About   Help   FAQ
Gene Expression Data
Assay Details
Assay
Reference: J:101679 Deltagen Inc, NIH initiative supporting placement of Deltagen, Inc. mice into public repositories. MGI Direct Data Submission. 2005;
Assay type: In situ reporter (knock in)
MGI Accession ID: MGI:3664941
Gene symbol: Atp8a1
Gene name: ATPase phospholipid transporting 8A1
Reporter: lacZ
Direct Detection
Results
Specimen Mouse 272623 - Image 99199487: postnatal day 55; Atp8a1tm1Dgen/Atp8a1+ (more )
Structure Level Pattern Image Note
TS28: brain Very strong 99199487 Expression is present in practically all cells of the brain.
TS28: telencephalon Very strong 99199487 Expression is present in practically all cells of the cerebrum.

Specimen Mouse 272623 - Image 99199488: postnatal day 55; Atp8a1tm1Dgen/Atp8a1+ (more )
Structure Level Pattern Image Note
TS28: cerebellum Very strong 99199488 Expression is frequently seen in the cerebellum.

Specimen Mouse 272623 - Image 99199489: postnatal day 55; Atp8a1tm1Dgen/Atp8a1+ (more )
Structure Level Pattern Image Note
TS28: brainstem Very strong 99199489 Expression is present in practically all cells of the brainstem.

Specimen Mouse 272623 - Image 99204218: postnatal day 55; Atp8a1tm1Dgen/Atp8a1+ (more )
Structure Level Pattern Image Note
TS28: bone marrow Strong 99204218 There is occasional staining in the bone marrow.

Specimen Mouse 272623 - Image 99204772: postnatal day 55; Atp8a1tm1Dgen/Atp8a1+ (more )
Structure Level Pattern Image Note
TS28: spinal cord central canal Very strong 99204772 Expression is present in practically all cells of the central canal.
TS28: spinal cord gray matter Strong 99204772 Expression is frequently seen in the gray matter.

Specimen Mouse 272623 - Image 99204773: postnatal day 55; Atp8a1tm1Dgen/Atp8a1+ (more )
Structure Level Pattern Image Note
TS28: adenohypophysis pars anterior Strong 99204773 Expression is frequently seen in the pars distalis.

Specimen Mouse 272623 - Image 99205669: postnatal day 55; Atp8a1tm1Dgen/Atp8a1+ (more )
Structure Level Pattern Image Note
TS28: spleen Weak 99205669 There is occasional staining in the spleen.

Specimen Mouse 272623 - Image 99206139: postnatal day 55; Atp8a1tm1Dgen/Atp8a1+ (more )
Structure Level Pattern Image Note
TS28: lamina propria of bladder Moderate 99206139 There is occasional staining in the lamina propria.

Specimen Mouse 272623 - Image 99206147: postnatal day 55; Atp8a1tm1Dgen/Atp8a1+ (more )
Structure Level Pattern Image Note
TS28: interstitium of the testis Weak 99206147 There is occasional staining in the interstitium.

Specimen Mouse 272623 - Image 99206148: postnatal day 55; Atp8a1tm1Dgen/Atp8a1+ (more )
Structure Level Pattern Image Note
TS28: renal medulla Strong 99206148 Expression is frequently seen in the medulla.

Specimen Mouse 272623 - Image 99206149: postnatal day 55; Atp8a1tm1Dgen/Atp8a1+ (more )
Structure Level Pattern Image Note
TS28: adrenal medulla Moderate 99206149 Expression is frequently seen in the medulla.

Specimen Mouse 272623 - Image 99206150: postnatal day 55; Atp8a1tm1Dgen/Atp8a1+ (more )
Structure Level Pattern Image Note
TS28: lung alveolus Very strong 99206150 Expression is frequently seen in the alveoli.
TS28: bronchiole epithelium Very strong 99206150 Expression is present in practically all cells of the epithelium.

Specimen Mouse 272623 - Image 99206477: postnatal day 55; Atp8a1tm1Dgen/Atp8a1+ (more )
Structure Level Pattern Image Note
TS28: glomerular tuft Strong 99206477 Expression is scattered in the glomeruli.

Specimen Mouse 272623 - Image 99207599: postnatal day 55; Atp8a1tm1Dgen/Atp8a1+ (more )
Structure Level Pattern Image Note
TS28: heart atrium Weak 99207599 Expression is scattered in the atrium.

Specimen Mouse 272623 - Image 99208221: postnatal day 55; Atp8a1tm1Dgen/Atp8a1+ (more )
Structure Level Pattern Image Note
TS28: thymus cortex Weak 99208221 There is occasional staining in the cortex.

