About   Help   FAQ
Gene Expression Data
Assay Details
Assay
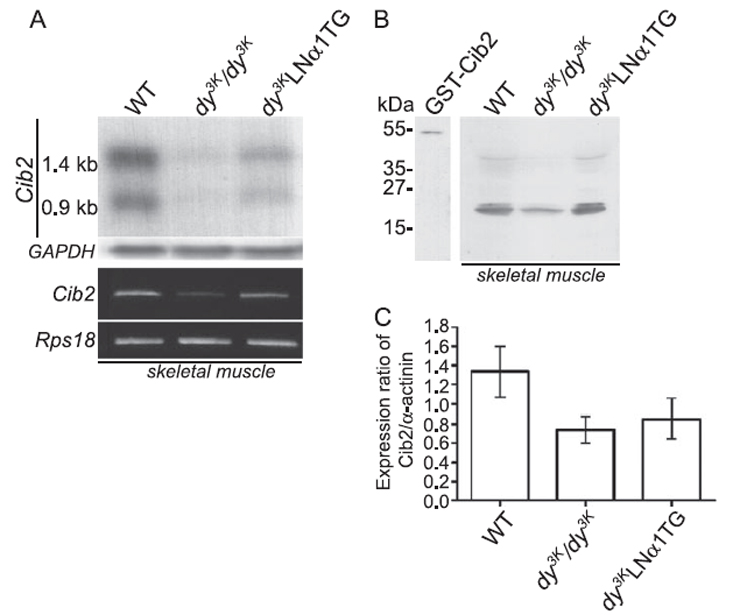
Reference: J:142018 Hager M, et al., Cib2 binds integrin alpha7Bbeta1D and is reduced in laminin alpha2 chain-deficient muscular dystrophy. J Biol Chem. 2008 Sep 5;283(36):24760-9
Assay type: Western blot
MGI Accession ID: MGI:3851469
Gene symbol: Cib2
Gene name: calcium and integrin binding family member 2
Antibody: anti-Cib2
Detection system: Secondary antibody coupled to horseradish peroxidase
Results
Image: 5B ©

 Sample Information Bands Other Sample Information
Lane AgeStructure 22 kDa Genetic BackgroundMutant Allele(s)Sex
GST-Cib2 In vitro data: no data stored
WT P adult TS28: hindlimb musculature Present Not Specified Not Specified
dy2K/dy3K P25 TS28: hindlimb musculature Weak (a) involves: 129P2/OlaHsd Lama2tm1Stk/Lama2tm1StkNot Specified
dy3KLNa1TG Transgenic sample: no data stored
Notes:
(a) A 2-fold down-regulation of expression.

Contributing Projects:
Mouse Genome Database (MGD), Gene Expression Database (GXD), Mouse Models of Human Cancer database (MMHCdb) (formerly Mouse Tumor Biology (MTB)), Gene Ontology (GO)
Citing These Resources
Funding Information
Warranty Disclaimer, Privacy Notice, Licensing, & Copyright
Send questions and comments to User Support.
last database update
12/30/2025
MGI 6.24
The Jackson Laboratory