About   Help   FAQ
Gene Expression Data
Assay Details
Assay
Reference: J:139189 Mitsiadis TA, et al., A regulatory relationship between Tbx1 and FGF signaling during tooth morphogenesis and ameloblast lineage determination. Dev Biol. 2008 Aug 1;320(1):39-48
Assay type: RNA in situ
MGI Accession ID: MGI:3814233
Gene symbol: Tbx1
Gene name: T-box 1
Probe: Tbx1 cDNA2
Probe preparation: Antisense labelled with S35 RNA
Results
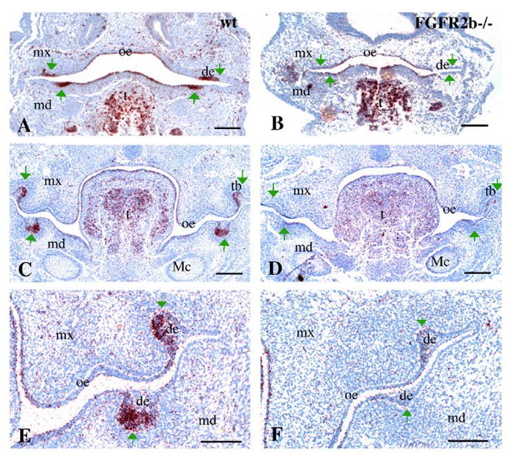
Specimen 5A: embryonic day 11.5 (more )
Note: This is a frontal section.
Structure Level Pattern Image Note
TS19: oral epithelium Strong Regionally restricted 5A Expression is present in the dental epithelial cells during tooth initiation.

Specimen 5B: embryonic day 11.5; Fgfr2tm1.1Dsn/Fgfr2tm1.1Dsn (more )
Note: This is a frontal section.
Structure Level Pattern Image Note
TS19: oral epithelium Present 5B Expression is downregulated in the dental epithelium of the mutants.

Specimen 5C: embryonic day 13.5 (more )
Note: This is a frontal section.
Structure Level Pattern Image Note
TS21: molar epithelium Present 5C

Specimen 5D: embryonic day 13.5; Fgfr2tm1.1Dsn/Fgfr2tm1.1Dsn (more )
Note: This is a frontal section.
Structure Level Pattern Image Note
TS21: molar epithelium Present 5D Expression is downregulated in the dental epithelium of the mutants.

Specimen 5E: embryonic day 13.5 (more )
Note: This is a frontal section.
Structure Level Pattern Image Note
TS21: molar epithelium Present 5E

Specimen 5F: embryonic day 13.5; Fgfr2tm1.1Dsn/Fgfr2tm1.1Dsn (more )
Note: This is a frontal section.
Structure Level Pattern Image Note
TS21: molar epithelium Present 5F Expression is downregulated in the dental epithelium of the mutants.


Contributing Projects:
Mouse Genome Database (MGD), Gene Expression Database (GXD), Mouse Models of Human Cancer database (MMHCdb) (formerly Mouse Tumor Biology (MTB)), Gene Ontology (GO)
Citing These Resources
Funding Information
Warranty Disclaimer, Privacy Notice, Licensing, & Copyright
Send questions and comments to User Support.
last database update
12/30/2025
MGI 6.24
The Jackson Laboratory