Specimen Mouse 272623 - Image 99208227: postnatal day 55; Atp8a1tm1Dgen/Atp8a1+ (more )
Structure Level Pattern Image Note
TS28: retina ganglion cell layer Moderate 99208227 There is occasional staining in the ganglion cell layer.
TS28: retina inner nuclear layer Moderate 99208227 Expression is frequently seen in the inner nuclear layer.
TS28: retina Weak 99208227 Expression is scattered in the retina.

Specimen Mouse 272623 - Image 99208232: postnatal day 55; Atp8a1tm1Dgen/Atp8a1+ (more )
Structure Level Pattern Image Note
TS28: thyroid gland Moderate 99208232 There is occasional staining in the thyroid gland.

Specimen Mouse 272623 - Image 99208234: postnatal day 55; Atp8a1tm1Dgen/Atp8a1+ (more )
Structure Level Pattern Image Note
TS28: sciatic nerve Very strong 99208234 Expression is frequently seen in the sciatic nerve.

Specimen Mouse 272623 - Image 99208243: postnatal day 55; Atp8a1tm1Dgen/Atp8a1+ (more )
Structure Level Pattern Image Note
TS28: larynx Moderate 99208243 Expression is scattered in the larynx.

Specimen Mouse 272623 - Image 99215507: postnatal day 55; Atp8a1tm1Dgen/Atp8a1+ (more )
Structure Level Pattern Image Note
TS28: spinal cord Strong Regionally restricted 99215507 Expression is frequently seen in the dorsal root ganglion.
TS28: dorsal root ganglion Strong Regionally restricted 99215507 Expression is frequently seen in the dorsal root ganglion.

Specimen Mouse 272623 - Image 99215517: postnatal day 55; Atp8a1tm1Dgen/Atp8a1+ (more )
Structure Level Pattern Image Note
TS28: lamina propria of bladder Moderate 99215517 Expression is scattered in the muscularis.

Specimen Mouse 272623 - Image 99215518: postnatal day 55; Atp8a1tm1Dgen/Atp8a1+ (more )
Structure Level Pattern Image Note
TS28: prostate epithelium Moderate 99215518 Expression is scattered in the epithelium.
TS28: prostate gland Weak Regionally restricted 99215518 There is occasional staining in the stroma.

Specimen Mouse 272623 - Image 99215519: postnatal day 55; Atp8a1tm1Dgen/Atp8a1+ (more )
Structure Level Pattern Image Note
TS28: adrenal gland Weak Regionally restricted 99215519 Expression is frequently seen in the capsule.

Specimen Mouse 272623 - Image 99215520: postnatal day 55; Atp8a1tm1Dgen/Atp8a1+ (more )
Structure Level Pattern Image Note
TS28: renal cortex Strong 99215520 There is occasional staining in the cortex.

Specimen Mouse 272623 - Image 99215521: postnatal day 55; Atp8a1tm1Dgen/Atp8a1+ (more )
Structure Level Pattern Image Note
TS28: renal papilla Strong 99215521 Expression is frequently seen in the papilla.

Specimen Mouse 272623 - Image 99215522: postnatal day 55; Atp8a1tm1Dgen/Atp8a1+ (more )
Structure Level Pattern Image Note
TS28: metanephros Strong Regionally restricted 99215522 Expression is frequently seen in the blood vessels of the kidney.
TS28: blood vessel Strong Regionally restricted 99215522 Expression is frequently seen in the blood vessels of the kidney.

Specimen Mouse 272623 - Image 99215803: postnatal day 55; Atp8a1tm1Dgen/Atp8a1+ (more )
Structure Level Pattern Image Note
TS28: lens Strong 99215803 Expression is scattered in the lens.

Specimen Mouse 272623 - Image 99215805: postnatal day 55; Atp8a1tm1Dgen/Atp8a1+ (more )
Structure Level Pattern Image Note
TS28: ciliary body Moderate 99215805 Expression is scattered in the ciliary body.

Specimen Mouse 272623 - Image 99215807: postnatal day 55; Atp8a1tm1Dgen/Atp8a1+ (more )
Structure Level Pattern Image Note
TS28: thymus medullary core Weak 99215807 There is occasional staining in the medulla.

Specimen Mouse 272623 - Image 99215808: postnatal day 55; Atp8a1tm1Dgen/Atp8a1+ (more )
Structure Level Pattern Image Note
TS28: skeletal muscle Strong 99215808 There is occasional staining in the skeletal muscle.

Specimen Mouse 272623 - Image 99216775: postnatal day 55; Atp8a1tm1Dgen/Atp8a1+ (more )
Structure Level Pattern Image Note
TS28: spinal cord ventral horn Strong 99216775 Expression is frequently seen in the ventral horns.
TS28: spinal cord white matter Very strong 99216775 Expression is present in practically all cells of the white matter.

