About   Help   FAQ
Gene Expression Data
Assay Details
Assay
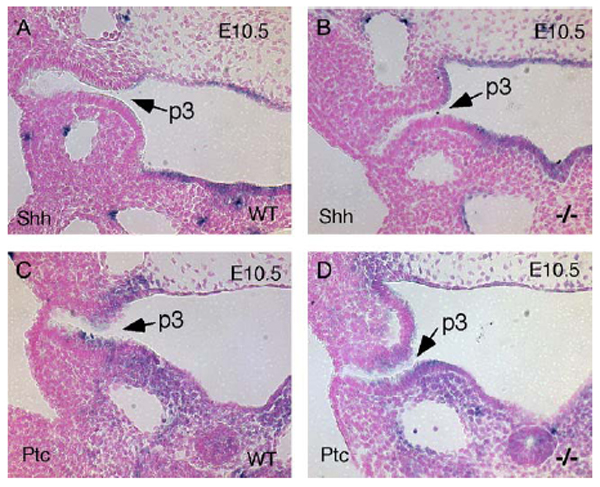
Reference: J:121311 Liu Z, et al., Gcm2 is required for the differentiation and survival of parathyroid precursor cells in the parathyroid/thymus primordia. Dev Biol. 2007 May 1;305(1):333-46
Assay type: RNA in situ
MGI Accession ID: MGI:3722809
Gene symbol: Ptch1
Gene name: patched 1
Probe: M2-3
Probe preparation: labelled with digoxigenin RNA
Visualized with: Alkaline phosphatase
Results
Specimen 8C: embryonic day 10.5 (more )
Structure Level Pattern Image Note
TS17: 3rd branchial pouch Present 8C

Specimen 8D: embryonic day 10.5; Gcm2tm1Kry/Gcm2tm1Kry (more )
Structure Level Pattern Image Note
TS17: 3rd branchial pouch Present 8D Expression was the same in both wild type and mutant embryos.


Contributing Projects:
Mouse Genome Database (MGD), Gene Expression Database (GXD), Mouse Models of Human Cancer database (MMHCdb) (formerly Mouse Tumor Biology (MTB)), Gene Ontology (GO)
Citing These Resources
Funding Information
Warranty Disclaimer, Privacy Notice, Licensing, & Copyright
Send questions and comments to User Support.
last database update
12/30/2025
MGI 6.24
The Jackson Laboratory