About   Help   FAQ
Gene Expression Data
Assay Details
Assay
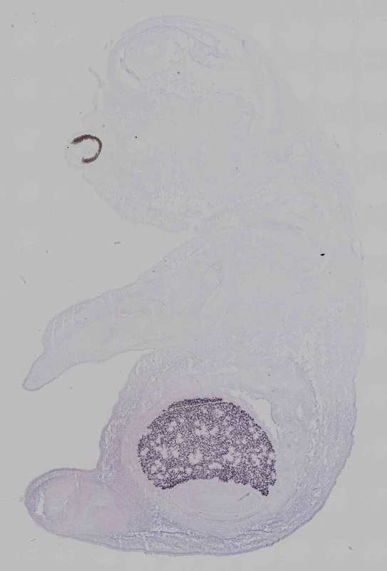
Reference: J:139177 Hoffman BG, et al., Identification of transcripts with enriched expression in the developing and adult pancreas. Genome Biol. 2008;9(6):R99
Assay type: RNA in situ
MGI Accession ID: MGI:3825775
Gene symbol: Ttr
Gene name: transthyretin
Probe: T31167
Probe preparation: Antisense labelled with digoxigenin RNA
Visualized with: Alkaline phosphatase
Assay notes: Specimen information for this assay was downloaded from GenePaint (www.genepaint.org). Cryosections of fresh frozen material were fixed in 4% paraformaldehyde for 20 min. before further processing. A tyramidebiotin/streptavidin amplification step was included in the in situ hybridization procedure.
Results
Specimen Additional file 4 Ttr: embryonic day 14.5 (more )
Structure Level Pattern Image Note
TS22: pancreas branching epithelium trunk Strong Embryo_G0602_2_1A


Contributing Projects:
Mouse Genome Database (MGD), Gene Expression Database (GXD), Mouse Models of Human Cancer database (MMHCdb) (formerly Mouse Tumor Biology (MTB)), Gene Ontology (GO)
Citing These Resources
Funding Information
Warranty Disclaimer, Privacy Notice, Licensing, & Copyright
Send questions and comments to User Support.
last database update
01/28/2026
MGI 6.24
The Jackson Laboratory