Specimen Mouse 272623 - Image 99216784: postnatal day 55; Atp8a1tm1Dgen/Atp8a1+ (more )
Structure Level Pattern Image Note
TS28: spinal cord dorsal horn Strong 99216784 Expression is frequently seen in the dorsal horns.

Specimen Mouse 272623 - Image 99216788: postnatal day 55; Atp8a1tm1Dgen/Atp8a1+ (more )
Structure Level Pattern Image Note
TS28: seminiferous tubule Trace 99216788 There is occasional staining in the seminiferous tubules.

Specimen Mouse 272623 - Image 99216790: postnatal day 55; Atp8a1tm1Dgen/Atp8a1+ (more )
Structure Level Pattern Image Note
TS28: prostate gland Very strong Regionally restricted 99216790 Expression is frequently seen in the ganglia of the prostate gland.

Specimen Mouse 272623 - Image 99216805: postnatal day 55; Atp8a1tm1Dgen/Atp8a1+ (more )
Structure Level Pattern Image Note
TS28: renal tubule Moderate 99216805 Expression is scattered in the tubules.

Specimen Mouse 272623 - Image 99216806: postnatal day 55; Atp8a1tm1Dgen/Atp8a1+ (more )
Structure Level Pattern Image Note
TS28: heart valve Strong 99216806 There is occasional staining in the valves.

Specimen Mouse 272623 - Image 99216808: postnatal day 55; Atp8a1tm1Dgen/Atp8a1+ (more )
Structure Level Pattern Image Note
TS28: heart Moderate 99216808 Expression is scattered in the heart.

Specimen Mouse 272623 - Image 99216811: postnatal day 55; Atp8a1tm1Dgen/Atp8a1+ (more )
Structure Level Pattern Image Note
TS28: heart ventricle Moderate 99216811 There is occasional staining in the ventricles.

Specimen Mouse 272623 - Image 99216824: postnatal day 55; Atp8a1tm1Dgen/Atp8a1+ (more )
Structure Level Pattern Image Note
TS28: dermis Moderate 99216824 There is occasional staining in the dermis.
TS28: epidermis Moderate 99216824 There is occasional staining in the epidermis.
TS28: sebaceous gland Very strong 99216824 There is occasional staining in the sebaceous gland.

Specimen Mouse 272623 - Image 99216881: postnatal day 55; Atp8a1tm1Dgen/Atp8a1+ (more )
Structure Level Pattern Image Note
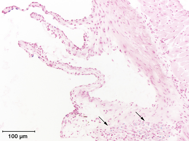
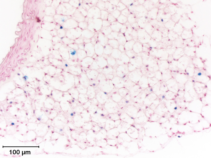
TS28: aorta Moderate Regionally restricted 99216881 Expression is scattered in the periaortic adipose tissue.
TS28: adipose tissue Moderate Regionally restricted 99216881 Expression is scattered in the periaortic adipose tissue.

Specimen Mouse 272623: postnatal day 55; Atp8a1tm1Dgen/Atp8a1+ (more )
Structure Level Pattern Image Note
TS28: aorta Absent
TS28: liver Absent
TS28: pancreas Absent
TS28: lymph node Absent

Specimen Mouse 289832 - Image 99204249: postnatal day 60; Atp8a1tm1Dgen/Atp8a1+ (more )
Structure Level Pattern Image Note
TS28: cerebellum Strong 99204249 Expression is scattered in the cerebellum.

Specimen Mouse 289832 - Image 99204771: postnatal day 60; Atp8a1tm1Dgen/Atp8a1+ (more )
Structure Level Pattern Image Note
TS28: cerebellum Purkinje cell layer Strong 99204771 Expression is frequently seen in the purkinje cell layer.

Specimen Mouse 289832 - Image 99208461: postnatal day 60; Atp8a1tm1Dgen/Atp8a1+ (more )
Structure Level Pattern Image Note
TS28: bone marrow Very strong 99208461 There is occasional staining in the bone marrow.

Specimen Mouse 289832 - Image 99208464: postnatal day 60; Atp8a1tm1Dgen/Atp8a1+ (more )
Structure Level Pattern Image Note
TS28: hippocampus Very strong 99208464 Expression is frequently seen in the hippocampus.

Specimen Mouse 289832 - Image 99208483: postnatal day 60; Atp8a1tm1Dgen/Atp8a1+ (more )
Structure Level Pattern Image Note
TS28: lamina propria of vagina Moderate 99208483 Expression is frequently seen in the stroma.

Specimen Mouse 289832 - Image 99208488: postnatal day 60; Atp8a1tm1Dgen/Atp8a1+ (more )
Structure Level Pattern Image Note
TS28: endometrium stroma Strong 99208488 Expression is present in practically all cells of the endometrial stroma.

