Copyright
Send questions and comments to User Support.
last database update
01/20/2026
MGI 6.24
The Jackson Laboratory