Specimen Mouse 289832 - Image 99208490: postnatal day 60; Atp8a1tm1Dgen/Atp8a1+ (more )
Structure Level Pattern Image Note
TS28: ovary Strong 99208490 There is occasional staining in the ovary.

Specimen Mouse 289832 - Image 99209579: postnatal day 60; Atp8a1tm1Dgen/Atp8a1+ (more )
Structure Level Pattern Image Note
TS28: amygdala Very strong 99209579 Expression is present in practically all cells of the amygdala.

Specimen Mouse 289832 - Image 99209580: postnatal day 60; Atp8a1tm1Dgen/Atp8a1+ (more )
Structure Level Pattern Image Note
TS28: brain ventricle Moderate 99209580 Expression is scattered in a ventricle of the cerebrum.

Specimen Mouse 289832 - Image 99209581: postnatal day 60; Atp8a1tm1Dgen/Atp8a1+ (more )
Structure Level Pattern Image Note
TS28: cerebral cortex Very strong 99209581 Expression is frequently seen in the cortex.

Specimen Mouse 289832 - Image 99209582: postnatal day 60; Atp8a1tm1Dgen/Atp8a1+ (more )
Structure Level Pattern Image Note
TS28: thalamus Very strong 99209582 Expression is present in practically all cells of the thalamus.

Specimen Mouse 289832 - Image 99209583: postnatal day 60; Atp8a1tm1Dgen/Atp8a1+ (more )
Structure Level Pattern Image Note
TS28: brainstem Very strong 99209583 Expression is frequently seen in the brainstem.

Specimen Mouse 289832 - Image 99215986: postnatal day 60; Atp8a1tm1Dgen/Atp8a1+ (more )
Structure Level Pattern Image Note
TS28: hippocampus Very strong 99215986 Expression is frequently seen in the hippocampus.

Specimen Mouse 289832 - Image 99215988: postnatal day 60; Atp8a1tm1Dgen/Atp8a1+ (more )
Structure Level Pattern Image Note
TS28: hypothalamus Very strong 99215988 Expression is frequently seen in the hypothalamus.

Specimen Mouse 289832 - Image 99215991: postnatal day 60; Atp8a1tm1Dgen/Atp8a1+ (more )
Structure Level Pattern Image Note
TS28: caudate-putamen Very strong 99215991 Expression is frequently seen in the caudate-putamen.

Specimen Mouse 289832 - Image 99215994: postnatal day 60; Atp8a1tm1Dgen/Atp8a1+ (more )
Structure Level Pattern Image Note
TS28: cerebellum white matter Very strong 99215994 Expression is present in practically all cells of the white matter.

Specimen Mouse 289832 - Image 99215995: postnatal day 60; Atp8a1tm1Dgen/Atp8a1+ (more )
Structure Level Pattern Image Note
TS28: cerebellum molecular layer Strong 99215995 Expression is scattered in the molecular layer.

Specimen Mouse 289832 - Image 99215997: postnatal day 60; Atp8a1tm1Dgen/Atp8a1+ (more )
Structure Level Pattern Image Note
TS28: cerebellum granule cell layer Strong 99215997 Expression is scattered in the granule layer.

Specimen Mouse 289832 - Image 99215999: postnatal day 60; Atp8a1tm1Dgen/Atp8a1+ (more )
Structure Level Pattern Image Note
TS28: ovary Moderate Regionally restricted 99215999 There is occasional staining in the stroma.

Specimen Mouse 289832 - Image 99216001: postnatal day 60; Atp8a1tm1Dgen/Atp8a1+ (more )
Structure Level Pattern Image Note
TS28: myometrium Moderate 99216001 Expression is frequently seen in the myometrium.

Specimen Mouse 289832 - Image 99216005: postnatal day 60; Atp8a1tm1Dgen/Atp8a1+ (more )
Structure Level Pattern Image Note
TS28: epithelium of vagina Very strong 99216005 Expression is scattered in the epithelium.

Specimen Mouse 289832 - Image 99216008: postnatal day 60; Atp8a1tm1Dgen/Atp8a1+ (more )
Structure Level Pattern Image Note
TS28: muscle of vagina Strong 99216008 Expression is frequently seen in the smooth muscle layer.


Contributing Projects:
Mouse Genome Database (MGD), Gene Expression Database (GXD), Mouse Models of Human Cancer database (MMHCdb) (formerly Mouse Tumor Biology (MTB)), Gene Ontology (GO)
Citing These Resources
Funding Information
Warranty Disclaimer, Privacy Notice, Licensing, & Copyright
Send questions and comments to User Support.
last database update
01/06/2026
MGI 6.24
The Jackson Laboratory